Dr.Khalil W. AlAwad 🌹🌹🌹🌹🌹 د. خليل وصال العوض
Dr.Khalil W. AlAwad 🌹🌹🌹🌹🌹 د. خليل وصال العوض

@wesal10

29 تغريدة 237 قراءة May 30, 2020
#ثريد يتكلم بشكل مفصل عن #ابتسامة_هوليوود حاولت إختصاره قدر الإمكان وبنفس الوقت عدم إهمال أي جانب
بسم الله نبدأ
تم إنشاء فكرة ابتسامة “هوليود” بشكل كبير من قِبل وسائل الإعلام على مدى العقود العديدة الماضية ، وأصبحت الآن مطلباً هاماً للعديد من الأشخاص
حيث لوحظ في السنوات الماضية توجه العديد من الأشخاص للاهتمام بأسنانهم أكثر مما سبق مع تطور العديد من وسائل التجميل الخاصة بطب الأسنان ، أو حتى تقليدهم للمشاهير والفنانين فيما يتعلق بجمال وبياض الأسنان ، إذ أصبح جُلَّ اهتمامهم الحصول على أسنان مصفوفة ومرتبة بدقة وناصعة البياض.
لابتسامة هوليود العديد من المسميات المنتشرة بين الناس فمنها ، عدسات الأسنان ، سميت بذلك الاسم لأن سماكتها تشابه سماكة العدسات المستخدمة للعينين ، وسميت ابتسامة المشاهير لأن أول من عمل ابتسامة هوليود هم مشاهير السينما (لذلك سميت أيضاً ابتسامة هوليود)
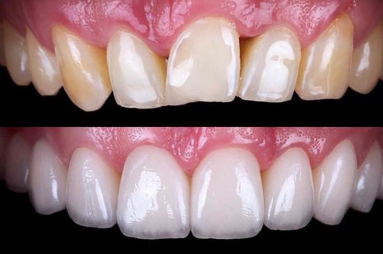
ماهي ابتسامة هوليود
هي ابتسامة مثالية صحية ، يكون فيها لون الأسنان ناصع البياض( أو متوسط البياض) حسب كل حالة و احتياجاتها
وترتيب وشكل الأسنان يكون بشكل منتظم وصحيح وأيضاً مع التركيز على صحة وسلامة اللثة لأنها جزء من جمالية ابتسامة هوليود.
معايير ابتسامة هوليود :
التماثُل والتطابُق ما بين شكل وحجم وطول كل ضرس ما يقابله بالضرس الآخر
توازي خطي الوجه ( توازي الخط الوهمي ما بين بؤبؤي العينين والخط الحقيقي الأفقي ما بين الشفتين )
توازي حافة الأسنان العلوية مع الشفاه السفلية
عدم ظهور اللثة العلوية بشكل مبالغ
أيضا عُرض الابتسامة ( كلما كانت أوسع كان ذلك أفضل) من ناحية ظهور الأسنان بالشكل الكامل
الشفتين (يجب أن تكون الشفاه جميلة وممتلئة وكل جهة متناسقة مع الجهة المقابلة ومتناسبة مع لون بشرة الوجه)
تناسب الزوايا ما بين الأسنان العلوية
طريقة عمل ابتسامة هوليود :
هنالك عدة طرق لتركيب وعمل ابتسامة هوليود ، ولكن أربعة طرق رئيسية وهي:
القشور الخزفية ( الفينييرز ) ، اللومينيير ، الزيركون و تقويم الأسنان.
(القشور الخزفية) هو مصطلح خاص بالفينيرز(Veneers) : هي عبارة عن قشور ذات سماكة قليلة جدا يتم صنعها خصيصاً لكل شخص ، تتراوح سماكتها ما بين 0.25 إلى 0.5 ملم. يتم وضعها على الجهة الأمامية لكل سن ، حيث تعمل هذه القشور على تغيير حجم وشكل الأسنان بما يتناسب مع حجم وشكل فك ووجه كل شخص.
تستخدم في حال إن كان لون الأسنان داكن جدا ولا يمكن علاجه بالتبييض.
يتم تصنيع هذه القشور من الخزف (Porcelain)، فهي مادة صلبة وقادرة على مقاومة الخدوش و البقع ولا يتغيّر لونها ، كما أنها تعكس بشكل قريب جداً طبيعة شكل ولون الأسنان الطبيعية ، ليصبح شكل الأسنان يبدو طبيعيا.
