Dr.Bashayer Alharbi
Dr.Bashayer Alharbi

@Bashayer1411

30 تغريدة 1,637 قراءة Jun 12, 2020
Dental photography 📸🦷1
وردتني اسأله كثير الفتره الماضيه فقررت اكتب هذا الثريد وان شاء الله يكون مفيد للجميع ✨
الثريد راح يكون من رأيي وتجاربي الفتره الماضيه واستقبل اي تعليق واضافه ممكن تكون مفيده 👍🏼
حيكون طويل شويه فتقدر تسوي لايك وترجع له وقت مايناسبك 😌✨
2
الثريد حيكون مفيد للطلاب في السنوات الاكلينيكية والمقبلين على الدراسات العليا 🦷✨
حتكلم عن كذا نقطه من ضمنها اختيار الكاميرا - العدسه - الفلاش - الاكسسورات وبعض النصائح 📸✨
3
اول سؤال ايش الفائده من التصوير ؟
1-التشخيص : تقدر تراجع صور الحاله وتدقق فيها وتكبرها بدون تواجد المريض وتوفر وقت وجهد
2-التوثيق : راح يفيدك سواء كنت طالب وبتسلم حالاتك اخر السنه او حابب البيشنت يشوف الفرق قبل وبعد أو بس حابب توثق وتثبت شغلك
4
3-التقييم الذاتي: تصوير مراحل العلاج وتكبيرها ومراجعتها في البيت يفيدك باكتشاف اشياء ما انتبهت لها في العياده وتبدأ تقييم نفسك وتحاول تطور نفسك
4-التواصل : مع الدكاتره الاخرين للاستشارات او مع المعامل لتوضيح لون او شكل الاسنان المجاوره خصوصا للحالات التجميليه
5- الدعايه
5
1-الكاميرا - Camera body 📸 :
بنستخدم professional camera DSLR وفيه نوعين اساسيه Canon - Nikon جمعتلكم خيارات كثير اختارو منها اللي يناسبكم من ناحية السعر والحجم ( كل ماكنت اصغر كانت أسهل وأريح في الشغل )
anon او Nikon الفرق بينهم بسيط ويعتمد على التفضيلات الشخصيه
6
الانواع المقترحة :
1-Canon= Eos 800D - EOS 80D
- EOS 4000D - EOS 1300D - EOS 5D
2- Nikon = D7500 - D5600 - D3400
7
2-العدسات - Lens :
للتصوير تحتاج عدسة الماكرو - macro lens - بحيث تقدر تصور التفاصيل الدقيقه بجودة ووضح عالي
امثله لبعض الصور بالماكرو لنس ⬇️ 📸
8
العدسات متوفره من الشركات الاساسيه Canon - Nikon بالنسبه لي هيا الافضل
ومتوفره من شركات اخرى كبديل و بسعر اقل مثل Sigma - Tamron - Tokina مصصمه لتكون مناسبه للنوعين مع بعض canon + nikon او تكون مودلين مختلفه لكل شركه نوع مختلف (اتاكد قبل الشراء )
9
الانواع المقترحة :
➡️ Canon ➖Canon EF 100mm f/2.8
➡️ Nikon ➖Nikon AF-S VR Micro 105mm f/2.8
➡️ For Both Canon and Nikon
➖Sigma 105mm f/2.8
➖Tamron AF 90mm f/2.8
➖ Tokina at-X PRO M 100mm F2.8
10
الفلاش - Flash =
حتكلم عن 4 انواع جربتها وايش مميزات وعيوب واستخدام كل نوع ✨
1️⃣- Ring Flash = الفلاش الحلقي
2️⃣-Twin Flash = الفلاش المزدوج
3️⃣-Studio Flash = فلاش الستديو Round
