Shahra Haif..🇸🇦
Shahra Haif..🇸🇦

@shahra_Q

11 تغريدة 3 قراءة Apr 26, 2022
#DENTOGENIUS ..
“No DAM,No ENDO”
بما إن هالقاعدة ثابتة، هالثريد رح يضم الحالات الصعبة في استخدام العازل المطاطي 🦷🦸🏻‍♂️
Case 1
Split dam isolation of upper molar with
a missing crown,over prepared axial walls which make it impossible to retain the clamp.Also the loss of tissue would be difficult to isolate. so,we’ll use “split dam” then OraSeal is applied around the tooth to completely isolate it
Case2
Split dam isolation with super glue
dam is placed over the adjoining teeth,this will leave a flap of dam over the buccal margin of the tooth,preventing proper isolation
-remove this flap,pull it and dry
-place a cyanoacrylate glue over the dam and mucosa then dry it
Case3
Restoration of upper left first premolar to allow matrix placement
the premolar clamp is placed on the tooth distal to the target tooth and three holes punched in the dam.
the dam is worked over the clamp Following the tooth preparation a matrix can be placed and wedged etc
Case4
Isolation of partially erupted immature teeth
These teeth can be a real challenge, an orthodontic separating ligature (elastic) is passed over the tooth on a pair of rubber dam clamp forceps after placement of a sheet of dam; this has the effect of holding the dam in place
Case5
the upper incisor teeth are fully erupted but very little retention can be obtained by multiple tooth retention but the tooth won’t retain a clamp. A small portion of composite is placed on the enamel and spot cured. This can be placed on either the B,P surface or both
Case6
Miscellaneous rubber dam
This case demonstrates the difficulty when one single premolar with no alternative tech is isolated.The clamp tends to tip forward inhibiting good access.
a piece of impression compound
warmed in hot water and placed over the bow cool it with air.
Case7
Since the front teeth of this patient were so crowded, there was no space for the clamps.
The dam is kept in place by two fragments of the dam which have been passed under the distal contact areas of the lateral incisors.
Case8
the use of rubber dam while the patient is orthodontically bonded up.
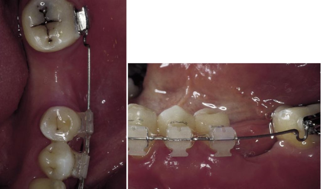
Case9
The lower left second premolar requires endodontic therapy. Positioning the clamp below the orthodontic attachment will not provide a proper isolation .so,The clamp has been positioned above the orthodontic attachment and wire; thus, the dam seals perfectly.
Case10
The upper left cuspid has no crown. The patient had esthetic problems,which precluded a crown lenghtening procedure to be done before the endodontic retreatment. The clamp has been positioned on the adjacent premolar and also the two central incisors have been isolated.

جاري تحميل الاقتراحات...