التسوس الأولي في مرحلة التلوين ومعالجتها
#التسوس_الأولي
#dentistry #Dentists
#Dental_by_dahoom
#صوت_الطبيب
#التسوس_الأولي
#dentistry #Dentists
#Dental_by_dahoom
#صوت_الطبيب
نحن جميعا نريد أن يكون لدينا أسنان جميلة وصحية. حتى تظل كذلك ، من المهم أن تكون قادرة على التعرف على علامات التسوس الأولية في الوقت المناسب من أجل اتخاذ تدابير كافية لمنع تطورها.
حتى لو ذهبت إلى طبيب الأسنان كل ستة أشهر لرؤيتك ، فإنه بعيد كل البعد عن حقيقة أنه خلال هذه الفترة ،
حتى لو ذهبت إلى طبيب الأسنان كل ستة أشهر لرؤيتك ، فإنه بعيد كل البعد عن حقيقة أنه خلال هذه الفترة ،
لن يكون هناك وقت طويل لتطوير عملية كريهة من شكله الأولي ، من مرحلة البقعة البيضاء ، مما يؤثر على عاج السن. ثم من غير المحتمل تجنب علاج الأسنان دون استخدام المثقاب.
لذا ، إذا لاحظت بقعًا بيضاء مشبوهة على أسنانك ، وبصفة خاصة اللون البني أو حتى الأسود تقريبًا ، وبصورة دورية ، يوجد فم فم (عصارة أو مذاق قابض قابض) في الفم - من المرجح جدًا أن التسوس قد بدأ بالفعل أعماله التدميرية مينا أسنانك.
ما هو التسوس الأولي وأسبابه
من أجل فهم أفضل لنوع التسوس الأولي ولماذا يحدث ، دعنا نتذكر هيكل الأسنان. أي أن الجزء العلوي والأكثر متانة من المينا. إذا كانت النظافة الفموية غير مرضية ، كنتيجة للنشاط الحيوي للكائنات الحية الدقيقة في الفم ،
من أجل فهم أفضل لنوع التسوس الأولي ولماذا يحدث ، دعنا نتذكر هيكل الأسنان. أي أن الجزء العلوي والأكثر متانة من المينا. إذا كانت النظافة الفموية غير مرضية ، كنتيجة للنشاط الحيوي للكائنات الحية الدقيقة في الفم ،
تتكون الأحماض العضوية من الكربوهيدرات (أساسا من السكر) ، وتشكل اللويحات على سطح المينا.
يتكون مينا الأسنان من مركبات الكالسيوم والفوسفور والفلور ، بالإضافة إلى مصفوفة بروتين ، والتي ، مثل شبكة ، تخترق البنية بأكملها.
يتكون مينا الأسنان من مركبات الكالسيوم والفوسفور والفلور ، بالإضافة إلى مصفوفة بروتين ، والتي ، مثل شبكة ، تخترق البنية بأكملها.
مع التعرض الطويل للميناء للأحماض ، يتم غسل المكونات المعدنية منه -هذه العملية تسمى إزالة المعادن بالمينا وهي السبب الرئيسي للتسوس الأولي.
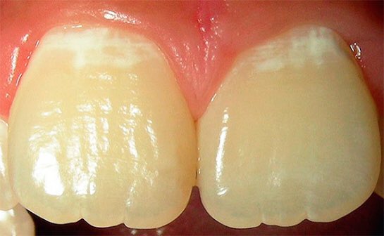
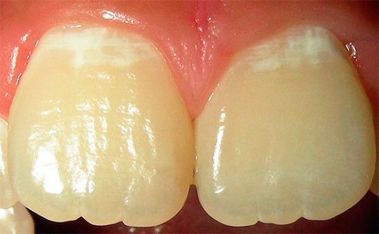
ونتيجة لذلك،تظهر بقع الطباشيري الأبيض على سطح الأسنان - مواقع إزالة المعادن. التسوس الأولية في هذه المرحلة تسمى أيضًا تسوس في المرحلة البيضاء.
