مُنى القحطاني|PT
مُنى القحطاني|PT

@Monalq_

16 تغريدة 63 قراءة Oct 29, 2021
ثريد اليوم 👩🏻‍⚕️
بتكلم عن مسمار القدم او calcneal spur (الله يكرمكم)
ايش هو مسمار القدم 🤔؟
يتكون نتوء عظمي على عظم الكعب.
يمكن أن تكون النتوءات العظمية موجودة في الجزء الخلفي من الكعب (dorsal heel spur) أو تحت النعل(plantar heel spur).
و غالبا ترتبط النتوءات
بحالات :
dorsal spurs (achilles Tendinopathy)
spurs under the sole (Plantar fasciitis).
التشريح (anatomy)
الأعراض (symptoms)
-الم حاد (كالسكين)عند الوقوف بعد النوم
-الم مزعج بالكعب طول اليوم
-التهاب و تورم ف مقدمه الكعب
-حراره بالمنطقه
-نقطه تيبس ف الكعب وصعوبه المشي حافي الاقدام
الاسباب (Causes)
-يمكن أن تتراكم رواسب الكالسيوم تحت الكعب، تشكل هذه الرواسب نتوءات عظمية ، وهي نتوءات كعب.
-تقدم العمر
-تمدد plantar fascia تمزق الغشاء اللي يغطي الكعب
-ينتج عن اجهاد عضلات و اربطه القدم
نوعين من النتوءات العظمية ؛
* النوع (A)نتوءات داخله ع فوق plantar facia
*النوع (B) داخله مع plantar facia
* النوعA أطول بكثير إحصائيًا من طول النتوء للنوعB ، مع كذا المرضى الي يعانون من نوعB اكثر الم من A
نصنفها ٣ انواع
نختصرها ب صوره
العوامل الخطره تعرضك للاصابه Risk Factors
-الانشطه الرياضيه(القفز و الجري)
-زياده الوزن
-الوقوف الطويل(كالمعلمين و الممرضين)
-الاحذيه الغير مناسبه
و الحالات المرضيه مثل:
-ankylosing spondylitis
-Reiter’s disease
-diffuse idiopathic skeletal hyperostosis
-plantar fasciitis
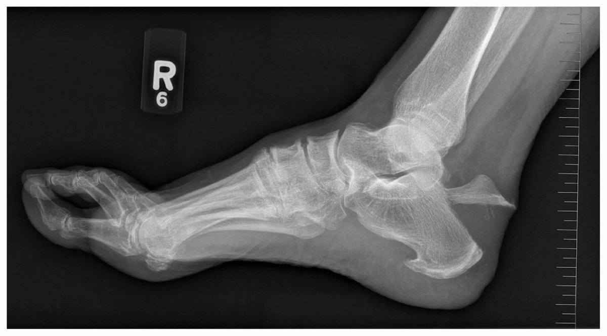
طيب نجي للتشخيص !
الاشعه
يوضح بهذا الشكل
اما العلاج الطبيعي
نعطي نظره عامه ع دخول المريض
نسبه الالم ؟
الوزن؟
نقيم المشي و قوه العضلات!
نشوف المدى الحركي للقدم ROM
انثناء الاصابع كيف مع Dorsiflexion؟
نشيك ع planter facia و شدها !
هل فيه تورم ولا ؟
نشوف الاحساس بالقدم
Tinel’s sign
فيديو توضيحي للفحص السريري
youtu.be
العلاج
-الراحه
-الكمادات البارده عشان تقلل التورم و الالتهاب
-الادويه المضاده للالتهاب
-حقن الكورتيزون تقلل من التورم و الالم (خيار قوي بعد الادويه المضاده)
-العلاج الطبيعي
و ف حالات نادره جدا تتدخل الجراحه .. اذا م نفعت الطرق (غالبا فعاله ولا يحتاج جراحه)
العلاج الطبيعي
Shuckwave,US
night splints,
taping,
acupuncture,
Heel inserts,
Exercises and cryotherapy
واهم شي تركيزنا ع cuff muscles و trigger points و stretches
التشخيصات المشابهه
Musculoskeletal Causes
* Peroneal tendonitis
* Haglund's deformity
* Sever's disease
Traumatic Influences
* Calcaneal fractures
Neurological Causes
* Baxter nerve entrapment
* Clinical (Tinel’s sign)
* Tarsal tunnel syndrome
* Heel fat pad syndrome
بكذا خلصت الثريد انشاء الله يكون مفيد🙏🏼🏅
استقبل اي اضافات عليه 👍🏼
و اخر شي كفانا الله وياكم و احبابنا الشر💛

جاري تحميل الاقتراحات...