Dr. Hussein Elzeiny
Dr. Hussein Elzeiny

@biohussein

73 تغريدة 7,431 قراءة May 12, 2020
كيف يقتل فيروس كورونا بعض المرضى بهذة السرعة؟ ... سلسلة تغريدات تناقش تتبع الفرق الطبية لحالة الهياج الشرس التي يسببها الفيروس عبر جسم الانسان، من الدماغ إلى أصابع القدم في بعض المرضى. (1)
مع ارتفاع عدد الحالات المؤكدة لـ كوفيد-19 إلى ملايين الحالات على مستوى العالم و مئات الالاف من الوفيات، يكافح الأطباء وعلماء الأمراض لفهم الضرر الذي يحدثه الفيروس في الجسم. (2)
إنهم يدركون أنه على الرغم من أن الرئتين هما الاساس ، فإن المرض يمكن أن يمتد إلى العديد من الأعضاء بما في ذلك القلب والأوعية الدموية والكلى والأمعاء والدماغ. (3)
ويمكن أن يساعد فهم هذة الاحداث الممارسين الصحيين في الخطوط الأمامية على علاج جزء من المصابين الذين تكون حالتهم غامضة او ميئوس منها. ... والاسئلة المحيرة هنا كثيرة. (4)
هل يؤدي الميل الخطير والملاحظ حديثًا إلى تخثر الدم إلى تحويل بعض الحالات الخفيفة إلى حالات طوارئ مهددة للحياة؟ (5)
هل الاستجابة المناعية الزائدة وراء تدهور بعض الحالات ، وهل العلاج بالأدوية المثبطة للمناعة يمكن أن يساعد؟ (6)
ما الذي يفسر انخفاض الأكسجين في الدم بشكل مذهل الذي يبلغ عنه بعض الأطباء في المرضى الذين لا يلهثون من أجل التنفس؟ (7)
ما يلي هو لقطة من الفهم (الذي يتطور بسرعة) لكيفية مهاجمة الفيروس لخلايا الجسم ، وبخاصة في المرضى الذين تتدهور حالتهم وتصبح خطيرة (حوالي 5٪ من المرضى). (8)
على الرغم من وجود أكثر من 1,000 ورقة علمية تتدفق الآن في الدوريات وعلى خوادم ما قبل الطباعة كل أسبوع ، إلا أن الصورة الواضحة أمر بعيد المنال ، حيث يعمل الفيروس بشكل لم تشهده البشرية على الإطلاق. (9)
بدون دراسات أكبر مستقبلية محكومة ، ليس امام العلماء الان سوى استقاء المعلومات من بعض الدراسات الصغيرة بل ومن بعض تقارير الحالات ، والتي يتم نشرها غالبًا بسرعة ولم تتم مراجعتها بعد من قبل النظراء او ربما روجعت بسرعة مقلقة ... لكن هذا هو المتاح الان. (10)
عندما تخرج بعض القطرات محملة بالفيروسات من شخص مصاب و يستنشقها شخص آخر .. يدخل فيروس #كورونا الجديد الأنف والحنجرة .. ليجد منزلًا مرحبًا به في بطانة الأنف (11)
ووجد الباحثون أن الخلايا التي يكون سطحها غني بمستقبلات معينة تسمى (ACE2) والمنتشرة في أنحاء الجسم ... تكون اكثر عرضة للعدوى .. لأن الفيروس يحتاج وجود تلك المستقبلات على سطح الخلية ليتمكن من دخولها. (12)
بمجرد دخوله ، يقوم الفيروس باستعباد أجهزة الخلية .. وتسخيرها لانتاج نسخًا لا تعد ولا تحصى من نفسه ... ومن ثم اطلاق هذة النسخ لغزو خلايا جديدة. (13)
عندما يتكاثر الفيروس ، يبدأ في التراكم في جسم الشخص المصاب بكميات وفيرة ، خاصة خلال الأسبوع الأول أو نحو ذلك ... قد لا يكون هناك أعراض في هذه المرحلة ... أو قد تظهر على الشخص اعراض الحمى أو السعال الجاف أو التهاب الحلق أو فقدان الرائحة أو الذوق أو آلام في الرأس والجسم. (14)
إذا لم يقم نظام المناعة بضرب الفيروس خلال هذه المرحلة الأولية ، فإن الفيروس ينتقل بعد ذلك إلى القصبة الهوائية لمهاجمة الرئتين ، حيث تتطور الحالة لدرجة قد تكون خطيرة . (15)
تنتهي التفرعات الرقيقة والبعيدة لتشعبات الجهاز التنفسي للرئة بكيس هوائي صغير يسمى الحويصلة الهوائية ، كل منها مبطن بطبقة واحدة من الخلايا الغنية أيضًا بمستقبلات ACE2.
