دواعي استخدام منظار الأشعة الصوتية:
اساسياً للتشخيص وللحصول على صور لاعضاء الجهاز الهضمي بغاية الدقة.
أنواع منظار الأشعة الصوتية:
١-لفحص البنكرياس
٢-لفحص القنوات المرارية
٣-لفحص المرئي
٤- لفحص المعدة والأثنى عشر
٥-لفحص المستقيم والقولون
كل نوع له دواعي الاستخدام الخاصة به
اساسياً للتشخيص وللحصول على صور لاعضاء الجهاز الهضمي بغاية الدقة.
أنواع منظار الأشعة الصوتية:
١-لفحص البنكرياس
٢-لفحص القنوات المرارية
٣-لفحص المرئي
٤- لفحص المعدة والأثنى عشر
٥-لفحص المستقيم والقولون
كل نوع له دواعي الاستخدام الخاصة به
منظار الأشعة الصوتية المري والمعدة:
١-لتشخيص الورم و عمل تصنيف TNM.
٢-تحديد القدرة على الاستئصال من عدها
٣- لتشخيص أي نتوء داخل العمدة أو المريئ
٤- لأخذ عينه من الغدد اللمفاوية في هذه المنطقة
٥- لعلاج النزيف بسبب ارتفاع الضغط البورتالي.
٦- لاستكمال فحص انسداد المرئي الوظيفي
١-لتشخيص الورم و عمل تصنيف TNM.
٢-تحديد القدرة على الاستئصال من عدها
٣- لتشخيص أي نتوء داخل العمدة أو المريئ
٤- لأخذ عينه من الغدد اللمفاوية في هذه المنطقة
٥- لعلاج النزيف بسبب ارتفاع الضغط البورتالي.
٦- لاستكمال فحص انسداد المرئي الوظيفي
منظار الأشعة الصوتية للمستقيم:
٢-تحديد القدرة على الاستئصال من عدمها
٣- لتشخيص أي نتوء داخل المستقيم أو الشرج
٤- لأخذ عينه من الغدد اللمفاوية في هذه المنطقة
٥- لعلاج الخراج أو سد فتحة الناصور( حالات معينة
٢-تحديد القدرة على الاستئصال من عدمها
٣- لتشخيص أي نتوء داخل المستقيم أو الشرج
٤- لأخذ عينه من الغدد اللمفاوية في هذه المنطقة
٥- لعلاج الخراج أو سد فتحة الناصور( حالات معينة
منظار الاشعة الصوتية للقولون النازل:
لتحديد مدى عمق أو انتشار بطانة الرحم المهاجرة
لتحديد مدى عمق أو انتشار بطانة الرحم المهاجرة
بعض هذه الحالات قد يطلب الطبيب عمل MRI بدلا من منظار الأشعة بسبب لعدم وجود قدرة على عمل منظار الاشعة سواء لعدم وجود الطبيب المختص أو لعدم وجود جهاز منظار الاشعة
أشعة الرنين قد تساعد التشخيص ولكن ليست بديل لمنظار الاشعة الذي يعد الوسيلة الفضلى أو gold standard في هذه الحالات
أشعة الرنين قد تساعد التشخيص ولكن ليست بديل لمنظار الاشعة الذي يعد الوسيلة الفضلى أو gold standard في هذه الحالات
كيفية التخصص في مجال منظار الجهاز الهضمي:
المتطلبات:
١- طبيب متخصص في أمراض الجهاز الهضمي
٢- متخصص في المناظير الدقيقة
التدريب:
-ستة اشهر في قسم الأشعة
-٢ ألى ٣ سنوات تدريب عملي أو نظري تحت إشراف طبيب ومدرب متخصص
-للحصول على الكفاءة المطلوبة يجب عمل ١٠٠ منظار من هذا النوع
المتطلبات:
١- طبيب متخصص في أمراض الجهاز الهضمي
٢- متخصص في المناظير الدقيقة
التدريب:
-ستة اشهر في قسم الأشعة
-٢ ألى ٣ سنوات تدريب عملي أو نظري تحت إشراف طبيب ومدرب متخصص
-للحصول على الكفاءة المطلوبة يجب عمل ١٠٠ منظار من هذا النوع
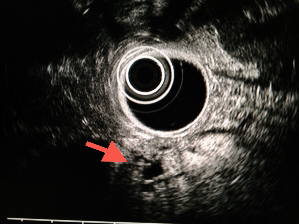
Ampullary cancer
#endoscopicultrasounds
منظار الأشعة الصوتية يظهر انسداد القناة المرارية الرئيسية بورم في فتحة اوددي. أعراض المرض صفار والتهاب في القنوات المرارية في بعض الأحيان. قد يشخص خطئا بحصوة في القناة المرارية إذا لم يتم عمل أشعة النظار الصوتية
#endoscopicultrasounds
منظار الأشعة الصوتية يظهر انسداد القناة المرارية الرئيسية بورم في فتحة اوددي. أعراض المرض صفار والتهاب في القنوات المرارية في بعض الأحيان. قد يشخص خطئا بحصوة في القناة المرارية إذا لم يتم عمل أشعة النظار الصوتية
جاري تحميل الاقتراحات...