التهاب اللثة:(٢)
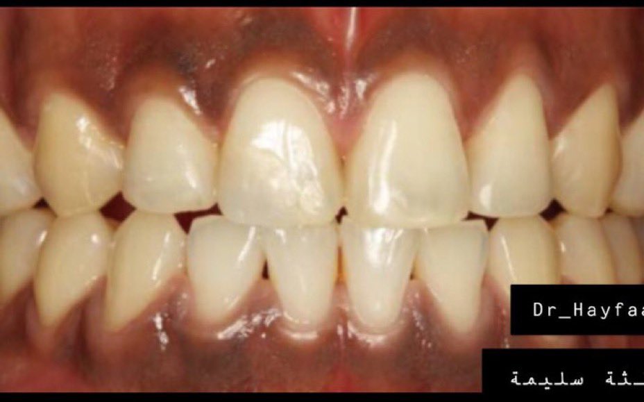
اللثة السليمة:
لمعرفة اللثة المريضة يجب أولا معرفة السليمة ونعرف الاختلافات البسيطة بين جميع الأعراق.اللثة السليمة لونها زهري (غالبا)ملتصقة بالأسنان لامعة(غالبا)لا تنزف عند اللمس أوالتفريش أو بدون سبب/بعض البشرلديهم تصبغات سمراء طبيعية #صحة_أسنانك
#د_هيفاء_الراشد
اللثة السليمة:
لمعرفة اللثة المريضة يجب أولا معرفة السليمة ونعرف الاختلافات البسيطة بين جميع الأعراق.اللثة السليمة لونها زهري (غالبا)ملتصقة بالأسنان لامعة(غالبا)لا تنزف عند اللمس أوالتفريش أو بدون سبب/بعض البشرلديهم تصبغات سمراء طبيعية #صحة_أسنانك
#د_هيفاء_الراشد
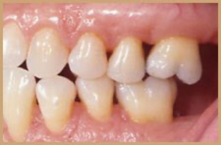
التهاب اللثة: (٣)
مراحل التهاب اللثة:
التهاب اللثة الخارجي(مرحلة١):
- الانتفاخ
-الإحمرار
-النزف من اللمس او التفريش
-الألم وتختلف درجته من شخص لآخر
-سهل العلاج ويختفي تماماً بإزالة المسبب والعناية بنظافة الاسنان والاهتمام وعدم إهمال الخيط السني
#صحة_أسنانك
#د_هيفاء_الراشد
مراحل التهاب اللثة:
التهاب اللثة الخارجي(مرحلة١):
- الانتفاخ
-الإحمرار
-النزف من اللمس او التفريش
-الألم وتختلف درجته من شخص لآخر
-سهل العلاج ويختفي تماماً بإزالة المسبب والعناية بنظافة الاسنان والاهتمام وعدم إهمال الخيط السني
#صحة_أسنانك
#د_هيفاء_الراشد
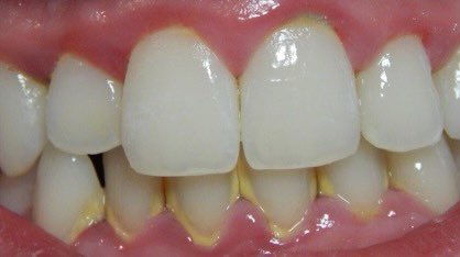
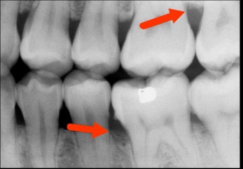
التهاب اللثة:(٤)
التهاب اللثة العميق(مرحلة٢):
-تآكل بسيط في اطراف العظم الداعم للآسنان وقد(غالبا)يكون مصحوب بعلامات من التهاب اللثة الخارجي
اعراضه قد تشابه المرحلة (١) وقد لا يكون ظاهرا
-يمكن علاجه إذا اكتشف باكرا وإيقاف تقدمه.
#صحة_أسنانك
#د_هيفاء_الراشد
التهاب اللثة العميق(مرحلة٢):
-تآكل بسيط في اطراف العظم الداعم للآسنان وقد(غالبا)يكون مصحوب بعلامات من التهاب اللثة الخارجي
اعراضه قد تشابه المرحلة (١) وقد لا يكون ظاهرا
-يمكن علاجه إذا اكتشف باكرا وإيقاف تقدمه.
#صحة_أسنانك
#د_هيفاء_الراشد
التهاب اللثة:(٦)
المرحلة المتقدمة من التهاب اللثة (المرحلة ٤):
-ألم ونزف
-حركة واضحة ومؤلمة عند المضغ
-رائحة كريهة ومزعجة
-سقوط الأسنان بدون التعرض لضربات أو حوادث
-العلاج قد يكون غير ممكن 💔
#صحة_أسنانك
#د_هيفاء_الراشد
المرحلة المتقدمة من التهاب اللثة (المرحلة ٤):
-ألم ونزف
-حركة واضحة ومؤلمة عند المضغ
-رائحة كريهة ومزعجة
-سقوط الأسنان بدون التعرض لضربات أو حوادث
-العلاج قد يكون غير ممكن 💔
#صحة_أسنانك
#د_هيفاء_الراشد
التهاب اللثة:(٧)
الوقاية :
١-الإهتمام بإزالة البلاك بشكل دقيق واستعمال الفرشاة والمعجون مرتين إلى ثلاث يوميا وخيط الأسنان بشكل منتظم مرة يومياً.