(16)
عادة ، يعبر الأكسجين الحويصلات الهوائية إلى الشعيرات الدموية المحيطة ؛ ثم ينقل الأكسجين إلى بقية الجسم. (17)
و بينما يحارب الجهاز المناعي الغزاة ..قد تعطل هذة المعركة نفسها نقل الأكسجين. تطلق الخلايا البيضاء جزيئات التهابية chemokines لتستدعي المزيد من الخلايا المناعية التي تستهدف وتقتل الخلايا المصابة بالفيروس ، تاركة خلفها بركة من السوائل والخلايا الميتة (الصديد). (18)
هذا هو المرض الأساسي .. الالتهاب الرئوي مع أعراضه المقابلة: السعال (الكحة) وارتفاع درجة الحرارة مع صعوبة تنفس (انفاس سريعة وقصيرة) ... يتعافى بعض مرضى كوفيد-19 ... وكثيراً ما يتم ذلك بدون اي دعم طبي أكثر من الأكسجين الذي يتم استنشاقه عبر الأنف. (19)
لكن البعض الآخر يتدهور ، غالبًا بشكل مفاجئ تمامًا ، ويطور حالة تسمى متلازمة الضائقة التنفسية الحادة (ARDS). حيث تنخفض مستويات الأكسجين في دمائهم ويجدون صعوبة أكبر في التنفس.
(20)
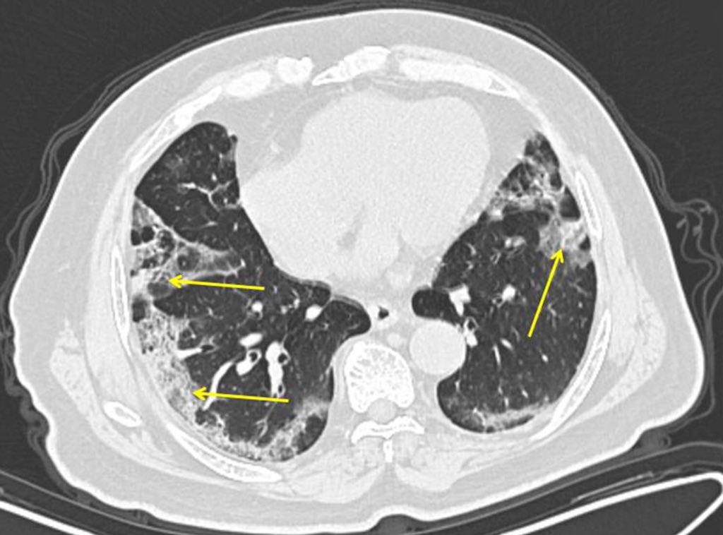
في صور الأشعة السينية والاشعة المقطعية، تظهر الرئتان مليئتان بالعتامة البيضاء حيث يجب أن تكون المساحة السوداء (الهواء). (21)
عادة ما يحتاج هؤلاء المرضى الى ان يوضعوا على أجهزة التنفس الصناعي ... وقد يموت 50% منهم تقريباً ... وتظهر عمليات التشريح أن الحويصلات الهوائية أصبحت محشوة بالسوائل وخلايا الدم البيضاء والمخاط وبقايا خلايا الرئة المدمرة. (22)
في الحالات الحرجة عندما يهبط الفيروس الى الرئتين ... فأنه لا يكتفي بأن يتسبب في أضرار عميقة هناك فقط ... لكن الفيروس أو استجابة الجسم له ، يمكن أن تتسبب في ضرر للعديد من الأعضاء الأخرى. ... بدأ العلماء للتو في استكشاف نطاق وطبيعة هذا الضرر. (23)
يعتقد بعض العلماء أن السبب الرئيس في تطور حالات بعض المرضى لتصبح خطيرة ... هي رد الفعل المفرط والكارثي لجهاز المناعة المعروف باسم "عاصفة السيتوكين" ... وهي حالة شهيرة تتسبب فيها بعض الفيروسات الأخرى .. فلربما يفعل هذا الفيروس نفس الشيء. (24)
السيتوكينات هي جزيئات كيميائية تعمل كإشارات توجه الاستجابة المناعية الصحية. ولكن في عاصفة السيتوكين ، ترتفع مستويات بعض السيتوكينات إلى ما هو اعلى من اللازم ، وتبدأ الخلايا المناعية في مهاجمة الأنسجة السليمة في الجسم. ويمكن أن يتسبب ذلك في اضرار كبيرة. (25)
