د. ثامر الحسينان
د. ثامر الحسينان

@Dr_Alhussainan

67 تغريدة 773 قراءة May 30, 2020
أول وأهم المشاكل الصحية التي سيراجعها هذا الحساب ستكون #الخلع_الولادي لمفصل الورك لدى الأطفال ....
الخلـوع الولاديـة لمفصـل الـورك عنـد الا􏰾طفـال مشـكلة شـائعة فـي مجتمعنـا، ويكثـر حدوثهـا عنـد المواليـد مـن البنـات دون الأ􏰾ولاد بنسـبة تتراوح بين ٥-٩ بنات مقابل ولد واحد في معظم إحصائيات الخلوع الولادية في مختلف أنحاء العالم.
أحد التقديرات الإحصائية الأولية في أحد مناطق المملكة أشارت أن نسبة حصول الخلوع الولادية تصل إلى ٣.٥ من أصل ١٠٠٠ مولود سعودي وهو الذي يعطينا قرابة ١٤٠٠-١٦٠٠ طفل سعودي يولد مصابا بمشلكة الخلوع الولادية في مفصل الورك.
يكون المولود معرضا أكثر من غيره من المواليد للخلوع الولادية إذا كان لديه تاريخ أسري بهذه المشكلة، كأن يكون أحد والديه أو إخوته سبق تشخيصه بالخلع الولادي في مفصل الورك.
كذلك المواليد الذين جلسوا مقلوبين في رحم أمهاتم في الأشهر الأخيرة من الحمل حتى لو تمت ولادتهم بواسطة العملية القيصرية تظل تلك الوضعية المقلوبة عاملا يرفع نسبة الخلوع الولادية لديهم ، لإن وضعية الجلوس تتسبب في تأخر تطور مفصل الورك عند الجنين
هذين العاملين الذين ذكرا أعلاه ليسا مسببا رئيسيا للخلوع الولادية ولكنهما عوامل خطورة بمعنى أن غيابهما لا يستثني تماما غياب الخلوع الولادية لدى المولود
وهذا أمر مشاهد بشكل كبير في الممارسة الطبية حيث يتم تشخيص الكثير من الأطفال دون وجود تاريخ أسري ولا إشكالات في الحمل
ما ينبغي التنويه له هو أن الخلوع الولادية لمفصل الورك لدى الأطفال لا علاقة لها البتة بطريقة الولادة أو بمهارة الطبيب أو القابلة أثناء توليد المولود.
الخلع الولادي لمفصل الورك هو خلع خلقي-تطوري ولكن التسمية جرت في المجتمع كما هي وكما قال علماء الشرع "لا مشاحة في الاصطلاح"
في الصورتين القادمتين تبيان لشكل مفصل الورك عند الأطفال في السنة الثانية من العمر، الأولى تبين الوضع الطبيعي لهذا المفصل الهام والثانية توضح مشكلة الخلع الولادي الكامل لمفصل الورك
يصعب تشخيص هذه المشكلة في سن مبكرة حيث يلزم من تشخيصها في ذلك الوقت فحص دقيق للطفل من قبل مختص وخبير في هذه المشكلة يستطيع تقييم مفصل الورك عند الأطفال والطبيب الوحيد الذي يستطيع القيام بهذا الفحص بشكل دقيق وموثوق به هو جراح عظام الأطفال.
مقاطع الفيديو التالية توضح الحركة الغير طبيعية لمفصل الورك والتي يتم تشخيص الخلع الولادي بها عند الطفل. الأمهات قد يلاحظون هذا النوع من الحركة "الطقة" في مفصل الورك عند تلعيبهم او تغيير ملابسهم أو حفاظاتهم .... لو حصل ذلك يجب أن يعرض الطفل على جراح عظام الأطفال ...
وهذا مقطع آخر يبين هذا النوع من الحركة الغير طبيعية أو "الطقة" ...
الأشعة السينية الاعتيادية كالتي عرضت قبلا لأطفال في السنة الثانية من العمر لا تكون واضحة وتشخيصية لمشكلة الخلوع الولادية في الأشهر الأولى للطفل، لأن عظام الطفل في هذه السن المبكرة مازالت غير متكونة بشكل كاف يسمح بظهورها في هذا النوع البسيط من الأشعة.
