ساخصص هذه #السلسله
#thread
للحديث عن #التصلب_اللويحي 🎗
#التصلب_المتعدد 🎗
استقبل اسئلتكم 🧠
سيتم تحديثه بشكل دوري
#فضفضة_طبيب
#صحتك_بتهمنا
#وعي
#thread
للحديث عن #التصلب_اللويحي 🎗
#التصلب_المتعدد 🎗
استقبل اسئلتكم 🧠
سيتم تحديثه بشكل دوري
#فضفضة_طبيب
#صحتك_بتهمنا
#وعي
ماهو #التصلب_اللويحي🎗
🧠مرض مناعي تختلط فيه مناعة الجسم فتحارب الجهاز العصبي المركزي المخ والحبل الشوكي خاصه المادة البيضاء
🧠اسبابه
لا سبب محدد
وانما تجتمع عوامل كالاستعداد الجيني ونقص فيتامين د وفيروس وعوامل بيئيه وعادات غذائيه فتزيد قابليه ظهور المرض
🧠يزيد بالاناث الشابات
🧠مرض مناعي تختلط فيه مناعة الجسم فتحارب الجهاز العصبي المركزي المخ والحبل الشوكي خاصه المادة البيضاء
🧠اسبابه
لا سبب محدد
وانما تجتمع عوامل كالاستعداد الجيني ونقص فيتامين د وفيروس وعوامل بيئيه وعادات غذائيه فتزيد قابليه ظهور المرض
🧠يزيد بالاناث الشابات
♦️تشخيص #التصلب_اللويحي 🎗
🧠الاعراض الاساسيه لنفكر في التشخيص(اجباريه)
🎗مشاكل النظر مع الم بحركه العين
🎗التوازن او جذع المخ
🎗تغير بجانب كامل
🎗التحكم في البول
🧠ليس كل نقاط بيضاء في الاشعه هي تصلب قد تكون صداع نصفي غيرها
🧠لانفكر ولانشخص التصلب من صداع او تنميل اصبع
🧠الاعراض الاساسيه لنفكر في التشخيص(اجباريه)
🎗مشاكل النظر مع الم بحركه العين
🎗التوازن او جذع المخ
🎗تغير بجانب كامل
🎗التحكم في البول
🧠ليس كل نقاط بيضاء في الاشعه هي تصلب قد تكون صداع نصفي غيرها
🧠لانفكر ولانشخص التصلب من صداع او تنميل اصبع
#التصلب_اللويحي🎗
♦️✋♦️
انتبه لهذه الاعراض فقد تغير التشخيص
🎗فهيقةأوإستفراغ غير مبرر
🎗جروح الفم والعانه
🎗جفاف العين والفم
🎗الاجهاضات المتكررة
🎗فقدالسمع والبصر وتأثر الذاكرة
🎗الام المفاصل والطفح الجلدي والتجلطات وتصلب الاصابع صباحا
🎗سخونه متكررةأوتعرق بالليل اوفقدان وزن
♦️✋♦️
انتبه لهذه الاعراض فقد تغير التشخيص
🎗فهيقةأوإستفراغ غير مبرر
