الكل يعلم بأن الحياة لاتدوم على حالهـا ، وبمجرد التفكير بذلك سيستشعر المرء بأنه لايستطيع ايقاف أمر معين بمجرد إيمانه بحدوث شيء مختلف عن ما كان يتوقعه .. مثلاً كانتشار الفايروسات !!
نلاحظ هنا أن الفيروسات تختفي سنوات وتظهر فجأة، وربما لأسباب كثيرة،وأهمها أن الجهاز المناعي لم يكن قادراً على التعرف عليها لمحاربتها نسبة لضعفه وعدم ايجاد وسيله للتأقلم معه.. بأختصار لو قمت بإحضار رجل كان يعيش قبل الف سنة فلن يتمكن من العيش لعدم تأقلم جهازه المناعي مع الوضع الحالي
يتميز (فيروس كورونا وكذلك أغلب الفايروسات) في اللحظات الأولى من دخولها لجسم الإنسان ، في قيامها بعدة خدع تخفي وجودها بالجسم من أجل جعل أجهزة الجهـاز المناعي تكون غير قادره على كشفها مبكراً !!
ويبدأ الضغط على الرئتين وذلك لكونها أصبحت ساحة المعركة الرئيسية، حيث ستنتفخ بالخلايا المناعية، والجزيئات والسوائل التي تستخدمها للتنقل وستقوم الخلية التائية القاتلة بالبحث عن الفيروس لتلتصق به وتقوم بقتله فورا، وتبدأ خلايا الدم البيضاء بابتلاع كمية كبيرة من جزئيات الفيروس الميته
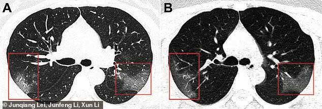
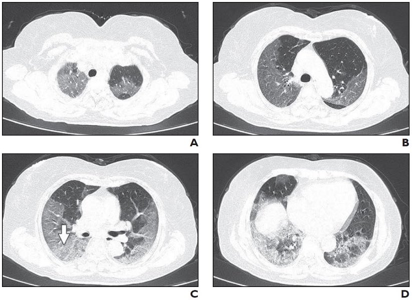
وقد تتراكم هذه الخلايا على الرئتين ، ووجود هذه الخلايا على الرئتين سيسد مجاري الهواء وتقلل تدفق الأوكسجين .. وبالتالي سيسبب ضرر قوي على الشخص المصاب ، وسيمنعه من اخذ الاوكسجين الكافي ، وبالتالي سيحتاج الى أجهزة تنفس صناعية .. بعض الحالات تتأثر بشدة !
الأحداث السابقة سيكون عليها ضرر على الرئتين .. حيث هناك حالات حرجة سيعانون من ضرر دائم وقد تكون من ضمن من يعانون من أمراض مزمنة ، وحالات ستتعافى ولن يكون لديها سواء أنها عانت من إصابة سابقة من فايروس (كوفيد 19 / كورونا) !
اللقاحات غالباً تستمر فترة طويلة لإعدادها بشكل يتناسب مع طبيعة جسم الانسان ، ومتوسط تلك الفترة فعلياً مابين سنة إلى ١٨ شهراً لإتمام الأمر بشگل ناجح دون اَي مضاعفات صحية على مناعة جسم الإنسان.
الأمر يحتاج إلى فهـم خصائص الفيروس مما يمكن العلماء من انتاج بروتينات من الفيروس لإنتاج اللقاح ، مما تثير رد فعل إيجابي للجهاز المناعي،وتجعله محصنا ضد العدوى عند التعرض لها لذلك لايوجد حتى الآن اَي علاج رسمي لفايروس كورونا (كوفيد 19) ، ولكن هناك تقدم علمي ملموس ودعم حكومي ضخم !
في يوم 13 من شهر مارس الحالي نشر المتحدث الرسمي بوزارة الخارجية الصينية مقالة عبر تويتر علق عليها قائلاً ( هـذه المقالة مهمة للجميع ، يوجد بهـا أدلة تثبت أن الفايروس “كوفيد-19” نشأ في أمريكا) يقصد بأنها حرب بيولوجية على الصين تقودها أمريكا !
