د. عبدالعزيز المعاوي
د. عبدالعزيز المعاوي

@dr_almaawi

6 تغريدة 187 قراءة May 31, 2020
١/٦
يعاني كثير من المرضى الذين يزورون عيادة جراحة القدم والكاحل من مشكلة شائعة وهي خشونة مفصل الإصبع الكبير بالقدم. هذه الخشونة تؤدي الى آلام واحتكاك بالجزمة بالذات عند المشي. إذا تقدمت الحالة، الألم قد يستمر بعد الجلوس والراحة
يتبع...
#فضفضة_طبيب
@mohenews
٢/٦
أسباب خشونة مفصل الإصبع الكبير بالقدم:
-وجود انحراف بالإصبع الكبير بالقدم
-القدم المسطحة flat foot
-الامراض الروماتيزمية
-كسور في الإصبع الكبير
٣/٦
الأعراض:
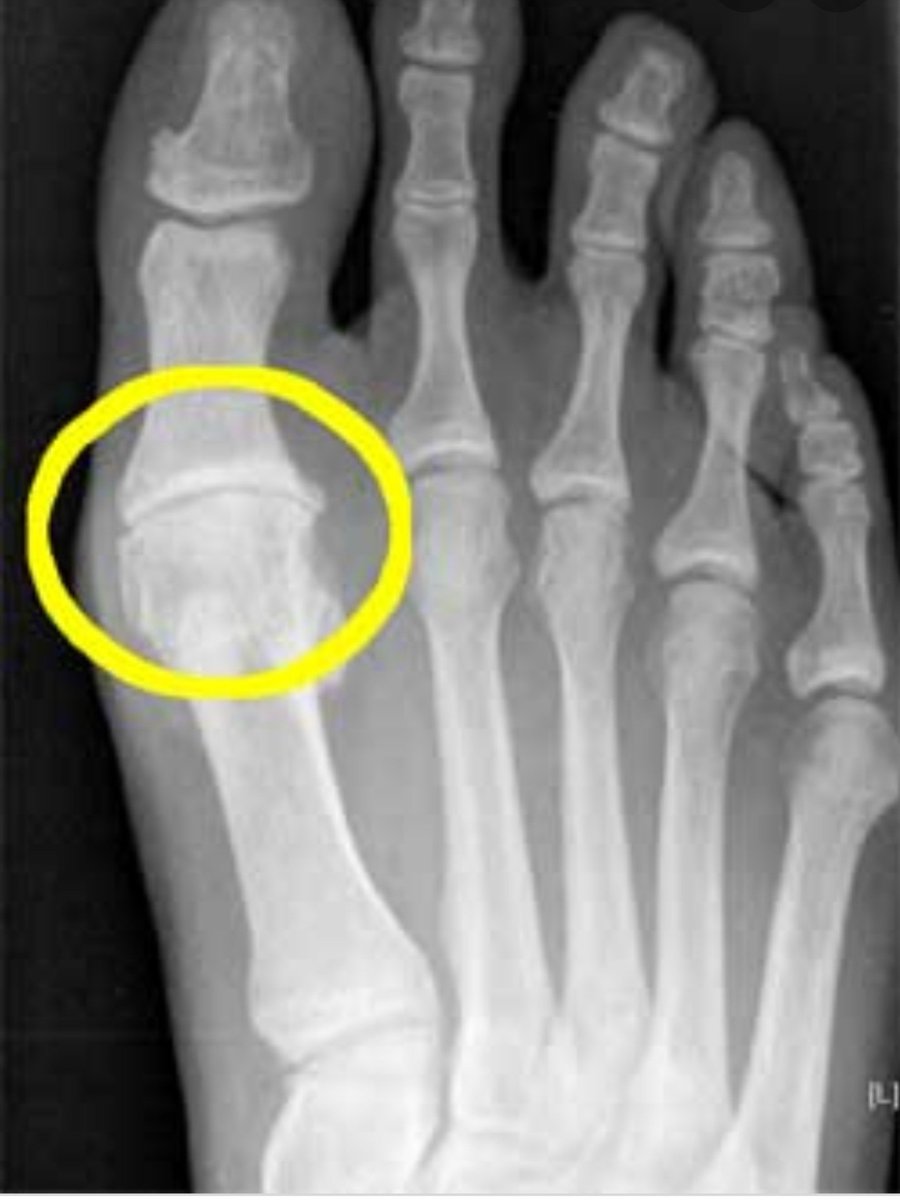
-وجود ألم في المنطقة الموضحة بالصورة، الألم في البداية يكون عند المشي لمسافات طويلة ولكن مع تقدم الحالة يستمر الألم طوال الوقت
-احتكاك سطح المفصل بالجزمة ووجود احمرار بالمنطقة
-عدم القدرة على ثني الإصبع كاملا وعدم القدرة على الركض أو القفز
٤/٦
عند الفحص السريري:
-وجود ألم عند تحريك الإصبع للأعلى او للأسفل
-تكلس او تيبس بالجلد المحيط
-الطبيب أيضا سيفحص القدم للبحث عن أسباب الاحتكاك مثل وجود تسطح بالقدم
الاشعة:
-خشونة و تضيق بالمفصل
-وجود زوائد عظمية في الجزء الأعلى من المفصل
-وجود انحراف في الإصبع الكبير
٥/٦
العلاج غير الجراحي:
-استخدام فرشة خاصة للحذاء Morton's extension orthotics
-إضافة فرشة خاصة اذا كانت القدم مسطحة
-وضع دعامة مطاطية تخفف من احتكاك المفصل بالحذاء
٦/٦
العلاج الجراحي في الحالات غير المتقدمة (التي لم تتحسن بالعلاج غير الجراحي) :
-إزالة الزوائد العظمية وتحسين حركة المفصل
-اعادة تقويم المفصل
العلاج الجراحي بالحالات المتقدمة:
١-تغيير المفصل بإضافة مادة خاصة لتغطية سطح المفصل
Hydrogel polymer
٢-تثبيت المفصل نهائيا

جاري تحميل الاقتراحات...