الأشعة الوحيدة التي يمكن لها أن تشخص الخلوع الولادية عند الأطفال في الأشهر الأولى هي الأشعة الصوتية (التلفزيونية) ولكن هذا النوع من الأشعة يحتاج إلى طبيب أشعة متخصص في الأطفال كي يقوم بها ويقرأ نتائجها بالدقة المطلوبة وهو الأمر الذي يصعب توفره في المستشفيات العامة.
هذه الحقائق المزعجة عن صعوبة اكتشاف الخلوع الولادية لمفصل الورك عند المواليد تجعل غالبية المصابين بهذه المشكلة لا يتم تشخيصهم حتى يبدأون بالمشي ويظهر للمقربين من هذا الطفل العرج الواضح في مشيته بسبب الخلع في مفصل الورك.
ما هي الآثار التي تتركها مشكلة الخلوع الولادية عند المصابين بها إذا لم يتم علاجها؟
تترك هذه المشكلة آثارا عديدة على الشخص الذي يعاني منها إذا لم يبادر بعلاجها:
1)يستمر العرج عند الشخص المصاب بهذه المشكلة ومع زيادة الوزن المصاحب لنمو الطفل يظهر هذا العرج بوضوح أكثر.
2)إذا كان الطفل مصابا بهذه المشكلة في جهة واحدة، فإنه بالإضافة إلى العرج الواضح الذي يعاني منه، فإنه سيعاني كذلك من فارق في الطول بين الطرف المصاب والطرف السليم بحيث يزداد هذا الفارق مع النمو وقد يصل الى اكثر من ٥ سنتيمترات عند اكتمال النمو.
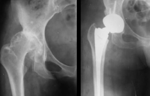
3)الورك المصاب بهذه المشكلة، والذي لم يتم علاجه هو عرضة للإحتكاك والتآكل في سن مبكرة، مما قد يضيف معاناة الألم التي تتزايد مع مرور الوقت والتي تحد بشكل كبير من نشاط الشخص المصاب. هذا الاحتكاك قد يبدأ في سن المراهقة او العشرينيات...
وعند حدوث الاحتكاك في المفصل المصاب بالخلع الولادي لا يمكن علاجه الا بإجراء عمليات استبدال المفصل الطبيعي بمفصل صناعي وهي عملية معقدة وتحد نسبيا من النشاط البدني العالي لمن يتم إجراؤها له .
كل ما ذكر أعلاه يحتم على الوالدين علاج هذه المشكلة عند طفلهما في سن مبكرة فور اكتشافها للحد من معاناة طفلهم المصاب بالخلع الولادي والتي سيواجهها في مستقبله.
ينبغي التنويه إلى أمر هام ثبت بالأبحاث الطبية الموثوقه، أن مفصل الورك لدى بعض المواليد قد لا يكون مكتملا تطوريا وقت الولادة ويكون فيه قدر يسير من عدم الثبات. خلال الشهرين الأولى لهذه المجموعة من المواليد يتطور مفصل الورك طبيعيا ويكتسب ثباته النهائي ...
مفصل الورك عموما وعند المواليد خصوصا يكتسب ثباته في وضعية ثنيه للأعلى وللخارج وهي الوضعية التي توضع فيها أطراف الطفل أثناء تغيير الحفاظ وهي نفس الوضعية التي تحمل فيها الأمهات الأفريقيات أطفالهن...
وقد ثبت بالأبحاث أن هذه الوضعية تقلل كثيرا من نسبة حدوث الخلع الولادي في المجتمعات
على النقيض من ذلك تماما، وضعية الطفل في "المهاد" أو ما يسمى "الكوفلة" التقليدية والتي تربط فيها الأطراف السفلية متلاصقة ومفرودة ...
العناية بالمواليد بهذه الطريقة لا تترك الفرصة للمجموعة التي ولدت بنقص يسير في تطور مفصل الورك من أن يتطور مفصلهم بالوضعية الطبيعية ...
لذلك فالمهاد أو الكوفلة التقليدية في المجتمعات التي تمارسها لا تضر المولود الذي ولد بمفصل ورك مكتمل التطور والثبات، لكنها قطعا لا تسمح للتي فيها نقص يسير من التطور طبيعيا وبذلك هذه الممارسة المجتمعية تزيد بشكل واضح مثبت علميا نسبة حصول الخلوع الولادية في المجتمعات..
للأسف لايوجد حتى الآن برنامج مسحي لاكتشاف حالات الخلوع الولادية مبكرا في منظومتنا الصحية والموجود هو فقط جهود فردية تتفاوات بين المراكز الصحية وذلك بسبب الكثير من العوائق لتنفيذ هذا المشروع نعمل عليها و ليس المجال لذكرها هنا ..