ونتيجة لذلك،تظهر بقع الطباشيري الأبيض على سطح الأسنان - مواقع إزالة المعادن. التسوس الأولية في هذه المرحلة تسمى أيضًا تسوس في المرحلة البيضاء.
في الوقت نفسه ، يبدو أن مينا الأسنان لا يزال سلسًا ، لكنه بالفعل يفقد بريقًا ، حيث تقل صلابة هذه المناطق في بعض المناطق ، وتصبح أكثر مسامية
إن إزالة المعادن في المينا في المراحل الأولى من العملية المشكوك فيها قابلة للانعكاس.وقد أظهرت العديد من الدراسات التجريبية والسريرية أنه يمكن استعادة بنية بلورية من المينا بنجاح بسبب تناول المكونات المعدنية من الخارج - أولا وقبل كل شيء ،
مركبات الكالسيوم والفوسفور والفلور. ومع ذلك ، يمكن إعادة التمعدن فقط مع درجة معينة من تدمير الأنسجة الصلبة.
الحد الذي يحدد إمكانية مثل هذا العلاج إعادة المعادن هو سلامة مصفوفة البروتين من المينا.
الحد الذي يحدد إمكانية مثل هذا العلاج إعادة المعادن هو سلامة مصفوفة البروتين من المينا.
إذا لم تتمكن بعد مصفوفة البروتين من الانهيار خلال النتوءات الأولية ، فبسبب خصائصها المتأصلة ، فإنها قادرة على امتصاص أيونات الكالسيوم وأيونات الفوسفات من الخارج ، والتي تتبلور في بنيتها في نهاية المطاف مع استعادة الخصائص الوقائية وصلابة المينا.
ومع ذلك ، من الواضح تمامًا أن العملية المرضية بعيدة عن أن تكون محدودة في توطينها بالأسنان الأمامية ؛ ويمكن أن تحدث على أي سن تقريبًا وعلى أي من أسطحه.
"تجدر الإشارة إلى أن بقع بيضاء على المينا يمكن أن تشير أيضا إلى آفة غير كريهة (على سبيل المثال ، نقص تنسج المينا). هل يستحق الأمر أن تقلق ، بالنظر إلى هذه المواقع؟ لا أعلم ، لكنني شخصياً لديّ بقعة بيضاء على أحد الأسنان ، والتي لاحظتها منذ حوالي 5-7 سنوات أمام المرآة.
قبل ذلك ، لم ألاحظ ، ولكن لأول مرة أصابني بالذعر ، بالنظر إلى منطقة التغيير في القواطع الجانبية العلوية. لم أفعل أي شيء ، ولكن بعد الوقت أدركت أنه كان نقص تنسج - تخلف المينا من الطفولة.
لذا ، كما فعلت ، من الأفضل عدم القيام بذلك. ثم تخيلت بوضوح أن هذه البقع لا يمكن أن تكون تسوسًا ، ولم يتم إعادة تأمينها في كرسي طبيب الأسنان. لدي معرفة أولية حول هذه القضية ، لقد قدمت التشخيص الأولي الصحيح غيابيًا ولم أكن مخطئًا ".
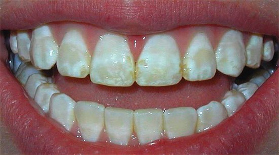
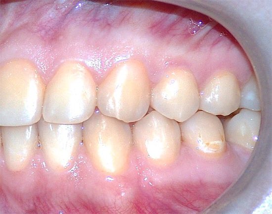
تؤدي زيادة مسامية المناطق المطلية بالمينا إلى حقيقة أن التسوس الأولي من مرحلة البقعة البيضاء يمر بسرعة إلى مرحلة البقعة الداكنة. الأقمشة الكريهة في نفس الوقت مصبوغة بأصباغ مختلفة وتكتسب ظلالاً من بني فاتح إلى بني غامق ، أسود تقريباً.
