لمن تكون بتلعب بفلاش تلفونك لمن الكهربا تكون قاطعة زي اسي
و تحاول تعمل اشكال بيدك على الحيطة
ويدك في النص بين الحيطة و الفلاش
و تحاول تعمل اشكال بيدك على الحيطة
ويدك في النص بين الحيطة و الفلاش
🙄 عشان طبعا يدك ما حتعمل ضل في الحيطة اذا كانت ورا الفلاش او ورا الحيطة
كل ما يدك كانت قريبة من الحيطة ف الضل بيكون صغير
و كل ما يدك بعدت من الحيطة الضل بيكون كبير
كل ما يدك كانت قريبة من الحيطة ف الضل بيكون صغير
و كل ما يدك بعدت من الحيطة الضل بيكون كبير
في الاشعة السينية بيكون في مصدر للأشعة
المصدر دا بينطلق و مفروض يتلقاهو حاجة تستقبلو
بين المصدر بتاع الاشعة و الحاجة البتستقبل بيكون في العيان
المصدر دا بينطلق و مفروض يتلقاهو حاجة تستقبلو
بين المصدر بتاع الاشعة و الحاجة البتستقبل بيكون في العيان
كل ما العيان كان قريب للحاجة البتستقبل الأشعة ف الضل بتاع الأعضاء الحيكون نتاج للأشعة حيكون صغير و قريب للحجم الطبيعي
و كل ما العيان كان بعيد من الحاجة البتستقبل الاشعة ف الضل بتاع الأعضاء الحيكون نتاج للأشعة حيكون اكبر! ويديك انطباع انو العضو متضخم و الحاجة دي مهمة خاصة لو داير تعرف القلب متضخم او لا
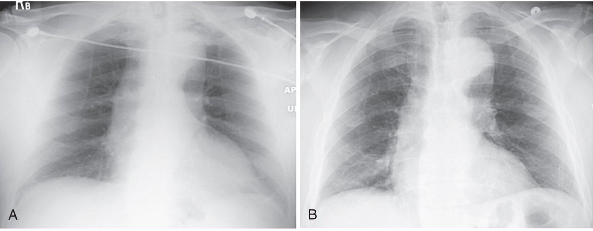
في الأشعة السينية للصدر يا الصورة تكون PA بمعنى posteroanterior
او AP بمعنى Anteroposterior
او AP بمعنى Anteroposterior
في الـPA مصدر الاشعة بيكون داخل للعيان من ورا على الضهر و الفلم البيستقبل الاشعة بيكون قدام العيان على صدرو
في الـAP مصدر الاشعة بيكون جايي من قدام العيان من جهة صدرو و بيقطع الجسم عشان يصل المستقبل القاعد ورا العيان على جهة ضهرو
في الـAP مصدر الاشعة بيكون جايي من قدام العيان من جهة صدرو و بيقطع الجسم عشان يصل المستقبل القاعد ورا العيان على جهة ضهرو
متذكر لمن كنت بتلعب بالفلاش و تعمل ضل بيدك في الحيطة؟
القلب حيكون اليد
و مصدر الاشعة حيكون فلاش التلفون
و الحيطة حتكون هي الفيلم البيستقبل الاشعة
القلب حيكون اليد
و مصدر الاشعة حيكون فلاش التلفون
و الحيطة حتكون هي الفيلم البيستقبل الاشعة
القلب قاعد قدام في الصدر (anterior)
اذا الاشعة جات من قدام حتخبط في القلب اول و حيكون بعيد من الفيلم و الصورة بتاعت القلب حتكون اكبر
و اذا الاشعة جات من ورا فحتخبط فيهو آخر حاجة و حيكون قريب من الفيلم (المستقبل، الحيطة) و الصورة بتاعت القلب حتكون اصغر
اذا الاشعة جات من قدام حتخبط في القلب اول و حيكون بعيد من الفيلم و الصورة بتاعت القلب حتكون اكبر
و اذا الاشعة جات من ورا فحتخبط فيهو آخر حاجة و حيكون قريب من الفيلم (المستقبل، الحيطة) و الصورة بتاعت القلب حتكون اصغر
بمعنى:
لمن الاشعة تجي من قدام فالقلب الضل بتاعو بيكون اكبر، ليه؟ عشان القلب المسافة بينو و بين المستقبل بعيدة شوية، زي لمن تبعد يدك من الحيطة و انت ضارب فيها فلاش؛ ضلها بيكون اكبر
لمن الاشعة تجي من قدام فالقلب الضل بتاعو بيكون اكبر، ليه؟ عشان القلب المسافة بينو و بين المستقبل بعيدة شوية، زي لمن تبعد يدك من الحيطة و انت ضارب فيها فلاش؛ ضلها بيكون اكبر
لمن الاشعة تجي من ورا العيان و تمشي للمستقبل ف هنا القلب بيكون قريب من الحيطة و الضل حيكون اقرب للحجم الطبيعي
عشان كدا اذا كنت حتطلب صورة صدر للعيان و كنت مهتم تعرف اذا في تضخم في القلب او لا احسن تطلب الصورة PA view
Image from the book: Learning Radiology Understanding the Basics 3rd Edition, William Herring, MD
Image from the book: Learning Radiology Understanding the Basics 3rd Edition, William Herring, MD
جاري تحميل الاقتراحات...