د. ياسر الهدّاب
د. ياسر الهدّاب

@Alhaddab_Yasser

6 تغريدة 1,733 قراءة Jul 08, 2020
🦴 القدم الجوفاء (ذات القوس العالي):
تشير الدراسات إلى أن انتشار القدم الجوفاء يتراوح بين ١٠ و ٢٥٪ من عامة الناس. فهل يجب عليك القلق؟
خلونا نتعرف على هذي المشكلة و متى نحتاج نزور الطبيب 👨🏻‍⚕️
في هذه الحالة، يحدث خلل في توزيع الوزن على القدم حيث يتم وضع كمية زائدة من الوزن على الجهة الخارجية والكعب عند المشي أو الوقوف.
مما يؤدي إلى:
-الألم
-عدم الاستقرار "تكرر التواء الكاحل للداخل"
-كسور إجهادية
📍يمكن أن تتطور في أي عمر، ويمكن أن تحدث في قدم واحدة أو كلتيهما.
الأسباب:
وجود قدم جوفاء "مؤلمة" يستدعي الفحص عند الطبيب لاستبعاد وجود أي مشاكل بالجهاز العصبي و ذلك لارتباط حدوثها مع الأمراض العصبية. و قد تحدث أيضاً لأسباب وراثية.
فإذا كان القوس العالي ناتجًا عن اضطراب عصبي أو حالة طبية أخرى، فمن المرجح أن يسوء شكل القدم تدريجيًا.
قد يشمل العلاج غير الجراحي للقدم الجوفاء واحدًا أو أكثر من الخيارات التالية:
- دعامات داخلية.
- أحذية خاصة.
- الدعامات الخارجية/ قد يوصي الجراح بدعامة للمساعدة في الحفاظ على استقرار القدم و الكاحل.
- العلاج الطبيعي
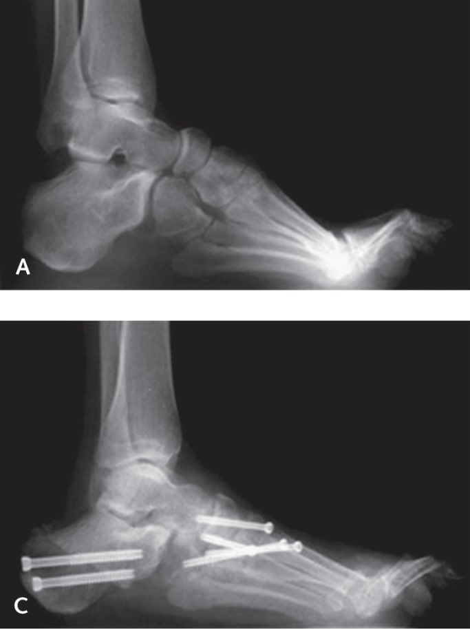
🔪متى تكون الجراحة مطلوبة؟
إذا فشل العلاج التحفظي في تخفيف الألم وتحسين ثبات القدم.
يقرر الجراح أفضل إجراء جراحي أو مجموعة من الإجراءات بناءً على حالة كل مريض على حدة، ومنها:
- نقل وإرخاء الأوتار
- ترميم أربطة الكاحل
- قص و تعديل العظام
- تثبيت المفصل في مرحلة متقدمة
الخلاصة
الأقواس العالية هي سمة شائعة إلى حد ما.
بينما يمكن أن يكون سببها مرض معين، فإن بعض الأشخاص لديهم أقواس أعلى من الآخرين بدون أعراض ولا يحتاجون زيارة الطبيب.
إذا بدأت القدم في التسبب بالمشاكل، فقد تحتاج إلى استخدام بعض الأحذية الجيدة و زيارة طبيبك لعمل الفحوصات اللازمة.

جاري تحميل الاقتراحات...