🎗جروح الفم والعانه
🎗جفاف العين والفم
🎗الاجهاضات المتكررة
🎗فقدالسمع والبصر وتأثر الذاكرة
🎗الام المفاصل والطفح الجلدي والتجلطات وتصلب الاصابع صباحا
🎗سخونه متكررةأوتعرق بالليل اوفقدان وزن
تشخيص #التصلب_اللويحي🎗
♦️✋♦️
انتبه اعراض فقد تغير التشخيص
🎗فهيقة او استفراغ غير مبرر
🎗جروح الفم والعانه
🎗جفاف العين والفم
🎗الاجهاضات المتكررة
🎗فقد السمع والبصر وتأثر الذاكرة
🎗الام المفاصل والطفح الجلدي والتجلطات وتصلب الاصابع صباحا
🎗سخونه متكررة/تعرق بالليل/فقدان وزن
♦️✋♦️
انتبه اعراض فقد تغير التشخيص
🎗فهيقة او استفراغ غير مبرر
🎗جروح الفم والعانه
🎗جفاف العين والفم
🎗الاجهاضات المتكررة
🎗فقد السمع والبصر وتأثر الذاكرة
🎗الام المفاصل والطفح الجلدي والتجلطات وتصلب الاصابع صباحا
🎗سخونه متكررة/تعرق بالليل/فقدان وزن
#التصلب_اللويحي🎗
♦️يتبع التشخيص
🧠يجب اولا استثناء الشبيهات
🎗الشقيقه
🎗نقص فيتامين ب١٢ اوالزنك
🎗اضطراب الغدةالدرقيه
🎗التهابات(الايدز/السل-الدرن/الزهري-السيلان/فيروس PML
🎗امراض مناعيه مثل(الشوجرن/الذئبةالحمراء/بهجت/الساركويد/واجنر)
🎗امراض المخ المناعيه كمتلازمه ديفيك 🎗اورام
♦️يتبع التشخيص
🧠يجب اولا استثناء الشبيهات
🎗الشقيقه
🎗نقص فيتامين ب١٢ اوالزنك
🎗اضطراب الغدةالدرقيه
🎗التهابات(الايدز/السل-الدرن/الزهري-السيلان/فيروس PML
🎗امراض مناعيه مثل(الشوجرن/الذئبةالحمراء/بهجت/الساركويد/واجنر)
🎗امراض المخ المناعيه كمتلازمه ديفيك 🎗اورام
#التصلب_اللويحي🎗
♦️اذاً لا تشخيص بدون♦️
🎗جلسه لاخذ التاريخ المرضي
🎗الفحص الاكلينيكي
🎗فحوصات لازمه يحددها الطبيب بناء على المعلومات لاستثناء الامراض المشابهة وتشمل
♦️تحاليل دم
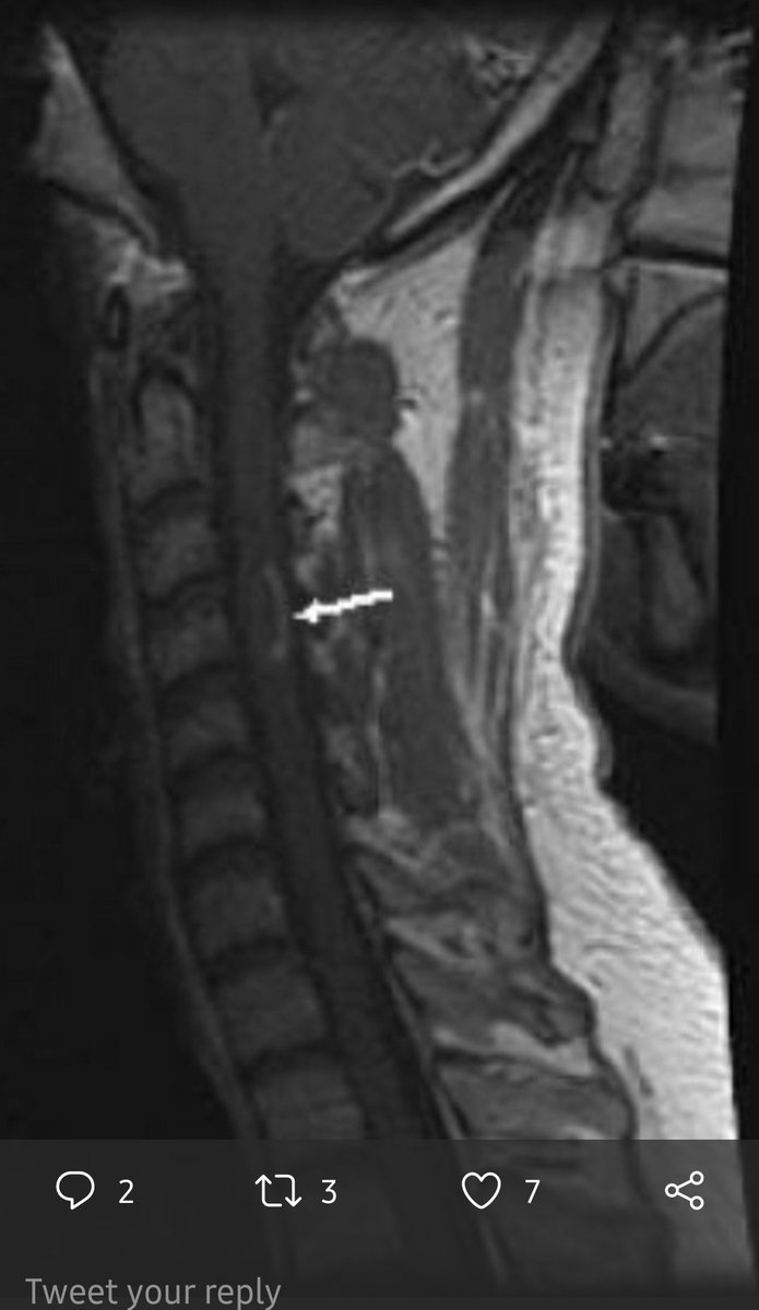
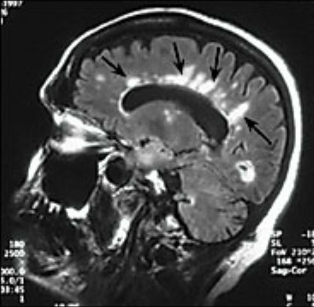
♦️ورنين مغناطيسي للمخ والحبل الشوكي
♦️ابرة الظهر(ليست ضوروة دائما)
♦️تخطيط وتصوير عصب العين
♦️اذاً لا تشخيص بدون♦️
🎗جلسه لاخذ التاريخ المرضي
🎗الفحص الاكلينيكي
