د. ثامر الحسينان
د. ثامر الحسينان

@Dr_Alhussainan

34 تغريدة 231 قراءة Jun 17, 2020
#كسور_الأطفال أمر شائع جدا نظرا لحركتهم الدائمة وسقوطهم المتكرر، لذلك سنناقش التالي :
مالفروق بين كسور الأطفال وكسور البالغين ؟
ماهي الكسور المهمة عند الأطفال التي تستدعي معاينة طبية متخصصة؟
طرق علاج الكسور عند الأطفال ؟
نتائج علاج الكسور عند الأطفال ومضاعفاتها ؟
كسور الأطفال تختلف اختلافا كبيرا عن كسور البالغين وذلك لاختلاف التركيب الخلقي (البيولوجي) بينهما…
بناء على هذا الاختلاف البيولوجي بين عظام الأطفال وعظام البالغين، فإن طبيعة كسور الأطفال تختلف في علاجها ونتائجها ومضاعفاتها عن الكسور عند البالغين ....
أحد أهم الاختلافات بين عظم الطفل وعظم البالغ هو وجود غلاف عظمي (السمحاق) سميك يغذي العظم بكمية وافرة من التروية الدموية
سماكة هذا الغلاف تقل تدريجيا مع التقدم بالعمر. لذلك تجد في كسور الأطفال الأصغر سنا أن سرعة التئام الكسور كبيرة وذلك للتروية الدموية الكبيرة التي يزودها هذا الغلاف السميك
كذلك يحوي هذا الغلاف على خلايا عظمية أولية تشارك بفاعلية عالية في شفاء كسور الأطفال وتعديل اعوجاجها تدريجيا مع الوقت ...
لهذا السبب فإن كسور الأطفال نادرا ما تحتاج للمساعدة الجراحية في تقويمها و تثبيتها لأنها سريعة الالتئام وقادرة على تعديل الاعوجاج الناتج من الكسر ذاتيا…
مقارنة بكسور البالغين فإن كسور الأطفال يمكن علاجها تحفظيا دون اللجوء إلى جراحة في كثير من الأحيان حتى لو كان وضع الكسر مخيفا أحيانا للوالدين في الأشعة الأولية للكسر ...
لذلك، إن كان الطبيب المعالج مؤهلا لعلاج كسور الأطفال (جراح عظام أطفال) ومحل ثقة، فلا داعي للقلق من شكل الكسر في الأشعة الأولية إذا قبل به الطبيب لأنه يعلم قوة التئام الكسور وما يمكن قبوله من زوايا انحراف دون أن يترك ذلك أي تأثير سلبي على الوظيفة أو المظهر الخارجي للطرف المكسور
ولكن ، ليس الأمر على إطلاقه، فإن أنواعا معينة من كسور الأطفال تحتاج إلى تدخل جراحي وهي كالتالي:
١- الكسور المفتوحة (أو مايسمى بالكسور المضاعفة وهي التي يخرج فيها طرف العظم المكسور من خلال الجلد )
.
.
٢- الكسور التي تكون في وضع غير مقبول واستحال إرجاعها لوضع أفضل بدون التدخل الجراحي.
٣- بعض كسور المرفق لدى الأطفال
٤- بعض الكسور التي تصل إلى المفاصل
٥- كسور الفخذ عند الأطفال بعد سن ٤ سنوات
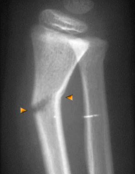
مفصل المرفق عند الأطفال مكان شائع للكسور التي للأسف في كثير من الأحيان تستدعي تدخلا جراحيا لمنع التئامها في وضع غير مقبول وهو الذي ينتج عنه انحراف واضح في الطرف المصاب ...
في المواضع الأخرى، قوة التعديل الذاتي التي تجعل الطبيب المتخصص يقبل وضعية بعض الكسور رغم سوئها الظاهر تجعل بعض الوالدين قلقين من صور الأشعة لعدم استيعابهم لهذه الظاهرة . لذلك أرى أن عرض مثل هذه الصور التي تظهر هذه الظاهرة هو الوسيلة الأمثل لطمأنة الوالدين ..
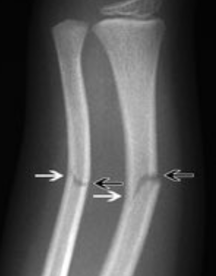
الفرق الآخر والمهم للغاية بين عظم الطفل وعظم البالغ هو وجود مراكز النمو في عظم الطفل وعدم وجودها في عظم البالغ بعد اكتمال نموه. مراكز النمو هي المسؤولة عن ازدياد طول العظم في فترة النمو...
مراكز النمو الموجودة في عظم الطفل تقع عند نهايات العظم بالقرب من المفاصل كما هو موضح في الصور . تظهر في الأشعة كخط أسود منتظم في أطراف العظام الطويلة ..
قوة التحمل الكامنة في مراكز النمو لمقاومة الإصابات هي أقل من قوة بقية العظم، لذلك قد تحصل كسور الأطفال في مراكز النمو نفسها كما هو موضح
كسور مراكز النمو تحتاج إلى عناية خاصة من قبل الطبيب المعالج ومتابعات على مدى بعيد للتأكد من سلامتها وعدم تأثرها من الإصابة...