اللومينيير Lumineers ( إسم تجاري وليس علمي ) هو نوع من البورسلين حيث يعتبر اللومينير أخف درجة من ناحية اللون وأقل سماكة من الفينيير. يزداد الطلب على اللومينير كونه لا يحتاج الطبيب في هذه الطريقة إلى بَرد الأسنان مما يحافظ على طبقة مينا الأسنان وبالتالي الحفاظ على بنيتها.
الكراون Crowns (تلبيسات الأسنان) :من أشهر المواد المستخدمة لعمله هو الزيركون ويمتاز بالصلابة العالية ، يُستخدم لعمل ما يُسمى بتلبيسات الأسنان (التيجان) فهي طريقة حديثة بالمقارنة مع كان يُستخدم قديماً ، حيث كان يستخدم بدلاً من الزيركون (تلبيسات الفضة أو مادة الستانلس)
لماذا يتم اختيار ابتسامة هوليود؟
إن اختيار هذه الطريقة يكون بهدف التجميل بشكل أساسي، وأيضا كي نعالج بعض مشاكل الأسنان مثل :
تغيّر لون الأسنان
الأسنان المتكسرة
الفراغات بين الأسنان
تغيّر لون الحشوات التجميلية التي توضع بين الأسنان
الأسنان غير المتساوية في الشكل والحجم والطول أيضاً
درجات ألوان ابتسامة هوليود:
يتشارك المريض والطبيب بإتخاذ قرار لون الأسنان المناسبة بحسب وجه وشكل الشخص ولون البشرة ولون بياض العين والعمر والجنس والكثير من العوامل الأخرى ، هناك ما لا يقل عن 40 درجة للون الأسنان
موانع استخدام وعمل ابتسامة هوليود :
الأشخاص اللذين يعانون من سوء إطباق الفكين بالشكل السليم والصحيح.
الأشخاص الذين يعانون من ظاهرة السَرك الليلي (صرير الأسنان أثناء النوم) ، في هذه الحالة تكون فرصة تكسُّر المواد المستخدمة لعمل ابتسامة هوليود كبيرة جدا
العمر (لا تستخدم لأقل من 18 سنة) ، يُفضل عملهابعد عمر 21 سنة ؛ لأنها تحتاج إلى عناية كبيرة جدا وسبب آخر أنه في مرحلة نمو فتكون قبل هذا العمر شكل الفكأنسجة لُب الأسنان تكون غير مكتملة .
وجود تقويم الأسنان
أمراض اللثة الشديدة، يُنصح بمعالجة مشاكل اللثة قبل عمل ابتسامة هوليود
تجميل اللثة:
تعد اللثة جزء أساسي ومهم للحصول على ابتسامة هوليود. حيث يعاني بعض الأشخاص من ظهور ما يسمى الابتسامة اللثوية (Gummy Smile ) ، وهي تبعا لاسمها تعني بروز اللثة العلوية بشكل واضح عندما تبتسم وتعتبر من النقاط السلبية في معايير ابتسامة هوليود.
يتضمن #تجميل_اللثة جزأين هما (اللون والشكل) :
بالنسبة للشكل ، بالسابق كانت تتم عملية تجميل اللثة بطريقة جراحية ولكن مع تقدم التقنيات الحديثة في #طب_الأسنان أصبح بالإمكان تجميل اللثة ب #الليزر ؛ حيث تعد طريقة آمنة وفعّالة بدون تخدير وبدون حدوث أي ألم
بالنسبة للون( #توريد_اللثة ) ، حيث يتم مسح سطح اللثةبالليزر بالتأثير على الخلايا التي تحتوي على صبغة الميلامين الذي يسبب تراكمها الى ظهور اللون الداكن حيث يتفاعل اللليزر معها بطريقة تؤدي الى زوال اللون الداكن منها ويصبح لونها وردي أو زهري فاتح.
الأسئلة الشائعة حول موضوع ابتسامة هوليود :
هل كل شخص من الضروري أن يقوم بعمل ابتسامة هوليود لأسنانه ؟
الجواب: بالطبع لا ؛ ممكن بعض الأشخاص يتمتعون بابتسامة جميلة جدا وأسنان جميلة جدا ((طبيعيا)) وتكون أجمل ابتسامة فلا داعي لتخريبها وتغييرها.