وبعدها أعلن تحالف صيني/ألماني البدء بالتجارب السريرية للقاح كورونا الجديد، وذلك بعد 24 ساعة من إعلان أمريكا عن بدأها المراحل التجريبية للقاح كورنا، يبدو كما قلت سابقاً أن الأمر لن يستغرق عام أو عام ونصف، لأن من الواضح أن هناك تحدي قوي بينهـم !
وفي يوم 19 مارس من الشهر الحالي إيطاليا بدأت فعلياً بإستخدام دواء (Tocilizumab) الذي يستخدم في علاج التهاب المفاصل الروماتويدي وذلك لعلاج مرضى فايروس كورونا .. حيث اثبت نجاحه في عدة تجارب سريرية !
genengnews.com
genengnews.com
وكانت هناك أخبار من الصين أنتشرت في يوم 21 فبراير الماضي تفيد بأن دواء (Favilavir) هو العلاج للفايروس التاجي (كورونا)، حيث جاء الإعلان بعد شفاء عدد من المصابين بعد إعطاءهم هـذا الدواء !
pharmaceutical-technology.com
pharmaceutical-technology.com
لماذا إذا مع إيجاد العديد من الأدوية الفعالة مع الفيروس لايتم أستخدامها الآن؟! .. الأمر ليس بهذه البساطة فهـناك تجارب سريرية تمر عبر مراحل، وقد تستمر هذه المراحل حتى نهاية العام الجاري للتأكد من خلوها من اَي مضاعفات على المريض .. وربما أقل من هذه الفترة أن كان هناك دعم دولي ضخم !
إنتهى الثريد ، وسيكون هناك تحديث دوري لأي خبر مهم .. وفي النهاية نصيحتي إليك أغسل يديك جيداً ، وأبتعد عن التجمعات ، وأبقى منزلك ، الأمور ستنتهي قريباً ، المرض غير قاتل ، ولكنه يؤثر على أشخاص معينين ويهدد صحتهم ، أحفظ نفسك وعائلتك من الخطر !
وفي يوم 27 مارس أعلن العلماء عن نجاح تجربة نقل بلازما الدم على خمس مصابين بفيروس (كوفيد - 19)، وكانت حالتهـم حرجة في ولاية نيويورك ، وقد تعافوا بشكل تدريجي !
يذكر أن الصين كانت قد بدأت بالتجارب في 20 يناير ، واكدت بأن نتائجها ناجحة !
متفائلين خير
jamanetwork.com
يذكر أن الصين كانت قد بدأت بالتجارب في 20 يناير ، واكدت بأن نتائجها ناجحة !
متفائلين خير
jamanetwork.com
أعلن علماء أستراليون عن رغبتهـم بتجريب (لقاح السل) على أكثر من 4 آلاف عامل بالمجال الصحي الأسترالي لحمايتهم من الإصابة بفيروس كورونا أو لتقليل شدة أعراضه، وذلك بعد أن أثبت بأنهُ يقوي الخطوط الأمامية للمناعة، وكحل مؤقت للوقاية من فيروس (كورونا الجديد) !
nytimes.com
nytimes.com
- نجاح ياباني باهـر !
أعلنت شركة الدواء اليابانية (Toyama Chemical)
بأن عقارهـا (Favipiravir-Avigan) المحتمل ليكون علاج (فيروس كورونا)
نجح في تجاوز أول جولتين من التجارب السريرية، والتي أستمرت (80) يوماً، والآن يمر عبر المراحل النهائية للتجارب السريرية !
clinicaltrialsarena.com
أعلنت شركة الدواء اليابانية (Toyama Chemical)
بأن عقارهـا (Favipiravir-Avigan) المحتمل ليكون علاج (فيروس كورونا)
نجح في تجاوز أول جولتين من التجارب السريرية، والتي أستمرت (80) يوماً، والآن يمر عبر المراحل النهائية للتجارب السريرية !
clinicaltrialsarena.com
-العلاج بدأ يقترب !