4️⃣- Round flash (Doughnut flash 🍩) used with speed light= الفلاش الدائري
11
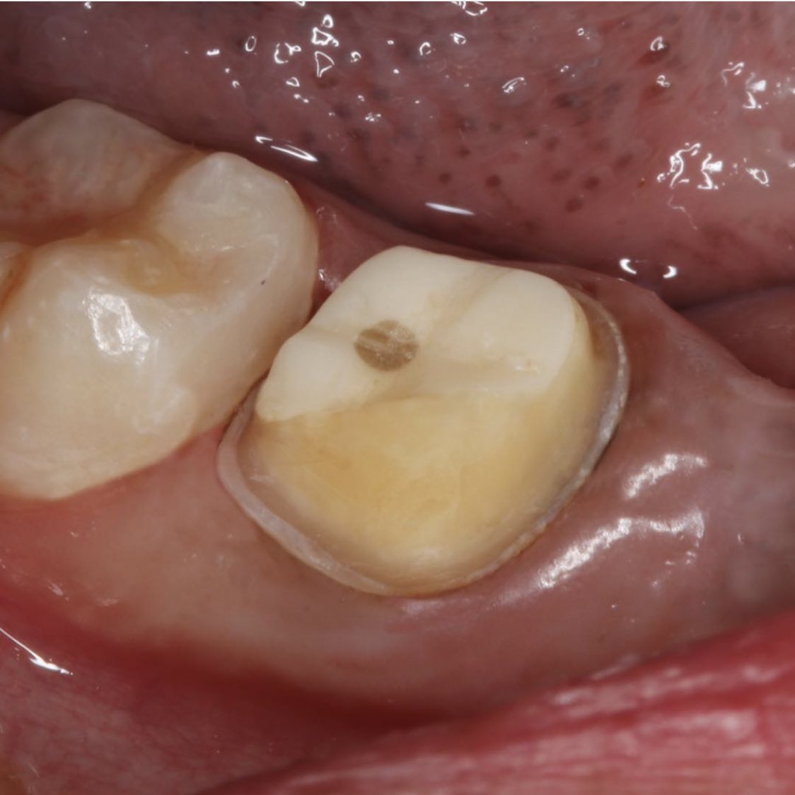
1️⃣- Ring Flash = الفلاش الحلقي :
➖الاضاءه تكون متساويه من جميع الاتجهات بدون شدو فمناسب جدا للتصوير Intra-oral
➖استخدامه في التصوير سهل جدا ووزنه خفيف والصور واضحه (النوع المفضل للمبتدئين )
➖بالنسبه لي هوه الاختيار المناسب للتصوير العملي اليومي
مثال لصوره ⬇️ 📸
12
الRing flash فيه اختلاف بين الانواع المتوفره لcanon او nikon فحتكلم عنهم منفصلين ⬇️⬇️⬇️
13
Ring flash for Canon ✨
1-شركة Canon توفر Ring flash وهاذي بالنسبه ليا من مميزات كاميرا كانون
⬅️ Canon MR-14EX II Macro Ring
انواع من شركات اخرى متوافقه مع كانون بسعر و كواليتي اقل
2- Sigma الريفيوز عليه كويسه بس ماجربته
⬅️
Sigma EM-140 Macro Ring flash for canon
14
3- YongNuo ( تقريبا ربع السعر 100$ )
⬅️YongNuo YN-14EX TTL Macro Ring Lite Flash Light for Canon
مع انه في كثير يستخدموه بس تجربتي معاه كانت سيئه الفلاش بطيئ ويحتاج وقت بين كل استخدام والصور مهي بالكواليتي المطلوبه فجربتو فتره قصيره وبعدها اشتريتcanon والفرق بينهم كبير جدا
15
✨ Ring flash for Nikon
شركه nikon مابتوفر Ring flash ولكن في شركات اخرى توفر فلاش متوافق مع الكاميرا والريڤيوز عليهم كويسه
⬅️Sigma EM-140 DG Macro ring flash for nikon
⬅️Metz MZ 15 MS -1 Macroslave Macro Flash for nikon
16
2️⃣- Twin Flash = الفلاش المزدوج
➖الاضاءه تكون من اليمين واليسار ويمكن التحكم باتجهاهم فاذا كنت مبتدأ في الاستخدام راح يكون صعب عليك وممكن الاضاءه في الصوره تكون في جهه اكثر من الجهه الاخرى
➖ الشخص اللي عندو خبره كافيه في استخدامه راح يصور صور جماليه احترافيه
17
➖يمكن اضافه mini soft box للفلاش لنتيجه افضل
➖ يفضل لsmile اكثر من Intra-oral
في الTwin flash في اختلاف بين الانواع المتوفره لcanon او nikon فحتكلم عنهم منفصلين
18
Twin flash for Canon✨
1-Canon من شركة رائع جدا
⬅️ Canon MT-26 EX Macro Twin Lite Flash for Canon
بديل من شركه متوافقه مع كانون
2- من شركة YONGUNO
⬅️ YONGNUO YN-24EX Macro Ring Flash
بديل بسعر ارخص ولكن بالنسبه للكواليتي ماناسبني ابدا
19
Twin flash for Nikon ✨
1- من شركة Nikon
⬅️Nikon R1C1 Twin flash for Nikon
بديل من شركه متوافقه مع نيكون
2- من شركة Meike
⬅️ Meike MK-MT24 Macro Twin Lite Flash for nikon
20
3️⃣-Studio Flash = استديو متكامل
➖هنا الفن 😍 الصور بالطريقه دي تعطي نتيجه خراااافيه ولكن تحتاج مساحه في العياده
➖ افضل نوع لتصوير حالات التجميل Veneers - Crowns
