ريان | MD1TALK🌟
ريان | MD1TALK🌟

@md1talk

10 تغريدة 100 قراءة Sep 26, 2020
١#📍Hematology 101
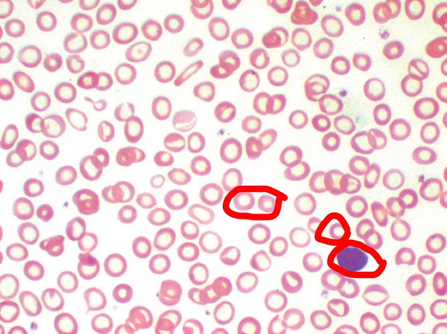
-عينة دم لشخص مصاب بفقر الدم بسبب نقص الحديد
-كيف تقدر تقرأ هذي الصورة ؟!
•بنهاية هذا الثريد راح تقدر تقرأ أفلام الدم بشكل مبسط ، لايك اذا حاب تقرأه في وقت ثاني 🙏🏻
٢#
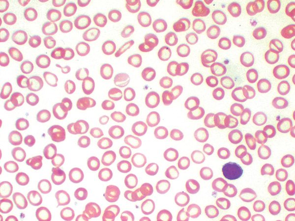
قاعدة: اذا تبغى تتعلم الشكل الغير طبيعي ، تعلم الشكل الطبيعي أولا:
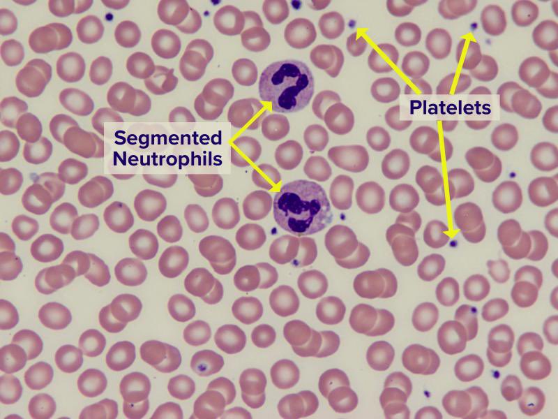
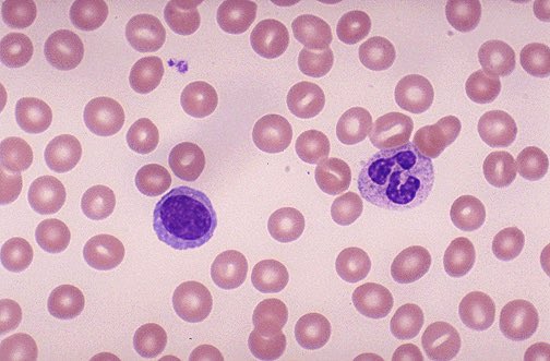
-هذا هو الشكل الطبيعي لفلم الدم🩸 👇🏻
-لاحظ شيئين:
•حجم كرات الدم الحمراء مقارنة بخلايا الدم البيضاء"هذا الدليل اللي راح تستدل فيه ، ومن خلاله تعرف الخلية الحمراء حجمها كبير أو صغير"
٣# لو كان حجم الخلية الحمراء صغير مقارنة بالخلية البيضاء -> نسميها Microcytic
-ولو كان حجمها كبير-> نسميها "Macrocytic”
٤#
•الملاحظة الثانية: هي أن الخلية الحمراء الطبيعية يتركز فيها الهيموقلوبين على أطراف هذه الدائرة ، ويكون التركيز في المنتصف قليل
💁🏻‍♂️الهيموقلوبين هو الذي يعطي الخلية اللون الأحمر عند الصبغه
٥#
•معرفتك للملاحظه السابقه يجعلك تعرف أن الفراغ الأبيض في الخليه إذا ⬆️ —>
⬇️ تركيز الهيموقلوبين بالخلية
•واذا أختفى الفراغ الأبيض—>
⬆️ تركيز الهيموقلوبين بداخل الخلية "حتى لو كانت الزيادة نسبية مثل ما يحدث في ال”Spherocytosis” عندما تصغر الخلية
٦#
•المصطلح المستخدم في وصف زيادة تركيز الهيموقلوبين بالخلية -> Hyperchromic
•والمصطلح المستخدم في وصف نقص تركيز الهيموقلوبين بالخلية-> Hypochromic
٧# معلومة بسيطة عشان نكون دقيقين 💁🏻‍♂️:
•كيف تحدد أن البياض كبير أو صغير مقارنة بالخلية ؟
•البياض لابد أن لايتجاوز ١/٣ الخلية ، لو تجاوز الثلث —> Hypochromic
٨# تعلمنا الشكل الطبيعي ؟
•الحين نأخذ الصوره اللي في أول الثريد ونطبق عليها
•لاحظوا الأبيض المتواجد في منتصف الخلية أكثر من ١/٣ -> Hypochromic
•لاحظوا أن حجم الخلية الحمراء صغير مقارنة بخلية الدم البيضاء ->Micorcytic
٩# التشخيص النهائي: 💁🏻‍♂️
Microcytic Hypochromic anemia
أشهر الأسباب:
•انيميا نقص الحديد
•انيميا الثلاسيميا
📍إجابة السؤال السابق ⬅️ أنيميا نقص الحديد 'Iron deficiency anemia’
▫️صورة رهيبة تلخّص الأعراض والعلامات والمتلازمات المصاحبة 🌟🤩
✳️شوفوا الثريد فوق عشان تعرفون تحلّون الأسالة اللي تجي بالصور 👆🏻

جاري تحميل الاقتراحات...