ومع ذلك ، دعونا نتحدث عن المظاهر السريرية للتسوس الأولية بمزيد من التفصيل ، حيث أنه من المهم أن يكون قادرا على التعرف على المشكلة في المراحل الأولى من ظهوره من أجل اتخاذ إجراءات في الوقت المناسب.
المظاهر السريرية لعلم الأمراض
من المعتقد أنه مع التسوس الأولي ، يكون العرض القياسي هو الإحساس الدوري الذي يشعر به الشخص من الشعور بغسول الفم الذي يحدث عندما تضرب الأسنان الأطعمة الحامضة أو المالحة.
من المعتقد أنه مع التسوس الأولي ، يكون العرض القياسي هو الإحساس الدوري الذي يشعر به الشخص من الشعور بغسول الفم الذي يحدث عندما تضرب الأسنان الأطعمة الحامضة أو المالحة.
في هذه الحالة ، لا يحدث ألم قوي ، كما هو الحال في تسوس العاج (النسيج الرئيسي للأسنان تحت المينا) ، وهذا غدر غريب من التسوس الأولي - يمكن للشخص المشي معه لفترة طويلة ، حتى دون أن يشك في أن المينا يتم تدمير أسنانه تدريجيا.
ومع ذلك ، من الناحية العملية ، لا يشتكي المرضى دائمًا من الإحساس بغسول الفم ، خاصة في المراحل المبكرة من التسوس الأولي.
مينا الأسنان خالي من النهايات العصبية ويتكون من مواد غير عضوية تقريبًا بنسبة 97٪. يختلف سمك المينا في أجزاء مختلفة من السن بشكل كبير ، ويتلاشى تقريباً في عنق السن.
تبعا لذلك ، لن يشعر بالألم الشديد في التسوس إلا عندما تمر عملية كريهة من خلال المينا أدناه ، إلى العاج ، اخترقها canaliculi مجهري مع النهايات العصبية.
ومع ذلك ، يمكن أن تسبب حساسية الأسنان ليس فقط من خلال ظهور مناطق إزالة المعادن ،ولكن أيضًا زيادة قابلية إزالة المينا (عند تفريش الأسنان والضغط على الفرشاة في مناطق عنق الرحم) ، بالإضافة إلى حدوث انتهاك عادي لكثافة المينا (أو هيكلها) ،
عندما يحدث دون ظهور النتوءات الأولية ، تحدث عملية "الموصلية" للبرد والساخن من المينا إلى أنسجة عميقة.
المينا نفسها ، بطبيعة الحال ، ليس لها نهايات عصبية ، وتغير هيكلها باستمرار ، حتى من دون المناطق الغريبة الأولية.
المينا نفسها ، بطبيعة الحال ، ليس لها نهايات عصبية ، وتغير هيكلها باستمرار ، حتى من دون المناطق الغريبة الأولية.
ومع ذلك ، يكفي أن يضغط بعض الناس بشكل مفرط على مناطق عنق الرحم باستخدام فرشاة أسنان لبضعة أيام من أجل الخوف من لمس المناطق الحساسة للأيام 2-3 القادمة.
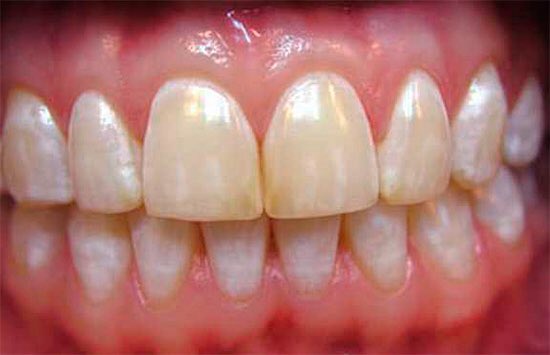
وتشمل المظاهر السريرية للنخر تسوس الأولي تغيير في لون السن ، كما سبق ذكره أعلاه. تلاحظ الظلال التالية مع تطور العملية المرضية:
الظل الأسنان الطبيعية ، ولكن ماتي.