🎗فحوصات لازمه يحددها الطبيب بناء على المعلومات لاستثناء الامراض المشابهة وتشمل
♦️تحاليل دم
♦️ورنين مغناطيسي للمخ والحبل الشوكي
♦️ابرة الظهر(ليست ضوروة دائما)
♦️تخطيط وتصوير عصب العين
#التصلب_اللويحي🎗
♦️ابرة الظهر♦️
نلجأ لها احيانا للتشخيص
🧠بسيطه-دقائق
✋لاتسبب شلل
🧠مضاعفاتها
♦️صداع مؤقت علاجه قهوة/مسكنات
♦️التهابات
♦️نزيف موضعي
🧠تحتاح
♦️اشعه مخ مقطعيه
♦️تحليل صفائح
♦️✋تأكد من اخبار الطبيب عند استخدامك علاج سيوله
الرابط👇
youtu.be
♦️ابرة الظهر♦️
نلجأ لها احيانا للتشخيص
🧠بسيطه-دقائق
✋لاتسبب شلل
🧠مضاعفاتها
♦️صداع مؤقت علاجه قهوة/مسكنات
♦️التهابات
♦️نزيف موضعي
🧠تحتاح
♦️اشعه مخ مقطعيه
♦️تحليل صفائح
♦️✋تأكد من اخبار الطبيب عند استخدامك علاج سيوله
الرابط👇
youtu.be
#التصلب_اللويحي🎗
♦️العلاج
✋يحتاج تكاتف الجميع✋
🎗تفهم المريض
🎗عدة تخصصات(اعصاب/مسالك/نفسيه/علاج طبيعي/غيرها)
🎗الاهل/المجتمع/وزارات الدوله لتقديم لاستثناءات وتسهيلات له
🇸🇦الدوله مشكورة لها مشاركتها🇸🇦
♦️المتصلب شخص يعاني بحق لان للمه داخلي اضافه للظاهري ويحتاج من يتفهم مرضه
♦️العلاج
✋يحتاج تكاتف الجميع✋
🎗تفهم المريض
🎗عدة تخصصات(اعصاب/مسالك/نفسيه/علاج طبيعي/غيرها)
🎗الاهل/المجتمع/وزارات الدوله لتقديم لاستثناءات وتسهيلات له
🇸🇦الدوله مشكورة لها مشاركتها🇸🇦
♦️المتصلب شخص يعاني بحق لان للمه داخلي اضافه للظاهري ويحتاج من يتفهم مرضه
علاج #التصلب_اللويحي🎗
♦️لايوجد علاج نهائي للمرض♦️
🎗وقت الهجمات لتسريع التعافي
🧠كورتيزون
🧠اجسام مضاده
🧠غسيل بلازما
🎗علاجات يوميه مناعيه
♦️للسيطرة وتقليل الهجمات♦️
🧠ابر تحت الجلد(أضعف/أأمن)
🧠حبوب بالفم
🧠محاليل وريديه
🎗علاج الاعراض المصاحبه والمضاعفات
🎗فيتامين د
يتبع👇
♦️لايوجد علاج نهائي للمرض♦️
🎗وقت الهجمات لتسريع التعافي
🧠كورتيزون
🧠اجسام مضاده
🧠غسيل بلازما
🎗علاجات يوميه مناعيه
♦️للسيطرة وتقليل الهجمات♦️
🧠ابر تحت الجلد(أضعف/أأمن)