➖متوفر من شركات كثيره من ضمنها GODOX
مثال لصوره ⬇️ 📸
21
4️⃣-Round flash (Doughnut flash 🍩) used with speed light= الفلاش الدائري
➖مناسب كبديل لو حابب تاخد صور لحالات تجميل ولكن ماعندك مساحه كافيه
نتجيته افضل من الtwin + Ring ولكن اقل من Studio falsh
➖الافضل من شركه Roundflash ولكن مو متوفر دايما ومعاه speed light من godox
22
الاكسسورات -Accessories :
➖بالنسبه لل retractors + contrasters رأي الشخصي النوع مايفرق كثير المهم يكون عندك مقاسات مختلفه تناسب فك المريض عشان مايتضايق
➖ الشفاف ناسبني اكثر من الاسود
➖ الميتال تسوي ريتراكشن اكتر
انواع كتيره متوفره في المحلات و اونلاين اختار اللي يناسبك
23
تابع الاكسسورات - Accessories :
➖الMirrors جربت انواع كثيره جدا وجميعها كانت نتجيتها غير مرضيه وتتخدش بسرعه وكل فتره اغيرها
➖نوع واحد اللي كان ممتاز جدا وحسيت بالفرق عن الباقين من شركه doctorseyes انصح بيها للجميع سعرها مرتفع بس تستاهل
➖وتلاقوها اونلاين او في الموتمرات
24
اعدادات الكاميرا - camera setting :
عشان الموضوع يكون سهل اختصرتو في الصوره ⬇️📷
25
البطاريات - Battery :
➖ راح تحتاج كمية كبيره مع الاستخدام فالافضل يكون عندك بطاريات شحن راح يوفر عليك كثير
➖ النوع في الصوره ممتاز جدا متوفر في جرير و امازون
26
واخيرا اكاونتي في انستقرام لو حابين تشوفو صور وحالات ⬇️📷
instagram.com
27
نسيت السؤال الاساسي عن النوع اللي بستخدمه :
كاميرا وعدسه ✨
Canon EOS 80D DSLR Camera
Canon EF 100mm f/2.8 Macro lens
الفلاش ✨
للاستخدام اليومي :
Canon MR-14EX II Macro Ring Lite
للحالات التجميليه :
Studio Flash او
Round flash (Doughnut flash 🍩)
with speed light
28
من فين نشتري ؟
اغلب الادوات اشتريتها
1- متجر كميرتي mycam.sa في الرياض بس يوصلو كل مكان - اسعارهم وتعاملهم كويسين
2- amazon.com
الاكسسورات اونلاين و اماكن مختلفه ومن معارض المؤتمرات
29
اجابه بعض الاسئله المتكرره من الخاص :
الفرق بين عدستين canon 100mm
1-Canon EF 100mm f/2.8 Macro USM Lens = 1650 SR
2- Canon EF 100mm f/2.8L Macro IS USM = 2650 SR
الفارق الاهم ان النوع الثاني فيه مانع للاهتزاز ودي الميزه ماتفرق في الدنتال ڤوتوغرافي فتقدر تاخد النوع الاول
30
من فين نقدر نطلب المرايات Doctorseyes :
1- موقعهم الرسمي doctorseyes.com (ماجربته )
2- amazon (غالبا مو كل المقاسات متوفره )
3-dentestore.com (موقع امارتي يوفر اغلب الادوات )
4- المعارض المصاحبه للمؤتمرات ( مثل دبي )
جربت مقاس #15 + #17 وناسبتني

جاري تحميل الاقتراحات...