أبيض؛
البيج.
بني فاتح
بني داكن
أسود.
الظل الأسنان الطبيعية ، ولكن ماتي.
أبيض؛
البيج.
بني فاتح
بني داكن
أسود.
هناك بالفعل مشاكل في ذلك ، ولكن هذه الحالة قد تكون واحدة من المظاهر السريرية للتسوس الأولية. وهو ، كما تتذكر ، قد يكون في بعض الحالات قابلا للانعكاس تماما.
من وجهة نظر طبيب الأسنان المحترف ، يتم استكمال الصورة السريرية للتسوس الأولية من خلال عدد من الفروق الدقيقة الهامة. على سبيل المثال ، سيتحقق الطبيب بالتأكيد من حالة المينا باستخدام مسبار الأسنان - خلال التسوس الأولي في مرحلة البقعة البيضاء ،
يجب أن ينزلق الطرف فوق السطح ، لأن المينا لا يزال يحتفظ بصلادة عالية نوعًا ما.
مع عملية أعمق لتنقية المعادن ، قد يكشف الفحص عن بعض الخشونة ، صلابة أقل. قد يشعر المريض بألم خفيف.
مع عملية أعمق لتنقية المعادن ، قد يكشف الفحص عن بعض الخشونة ، صلابة أقل. قد يشعر المريض بألم خفيف.
طرق لتشخيص التسوس البدئي
هناك العديد من الطرق المستخدمة على نطاق واسع لتشخيص التسوس الأولية ، والتي تسمح التفريق بشكل موثوق به بشكل كاف من الحالات المرضية الأخرى من الأسنان. أبسطها هو تجفيف مينا الأسنان المذكور أعلاه.
هناك العديد من الطرق المستخدمة على نطاق واسع لتشخيص التسوس الأولية ، والتي تسمح التفريق بشكل موثوق به بشكل كاف من الحالات المرضية الأخرى من الأسنان. أبسطها هو تجفيف مينا الأسنان المذكور أعلاه.
تبدو مواقع إزالة المعادن في نفس الوقت باهتة ، وغالباً ما تكون بيضاء (فقدان بريق المينا هو علامة مميزة للتسوس الأولي).
عندما تقع البقع الداكنة في الشقوق ، قد يكون من الصعب على الطبيب تحديد ما إذا كان هذا هو التسوس الأولي ، أم أنه شكله الأكثر عمقاً. يعتبر التشخيص عند الأطفال في مثل هذه الحالات إشكالية خاصة ، حيث أن مينا الأسنان في منطقة الشق لا يكون غالباً بالمعادن الكافية ،
ويمكن أن يحدث الإحساس بالألم حتى على أسطح الأسنان (غير متورطة في العملية الجراحية). يحظر العديد من أطباء الأسنان ذوي السمعة الطيبة عمومًا استخدام المجسات الحادة (والتحقيقات بشكل عام) لتشخيصها تسوس الشق في الأطفال ذوي المينا غير المتشكلة بسبب حقيقة:
المسبار يجر مينا ؛
يمكن أن يبدأ التحقيق في التعلق حتى في الشق الطبيعي ، مما يخلق جيوبًا اصطناعية من "خشونة" المينا.
طريقة فعالة جدا لتشخيص التسوس الأولية هي استخدام الأصباغ المختلفة ،والتي ، بسبب زيادة نفاذية المينا المنزوعة المعادن ، قادرة على اختراق عمقها وثابتة بقوة في المسام.
يمكن أن يبدأ التحقيق في التعلق حتى في الشق الطبيعي ، مما يخلق جيوبًا اصطناعية من "خشونة" المينا.