🧠حبوب بالفم
🧠محاليل وريديه
🎗علاج الاعراض المصاحبه والمضاعفات
🎗فيتامين د
يتبع👇
العلاج٢ #التصلب_اللويحي🎗
🎗انصحك
♦️شارك الطبيب فاختيار علاجك
♦️لاتتردد وزر طبيب نفسي
♦️لاتوقف فيتامين د
♦️الرياضه رفيقك المخلص
♦️انضم لمجموعات المتصلبين والمتصلبين الايجابيين الناجحين فهم افضل واكثر من يتفهمك
@Hattan_Nakity
@faisal_ms2008
♦️عش حياتك/حب/تزوج/انجب ولاتبالي
BE 💪
🎗انصحك
♦️شارك الطبيب فاختيار علاجك
♦️لاتتردد وزر طبيب نفسي
♦️لاتوقف فيتامين د
♦️الرياضه رفيقك المخلص
♦️انضم لمجموعات المتصلبين والمتصلبين الايجابيين الناجحين فهم افضل واكثر من يتفهمك
@Hattan_Nakity
@faisal_ms2008
♦️عش حياتك/حب/تزوج/انجب ولاتبالي
BE 💪
#التصلب_اللويحي🎗
🧠الكورتيزون
♦️يسرع التعافي فقط
يمكن تأخيره خاصه للاعراض الخفيفه
♦️لاتصر عليه
🎗يمكن تأخيره للتأكد انها هجمه
🎗قد تكون هجمه كاذبه
🎗قد تكون اعراض وقتيه مصاحبه دون ٢٤ساعه
🎗قد تكون ارهاق/تعرض لحر/أمر لاعلاقه له بالتصلب
🎗قد تحتسب هجمه تغير قرارات علاجاتك
🧠الكورتيزون
♦️يسرع التعافي فقط
يمكن تأخيره خاصه للاعراض الخفيفه
♦️لاتصر عليه
🎗يمكن تأخيره للتأكد انها هجمه
🎗قد تكون هجمه كاذبه
🎗قد تكون اعراض وقتيه مصاحبه دون ٢٤ساعه
🎗قد تكون ارهاق/تعرض لحر/أمر لاعلاقه له بالتصلب
🎗قد تحتسب هجمه تغير قرارات علاجاتك
العلاج٣ #التصلب_اللويحي🎗
🧠اختر طبيب واحد فقط ثقه ولاتتنقل بين الاطباء
🧠احرص عالعلاجات واعرف مضاعفاتها المتوقعه وتابع مع طبيبك باستمرار
🧠للمتصلبين حقوق وميزات وفرتها الدوله🇸🇦عليهم معرفتها للاستفادة منها
♦️وزارة العمل والتنميه الاجتماعيه
@HRSD_SA
eservices.mlsd.gov.sa
🧠اختر طبيب واحد فقط ثقه ولاتتنقل بين الاطباء
🧠احرص عالعلاجات واعرف مضاعفاتها المتوقعه وتابع مع طبيبك باستمرار
🧠للمتصلبين حقوق وميزات وفرتها الدوله🇸🇦عليهم معرفتها للاستفادة منها
♦️وزارة العمل والتنميه الاجتماعيه
@HRSD_SA
eservices.mlsd.gov.sa
#التصلب_اللويحي🎗
