Nasser Alshamli-ناصر الشملي
Nasser Alshamli-ناصر الشملي

@ntoosh

11 تغريدة 144 قراءة Jul 20, 2020
هل من تعليق على صوره القرنيه المرفقه ؟! #حالة_من_عيادتي
قراءة Auto Ref +k reading لنفس العين !
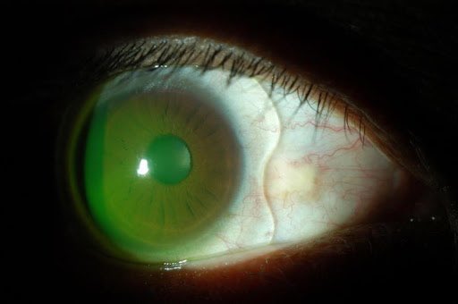
طبعا هذا المريض عمره 56 سنه وللاسف مثل ما شايفين معه recurrent pterygium او كما تسمى ظفرة او لحميه العين ، عمل اربع عمليات سابقه ولكن للاسف بإعتقادي انه في المره الاولى تأخر كثيرا في عملها لحد ما غزت ودخلت على قرنيه العين ،،
طبعا النظر في هذي العين تقريبا 6/24 وما يتحسن كثير بطبيعه الحال لوجود انحراف عالي بسبب شد الظفره او اللحميه على سطح القرنيه وتغيره لشكلها مثل ما واضح في صوره القرنيه ، بالاضافه الى وجود عتامه طرفيه مع اوعيه دمويه مستجده في المنطقه ،،
العين الثانيه الحمدلله سليمه ، مع شويه طول وانحراف بسيط جدا بالنظر ممكن تضبيطه بالنظاره ،،
كان ممكن نجرب العدسات السكليرال في هذي الحاله والنظر ممكن يحسن ولكن راح تواجهنا مشكله الظفره لانها ممتده من اطراف صلبه العين السكليرا ودخلت على المنطقه بين البياض والسواد لذلك صعب تضبط حافه العدسه السكليرال في هدي المنطقه بدون ما تكون ضاغطه كثير وتسبب احمرار ونقص ترويه ،،
لو كان النظر حقيقه سئ في العين الثانيه والمريض محتاج نظر في هذي العين بأي طريقه كان ممكن نعمل له Scleral lens with notch بالعربي عدسه سكليرال ولكن نقرط الحافه من منطقه الظفره عشان ما تكون ضاغطه شوف الصوره 👇
صوره توضح امكانيه عمل حافه عدسه السكليرال بهذا الشكل عشان تفادي الضغط المباشر على الظفره 👍

جاري تحميل الاقتراحات...