أمراض الغدد اللعابية
كم عدد الغدد اللعابية في جسم الإنسان؟ما هي وظائفها والأمراض التي ممكن أن تصيبها؟ وما الأمراض العضوية الأخرى المرتبطة بها؟ وماهي طرق علاجها؟
هذا ال #ثريد يجيب على هذه الأسئلةوبإذن الله تجدوها مفيدة
#صوت_الطبيب
@wedocaresaudi
@tabebcom7576
@tabib1online
كم عدد الغدد اللعابية في جسم الإنسان؟ما هي وظائفها والأمراض التي ممكن أن تصيبها؟ وما الأمراض العضوية الأخرى المرتبطة بها؟ وماهي طرق علاجها؟
هذا ال #ثريد يجيب على هذه الأسئلةوبإذن الله تجدوها مفيدة
#صوت_الطبيب
@wedocaresaudi
@tabebcom7576
@tabib1online
٢)
الغدد اللعابية تفرز اللعاب داخل الفم والذي يؤدي دور مهم في عملية البلع والمضغ وكذلك الحفاظ على صحة الفم ومقاومة العدوى في الفم والبلعوم
أعراض أمراض الغدد اللعابية تكون عادة انتفاخ، الم، جفاف في الفم وغيرها
الغدد اللعابية تفرز اللعاب داخل الفم والذي يؤدي دور مهم في عملية البلع والمضغ وكذلك الحفاظ على صحة الفم ومقاومة العدوى في الفم والبلعوم
أعراض أمراض الغدد اللعابية تكون عادة انتفاخ، الم، جفاف في الفم وغيرها
٣)
يمكن تقسيم أمراض الغدد اللعابية الى:
-التهابات الغدد اللعابية
-حصوات الغدد اللعابية والأكياس اللعابية
-أورام الغدد اللعابية
والغدد اللعابية كذلك ممكن أن تتأثر بالامراض العضوية الأخرى مثل داء السكر و بعض امراض المناعة الذاتية وكذلك بعض امراض التغذية
يمكن تقسيم أمراض الغدد اللعابية الى:
-التهابات الغدد اللعابية
-حصوات الغدد اللعابية والأكياس اللعابية
-أورام الغدد اللعابية
والغدد اللعابية كذلك ممكن أن تتأثر بالامراض العضوية الأخرى مثل داء السكر و بعض امراض المناعة الذاتية وكذلك بعض امراض التغذية
٤)
جفاف الفم مرتبط بمجموعة كبيرة من الامراض العضوية والأدوية وبعض العلاجات الطبية المختلفة. اكثر من ٥٠٠ دواء تم ملاحظة ارتباطها بجفاف الفم وبعضها ربما لا يوجد بديل مناسب لها. جفاف الفم يقتضي مراجعة مع طبيب مختص لمراجعة تفاصيل التاريخ المرضي
جفاف الفم مرتبط بمجموعة كبيرة من الامراض العضوية والأدوية وبعض العلاجات الطبية المختلفة. اكثر من ٥٠٠ دواء تم ملاحظة ارتباطها بجفاف الفم وبعضها ربما لا يوجد بديل مناسب لها. جفاف الفم يقتضي مراجعة مع طبيب مختص لمراجعة تفاصيل التاريخ المرضي
٥)
التهابات الغدد اللعابية
يمكن ان تنتج من التهاب فيروسي او التهاب بكتيري او غير مرتبط بعدوى جرثومية مثل ان يكون نتيجة مرض عضوي كأحد امراض المناعة الذاتية او العلاج الاشعاعي الذي يشمل منطقة الغدد اللعابية.
الغدة اللعابية الأكثر اصابةً بالالتهابات هي الغدة النكافية
التهابات الغدد اللعابية
يمكن ان تنتج من التهاب فيروسي او التهاب بكتيري او غير مرتبط بعدوى جرثومية مثل ان يكون نتيجة مرض عضوي كأحد امراض المناعة الذاتية او العلاج الاشعاعي الذي يشمل منطقة الغدد اللعابية.
الغدة اللعابية الأكثر اصابةً بالالتهابات هي الغدة النكافية
٩)
علاج الحصوات يبدأ بالحلول التحفظية والتي تشمل توصية المريض بأخذ كمية كافية من السوائل مع بعض الأغذية الحمضية لتحفيز الغدة اللعابية وفي عدد كبير من الحالات يمكن للجسم ان يفرز الحصوة من القناة اللعابية.وايضاً قد يحتاج المريض مضادات حيوية اذا بدأت اعراض التهاب بكتيري.
علاج الحصوات يبدأ بالحلول التحفظية والتي تشمل توصية المريض بأخذ كمية كافية من السوائل مع بعض الأغذية الحمضية لتحفيز الغدة اللعابية وفي عدد كبير من الحالات يمكن للجسم ان يفرز الحصوة من القناة اللعابية.وايضاً قد يحتاج المريض مضادات حيوية اذا بدأت اعراض التهاب بكتيري.