لذلك أعول كثيرا على انتشار الوعي بين الأمهات كي يكنّ الخط الأول لكشف الخلوع الولادية عند أطفالهن.
هذا لا يعني أن الأمهات هن من يقمن بالفحص الدقيق لأطفالهن وهو الذي يفشل فيه الكثير من الأطباء غير المتخصصين، ولكن على الأقل يذكرن أطباء الأطفال بسؤالهن عن صحة مفصل الورك عند أطفالهن
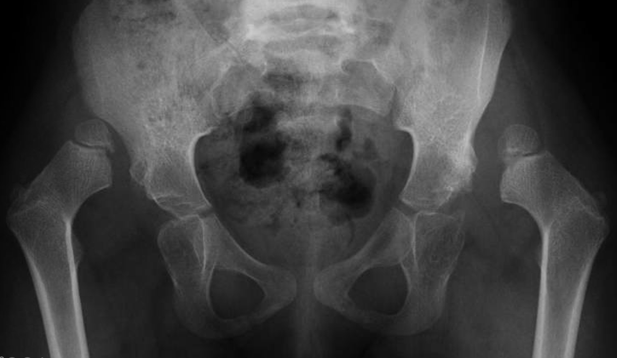
من العلامات التي تزيد من الاشتباه بوجود الخلع الولادي لدى المواليد هو وجود فارق بين طول الأطراف السفلية في حالات الخلع الولادي الذي يصيب جهة واحدة ..
من العلامات كذلك التي قد توحي بوجود الخلع الولادي في المولود وجود اختلاف واضح في مستوى الثنيات الجلدية بين لفخذين …
من العلامات التي قد تلاحظها الأمهات أحيانا محدودية ابعاد الفخذ عن الجسد وقت العناية بالطفل خصوصا وقت تغيير الحفاظ، كما هو موضح في الصورة
الجانب المخلوع لاينفتح عادة اكثر من ٤٥ درجة
نظرا لأهمية دور الأمهات في الاشتباه بوجود الخلع الولادي لدى أطفالهن مبكرا، سنجمع ما تفرق في التغريدات السابقة من عوامل وملاحظات بوجودها تزيد نسبة الاشتباه بالخلع الولادي لدى الطفل وتستدعي عرض الطفل على استشاريي عظام الأطفال :
هذه العوامل والملاحظات كما ذكر لها دور كبير في اكتشاف الخلوع الولادية مبكرا وهو الأمر الذي يطمح له الوالدان وتطمح له كذلك كل منظومة صحية تقدم الخدمات التشخيصية والعلاجية لأطفال الخلوع الولادية نظرا لأن العلاج يكون أسهل وأنجح في الأشهر الأولى من الحياة..
لكن للأسف، في كثير من الأحيان لا يتم اكتشاف هذه المشكلة إلا متأخرا، وهنا يأتي السؤال الأكثر تداولا: هل يؤثر الخلع الولادي لمفصل الورك علي مشي الطفل المصاب ؟
هل يمنعه من المشي ؟
الجواب ، الخلع الولادي لا يمنع الطفل من المشي ولكنه يؤدي إلى مشية غير طبيعية (عرج) ...
إذا كان الطفل مصابا بالخلع الولادي في كلا الوركين، فإن العرجة لا تكون واضحة جدا وهو الأمر الذي قد يتسبب في تأخير التشخيص لفترة أطول..
أما الخلع في جهة واحدة عادة يكون الاشتباه فيه كبيرا عندما يبدأ الطفل خطواته الأولى ...
أمثلة على مشية أطفال الخلوع الولادية في الفيديو ...
الخلوع الولادي كما ذكرنا لا يمنع من المشي، ولكن قد يؤخره في بعض حالات الخلع في الجهتين إلى عمر سنة ونصف ولكن ذلك ليس على إطلاقه ، لإنه توجد حالات مصابة بالخلع وبدأت المشي في سن مبكرة
إذا تأخر مشي الطفل عن سنتين، يجب البحث عن سبب آخر يفسر ذلك تحديدا مشكلة في الجهاز العصبي.