طريقة فعالة جدا لتشخيص التسوس الأولية هي استخدام الأصباغ المختلفة ،والتي ، بسبب زيادة نفاذية المينا المنزوعة المعادن ، قادرة على اختراق عمقها وثابتة بقوة في المسام.
وتشمل الأصباغ العضوية الأكثر استخدامًا ما يلي:
الميثيلين الأزرق (محلول 2 ٪ في الماء) ؛
الميثيلين الأحمر (محلول 0.1 ٪ في الماء) ؛
tropeolin.
اللون القرمزي.
الميثيلين الأزرق (محلول 2 ٪ في الماء) ؛
الميثيلين الأحمر (محلول 0.1 ٪ في الماء) ؛
tropeolin.
اللون القرمزي.
يبدأ الإجراء التشخيصي بعزل السن من اللعاب بمساعدة بكرات القطن والتجفيف اللاحق لها. ثم يوضع محلول صبغة صغير على سطح المينا مع كرة قطنية وينتظر بضع دقائق حتى يتم دمج الصبغة في مسام المينا إن وجدت.
ثم يتم غسلها المناطق الملطخة من الأسنان بالماء. وستكون هناك علامة على التسوس الأولي تكون تلطيخ المينا المستمر في لون الصبغة المستخدمة.
كما تم اقتراح طريقة لتلطيخ مواقع إزالة المعادن باستخدام محلول مائي من نترات الفضة. في الوقت نفسه ، يتم استعادة أيونات الفضة في المسام إلى الفضة المعدني ، مما يعطي المينا اللون الأسود. عيب الطريقة هو اللارجعة لمثل هذا اللون.
في التقدم التشخيص التفريقي للتسوس البدئي يجب على طبيب الأسنان أيضا التأكد من أن بقع بيضاء على الأسنان ليست علامات على التسمم بالفلور المتوطنة المرتبطة مع وجود فائض من الفلورايد في الجسم.
عادة ما تكون البقع الصبغية واحدة ، وتكون البقع الفلورية ، كقاعدة عامة ، متعددة ، وغالبًا ما تقع بشكل متناظر على الأسنان في الجانب الأيسر والأيمن من نفس الاسم. كما يؤخذ في الاعتبار أن التسوس الأولي يتم عادة توطينه على السطوح التقريبية لتيجان الأسنان ،
في منطقة الرقاب والشقوق ، الموجودة في الأشخاص المعرضين عمومًا للتسوس ولديهم علامات أخرى عليه. غالباً ما تتشكل البقع الفوارة على الأنياب ، وكذلك على القواطع - أي على الأسنان الأكثر مقاومة للتسوس.
يأخذ الطبيب بعين الاعتبار توطن المنطقة بالمرض. وهذا يعني أنه في المناطق التي تحتوي على نسبة عالية من الفلوريد في مياه الشرب ، فإن التسمم بالفلور أمر شائع ، وبالتالي ، إلى الطبيب - تلميح.
معظم المناطق(ربما أكثر من 90 ٪) في روسيا منخفضة في الفلور في مياه الشرب،لذلك في بعض الأحيان يكفي أن ننظر في البطاقة الطبية إذا كان المريض هو زائر يأتي مع العديد من البقع على الأسنان.
يمكن إجراء التشخيص في حالة الاشتباه في التسمم بالفلور باستخدام محلول الصبغة.
يمكن إجراء التشخيص في حالة الاشتباه في التسمم بالفلور باستخدام محلول الصبغة.
كما يجب أن يؤخذ في الاعتبار أن وجود بقع بيضاء على الأسنان عند الأطفال قد يكون علامة على وجود نقص تنسج المينا ، أي تطورها غير الكافي ، والذي يرتبط عادة بالاضطرابات الأيضية في مرحلة الجنين.