قد تتسبب كسور مراكز النمو بضرر كامل او جزئي في مركز النمو.
إذا تضرر كامل مركز النمو سينتج عن ذلك توقف للنمو في العظمة المصابة مما سيتسبب في قصر متزايد في العظمة المصابة بالمقارنة مع الطرف السليم الذي يكمل نموه بالمعدل الطبيعي. الفارق النهائي يعتمد على عمر الطفل وقت الإصابة
في حال كان الضرر في مركز النمو جزئيا، فالجزء المتبقي من مركز النو سيتسبب بنمو غير متماثل في العظمة ينحرف بها عن استقامتها الطبيعية.
لذلك كسور مراكز النمو تحتاج عناية ومتابعة متخصصة.
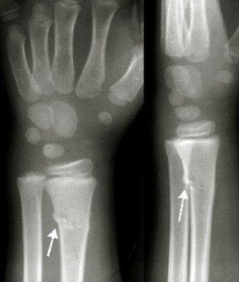
اختلاف آخر بين عظم الطفل وعظم البالغ هو خاصية الليونة التي تكون موجودة في عظم الطفل وليست موجودة في عظم البالغ.
ليونة عظم الطفل تجعله ينحني أحيانا كما ينحني الغصن الأخضر قبل أن ينكسر ...
الكسور الغير كاملة (ما يسمى في العامية الشَّعر) شائعة جدا ضمن كسور الأطفال وذلك لمرونة عظم الطفل الذي قد يكسر من جهة ويبقى متصلا من الأخرى…
يطلق الأطباء لقب "كسر الغصن الأخضر" على هذا النوع من كسور الأطفال الذي تنكسر فيه جهة من العظم وتبقى الأخرى سليمة وهو تشبيه دقيق …
متى ينبغي القلق من وجود كسر عند الطفل بعد حدوث الإصابة ؟
معظم العلامات الدالة هي علامات منطقية لحدوث إصابة شديدة مثل:
١- امتناع الطفل عن تحريك الطرف المصاب أو الوقوف عليه
٢- حصول انتفاخ شديد في وقت وجيز
.
.
٣- شدة الإصابة إذا كانت مشهودة (سقوط من ارتفاع عال أو سقوط جسم ثقيل على الطفل أو الارتطام بسرعة عالية )
٤- وجود انحراف واضح في الطرف المصاب
هذه العلامات تستدعي المسارعة للحصول على المساعدة الطبية
ذكرنا سابقا أن معظم كسور الأطفال يتم علاجها تحفظيا دون الحاجة للجراحة، وذلك إما بواسطة ردها وتحريكها لوضع افضل ومن ثم وضع الجبس للحفاظ عليها أو وضع الجبس عليها مباشرة دون الحاجة إلى التحريك إذا كان الكسر في وضع مقبول منذ البداية كما هو الحال في كثير من كسور الأطفال الغير كاملة
العناية بالجبس(الجبيرة) أمر مهم لمنع مضاعفاتها
أهم الاحتياطات هي رفع الطرف المصاب فوق مستوى الصدر سواء كان طرفا علويا او سفليا.
هذا الأمر تزداد اهمية في اليومين الاولى بعد الكسر ووضع الجبس لأن رفع الطرف فوق مستوى الصدر يقلل من الانتفاخ واحتباس الدم
كذلك يجب ان يشجع الطفل على حركة الأصابع المكشوفة من الجبيرة لان حركتها تحسن الدورة الدموية وتقلل من التورم بعد الكسر
يجب الحفاظ على الجبيرة جافة تماما وعدم السماح للأطفال الصغار بتعريضها للماء، الامر الذي قد يتسبب في اشكالات جلدية تحت الجبيرة
كما ذكر سابقا، كسور الأطفال تلتئم بسرعة كبيرة تصل إلى نصف المدة التي يحتاجها البالغون وغالبا لا ينتج عن علاجهم بالجبس تيبسات في المفاصل كما يحصل عند الكبار.
لذلك فالأطفال يتعافون سريعا بعد شفاء الكسر و إزالة الجبيرة
هناك ملاحظة يلاحظها العديد من الأطباء تحصل عند الأطفال بعد تعافيهم من الإصابات وهو أنهم يظلون فترة زمنية لا يستخدمون الطرف الذي تعافى استخداما كاملا وهذا يعزوه الكثير لوجود ذاكرة الألم عند الطفل التي تجعله يتحاشى استخدام الطرف المصاب .
هذه الظاهرة لا تبقى عادة أكثر من اسبوعين
كسور الأطفال المتكررة والناتجة عن اصابات طفيفة غير مقنعة بتسببها في كسر للعظام، تستدعي اجراء فحوصات مخبرية للتأكد من سلامة العظم عند الطفل
هناك امراض عديدة قد تتسبب في تكرار كسور الأطفال
منها الكساح بنوعيه الغذائي والوراثي، #العظم_الزجاجي ، العظم الصخري، التكيسات العظمية …
بقي أن نكرر ونذكر أن كسور الأطفال التي تستدعي معالجة من طبيب عظام أطفال مختص هي كسور المرفق وكسور الفخذ لأنها تحتاج تدخلا جراحيا…
دمتم ودام أطفالكم وأحبابكم بتمام الصحة والعافية ...

جاري تحميل الاقتراحات...