Emad Aljahdaly M.D|🇸🇦د عماد سليمان الجحدلي
Emad Aljahdaly M.D|🇸🇦د عماد سليمان الجحدلي

@ealjahdli

8 تغريدة 48 قراءة Mar 27, 2020
بعيدًا عن #كورونا حبيت استغل الوقت و اكتب ثريد عن نوع من أنواع أورام المعدة و الجهاز الهضمي للأشخاص المصابين بها او من يريد معلومات عامة قد تفيده يوما ما. هذه الأورام تعرف ب Gastrointestinal Stromal Tumors و مختصرها الطبي هو #GIST
تعتبر نوعًا من الأورام الحميدة ذات القابلية لأن تتحول الى سرطانية في بعض الأحيان. تنشأ عادة في اي جزء من الجهاز الهضمي لكن في غالبا في المعدة بنسبة تصل الى ٧٠٪ مقارنة بباقي الجهاز الهضمي. تنشأ من احدى طبقات جدار المعدة العضلية و المعروفة بالطبقة الرابعة او muscularis propria
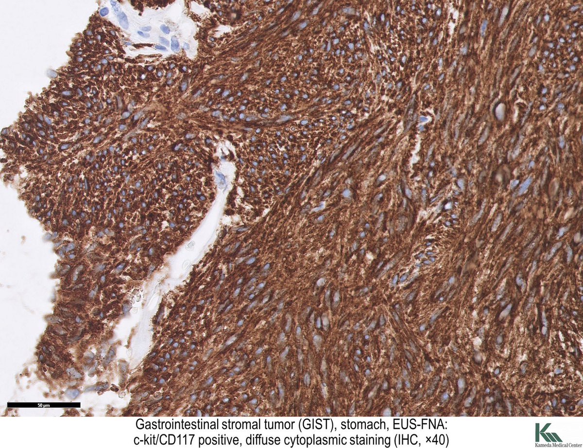
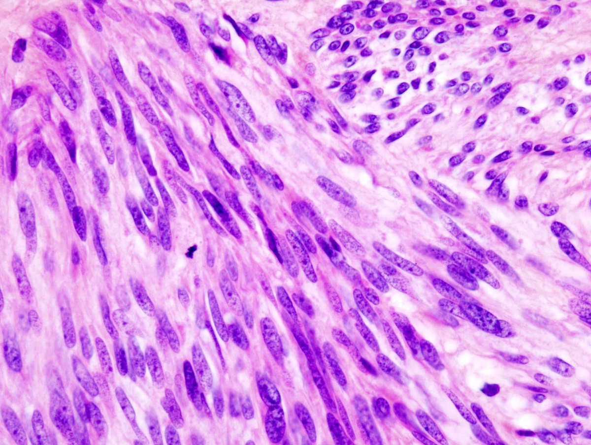
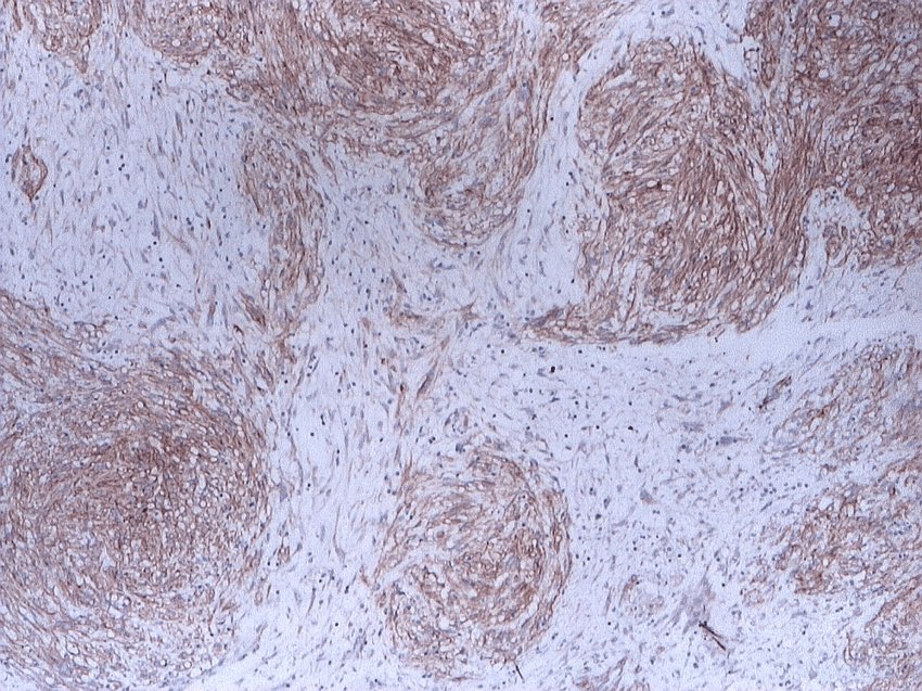
خلاياها تشبه الى حد كبير الخلايا العضلية و لكن في شكل مغزلي (spindle). و يتم تحديدها ببعض الصبغات المناعية مثل ckit/CD117 كما هو موضح في الصور
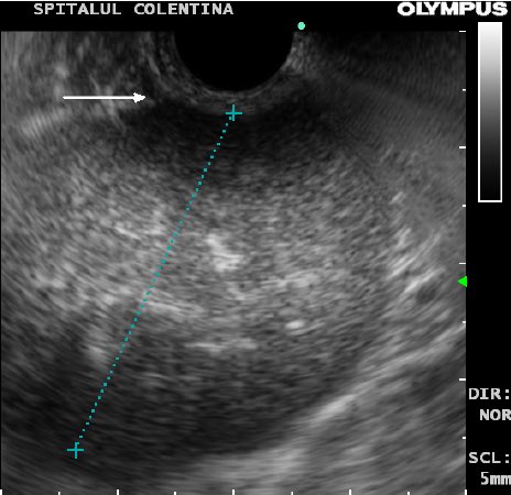