وقد أظهرت بعض الدراسات مستويات مرتفعة من هذه السيتوكينات في دم مرضى كوفيد-19 المنومين في المستشفيات. (26)
وبينما يرى بعض العلماء ان رد الفعل المفرط و الكارثي لجهاز المناعة "عاصفة السيتوكين" هو سبب تدهور بعض الحالات .. فأن البعض الآخر يعارض هذا الاستنتاج و غير مقتنع به .. ويقول ان البيانات غير كافية لتأكيد ذلك. (27)
ويشعر هذا الفريق المعارض بالقلق من أن جهود إخماد رد الفعل المناعي المبالغ فيه "عاصفة السيتوكين" بالادوية المثبطة للمناعة ... يمكن أن تأتي بنتائج عكسية. صحيح ان هناك تجارب سريرية تجري الان على العديد من الأدوية التي تستهدف السيتوكينات المحددة لكوفيد-19. (28)
لكن مازالت هناك خشية من أن هذه الأدوية قد تثبط الاستجابة المناعية التي يحتاجها الجسم لمحاربة الفيروس بما يساعد الفيروس على الانتشار في الجسم وانتاج مزيد من الفيروسات. (29)
في هذه الأثناء ، يركّز علماء آخرون على تصور مختلف تمامًا للاعضاء التي يقولون إنها هي المسئولة عن التدهور السريع لبعض المرضى: القلب والأوعية الدموية. والذي ناقشناه في سلسلة تغريدات سابقة.
(30)
إن فهم الكيفية التي يهاجم بها الفيروس القلب والأوعية الدموية مازالت أمر غامض ... لكن العشرات من التقارير تؤكد أن هذا الضرر. (31)
وثقت ورقة بحثية نشرت يوم 25 مارس في مجلة JAMA لأمراض القلب ... ان تلف القلب تم تشخيصه في ما يقرب من 20 ٪ من المرضى من أصل 416 مريض كوفيد-19 أدخلوا المستشفى في ووهان -الصين. (32)
في دراسة أخرى في ووهان ، كان 44 ٪ من اصل 36 مريضًا تم إدخالهم إلى وحدة العناية المركزة يعانون من عدم انتظام ضربات القلب. (33)
ويبدو أن الاضطراب قد يمتد إلى الدم نفسه... فمن بين 184 مريضًا من مرضى كوفيد-19 في وحدة العناية المركزة في هولندا ، كان 38 ٪ لديهم دم يتخثر بشكل غير طبيعي ... وحوالي الثلث لديهم بالفعل جلطات ... وفقًا لبحث نشر يوم 10 أبريل. (34)
يمكن لجلطات الدم أن تتفتت وتستقر في الرئتين ، مما قد يسد بعض الشرايين الحيوية - وهي حالة تعرف باسم الانسداد الرئوي ، والذي أودى بحياة بعض مرضى كوفيد-19. كما يمكن لها ان تستقر في شرايين في الدماغ ، مما قد يسبب السكتة الدماغية.
(35)
يقول بهنود بكديلي ، طبيب القلب والأوعية الدموية في المركز الطبي بجامعة كولومبيا إنه لاحظ ان العديد من المرضى لديهم مستويات عالية بشكل كبير من D-dimer ، وهو منتج ثانوي لجلطات الدم.
