تكيسات وأورام الفكين الحميدة
ممكن أن تتكون في انسجة الفك انواع مختلفة من التكيسات والاورام الحميدة والتركيز في هذا ال #ثريد سيكون على الأنواع الأكثر ظهوراً
#جراحة_الوجه_والفكين
ممكن أن تتكون في انسجة الفك انواع مختلفة من التكيسات والاورام الحميدة والتركيز في هذا ال #ثريد سيكون على الأنواع الأكثر ظهوراً
#جراحة_الوجه_والفكين
١)
اورام الفكين ممكن ان تنتج من خلايا العظام او الاعصاب او الغدد اللعابيةالصغيرة وغيرها والتركيز في هذا الثريد هو على الأورام الناتجة عن الخلايا المسؤولة عن تكون الفك والاسنانOdontogenic وهي الأكثر حصولاً وانتشاراً.وهي تختلف عن التكيسات الناتجة عن التهاب في جذور واعصاب الاسنان
اورام الفكين ممكن ان تنتج من خلايا العظام او الاعصاب او الغدد اللعابيةالصغيرة وغيرها والتركيز في هذا الثريد هو على الأورام الناتجة عن الخلايا المسؤولة عن تكون الفك والاسنانOdontogenic وهي الأكثر حصولاً وانتشاراً.وهي تختلف عن التكيسات الناتجة عن التهاب في جذور واعصاب الاسنان
٢)
تكيسات الفك ممكن تقسيمها الى قسمين:
Developmental
وهي التي تتكون خلال مرحلة النمو
Inflammatory
وهي التي تنتج بسبب التهاب يحصل في الانسجة
تكيسات الفك ممكن تقسيمها الى قسمين:
Developmental
وهي التي تتكون خلال مرحلة النمو
Inflammatory
وهي التي تنتج بسبب التهاب يحصل في الانسجة
٣)
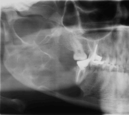
تكيس الفك الأكثر حصولاً هو ال
Dentigerous Cyst
ويتكون خلال النمو عند انفصال الغشاء المحيط بالسن عن تاج السن قبل بروزه داخل الفم مما يؤدي الى تكون ما يطلق عليه كيس "دهني" والذي يمكن ان يتمدد لدرجات مختلفة قبل ان يتم تشخيصه
تكيس الفك الأكثر حصولاً هو ال
Dentigerous Cyst
ويتكون خلال النمو عند انفصال الغشاء المحيط بالسن عن تاج السن قبل بروزه داخل الفم مما يؤدي الى تكون ما يطلق عليه كيس "دهني" والذي يمكن ان يتمدد لدرجات مختلفة قبل ان يتم تشخيصه
٥)
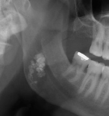
Odontogenic keratocyst (OKC)
قد يكون هذا من اكثر امراض الفك فيه اختلاف وجهات نظر وخيارات علاج متعددة وقد تغير اسمه مرتين عبر العقود الماضية. ولعل اكثر ما يميزه عن باقي تكيسات الفك هو كثرةعودة التكيس في الفك بعد علاجه اذا تم علاجه بالطريقةالتقليدية لتكيسات الفك باستئصاله فقط
Odontogenic keratocyst (OKC)
قد يكون هذا من اكثر امراض الفك فيه اختلاف وجهات نظر وخيارات علاج متعددة وقد تغير اسمه مرتين عبر العقود الماضية. ولعل اكثر ما يميزه عن باقي تكيسات الفك هو كثرةعودة التكيس في الفك بعد علاجه اذا تم علاجه بالطريقةالتقليدية لتكيسات الفك باستئصاله فقط
٦)
OKC
تتراوح نسبة تكونه مرةأخرى بعد الاستئصال في الدراسات من٥-٥٠٪،وبالتالي يقتضي أن يتم تشخيصه اولا بشكل صحيح عن طريق خزعة وتقرير من قبل طبيب امراض الفم،وايضاعلاجه يقتضي إجراءات إضافيةبعد استئصاله من الفك لتقليل نسبةتكونه مرة أخرى
عادةيتم تشخيصه في مرحلةعمرية مبكرة(١٠-٤٠ عام)
OKC
تتراوح نسبة تكونه مرةأخرى بعد الاستئصال في الدراسات من٥-٥٠٪،وبالتالي يقتضي أن يتم تشخيصه اولا بشكل صحيح عن طريق خزعة وتقرير من قبل طبيب امراض الفم،وايضاعلاجه يقتضي إجراءات إضافيةبعد استئصاله من الفك لتقليل نسبةتكونه مرة أخرى
عادةيتم تشخيصه في مرحلةعمرية مبكرة(١٠-٤٠ عام)
٨)
معظم الحالات تكون من دون اعراض وفي حال نمو التكيس يمكن ان يكون هناك انتفاخ في الفك او الم مصاحب.
التشخيص ينتج من الخزعةونتائج العلاج في العموم جيدة للسيطرة على المرض في حال تم اتخاذ إجراءات إضافيةللتقليل من نسبة تكون التكيس مرة أخرى وتوجد عدةاختيارات يراجعها الطبيب مع المريض
معظم الحالات تكون من دون اعراض وفي حال نمو التكيس يمكن ان يكون هناك انتفاخ في الفك او الم مصاحب.
