Shadi Alharbi
Shadi Alharbi

@Shadi_H94

11 تغريدة 29 قراءة Jun 09, 2020
"كيف تعرف اتجاه تدفق الدم بالالتراساوند"
بعضنا عنده حيرة وتساءلات كثير عن طريقة كيف اعرف اتجاه تدفق الدم بالالتراساوند او يحس الموضوع معقد مثل ماكنت اعتقد انا وهل هو ماشي صح او غلط وكيف اعرف مكان البروب بالشاشه وين مكانه .. راح انزلها تحت التغريده
" قبل اتكلم عن الطريقه لابد ان يكون مكان البروب على المريض صحيح ووضعه صحيح وعلى الوعاء الي بصوره "
فيه ثلاث امور رئيسية ومن خلالها نعرف الاتجاه الصحيح للتدفق
هل هو Antegrade or Rterograde
Antegrade : الدم يكون ماشي بالاتجاه الي المفترض يمشي فيه
Retrograde : الدم يكون ماشي عكس الاتجاه الي المفترض يمشي فيه
1 - notch or marker :
وهذي تكون على جنب البروب وفي حالات فحص الاوعيه وتدفقها لابد يكون اتجاه الmarker للرأس
وراح تشوفها برضوا بالشاشه فوق ولابد تكون يسار " بالشاشه " ويرمز لها برموز كثيره مثل (دائرة او كلمة Lugo) وهي تدل على مكان الرأس وهي مثل البوصلة الي تعلمنا وين الاتجاهات
2- color map :
وهنا يهمنا الموجب أو السالب بس بغض النظر عن اللون سواء كان " ازرق او اصفر او احمر او فسفوري او اخضر مايهم لو تخيلت انهم صور حتى "
الموجب ( + ) = يدل على ان التدفق يركض للبروب
السالب ( - ) = يدل على ان التدفق هاج "يهرب" من البروب
حتى لو غيرنا وعكسنا السالب والموجب خلينا واحد تحت والثاني فوق والعكس
" مايهم مدام المبدأ ثابت "
( والكلام ينطبق على الـ spectral waveform بعد )
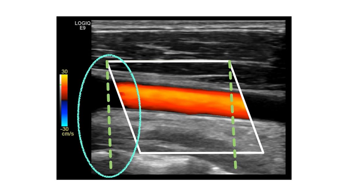
3- color box :
في ” الـ linear probe ” اذا فتحنا الـ box نشوف الزاويتين الي فوق ونرسم خط تخيلي لتحت ( الخط الي برا المربع هو الي يكون بجهة البروب ) ومنه راح نستنتج مكان البروب ( يمين او يسار )
في " الـ convex probe ”
اذا فتحنا الـ box يكون البروب فوق دائماً .
طيب لو فرضنا ان الـ box مو موجود نعرف مكان البروب عن طريق
" simple volume and angel cursor “ نرسم خطين تخيلين ( الخط الي يلمس الـ beam path من "الجهه العلويه " راح يكون البروب بنفس الجهه هذي )
مثال : لو الخط الي رسمناه لامس الـ beam path من اليمين راح يكون البروب يمين والعكس
طبق المعايير الي فوق على هالصورتين وبتعرف هل الاتجاه صحيح او لا
للتوضيح :
[ هذي الطريقه الي تعلمتها واتبعها في معرفة اتجاه الدم وكل شخص وله طريقته ]
” ومثل مانقول دائماً أن الالتراساوند
Operator Dependent ”
اتمنى لو اني أفدت لو بشيء بسيط

جاري تحميل الاقتراحات...