هل ابتسامة هوليود تقوم بحل مشكلة عدم (إطباق الفكين) أو ما يُسمى بالشكل الصحيح ؟
ابتسامة هوليود لا تقوم بحل هذه المشكلة على اللإطلاق بمشكلة عدم إطباق الفكين لها أسباب مثل شكل الفك أو توزيع الأسنان غير المتساوي والسليم . ابتسامة هوليود طريقة تجميلية لتغيير شكل الأسنان لا أكثر.
ما هو العمر الافتراضي لابتسامة هوليود ؟
حسب المادة المستخدمة ، ولكن يكون العمر الافتراضي لابتسامة هوليود تقريبا 10 إلى 15 عام بعدها يتم عمل الطريقة من جديد لأن القياسات تكون مختلفة نتيجة لتباعد اللثة أو هبوط وتغيّر اللثة مع العمر (أمر طبيعي جدا).
هل هناك طريقة لعمل ابتسامة هوليود بدون برد ؟
الأكثر شيوعا أنه يوجد بَرْد للأسنان وغالبا لا يتعدى 0.5 ملم من الوجه الخارجي للسن ، وإذا تم أخذ أكثر من ذلك لن يتم لصق عدسات الأسنان بشكل صحيح وستكون فرصة سقوطها عن الأسنان كبيرة جدا ؛ لذلك يجب على الطبيب المحافظة على طبقة المينا
هل أستطيع استخدام خيط الأسنان بعد عمل ابتسامة هوليود؟
الجواب بالطبع نعم بل ويجب ذلك لأن كل واحدة من هذه العدسات توضع لوحدها فبالتالي يجب عليك تنظيف الأسنان باستخدام الخيط وأيضاً استخدام فرشاة الأسنان لا يؤثر أيضاً تماما مثلها كمثل الأسنان الطبيعية.يفضل أيضا إستخدام #الخيط_المائي
كيف يتم اختيار درجات ألوان ابتسامة هوليود ؟
يتم اختيار لون المواد المستخدمة بما يتناسب مع لون العينين ولون البشرة
ما هي المدة اللازمة لإجراءات تحضير وعمل ابتسامة هوليود ؟
من جلستين إلى ثلاث جلسات فقط.
نصائح عامه عن ابتسامة هوليود :
اختيار الطبيب الماهر ذو السمعة الحسنة؛ وأيضا على الطبيب اختيار المعمل و الفني الماهر لتجنب الأخطاء التي قد تحدث عند تحضير تلك العدسات واختيار الأدوات الأصلية المعتمدة عالميا (مواد التحضير والمواد اللاصقة)
ننصح دائما اللجوء أولا إلى تقويم الأسنان ولكن إن كان اختيارها لا يُجدي نفعا بسبب مثلا وجود أسنان متكسرة أو الأسنان غير المتساوية بالطول أو الحجم أو ان كانت متساوية بالطول ولكنها داكنة اللون ولا تستجيب مع تبييض الأسنان وغيرها من الأسباب؛ هنا ينصح بعمل ابتسامة هوليوود
المحافظة على نظافة الأسنان ثلاث مرات الى أربع مرات باليوم (استخدام المحاليل/استخدام فرشاة الأسنان/استخدام خيط تنظيف الأسنان)، عدم قضم الأظافر نهائيا، عدم استخدام الأسنان لفتح العلب مثلا أو كسر بعض الأشياء مهما كانت صلابتها لتجنب حدوث كسر لهذه القشور. المحافظة على صحة وسلامة اللثة
ينصح بزيارة الطبيب كل 2-3 شهور لعمل متابعة دورية مع الطبيب المختص للاطمئنان على صحة وسلامة الأسنان واللثة.
تجنب تناول الأطعمة والمشروبات التي تحتوي على صبغات صناعية عالية التركيز (خاصة فترة العلاج)
عدم استخدام الأسنان استخدام خاطئ مثلا لفتح علب الطعام أو لفتح أغطية المشروبات.
تم نقل الثريد بتصرف من مدونة iCenna

جاري تحميل الاقتراحات...