علاج الخلوع الولادية في مفصل الورك مثله مثل الأمراض الخلقية - التطورية يعتمد على عمر الطفل وقت التشخيص وتقديم العلاج
وهو بناء على ذلك ينقسم إلى ثلاثة أقسام رئيسية :
١- العلاج التحفظي بالأجهزة
٢- الرد المغلق تحت التخدير
٣- الرد الجراحي المفتوح مع تعديل الحوض
إذا تم اكتشاف هذه المشكلة مبكرا في الأشهر الأولى من الولادة، فإن علاجها يتم بطرق تحفظية غير جراحية وذلك بواسطة أجهزة طبية تجعل أطراف الطفل السفلية في وضعية خاصة تسمح باستقرار هذا المفصل كما هو موضح في الصور ة الموضحة أدناه
"رباط بافليك" هو أشهر هذه الأجهزة المستخدمة لعلاج الخلوع الولادية المكتشفة لدى المواليد وهو أكثرها نجاحا ولكنه أصعبها تركيبا ويحتاج إلى متابعة طبية دقيقة في الأسابيع ٣ الأولى من التركيب
مقاطع فيديو مترجمة للمهتمين من الأمهات و الزملاء في العلاج الطبيعي للتعرف أكثر على هذا الجهاز
العلاج برباط بافليك يحمل نسبا عالية من النجاح خصوصا في الدرجات المتوسطة من الخلوع الولادية وإذا كان الخلع الولادي في مفصل ورك واحد وليس في الوركين ممعا.
تقل نسب النجاح كلما زدات درجة الخلع أو كان الخلع الولادي في الجهتين أو بدأ العلاج برباط بافليك بعد الشهر الثالث.
في حال فشل الخط الأول من العلاج وهو العلاج التحفظي أو أن الخلع الولادي اكتشف متأخرا عن ٦ شهور الأولى ، فعلاج الخلع الولادي ينتقل للمرحلة الثانية ، وهي الرد المغلق تحت التخدير الكامل مع وضع الجبيرة الحوضية (الجبس المغطي للجذع الأطراف السفلية)...
الرد المغلق يتم تحت التخدير الكامل وخلاله يقوم الجراح المتخصص بتقييم قابلية المفصل للرد وكذلك تصوير الأشعة الملونة والتي تظهر بوضوح موقع رأس المفصل وقابليته للعودة إلى مكانه الطبيعي وعدم وجود أنسجة تعيق رأس المفصل من الرجوع إلى مكانه الطبيعي بعمق.
يظن البعض أن الرد المغلق للخلع الولادي هو إجراء بسيط لعدم تضمنه عملا جراحيا وأن طبيب العظام غير المتخصص يمكنه القيام بذلك وهذا الاعتقاد تسبب بإشكالات كبيرة تأثرت بسببها مفاصل هؤلاء الأطفال للأبد...
الرد المغلق يحتاج إلى معرفة متخصصة بالخلع الولادي أولا وبالرد المغلق وشروط قبوله ثانيا والتي إن لم تتوفر في هذا الإجراء يلزم من ذلك رفض الرد المغلق واختيار العلاج الجراحي. إن كان الجراح غير متخصص وقام بالرد المغلق دون الاعتبارات المذكورة فسيؤدي ذلك إلى التشوه الدائم في رأس المفصل
هذا مثال لأشعة ملونة لطفل تم تشخيصها بالخلع الولادي في مفصل الورك الأيسر في الشهر ٨، ولما أجريت له محاولة الرد المغلق تحت التخدير الكامل تبين عدم ملاءمة هذا الخيار له بسبب وجود أنسجة تمنع من رد المفصل بنجاح وبدون ضغط يؤثر سلبا على رأس المفصل
هذه الأنسجة لا تظهر بالأشعة العادية
إذا استوفى الورك المخلوع الشروط لقبول الرد المغلق من ناحية فحصه تحت التخدير وصور الأشعة الملونة، فإن الورك المخلوع سيوضع في الوضعية التي يكون فيها مردودا في مكانه الطبيعي ويتم تلبيس الطفل الجبيرة الحوضية (الجبس البنطلوني) لتحافظ عليه في وضع الرد وذلك لمدة تتراوح من شهرين إلى٣أشهر
نجاح الرد المغلق يقل في حالات الخلوع الشديدة وفي حالات الخلوع التي تصيب الوركين معا.
كذلك كلما زاد عمر الطفل قلت نسب النجاح خصوصا بعد تجاوز العام الأول.
وزن الطفل كذلك ثبت طبيا أن له دورا سلبيا في نجاح الرد المغلق لأن الطفل زائد الوزن لا تتحكم تناسبه الجبيرة الحوضية.