في نقص تنسج المينا ككل ، هناك بقع بيضاء زجاجية تطوق تاج السن على شكل مسارات. هذه البقع ليست ملطخة بصبغة ، مما يجعل من الممكن تمييزها بشكل موثوق من البقع البيضاء المميزة للتسوس الأولي.
علاج التسوس الأولية عند طبيب الأسنان
النهج الرئيسي في علاج التسوس الأولية هو محاولة استعادة خصائص مينا الأسنان عن طريق إعادة التمعدن مع مستحضرات الكالسيوم والفوسفور والفلور.
النهج الرئيسي في علاج التسوس الأولية هو محاولة استعادة خصائص مينا الأسنان عن طريق إعادة التمعدن مع مستحضرات الكالسيوم والفوسفور والفلور.
وبعبارة أخرى ، من الضروري إشباع المينا بتلك المعادن التي فقدتها خلال العملية الكارثية ، ويمكن إجراء مثل هذه المعالجة باستخدام طرق محافظة ، دون استخدام الحفر وحفر مناطق الأسنان المصابة.
وبالنظر إلى أن اللويحة السنية واللويحات المعتدلة ولوحة الأسنان تمنع تدفق المعادن إلى المينا ، فإن الطبيب سيقوم أولاً بصحة الفم المهنية.بالإضافة إلى إزالة البلاك والحجر ، فإن أسطح جميع الأسنان والحشوات والهياكل العظمية سوف يتم وضعها أيضًا.
ثم يلي مرحلة العلاج إعادة التمعدن الفعلي ، حيث يتم علاج تسوس الأولية مع الكالسيوم والفوسفور والفلور. مع مساعدة منهم يتحقق عشرات ومئات من المرات تركيز أعلى من العناصر الكيميائية اللازمة ، مقارنة مع محتواها في اللعاب.
ونتيجة لذلك ، فإن عمليات انتشار المواد في الأنسجة المتضررة من تسوس تسير بسرعة أكبر ، مما يسمح لك لاستكمال العلاج في 10-20 فقط الإجراءات.
الأشكال التالية من طرق استعادة المينا ممكنة:
يتم تنظيف سطح الأسنان ميكانيكيا من لوحة مع معجون أسنان كاشط.ثم يتم معالجته بمحلول ضعيف من بيروكسيد الهيدروجين ، ويتم تجفيفه ، ويتم علاج المناطق المصابة لمدة 20 دقيقة بمحلول 10٪ من غلوكونات الكالسيوم ،
يتم تنظيف سطح الأسنان ميكانيكيا من لوحة مع معجون أسنان كاشط.ثم يتم معالجته بمحلول ضعيف من بيروكسيد الهيدروجين ، ويتم تجفيفه ، ويتم علاج المناطق المصابة لمدة 20 دقيقة بمحلول 10٪ من غلوكونات الكالسيوم ،
ومن ثم عمل المستحضرات بمحلول 2-4٪ من فلوريد الصوديوم لمدة 5 دقائق تقريبًا. للتخلص من البقع البيضاء أو البقع المصطبغة قليلاً ، عادة ما يتم تنفيذ 15-20 من هذه الإجراءات كل يوم أو مرة في اليوم. مع التغييرات الأولية ، يصبح تأثير الشفاء ملحوظة على الفور تقريبا.
ومع ذلك ، اليوم يتم رفض هذه الطريقة من Borovsky-Leus بشكل متزايد بسبب سمية الحلول المستخدمة: العمل مع مثل هذه التركيزات من الفلوريد أمر محفوف بالمخاطر.
هناك خيار آخر ممكن عند استخدام هلام خاص متسخ قليلاً يحتوي على حوالي 2٪ فلوريد الصوديوم و 3٪ أجار آغار على الأسنان بعد تنظيفها الأولي باستخدام معجون أسنان. يتجلد الجل بسرعة على الأسنان لتشكيل فيلم.
عادة ، 5 طلبات كافية للعلاج. عيوب هذه التقنية ، كما هو موضح سابقا ، هو استخدام الفلوريدات عالية التركيز.