(36)
وكلما نظرنا أكثر ... زاد احتمال أن تكون الجلطات الدموية لاعبا رئيسيا في شدة المرض والوفيات الناجمة عن كوفيد-19 ... وصل الامر في بعض الحالات ان يفقد الناس اطرافهم بسببها (37)
cbc.ca
قد تؤدي العدوى أيضًا إلى انقباض الأوعية الدموية ... وتظهر تقارير عن نقص التروية في أصابع اليدين والقدمين - انخفاض في تدفق الدم الذي يمكن أن يؤدي إلى تورمات مؤلمة وموت الأنسجة (38)
في الرئتين ، قد يساعد فهم انقباض الأوعية الدموية هذا .. في تفسير التقارير التي تشير لظاهرة محيرة تظهر في الالتهاب الرئوي الناجم عن كوفيد-19 ... حيث يعاني بعض المرضى من مستويات منخفضة للغاية من الأكسجين في الدم ومع ذلك لا يلهثون من أجل التنفس. (39)
من المحتمل أنه في بعض مراحل المرض ، يغير الفيروس التوازن الدقيق للهرمونات التي تساعد في تنظيم ضغط الدم وتضيق الأوعية الدموية التي تذهب إلى الرئتين ... لذا فإن امتصاص الأوكسجين قد يعيقه انقباض الأوعية الدموية ... لا انسداد الحويصلات الهوائية .. وربما كلاهما (40)
وإذا كان كوفيد-19 يستهدف الأوعية الدموية حقاً ، فقد يساعد ذلك أيضًا في تفسير سبب كون المرضى الذين يعانون من تلف سابق في تلك الأوعية (بسبب امراض مزمنة) يكونون اكثر عرضة لتدهور حالتهم. (41)
وجدت البيانات الأخيرة ل(CDC) لمرضى المستشفيات في 14 ولاية أمريكية أن حوالي ثلثهم يعانون من أمراض الرئة المزمنة - و اغلبهم يعانون من امراض مزمنة موجودة مسبقًا. (42)
تقول د. مانجلمرتي أنها صدمت من حقيقة أنه ليس لدينا عدد كبير من المصابين بالربو أو مرضى الجهاز التنفسي الأخرى في وحدة العناية المركزة في HUP. "من المدهش بالنسبة لنا أن عوامل الخطر تبدو وكأنها وعائية (متعلقة بالاوعية الدموية) : وهذا سبب ارتباطها بالامراض المزمنة .". (43)
يكافح العلماء لفهم ما الذي يسبب تلف القلب والأوعية الدموية بالضبط. قد يهاجم الفيروس بشكل مباشر بطانة القلب والأوعية الدموية (وهي مثلها مثل الأنف والحويصلات الهوائية ، غنية بمستقبلات ACE2). (44)
أو ربما كان نقص الأكسجين (الناتج عن حالة الرئتين السيئة) هو ما يدمر الأوعية الدموية. كما يمكن لعاصفة السيتوكين أن تدمر القلب كما تفعل مع الأعضاء الأخرى. (45)
يقول د.كرومهولز: "ما زلنا في البداية ... نحن لا نفهم حقًا لماذا يتأثر بعض الأشخاص بشدة ، ولماذا يحدث تدهور في بعض الحالات بسرعة كبيرة ... ولماذا يكون من الصعب جدًا على البعض التعافي". (46)
تقول طبيبة الأعصاب جينيفر فرونتيرا من مركز لانجون الطبي بجامعة نيويورك ، والتي عالجت آلاف الحالات الحرجة من مرضى كوفيد-19: "يموت بعض المرضى بسبب فشل الرئة ، بينما يموت اخرون بسبب الفشل الكلوي". (48)
تقوم المستشفى التي تعمل بها بتوفير اجزة غسيل كلى اضافية لدعم مرضى كوفيد-19 ... قد تكون الحاجة إلى الغسيل الكلوي لأن الكليتين اللتين تتمتعان بوفرة من مستقبلات ACE2 تقدمان هدفًا جذاباً للفيروس. (49)
وفقًا لدراسة (مازالت في مرحلة ماقبل النشر) ... كان 27 ٪ من 85 مريضًا في المستشفى في ووهان يعانون من فشل كلوي. (50)
وذكرت دراسة آخرى أنه من بين 200 مريض كوفيد-19 تم إدخالهم في المستشفيات في مقاطعتي هوبي وسيتشوان الصينيين .. 59٪ كان لديهم بروتين في بولهم ، و 44٪ كان لديهم دم (كلاهما يشير إلى درجة من درجات تلف الكلى). (51)
وأفادت دراسة اخرى أن مرضى كوفيد-19 الذين يعانون من إصابات الكلى الحادة (AKI) ، لديهم احتمال وفاة اعلى بخمسة أضعاف من المرضى الذين ليس لديهم مشاكل في الكلى.