عند فشل الرد المغلق يقوم بعض الجراحين بإجراد رد مفتوح أثناء نفس التخدير ولكني لا أتبع هذا الإجراء بل أقوم بتأجيل الرد المفتوح حتى يبدأ الطفل خطواته الأولى.
لكل مسار مزاياه وتحدياته والجراح من واقع تجربته يختار أفضل ما يمكن لمرضاه.
ملاحظة مهمة جدا متعلقة بالرد المغلق للخلع الولادي :
الخلع الولادي مشكلته الأولية تقع في النقص الخلقي-التطوري في تجويف (غطاء) المفصل ويتبع ذلك خروج رأس المفصل من مكانه الطبيعي ليكون مخلوعا
خلال الرد المغلق ، يتم إرجاع رأس المفصل لمكانه الطبيعي ، لكن غطاء المفصل يبقى كماهو ناقصا !
عندما يخبر الجراح والدي الطفل أن الرد المغلق نجح، هذا معناه أن رأس المفصل رجع واستقر في مكانه وهو الذي سيجعل الطفل يمشي بشكل طبيعي ، لكن ذلك لا يعني أن مفصل الورك أصبح طبيعيا بالكامل.
مفصل الورك الذي استقر رأسه في مكانه الطبيعي لكن تجويفه (غطاءه) بقي ناقص التكوين سيكون عرضة للاحتكاك والتآكل في عمر مبكرة قد لا تتجاوز سنوات الدراسة الثانوية .. حينها يعاني المصاب بآلام في مفصل الورك لا يمكن علاجها إلا بتبديل مفصل صناعي.
السؤال: ماهو مصير النقص الخلقي-التطوري في تجويف المفصل بعد نجاح الرد المغلق ؟
في أكثر من ٧٠ ٪ من الحالات، إذا استقر رأس المفصل في مكانه الطبيعي ، فإن غطاء المفصل يستجيب لذلك ويبدأ تدريجيا بالتعافي حتى يكتمل تطوره خلال سنة أو سنتين من الرد المغلق
إذا كان غطاء المفصل لا يستجيب، ولا يتحسن بعد الرد المغلق ، فمن المفترض تقديم علاج جراحي بسيط لتعديل غطاء المفصل في عمر لا يتجاوز ٦ سنوات
هذه العملية ليست علاجية بل وقائية، لأن الطفل الذي لديه نقص في الغطاء لا يعاني من أي شئ، ولكن العملية تقدم له لحماية مفصله من الاحتكاك المبكر
ماذكرناه سابقا عن الرد المغلق وتطور غطاء المفصل يستوجب من الأهل الاستمرار بالمتابعة بعد ازالة الجبيرة الحوضية والسؤال عن تطور غطاء المفصل حتى يبلغهم الطبيب المتخصص أن مشكلة الخلع الولادي انتهت تماما بشقيها :
١- ثبات رأس المفصل في مكانه الطبيعي
٢- اكتمال تطور غطاء المفصل
الخيار الثالث والأخير لعلاج الخلوع الولادية هو عملية الرد المفتوح للخلع الولادي لمفصل الورك مع إصلاح لغطاء المفصل.
العملية مكونة من جزئين رئيسيين:
١- الرد المفتوح: يفتح المفصل المخلوع جراحيا وتتم إزالة جميع العوائق التي تقف فيه طريقه كي يعود إلى تجويفه الطبيعي
٢- إصلاح غطاء المفصل: إصلاح وترميم غطاء المفصل الناقص التكوين وذلك كي يكتسب المفصل الثبات اللازم وتقل نسب الاحتكاك مستقبلا
يبدأ تقديم العلاج الجراحي للطفل بعد تجاوزه العام الأول.
لذلك العلاج الجراحي يقدم للأطفال الذين اكتشف الخلع الولادي لديهم بعد المشي او الذين فشل علاجهم بواسطة الخيارين الأوليين.
هذه العملية تحمل نسبا عالية للنجاح تتجاوز ٩٢٪ إذا تمت بواسطة الخبرات الطبية اللازمة خصوصا إذا كان عمر الطفل وقت إجراء العملية أصغر من ٣ أعوام.