أعلن مستشفى سان ماتيو الإيطالي عن أول حالة شفاء لمصاب بفيروس كورونا عن طريق إستخدام (بلازما الدم) محملة بالأجسام المضادة لأشخاص كانوا قد تعاوفوا من الإصابة بفيروس كورونا.
adnki.net
خبر سابق يتحدث عن نتائج بلازما الدم
أعلن مستشفى سان ماتيو الإيطالي عن أول حالة شفاء لمصاب بفيروس كورونا عن طريق إستخدام (بلازما الدم) محملة بالأجسام المضادة لأشخاص كانوا قد تعاوفوا من الإصابة بفيروس كورونا.
adnki.net
خبر سابق يتحدث عن نتائج بلازما الدم
في 2 إبريل من الشهـر الحالي أعلنت شركة (Abbott Labs) عن إرسال الدفعة الأولى من جهـازهـا القادر على تشخيص الإصابة بفيروس (كورونا/كوفيد 19) خلال (5 دقائق) إلى المناطق الأكثر تضرراً في أميركا
الجهاز سيحدث نقلة نوعية قي احتواء الوباء
-
الجهاز سيحدث نقلة نوعية قي احتواء الوباء
-
- الأمل يتجدد
أعلن معهـد الطب الحيوي في جامعة موناش (Monash) الأسترالية
أن جرعة من مضاد الطفيليات (إيفرمكتين Ivermectin) قادرة على أن تقتل فيروس كورونا في غضون 48 ساعة
وجاري العمل الآن لتحديد الجرعة المناسبة للبشر بعد عدة تجارب مختبرية !
7news.com.au
أعلن معهـد الطب الحيوي في جامعة موناش (Monash) الأسترالية
أن جرعة من مضاد الطفيليات (إيفرمكتين Ivermectin) قادرة على أن تقتل فيروس كورونا في غضون 48 ساعة
وجاري العمل الآن لتحديد الجرعة المناسبة للبشر بعد عدة تجارب مختبرية !
7news.com.au
أعلنت شركة "سايتوداين" الأميركية بأن علاج الأيدز (ليرونليماب) نجح في شفاء أكثر من 10 أشخاص مصابين بفيروس (كورونا / كوفيد 19)، واستطاع أيضا في جعل مصابين آخرين لايحتاجون إلى أجهـزة التنفس مما أدى إلى تحسن حالتهـم بشكل تدريجي.
cytodyn.com
cytodyn.com
أعلنت شركة أدوية مقرهـا (سان دييغو) عن نتائج واعدة من تجربة إكلينيكية لعلاج ضد فيروس كورونا أجريت بالتعاون مع مستشفى (رنمين) في ووهـان الصينية.
حيث قامت بإستخدام عقار (DAS181) على أربعة إصابات حرجة بفيروس (كورونا) مما ساهـم في تحسن حالتهـم خلال 10 أيام !
fox5sandiego.com
حيث قامت بإستخدام عقار (DAS181) على أربعة إصابات حرجة بفيروس (كورونا) مما ساهـم في تحسن حالتهـم خلال 10 أيام !
fox5sandiego.com
لنتائجه الإيجابية والواعدة في علاج فيروس (كورونا/كوفيد 19) أعلنت اليابان بأنها ستقوم بتخزين كمية كبيرة من مضاد الإنفلونزا (افيغان)، ومايكفي لمليوني شخص.