٢- منع تجمع الجير بين الأسنان واللثة وعدم إهماله دون إزاله بشكل دوري في العيادة
٣- الإمتناع عن التدخين
#صحة_أسنانك
#د_هيفاء_الراشد
الوقاية :
١-الإهتمام بإزالة البلاك بشكل دقيق واستعمال الفرشاة والمعجون مرتين إلى ثلاث يوميا وخيط الأسنان بشكل منتظم مرة يومياً.
٢- منع تجمع الجير بين الأسنان واللثة وعدم إهماله دون إزاله بشكل دوري في العيادة
٣- الإمتناع عن التدخين
#صحة_أسنانك
#د_هيفاء_الراشد
التهاب اللثة: (٨)
الوقاية=
٤-الغذاء الصحي والطبيعي
٥-المحافظة على معدل السكر التراكمي منتظم في الدم لمرضى السكري
٦-تكثيف زيارات الفحص الدوري للمرضى المستخدمين لأدوية مؤثرة على اللثة كمرضى الصرع والشحنات الكهربائية ومرضى السكري و من تعرض لمرض لثة سابقا
#صحة_أسنانك
#د_هيفاء_الراشد
الوقاية=
٤-الغذاء الصحي والطبيعي
٥-المحافظة على معدل السكر التراكمي منتظم في الدم لمرضى السكري
٦-تكثيف زيارات الفحص الدوري للمرضى المستخدمين لأدوية مؤثرة على اللثة كمرضى الصرع والشحنات الكهربائية ومرضى السكري و من تعرض لمرض لثة سابقا
#صحة_أسنانك
#د_هيفاء_الراشد
التهاب اللثة:(٩)
الوقاية:
٧-استشارة الطبيب المختص في حالة وجود تزاحم غير مقبول بين الأسنان لعمل تقويم إذا لزم الأمر
٨-مرضى #متلازمة_داون عرضة أكثر لالتهاب اللثة لذلك يجب العناية اكثر لتأخير حدوث المرض
٩-الحوامل يتعرضن أكثر لإلتهابات اللثة ويجب الإهتمام بالنظافة والفحص الدوري
الوقاية:
٧-استشارة الطبيب المختص في حالة وجود تزاحم غير مقبول بين الأسنان لعمل تقويم إذا لزم الأمر
٨-مرضى #متلازمة_داون عرضة أكثر لالتهاب اللثة لذلك يجب العناية اكثر لتأخير حدوث المرض
٩-الحوامل يتعرضن أكثر لإلتهابات اللثة ويجب الإهتمام بالنظافة والفحص الدوري
التهاب اللثة:(١٠)
الوقاية:
٩- الاشخاص الذين يستعملون الأجهزة التقويمية يجب أن يراعو عناية فائقة بالأسنان واللثة لوجود اجهزة يعلق بها كمية أكبر من البلاك وبالتالي تضاعف عدد البكتيريا المسببة للتسوسات والتهابات اللثة
#صحة_أسنانك
#د_هيفاء_الراشد
الوقاية:
٩- الاشخاص الذين يستعملون الأجهزة التقويمية يجب أن يراعو عناية فائقة بالأسنان واللثة لوجود اجهزة يعلق بها كمية أكبر من البلاك وبالتالي تضاعف عدد البكتيريا المسببة للتسوسات والتهابات اللثة
#صحة_أسنانك
#د_هيفاء_الراشد
التهاب اللثة:(١١)
العلاج:
يعتمد علاج أمراض اللثة على مرحلة المرض ومسبب المرض. ويكون العلاج عادة بإزالة المسبب ومحاولة استدراك الخلل
بمعنى:
-ازالة الجير وتنظيف اللثة (من بسيط إلى عميق ومتقدم) حسب التشخيص والمشكلة
-ابعاد التلبيسات او الحشوات السيئة وتعويضها بجيدة
#د_هيفاء_الراشد
العلاج:
يعتمد علاج أمراض اللثة على مرحلة المرض ومسبب المرض. ويكون العلاج عادة بإزالة المسبب ومحاولة استدراك الخلل
بمعنى:
-ازالة الجير وتنظيف اللثة (من بسيط إلى عميق ومتقدم) حسب التشخيص والمشكلة
-ابعاد التلبيسات او الحشوات السيئة وتعويضها بجيدة
#د_هيفاء_الراشد
التهاب اللثة:(١٢)
العلاج: (تابع)
-عمل جراحات لثوية خاصة لبعض الأسنان وخاصة قبل تقدم المرض للمرحلة الرابعة وعمل بعض التعويض العظمي صناعيا
-عمل ترقيع لثوي خارجي لإنحسار اللثة اذا توفرت الظروف الملائمة والمحفزة لنجاح الجراحة
#صحة_أسنانك
#د_هيفاء_الراشد
العلاج: (تابع)
-عمل جراحات لثوية خاصة لبعض الأسنان وخاصة قبل تقدم المرض للمرحلة الرابعة وعمل بعض التعويض العظمي صناعيا
-عمل ترقيع لثوي خارجي لإنحسار اللثة اذا توفرت الظروف الملائمة والمحفزة لنجاح الجراحة
#صحة_أسنانك
#د_هيفاء_الراشد
التهاب اللثة:(١٣)
العلاج:(تابع)
السيطرة على مستوى السكري في الدم لتخفيف أثره على اللثة
-التوقف عن التدخين والكحول
نهاية موضوع (التهاب اللثة ❤️)
#صحة_أسنانك
#د_هيفاء_الراشد
العلاج:(تابع)
السيطرة على مستوى السكري في الدم لتخفيف أثره على اللثة
-التوقف عن التدخين والكحول
نهاية موضوع (التهاب اللثة ❤️)
#صحة_أسنانك
#د_هيفاء_الراشد
جاري تحميل الاقتراحات...