١٤)
لا يعرف بالتحديد سبب نشوء اورام الغدد اللعابية.تعرض المنطقةلعلاج اشعاعي تزيد من نسبةنمو الاورام لاحقاًلكن غالبيةالحالات لا يسبقها علاج اشعاعي.تم دراسةارتباط هذه الأورام باستخدام الهاتف الجوال نظراًلقربه من منطقةالغدةالنكافية ولكن الدراسات،الى الان،لاتشير الى اي ارتباط بينهما
لا يعرف بالتحديد سبب نشوء اورام الغدد اللعابية.تعرض المنطقةلعلاج اشعاعي تزيد من نسبةنمو الاورام لاحقاًلكن غالبيةالحالات لا يسبقها علاج اشعاعي.تم دراسةارتباط هذه الأورام باستخدام الهاتف الجوال نظراًلقربه من منطقةالغدةالنكافية ولكن الدراسات،الى الان،لاتشير الى اي ارتباط بينهما
١٦)
لا ينبغي في اورام الغدد اللعابية اخذ خزعة جراحية (كما في اورام الفم مثلاً) والتي تتضمن استئصال جزء من الورم لان هذا قد يؤدي الى زيادة احتمالية عودة ورم الغدة اللعابية بعد استئصاله. هذا التدخل غير مقبول الا في نطاق ضيق جداً
لا ينبغي في اورام الغدد اللعابية اخذ خزعة جراحية (كما في اورام الفم مثلاً) والتي تتضمن استئصال جزء من الورم لان هذا قد يؤدي الى زيادة احتمالية عودة ورم الغدة اللعابية بعد استئصاله. هذا التدخل غير مقبول الا في نطاق ضيق جداً
١٧)
علاج اورام الغدد اللعابية يتضمن في معظم الحالات التدخل الجراحي اولاً ويتضمن استئصال الورم مع او بدون الغدة اللعابية التي نشأ منها. توجد عدة تدخلات جراحية تراجع في العيادة مع المريض على حسب ما تقتضيه الحالة
علاج اورام الغدد اللعابية يتضمن في معظم الحالات التدخل الجراحي اولاً ويتضمن استئصال الورم مع او بدون الغدة اللعابية التي نشأ منها. توجد عدة تدخلات جراحية تراجع في العيادة مع المريض على حسب ما تقتضيه الحالة
١٨)
في حال كان التشخيص لورم سرطاني لا قدر الله فينبغي طلب اشعات إضافية للتأكد من عدم انتشار الورم لمناطق أخرى وقد تشمل الجراحة حينها الغدد اللمفاوية في الرقبة وهذا مرتبط بنوع الورم الذي تم تشخيصه واحتمالية انتشاره للغدد اللمفاوية.
في حال كان التشخيص لورم سرطاني لا قدر الله فينبغي طلب اشعات إضافية للتأكد من عدم انتشار الورم لمناطق أخرى وقد تشمل الجراحة حينها الغدد اللمفاوية في الرقبة وهذا مرتبط بنوع الورم الذي تم تشخيصه واحتمالية انتشاره للغدد اللمفاوية.
هذه نهاية الثريد عن أمراض الغدد اللعابية بصفة عامة وفيها النقاط الأساسية الي مهم تكون معروفة
يسعدني الإجابة على اي استفسارات وعلشان المواضيع كثير وحتى لا يزدحم التايم لاين فضلا إرسال اي سؤال على الخاص وأجاوب عليها في أقرب وقت ان شاء الله
#جراحة_الوجه_والفكين
#maxillofacial
يسعدني الإجابة على اي استفسارات وعلشان المواضيع كثير وحتى لا يزدحم التايم لاين فضلا إرسال اي سؤال على الخاص وأجاوب عليها في أقرب وقت ان شاء الله
#جراحة_الوجه_والفكين
#maxillofacial
الغدة النكافية هي الأكثر إصابة بالتهابات وأورام الغدد اللعابية.
والغدة التي تحت الفك السفلي هي الأكثر إصابة بحصوات الغدد اللعابية.
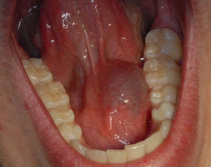
والغدة التي تحت اللسان نادر تأثرها بالتهابات او أورام وأكثر شي يؤثر عليها هو الكيس اللعابي Ranula
والغدة التي تحت الفك السفلي هي الأكثر إصابة بحصوات الغدد اللعابية.
والغدة التي تحت اللسان نادر تأثرها بالتهابات او أورام وأكثر شي يؤثر عليها هو الكيس اللعابي Ranula
الجراحة المعتمدة عبر العقود الماضية لأورام الغدة النكافية وخصوصاً الحميدة منها هي ال
Superficial Parotidectomy
وكما هو في الفيديو التعريفي يقتضي ازالة الجزء السطحي من الغدة النكافية مع الورم وايضاً جرح طويل ممتد الى الرقبة(الصورة).
ولكن ..
#صوت_الطبيب
youtu.be
Superficial Parotidectomy
وكما هو في الفيديو التعريفي يقتضي ازالة الجزء السطحي من الغدة النكافية مع الورم وايضاً جرح طويل ممتد الى الرقبة(الصورة).
ولكن ..
#صوت_الطبيب
youtu.be
ولكن في العقد الأخير كثير من الدراسات تدعم جراحة اقل حدة لإزالة الورم مع ضمان نفس النتائج من السيطرة على الورم وعدم عودته وهي
Extracapsular Dissection
وكما يظهر في الفيديو الجرح اصغر والجراحة تقتضي ازالة الورم فقط من دون ازالة جزء كبير من الغدة معه
youtu.be
Extracapsular Dissection
وكما يظهر في الفيديو الجرح اصغر والجراحة تقتضي ازالة الورم فقط من دون ازالة جزء كبير من الغدة معه
youtu.be
وتوجد أنواع أخرى وعديدة من جراحات الغدة النكافية ويختلف التدخل الجراحي باختلاف معطيات الحالة ولا بد ان تراجع بالتفصيل مع الطبيب المعالج
جاري تحميل الاقتراحات...