في بعض الأحيان ، قد لا تحتوي الأدوية المستخدمة لمعالجة النخر الأولي على الفلورايد على الإطلاق ، بناءً على أملاح الكالسيوم والفوسفات فقط (على سبيل المثال ، Remodent ، المواد الهلامية المحتوية على فوسفات الكالسيوم ، إلخ.)
في بعض الحالات ، يتم الانتهاء من العلاج من خلال تغطية جميع الأسنان مع ورنيش خاص يحتوي على الفلور (الفلور). بالإضافة إلى ذلك ، يقوم الطبيب بتعليم المريض قواعد نظافة الفم ، موضحًا بالضبط كيفية مراقبة أسنانك حتى لا يظهر التسوس.
في طب أسنان الأطفال ، على سبيل المثال ، يتم استخدام الأدوية التالية اليوم لعلاج التسوس الأولي:
Gluftored.
السائل المينا الختم
Belagel Ca / P، Belagel F.
Gluftored.
السائل المينا الختم
Belagel Ca / P، Belagel F.
المراقبة الدورية لحالة الأسنان المعالجة من التسوس الأولية مهمة أيضا. من المستحسن زيارة طبيب الأسنان في موعد لا يتجاوز 3 أشهر بعد إعادة العلاج بالمعادن.
بالإشارة إلى طبيب الأسنان للعلاج في مرحلة تتميز فيها التسوس بوجود مناطق سوداء على الأسنان،من المهم أن نفهم أنه في مثل هذه الحالات ، لن يساعد إعادة التمعدن على الدوام.ونتيجة لذلك ، فإن السطح المصاب إما أن يكون قد تم حفره أو غلقه، أو في حالة مواتية، مع معالجة لاحقة لإعادة التمعدن.
في معظم الأحيان ، يحدث تلف المينا في شكل تسوس في مرحلة تلطيخ في الأطفال. ويرجع ذلك إلى ضعف تمعدن المينا وتشكيله غير النهائي في عصر معين. لوحظ أنه عند الأطفال ذوي البقع البيضاء المتعددة على الأسنان ، تكون كثافة التسوس أعلى.
هذا هو شكل مستمر من إزالة المعادن بسرعة ، والذي يتطلب العلاج إعادة التمعدن على الفور بدأت لمنع انتقال عملية carious إلى مرحلة أخرى.
ووفقاً لبعض الكتاب ، فإن البقع الصبغية المصبوغة التي توجد بكميات كبيرة في الطفل تتطلب علاجًا روتينيًا (مع توقع ملائم لفعالية إعادة تدوير العقاقير).
ووفقاً لبعض الكتاب ، فإن البقع الصبغية المصبوغة التي توجد بكميات كبيرة في الطفل تتطلب علاجًا روتينيًا (مع توقع ملائم لفعالية إعادة تدوير العقاقير).
كيفية علاج تسوس في مرحلة البقع البيضاء في المنزل
إذا كانت هناك علامات على التسوس الأولي ، فإن أفضل خيار هو الاتصال بطبيب الأسنان الذي سيقوم بإجراء العلاج بفعالية وكفاءة. ومع ذلك ، في المنزل ، فإن تأثير إيجابي معين مع النهج الصحيح هو ممكن جدا أيضا.
إذا كانت هناك علامات على التسوس الأولي ، فإن أفضل خيار هو الاتصال بطبيب الأسنان الذي سيقوم بإجراء العلاج بفعالية وكفاءة. ومع ذلك ، في المنزل ، فإن تأثير إيجابي معين مع النهج الصحيح هو ممكن جدا أيضا.
في الواقع ، فإن المهمة تتمثل في إجراء إعادة العلاج بالمعالجة بشكل مستقل بمساعدة العقاقير المتاحة. لهذا ، على سبيل المثال ، يمكنك استخدام:
Remineralizing هلام المعادن ROCS المعادن (المعادن Roks الطبية) على أساس مركبات الكالسيوم والفوسفور والمغنيسيوم.