🧠الرياضه رفيقك المخلص
♦️مهمه للغايه قدر المستطاع لاغنى عنها ابدا حتى في عدم وجود مشاكل حركيه♦️
🏃♂️تحسن المزاج والنفسيه كليا
🏃♂️تزيل الارهاق المصاحب للمرض
🏃♂️تعدل الضعف العضلي والتوازن
#صحتك_تهمنا
🧠الرياضه رفيقك المخلص
♦️مهمه للغايه قدر المستطاع لاغنى عنها ابدا حتى في عدم وجود مشاكل حركيه♦️
🏃♂️تحسن المزاج والنفسيه كليا
🏃♂️تزيل الارهاق المصاحب للمرض
🏃♂️تعدل الضعف العضلي والتوازن
#صحتك_تهمنا
الحمل👶و #التصلب_اللويحي 🎗
🎗الترتيب المسبق لايقاف العلاج بوقت كاف
🎗غالبا تخف حدة المرض اثناء الحمل/قد تزداد بعد الوضع
🎗يمكن اخذ الكورتيزون/الأجسام المضادة اثناء الحمل
🧠للرجال المقبلين عالزواج بمتصلبه
😍لايؤثر على خصوبة الجنسين
😍ليس وراثي بحت
♦️اقل من ٤% قد ينتج طفل مصاب
🎗الترتيب المسبق لايقاف العلاج بوقت كاف
🎗غالبا تخف حدة المرض اثناء الحمل/قد تزداد بعد الوضع
🎗يمكن اخذ الكورتيزون/الأجسام المضادة اثناء الحمل
🧠للرجال المقبلين عالزواج بمتصلبه
😍لايؤثر على خصوبة الجنسين
😍ليس وراثي بحت
♦️اقل من ٤% قد ينتج طفل مصاب
#التصلب_اللويحي🎗
المستقبل🧠والدراسات
🎗الاطعمه اهمها طعام شعوب البحر المتوسط
🎗الخلايا الجذعيه لازالت تحت الدراسه
🎗بكتيريا الجهاز الهضمي
🧠علاجات ينصح البعض بها
🎗علاجات تصحيح المادة البيضاء
🎗علاجات تقليل الضمور (علاجات الدهون simvastatin وغيرها)
🎗فيتامين ب٧ biotin
المستقبل🧠والدراسات
🎗الاطعمه اهمها طعام شعوب البحر المتوسط
🎗الخلايا الجذعيه لازالت تحت الدراسه
🎗بكتيريا الجهاز الهضمي
🧠علاجات ينصح البعض بها
🎗علاجات تصحيح المادة البيضاء
🎗علاجات تقليل الضمور (علاجات الدهون simvastatin وغيرها)
🎗فيتامين ب٧ biotin
#التصلب_اللويحي 🎗
فيديو جميل لمتصلبين يتحدثون عن الرياضه والتصلب باللغه الانجليزيه
شكرا علاء ❤🎗
youtu.be
فيديو جميل لمتصلبين يتحدثون عن الرياضه والتصلب باللغه الانجليزيه
شكرا علاء ❤🎗
youtu.be
جاري تحميل الاقتراحات...