بودكاست مشكاة
بودكاست مشكاة

@Meshkaaah

15 تغريدة 9 قراءة Oct 04, 2020
عثر علماء الآثار في سنة ٢٠٠٨ على رفات أُناسٍ عاشوا قبل ٩٠٠٠ سنة، لم يستطع العلماء معرفة سبب وفاتهم ولكن وجدوا عظامهم مصابة ببكتيريا معروفة كان الأغريق يسمون المرض الذي تتسبب به "phthisis" وكان شعب الإنكا يسمونه "chaky oncay" وسماه الإنجليز "tuberculosis" أي مرض #السل 💦
مرض #السل يصنَّف من أكثر الأمراض المعدية القاتلة في العالم ولكن عند التشخيص الصحيح فالشفاء منه سهل ومضمون في أغلب الحالات بإذن الله تعالى.. ولكن ما هو مرض السل؟ وكيف استطاع أن يستمر ليقتل الكثير من البشر بعد كل هذه السنين؟ هذا ما سنتحدث عنه في سلسلة هذا الأسبوع 🧐
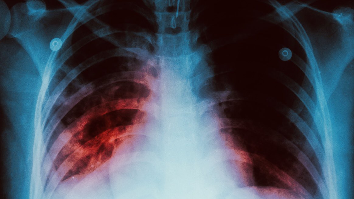
"mycobacterium tuberculosis" هي البكتيريا المسببة للسل، وتنتقل عبر جزيئاتٍ في الهواء فتدخل لمجرى التنفس وتصيب الرئتين. في كثيرٍ من الأحيان يكون الجهاز المناعي قوي فيتغلب على هذه البكتيريا ولكن في حالات مرضى السكر، نقص المناعة، الحمل، وغيرها لا يستجيب بالشكل المناسب حتى يقضي عليها
فإذا استطاعت البكتيريا التغلب على الجهاز المناعي، تكاثرت داخل الخلايا المناعية وأفرزت أنزيمات تتسبب في القضاء على خلايا الرئة وهذا ما يسبب الآلام والسعال الدموي عند مرضى السل 🩸 التلف الحاصل في الرئتين يسبب نقص حاد في الأكسجين عند المريض وهذا بدوره يسبب تغيير في هرمونات الجسم
تغيّر الهرمونات يسبب فقدان الشهية وضعف في إنتاج الحديد ومن هنا تنتقل البكتيريا إلى العظام مسببة آلام في الظهر وصعوبة في الحركة. ثم تنتقل إلى الكلى والأمعاء فتسبب آلام في الجهاز الهضمي. وأخيرًا إلى الدماغ فتسبب صداع واضطراب في الوعي 🧠
هذه الأعراض تشكّل الصورة النمطية لمرضى #السل وهي: فقدان الوزن الحاد، السعال الدموي وشحوب البشرة، وهذا ما أعطى مرض السل لقب "الطاعون الأبيض" في العصر الفيكتوري نسبةً للطاعون المُميت (الموت الأسود) الذي قتل أكثر من ٢٥ مليون شخص في ذلك الحين ⚠️
كان #السل يُعرف بالمرض الشاعري أو مرض الفنانين لأنه انتشر بين الشعراء والفنانين الفقراء ذوي المناعة الضعيفة في ذلك العصر. ومنهم: فرانز كافكا وجورج أورويل 🎭
وكانت هيئة مرضى #السل قديمًا سببًا في تطور خرافة الـ vampirism أو مصاصي الدماء 🧛🏻‍♂️ فكانت هذه الخرافات التي تدور حول هذا المرض القاتل سببًا في اهتمام الأطباء والعلماء لأن يجدوا لهذا الداءِ دواءً مدعّمًا بحقائق علمية 🧪
في سنة ١٨٨٢ م عيّن الطبيب الألماني روبرت كوك هوية وأصل البكتيريا المسببة للسل وهذا سهّل على بقية الأطباء تشخيص وتتبع تطور هذا المرض في جسم المريض وساعدهم في صنع دواءٍ له 🔬
هذه الوسائل أعطت العلماء الفرصة لتطوير لقاح وأدوية تساعد على الشفاء -بإذن الله- من مرض #السل، واللقاح الحالي المستخدم لتقليل فرصة الإصابة بالسل يعرف بـ BCG vaccine 💉
ولكن المخيف في هذا المرض هو أن ٩٠٪ من حاملي هذه البكتيريا لا تظهر عليهم الأعراض في بداية الإصابة وقد لا يعلمون بحملهم لها دون تشخيص مناسب من طبيبٍ مختص، وهذا قد يُعطي البكتيريا الوقت الكافي حتى تتلف مناطق كثيرة من جسم الإنسان مما يجعل السل صعب العلاج في مراحله المتأخرة
والسل يعتبر مرض منتشر في أكثر الدول فقرًا والتي تعاني من أمراض أخرى وهذا ما يجعل عملية الحصول على تشخيص وعلاج صعبة وشبه مستحيلة لمصابيه، والخرافات التي تدور حول هذا المرض تمنع المرضى من طلب المساعدة خوفًا من الوقوع في طيات الصور النمطية عنه
يعمل الأطباء في تطوير أدوات التشخيص لهذا المرض.. فنحن متفائلون مع تطور التكنولوجيا والأدوات الطبية أن يكتشف العلماء دواءً فعالًا للقضاء على هذا الداء بشكل سريع وبجهدٍ أقل من قِبَل المريض 💊
لطالما كانت الخرافات عقبة كبيرة أمام نجاة كثيرٍ من الناس من أمراضٍ عدّة ساورتها الشكوك والصور النمطية والخرافات على مرّ العصور. ليس هناك لعنةٌ أو عارٌ في #المرض فإذا احتجت مساعدة طبيّة، ففضلًا لا أمرًا استشر طبيبًا مختصًا..
حفظكم الله وأحبابكم من كل مكروه ودمتم سالمين 🙏🏻🤍

جاري تحميل الاقتراحات...