🔆 سأتحدث عن مرض السيلياك وهو احد أنواع الأمراض المتعلقة بالتحسس بمادة القمح ومشتقاتها
#صحتك_تهمنا
#فضفضة_طبيب
#مجتمعنا
@GlutenFreeksa
#صحتك_تهمنا
#فضفضة_طبيب
#مجتمعنا
@GlutenFreeksa
🔆 مرض السيلياك
مرض مناعي يؤدي لمهاجمة الجسم نفسه وتحديدًا الأمعاء الدقيقة بعد تناول القمح او الغلوتين ومشتقاتها ولا يزال سبب حدوث المرض غامض
#صحتك_تهمنا
#فضفضة_طبيب
#مجتمعنا
@GlutenFreeksa
مرض مناعي يؤدي لمهاجمة الجسم نفسه وتحديدًا الأمعاء الدقيقة بعد تناول القمح او الغلوتين ومشتقاتها ولا يزال سبب حدوث المرض غامض
#صحتك_تهمنا
#فضفضة_طبيب
#مجتمعنا
@GlutenFreeksa
🛑 أعراض مرض السيلياك
ألم في البطن
الإسهال
حركات الأمعاء الدهنية والعائمة
فقدان الوزن
الشعور بالانتفاخ أو الامتلاء طوال الوقت
قلة الشهية
كثرة الغازات
طفح جلدي وحكة
أعراض غير مرئية او مضاعفات مثل ضعف العظام أو انخفاض مستويات الحديد
تأخر النمو لدى الأطفال
⛔️وقد لا تظهر اي أعراض
ألم في البطن
الإسهال
حركات الأمعاء الدهنية والعائمة
فقدان الوزن
الشعور بالانتفاخ أو الامتلاء طوال الوقت
قلة الشهية
كثرة الغازات
طفح جلدي وحكة
أعراض غير مرئية او مضاعفات مثل ضعف العظام أو انخفاض مستويات الحديد
تأخر النمو لدى الأطفال
⛔️وقد لا تظهر اي أعراض
🔆 عند الاشتباه بهذا المرض يقوم الطبيب بعمل الفحوصات المخبرية للوصول للتشخيص
وعند تشخيص المرض يتم عمل بعض الفحوصات الإضافية للتأكد من عدم وجود مضاعفات للمرض وأيضا عمل فحوصات للتأكد من عدم وجود أمراض مناعية أخرى مصاحبة للسيلياك
#صحتك_تهمنا
#فضفضة_طبيب
#مجتمعنا
@GlutenFreeksa
وعند تشخيص المرض يتم عمل بعض الفحوصات الإضافية للتأكد من عدم وجود مضاعفات للمرض وأيضا عمل فحوصات للتأكد من عدم وجود أمراض مناعية أخرى مصاحبة للسيلياك
#صحتك_تهمنا
#فضفضة_طبيب
#مجتمعنا
@GlutenFreeksa
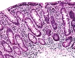
في البداية يتم عمل تحاليل دم للكشف عن الأجسام المضادة لمادة الغلوتين وعند اكتشافها يتم تأكيد التشخيص بعمل منظار علوي للجهاز الهضمي وأخذ عينات من الاثني عشر (المنطقة الاولى للأمعاء الدقيقة) للكشف المجهري
#صحتك_تهمنا
#فضفضة_طبيب
#مجتمعنا
@GlutenFreeksa
#صحتك_تهمنا
#فضفضة_طبيب
#مجتمعنا
@GlutenFreeksa
🛑 في الوقت الحالي العلاج الوحيد لمرض السيلياك هو الالتزام بالحمية الغذائية وذلك بالابتعاد عن القمح او الغلوتين ومشتقاته
ويتم تحويل المرضى لأخصائي / أخصائية التغذية متخصص في مرض السيلياك وذلك للتأكد من الحمية
وحاليا توجد بدائل كثيرة للمرضى ولله الحمد
#فضفضة_طبيب
#مجتمعنا
ويتم تحويل المرضى لأخصائي / أخصائية التغذية متخصص في مرض السيلياك وذلك للتأكد من الحمية
وحاليا توجد بدائل كثيرة للمرضى ولله الحمد
#فضفضة_طبيب
#مجتمعنا
يوجد الغلوتين في المنتجات الغذائية كالمخبوزات والمعجنات والمكرونة وأنواع الشوكولاتة وبعض الشوربات
لذلك ينصح المرضى بالتأكد من خلو المنتجات الغذائية من مادة الغلوتين
وعادة يكون الشعار مطبوع على المنتج
او
تذكر معلومة " خالي من الغلوتين "
“Gluten free” على المنتج
#صحتك_تهمنا
لذلك ينصح المرضى بالتأكد من خلو المنتجات الغذائية من مادة الغلوتين
وعادة يكون الشعار مطبوع على المنتج
او
تذكر معلومة " خالي من الغلوتين "
“Gluten free” على المنتج
#صحتك_تهمنا
تتضمن الأطعمة المسموح بتناولها على سبيل المثل لا الحصر :
- الأرز والذرة والبطاطا
- الفواكه والخضروات
- الدقيق والمعكرونة والصوصات والمنتجات الأخرى المصنوعة من هذه المكونات التي تحمل ملصق عليها "خالية من الغلوتين"
- اللحوم الحمراء والبيضاء والأسماك
- الأرز والذرة والبطاطا
- الفواكه والخضروات
- الدقيق والمعكرونة والصوصات والمنتجات الأخرى المصنوعة من هذه المكونات التي تحمل ملصق عليها "خالية من الغلوتين"
- اللحوم الحمراء والبيضاء والأسماك
مضاعفات مرض السيلياك تشمل :
فقر الدم بسبب نقص امتصاص الحديد
هشاشة العظام
ارتفاع أنزيمات الكبد
الطفح الجلدي والتهابات الجلد
تأخر النمو
اضطرابات الدورة الشهرية
تأخر الإنجاب او الإجهاض المتكرر
ومن الأمراض المصاحبة له :
داء السكري من النوع الأول
مشكلات الغدة الدرقية
القولون العصبي
فقر الدم بسبب نقص امتصاص الحديد
هشاشة العظام
ارتفاع أنزيمات الكبد
الطفح الجلدي والتهابات الجلد
تأخر النمو
اضطرابات الدورة الشهرية
تأخر الإنجاب او الإجهاض المتكرر
ومن الأمراض المصاحبة له :
داء السكري من النوع الأول
مشكلات الغدة الدرقية
القولون العصبي
الى هنا نصل الى نهاية الحديث
وأسعد بأي استفسار عن هذا الموضوع
#صحتك_تهمنا
#فضفضة_طبيب
#مجتمعنا
@GlutenFreeksa
وأسعد بأي استفسار عن هذا الموضوع
#صحتك_تهمنا
#فضفضة_طبيب
#مجتمعنا
@GlutenFreeksa
جاري تحميل الاقتراحات...