عادة ما تكتشف بالصدفة اثناء اجراء منظار للمعدة دون وجود اي اعراض. تظهر على شكل نتوء املس في اجزاء المعدة و ذو احجام متفاوتة. في بعض الحالات قد تنتج الأعراض بسبب زيادة الحجم مسببة انسداد او فقدان للشهية مصحوب بألم او على شكل نزيف إذا ما تقرحت اجزاء من الورم.
يتم علاجها عادة اما بإزالتها عن طريق المنظار او جراحيًا. من دواعي ازالتها:
١. وجود اعراض (كالنزيف، ألم، او انسداد)
٢. احجام اكبر من ٥ سم.
٣. حجم اكبر من او يعادل ٢ سم مع وجود حدود غير منتظمة للورم، او تقرح في سطح الورم.
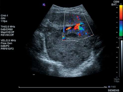
يتم فحص هذه التغيرات عن طريق التنظير الصوتي للورم.
في حالة وجود بعض الدلائل على تغير سرطاني داخل الورم، يفضل ازالته جراحيًا لتفادي انتشار الخلايا السرطانية اثناء الإزالة بالمنظار. الصور التالية هي لأحد الأورام التي تم ازالتها بيد الدكتور أشرف مغربي @AshrafMaghrabi. شكرا له لمشاركتي الصور
في الأورام التي لا تصاحبها اعراض و يقل حجمها عن ٢ سم و لا تتوفر فيها اي من مظاهر التحول السرطاني، يتم متابعتها بصفة دورية لدى طبيب الجهاز الهضمي في مراكز تتوفر فيها الفحص بالتنظير الصوتي.
هذا و دمتم سالمين. اللهم صلي على الهادي الأمين. #كلنا_مسؤول

جاري تحميل الاقتراحات...