Remineralizing هلام المعادن ROCS المعادن (المعادن Roks الطبية) على أساس مركبات الكالسيوم والفوسفور والمغنيسيوم.
لا يحتوي الجل على فلوريد ، لذلك فهو آمن إذا ابتلع. يزيل الحساسية المتزايدة للأسنان وهو فعال لعلاج التسوس في مرحلة البقع البيضاء. عندما يتم تطبيق الأسنان على المكونات المعدنية ، فإنها تخترق تدريجيا في المينا ، وبالتالي استعادة هيكلها.
Elmex gel (Elmex، Germany). ما يكفي من هلام يحتوي على الفلورايد لعلاج الأسنان مع محتوى من أيونات الفلوريد بتركيز 12500 جزء في المليون (1.25 ٪).
هذا تركيز عالٍ إلى حد ما ، لذلك ينبغي تجنب ابتلاع الهلام ، خاصة عند الأطفال. للحصول على تأثير remineralizing وضوحا ، فإنه يكفي لتطبيق هلام على الأسنان (فرشاة أسنانهم) على الأقل مرتين في الأسبوع لمدة 2 دقيقة.
مدهش الأبيض المعادن أسنان remineralis هلام. يتم تحقيق تأثير جيد خاصة بعد النظافة المهنية للتجويف الفموي ، ولكن حتى بدونه ، فإن الجل مناسب تمامًا لوقف تطور التسوس في مرحلة البقعة البيضاء.
هناك عدد من الوسائل الأخرى للعلاج والوقاية من التسوس الأولي ، وهذا يشمل معاجين الأسنان مع محتوى الفلورايد. يمكن الحصول على تأثير علاجي واضح بشكل خاص مع توليفة مناسبة من الأدوية المحتوية على الكالسيوم والفوسفور (على سبيل المثال ، في الصباح) مع الفلور المحتوي (في المساء).
ومع ذلك ، لإجراء عملية العلاج في المنزل بأقصى قدر من الكفاءة والأمان ، استشر طبيبك.
الوقاية من التسوس الأولية
كوننا ندرك جيدًا الأسباب التي تؤدي إلى ظهور التسوس الأولي (إزالة المعادن من المينا تحت تأثير الأحماض) ، فإن الإجراءات الوقائية واضحة تمامًا وستمنعها.
ولعل الطريقة الأكثر فعالية لمنع تطور تسوس الأسنان هي نظافة الفم العادية والسليمة.
كوننا ندرك جيدًا الأسباب التي تؤدي إلى ظهور التسوس الأولي (إزالة المعادن من المينا تحت تأثير الأحماض) ، فإن الإجراءات الوقائية واضحة تمامًا وستمنعها.
ولعل الطريقة الأكثر فعالية لمنع تطور تسوس الأسنان هي نظافة الفم العادية والسليمة.
إذا قمت بتنظيف أسنانك مرتين يوميا وتفكر أن هذا يكفي،فأنت مخطئ.
الكائنات الحية الدقيقة الكائنة قادرة على خفض الرقم الهيدروجيني في تجويف الفم10-20دقيقة بعد ابتلاع الطعام المحتوي على السكر.لذا،إذا لم تقم بشطف فمك بعد تناول الطعام،فبعد 20دقيقة يبدأ مينا الأسنان بالخضوع لخلل الأحماض.
الكائنات الحية الدقيقة الكائنة قادرة على خفض الرقم الهيدروجيني في تجويف الفم10-20دقيقة بعد ابتلاع الطعام المحتوي على السكر.لذا،إذا لم تقم بشطف فمك بعد تناول الطعام،فبعد 20دقيقة يبدأ مينا الأسنان بالخضوع لخلل الأحماض.
جاري تحميل الاقتراحات...