بعد عملية الرد المفتوح و إصلاح الغطاء يتم وضع الجبيرة الحوضية لمدة ٤-٨ أسابيع وبعدها إما أن تتم إزالة الجبيرة الحوضية بالكامل أو يتم استبدالها بجبيرة أصغر تحرر جسد الطفل وتحافظ على تباعد الطرفين السفليين لمدة تتراوح بين ٤-٦ أسابيع.
مدة الجبيرة ونوعها يعتمد على ما يفضله الجراح.
العناية بالطفل من الأمور المهمة للغاية سواء في عملية الرد المغلق أو الرد المفتوح.
العناية بالطفل في الجبيرة الحوضية مهمة شاقة تتحملها الأمهات ويجب عليهن أولا التعرف على الطرق الصحيحة والمحاذير التي ينبغي تجنبها ويحب سؤال الجراح المتخصص الذي قدم العلاج للطفل عن هذه الأمور الهامة
نحن أسرة البرنامج الوطني الوطني للخلوع الولادية قمنا بجمع النقاط التي نراها هامة في الرعاية بالطفل أثناء وجود الجبيرة الحوضية.
التعليمات موجودة في هذه المذكرة من خلال هذا الرابط ..
drive.google.com
كذلك قمنا بتجميع بعض مقاطع الفيديو التي نظنها نافعة في مسألة العناية بالطفل في الجبيرة الحوضية ..
الروابط لهذه المقاطع موجودة في هذه الورقة من خلال هذا الرابط ..
drive.google.com
بعد إزالة الجبيرة الحوضية يبدأ الطفل تأهيله وذلك بالتدريب على المشي وإستعادة حركة مفصل الورك وتقوية عضلاته.
يعتقد الكثير من الأهالي أنه بمجرد أن تزال الجبيرة الحوضية يعود الطفل إلى مشية طبيعية بالكامل، ولكن هذا الأمر لا يتحقق إلا بعد قرابة ٦-٨ شهور من إزالة الجبيرة الحوضية.
الكثير من الاستفسارات من الأهالي المتعلقة بالعناية بالطفل بعد إزالة الجبيرة الحوضية تمت الإجابة عليها وجمعها في هذه المذكرة من خلال الرابط التالي .....
drive.google.com
للعلاج الطبيعي دور مهم جدا في تعافي الأطفال بعد عمليات الخلوع الولادية، والزملاء الأفاضل أخصائيي العلاج الطبيعي المتخصصين في تأهيل الأطفال يقومون بدور رائع جدا في تسريع تعافي الأطفال والحصول على نتائج ممتازة..
لا يحق لي ذكر توصيات العلاج الطبيعي أو طرق علاجه المتبعة لأني لست مؤهلا لذلك..
أرجو من الزملاء في العلاج الطبيعي المهتمين بتأهيل أطفال الخلوع الولادية أن يشاركوا تحت هذه التغريدة بما لديهم من خبرات وتجارب رائعة أفادت هؤلاء الأطفال...
لهم مني دوما فائق الاحترام والتقدير
إضافة أخيرة لعلاج الخلوع الولادية :
إذا كان الخلع الولادي شديدا وتم إهمال الطفل إلى ما بعد السنة الثالثة قد يحتاج الجراح إلى إضافة خطوة إضافية أثناء عملية الرد المفتوح وهي عملية تقصير الفخذ وذلك نظرا للمقاومة الشديدة للعضلات ضد رد رأس المفصل المخلوع إلى مكانه الطبيعي.
هذه المقاومة يتم التغلب عليها بتقصير عظم الفخذ والذي بدوره يرخي العضلات ويسمح برد رأس المفصل بسهولة وبأمان.
خلاصة القول،
مشكلة الخلوع الولادية لمفصل الورك لدى الأطفال مشكلة شائعة جدا في مجتمعنا والخبرة الطبية اللازمة لتشخيصها وعلاجها لا تتوفر إلا في أطباء عظام الأطفال المؤهلين وهم كثر ولله الحمد.
الخبرة وحدها لا تكفي إذا كان طبيب عظام عام غير متخصص في عظام الأطفال، النتائج كارثية
ندائي للآباء والأمهات ..
افحصوا أطفالكم واسألوا أطباء الأطفال عن صحة الورك لدى أطفالكم في سن مبكرة خصوصا قبل سن المشي أثناء زيارات التطعيم ..
تم ولله الحمد هذا السرد (الثريد) عن الخلوع الولادية في مفصل الورك عند الأطفال سائلا المولى أن يجعله نافعا ومفيدا للجميع

جاري تحميل الاقتراحات...