(52)
كلنا يعلم ان الرئة هي منطقة المعركة الأساسية. لكن جزءًا من الفيروس ربما يهاجم الكلى. وكما هو الحال في ساحة المعركة الحقيقية ، إذا تمت مهاجمة مكانين في نفس الوقت ، فإن الموقف يزداد سوءًا (53)
ورغم ان احد الدراسات اشارت الى انه تم مشاهدة الاصابات الفيروسية في انسجة الكلى باستخدام الميكروسكوب الالكتروني ، مما يشير إلى هجوم فيروسي مباشر ... لكن إصابة الكلى قد تكون أيضًا بسبب اعراض جانبية للعلاج. (54)
حيث تعزز أجهزة التنفس الصناعي من خطر تلف الكلى ، وكذلك المركبات المضادة للفيروسات (بما في ذلك remdesivir) ، التي يتم وصفها تجريبيًا لمرضى كوفيد-19. (55)
كما يمكن لتهيج جهاز المناعة (عواصف السيتوكين) أيضًا أن يقلل بشكل كبير من تدفق الدم إلى الكلى ، مما يتسبب في أضرار مميتة في كثير من الأحيان. ... كما يمكن للأمراض الموجودة مسبقًا مثل مرض السكري أن تزيد من فرص إصابة الكلى. (56)
لم يكتفي الفيروس بمهاجمة الرئتين و القلب و الاوعية الدموية والكلى ... لكن هناك مجموعة أخرى من الأعراض الاخرى في مرضى كوفيد-19 تركز على الدماغ والجهاز العصبي المركزي. (57)
تقول د.فرونتيرا إن أطباء الأعصاب يُطلبون لتقييم 5٪ إلى 10٪ من مرضى كوفيد-19 في المستشفى .. وربما يكون هذا أقل من إجمالي العدد الحقيقي الذي تعاني أدمغته اثناء حرب الجسم على الفيروس، خاصة وأن العديد من هذة الحالات تكون مخدرة وهي على أجهزة التنفس الصناعي. (58)
شهدت د.فرونتيرا مرضى يعانون من التهاب الدماغ ، مع نوبات فرط رد فعل في الجهاز العصبي الذي يسبب أعراض تشبه نوبات الصرع ... يفقد بعض الأشخاص المصابين بـ كوفيد-19 الوعي لفترة وجيزة .. آخرون يصابون بسكتة دماغية .. ويفيد الكثيرون بفقدان حاسة الشم لديهم. (59)
ويتسأل بعض الاطباء عما إذا كانت العدوى في بعض الحالات تؤدي إلى تأثير سلبي على الميكانيكية التي يستخدمها الدماغ للتعامل مع نقص الأكسجين. هذا تفسير آخر للملاحظات الطبية بأن بعض المرضى لا يلهثون، على الرغم من انخفاض مستويات الأكسجين في الدم بشكل خطير. (60)
وقد أفادت دراسة حالة منشورة في المجلة الدولية للأمراض المعدية ، من فريق في اليابان ، عن وجود آثار للفيروس في السائل الدماغي الشوكي لمريض كوفيد-19 أصيب بالتهاب السحايا والتهاب الدماغ ... مما يشير إلى أنه يمكن للفيروس أيضًا اختراق الجهاز العصبي المركزي. (61)
لكن قد تكون عوامل أخرى هي المسئولة عن الضرر الذي يصيب الدماغ ... على سبيل المثال: يمكن أن يتسبب رد فعل مبالغ فيه من جهاز المناعة (عاصفة السيتوكين) في احداث تورم في المخ ...كما قد يؤدي ميل الدم المفرط إلى التجلط إلى حدوث السكتات الدماغية. (62)