التشخيص ينتج من الخزعةونتائج العلاج في العموم جيدة للسيطرة على المرض في حال تم اتخاذ إجراءات إضافيةللتقليل من نسبة تكون التكيس مرة أخرى وتوجد عدةاختيارات يراجعها الطبيب مع المريض
٩)
كل تكيسات الفك والاورام الحميدة في الفك لا تتغلغل في عصب الفك والذي يغذي الإحساس للشفاة السفلية والذقن وبالتالي التنميل ليس من خصائص هذه التكيسات وفي حال وجودها، ينبغي للطبيب المعالج ان يفكر في تشخيصات اكثر حدة
كل تكيسات الفك والاورام الحميدة في الفك لا تتغلغل في عصب الفك والذي يغذي الإحساس للشفاة السفلية والذقن وبالتالي التنميل ليس من خصائص هذه التكيسات وفي حال وجودها، ينبغي للطبيب المعالج ان يفكر في تشخيصات اكثر حدة
١٠)
في حالات قليلة من ال OKC
العلاج يقتضي استئصال الجزء من الفك المحيط بالتكيس وإعادة بناؤه بالصفائح الجراحية وزراعة العظم على حسب معطيات المرض وهذه تناقش على حسب الحالة مع الطبيب المعالج
في حالات قليلة من ال OKC
العلاج يقتضي استئصال الجزء من الفك المحيط بالتكيس وإعادة بناؤه بالصفائح الجراحية وزراعة العظم على حسب معطيات المرض وهذه تناقش على حسب الحالة مع الطبيب المعالج
١١)
وبالنسبة لاورام الفكين الحميدة حنتكلم عن ٣ أنواع منها:
Odontoma
Ameloblastoma
Adenomatoid odontogenic tumor
وبالنسبة لاورام الفكين الحميدة حنتكلم عن ٣ أنواع منها:
Odontoma
Ameloblastoma
Adenomatoid odontogenic tumor
١٣)
في كثير من الحالات لا تحتاج الى استئصال جراحي الا اذا كانت اثرت على بروز الاسنان داخل الفم وبعد استئصالها لا يوجد أي خطورة لان تنمو مرة أخرى
في كثير من الحالات لا تحتاج الى استئصال جراحي الا اذا كانت اثرت على بروز الاسنان داخل الفم وبعد استئصالها لا يوجد أي خطورة لان تنمو مرة أخرى
١٥)
الغالبية من الحالات لا Ameloblastoma تظهر كتمدد في عظام الفك على هيئة مجموعة تكيسات متصلة وفي قليل من الحالات تظهر ككيس واحد متمدد داخل الفك والتشخيص يعتمد على نتيجة الخزعة (العينة)
الغالبية من الحالات لا Ameloblastoma تظهر كتمدد في عظام الفك على هيئة مجموعة تكيسات متصلة وفي قليل من الحالات تظهر ككيس واحد متمدد داخل الفك والتشخيص يعتمد على نتيجة الخزعة (العينة)
١٧)
في حال كان الورم في الجزء الخلفي من الفك السفلي ومحيط بالعصب الفكي والذي يغذي الإحساس في الشفاة السفلى والذقن، يجب ابلاغ المريض بتأثر هذا العصب بعد الجراحة والذي سينتج عنه تنميل في المنطقة ويمكن علاجه بالرقعة العصبية لمحاولة اصلاح العصب وعودة جزء من الإحساس في المنطقة.
في حال كان الورم في الجزء الخلفي من الفك السفلي ومحيط بالعصب الفكي والذي يغذي الإحساس في الشفاة السفلى والذقن، يجب ابلاغ المريض بتأثر هذا العصب بعد الجراحة والذي سينتج عنه تنميل في المنطقة ويمكن علاجه بالرقعة العصبية لمحاولة اصلاح العصب وعودة جزء من الإحساس في المنطقة.
١٩)
يمثل هذا الورمAOT ٣-٧٪ من اورام الفكين .ومع انه مصنف كورم الا انه غير حاد في نموه ولا يتغلغل في عظام الفك. وعلاجه كالاكياس الفكية البسيطة بالاستئصال فقط كافي لعلاجه
يمثل هذا الورمAOT ٣-٧٪ من اورام الفكين .ومع انه مصنف كورم الا انه غير حاد في نموه ولا يتغلغل في عظام الفك. وعلاجه كالاكياس الفكية البسيطة بالاستئصال فقط كافي لعلاجه
هذه نهاية ال ثريد عن تكيسات واورام الفكين
الثريد لاعطاء فكرة عامة عن المرض وليكون عند المريض خلفية عن الأسئلة التي ينبغي مراجعتها مع الطبيب المعالج في حال تم ملاحظتها لا قدر الله في الاشعة ولا يغني عن مراجعة الطبيب
ويسعدني الإجابة عن اي أستفسار او سؤال
الثريد لاعطاء فكرة عامة عن المرض وليكون عند المريض خلفية عن الأسئلة التي ينبغي مراجعتها مع الطبيب المعالج في حال تم ملاحظتها لا قدر الله في الاشعة ولا يغني عن مراجعة الطبيب
ويسعدني الإجابة عن اي أستفسار او سؤال
جاري تحميل الاقتراحات...