ومازال الاطباء يعملون على جمع الفحوصات والاختبارات المعملية والبيانات الأخرى لفهم تأثير الفيروس على الجهاز العصبي بشكل أفضل ، بما في ذلك الدماغ. (63)
مادا عن الجهاز الهضمي: في شهر مارس ، عانت امرأة من ولاية ميتشجان تبلغ من العمر 71 عامًا من اسهال دموي وقيء وآلام البطن. في البداية اشتبه الأطباء في أنها تعاني من السالمونيلا. ولكن بعد أن أصيبت بالسعال ، أخذ الأطباء مسحة أنفية ووجدوها إيجابية لفيروس كورونا الجديد. (64)
أشارت عينة براز إيجابية لـوجود RNA الخاص بالفيروس (بالإضافة إلى ظهور علامات إصابة القولون في المنظار) إلى اصابة الجهاز الهضمي (GI) بعدوى من الفيروس ، وفقًا لما نشر في المجلة الأمريكية لأمراض الجهاز الهضمي (AJG). (65)
تضيف حالتها إلى مجموعة متزايدة من الادلة الى ان الفيروس يمكن أن يصيب بطانة الجهاز الهضمي السفلي ، حيث تكون مستقبلات ACE2 الحاسمة وفيرة. حيث تم العثور على RNA الفيروس في ما يصل إلى 53 ٪ من عينات براز المرضى الذين تم أخذ عينات منهم. (66)
إن وجود الفيروس في الجهاز الهضمي يزيد من احتمال أن ينتقل عبر البراز. ولكن لم يتضح بعد ما إذا كان البراز يحتوي على فيروسات معدية سليمة أم فقط RNA والبروتينات. لكن خطر انتقال المرض بسبب البراز يبدوا منخفضاً على الأرجح. (67)
الأمعاء ليست نهاية مسيرة المرض عبر الجسم. على سبيل المثال ، يصاب ما يصل إلى ثلث المرضى في المستشفى بالتهاب الملتحمة - عيون وردية ودامعة - على الرغم من أنه ليس من الواضح أن الفيروس يغزو العين مباشرة. (68)
تشير تقارير أخرى إلى تأثر الكبد: أكثر من نصف مرضى COVID-19 الذين تم إدخالهم إلى المستشفى في مركزين صينيين لديهم مستويات مرتفعة من الإنزيمات التي تشير إلى إصابة الكبد أو القنوات الصفراوية. (69)
لكن العديد من الخبراء يقولون أن الغزو الفيروسي المباشر ليس من المحتمل أن يكون الجاني. وان الأحداث الأخرى التي تجري في الجسم مثل الاثار الجانبية للأدوية أو فرط نشاط وتهيج الجهاز المناعي من المرجح أنها السبب في الاضرار التي تصيب الكبد في بعض المرضى. (70)
لا تزال خريطة الدمار التي يمكن أن يسببها كوفيد-19 للجسم مجرد رسم تخطيطي. سيستغرق الأمر وقت طويل من البحث الشاق لفهم وتحديد صورة وتسلسل التأثيرات القلبية الوعائية والمناعية له (71)
بينما يتقدم العلم إلى الأمام ، بدءًا من فحص الأنسجة تحت المجاهر إلى اختبار الأدوية على المرضى ، فإن الأمل يكمن في العلاجات الأكثر دهاءً من الفيروس الذي أوقف العالم في مساره. (72)
سقطت سهواً هذة الصور الخاصة بالتغريدة رقم (38) من هذة السلسلة والتي تظهر تورم الأصابع وتلونها باللون الأحمر أو الأرجواني (مايسمى بأصابع كوفيد-19) .. والتي يعتقد انها بسبب مشاكل في الدورة الدموية

جاري تحميل الاقتراحات...