-
*خبر سابق
عن نجاح العلاج في التجارب السريرية
_
reut.rs
-
*خبر سابق
عن نجاح العلاج في التجارب السريرية
_
reut.rs
خبر مهـم
حصلت شركة "Inovio Pharmaceuticals" المدعومة من قبل مؤسسة (بيل غيتس) الخيرية على الموافقة التنظيمية من إدارة الغذاء والدواء الأميركية (FDA) للبدء في المرحلة الأولى من التجارب البشرية السريرية للقاحهـا المحتمل ضد فيروس كورونا !
techtimes.com
حصلت شركة "Inovio Pharmaceuticals" المدعومة من قبل مؤسسة (بيل غيتس) الخيرية على الموافقة التنظيمية من إدارة الغذاء والدواء الأميركية (FDA) للبدء في المرحلة الأولى من التجارب البشرية السريرية للقاحهـا المحتمل ضد فيروس كورونا !
techtimes.com
كشف تقرير لصحيفة (neuroscience) عن قيام علماء في جامعة نورث كارولينا الأمريكية
بتجربة دواء (EIDD-2801) على الفئران، وقد أثبت نجاحه في منع الإصابة الحادة للرئة
وجاري العمل حالياً للبدء في الاختبارات البشرية للتأكد من فاعليته كعلاج ضد فيروس (كورونا/كوفيد 19)
neurosciencenews.com
بتجربة دواء (EIDD-2801) على الفئران، وقد أثبت نجاحه في منع الإصابة الحادة للرئة
وجاري العمل حالياً للبدء في الاختبارات البشرية للتأكد من فاعليته كعلاج ضد فيروس (كورونا/كوفيد 19)
neurosciencenews.com
- خبر مهـم جداً
أصدرت إدارة الغذاء والدواء الأميركية (FDA) الموافقة للبدء بتجارب سريرية للدواء الياباني (Avigan) المحتمل بأن يكون علاج ضد فيروس كورونا
يذكر أن اليابان تراهـن على انهُ العلاج، وقد قامت بتخزين كمية كبيرة من هـذا الدواء، ومايكفي لمليوني شخص !
nypost.com
أصدرت إدارة الغذاء والدواء الأميركية (FDA) الموافقة للبدء بتجارب سريرية للدواء الياباني (Avigan) المحتمل بأن يكون علاج ضد فيروس كورونا
يذكر أن اليابان تراهـن على انهُ العلاج، وقد قامت بتخزين كمية كبيرة من هـذا الدواء، ومايكفي لمليوني شخص !
nypost.com
يذكر أن شركة (Toyama Chemical) أعلنت مسبقا بأن عقارهـا (Avigan)نجح في تجاوز أول جولتين من التجارب السريرية، والتي أستمرت (80) يوماً، والآن يمر عبر المراحل النهائية للتجارب السريرية، وبسبب نتائجه الإيجابية بدأت دول العالم تركز على هـذا الدواء ومنهـا أميركا
أعلنت الشركة الأميركية ريجينيرون بالتعاون مع شركة الأدوية الفرنسية Sanofi
أنها قامت بالبدء بالتجارب الإكلينيكية لاختبار عقار (كيفزارا) المخصص لعلاج المفاصل الروماتويدي على المصابين بفيروس كورونا
وأنهـا تنتظر النتائج التي قد تظهـر بعد (7 أيام إلى 14 يوماً)
statnews.com
أنها قامت بالبدء بالتجارب الإكلينيكية لاختبار عقار (كيفزارا) المخصص لعلاج المفاصل الروماتويدي على المصابين بفيروس كورونا
وأنهـا تنتظر النتائج التي قد تظهـر بعد (7 أيام إلى 14 يوماً)
statnews.com
أعلنت شركة (Pfizer) عن اعادتها استخدام مركب دوائي كان يستخدم للحالات التي تعاني من وباء الالتهـاب الرئوي (السارس) لعلاج مرضى كورونا..
ويعمل هـذا المركب على تثبيط إنزيم بروتيني معين يسمى (protease)، تنتجه الفيروسات التاجية !!
pfizer.com
ويعمل هـذا المركب على تثبيط إنزيم بروتيني معين يسمى (protease)، تنتجه الفيروسات التاجية !!
pfizer.com
نشرت أقدم مجلة طبية في العالم (New England Journal of Medicine)
نتائج تجربة الدواء(Remdesivir) على مرضى فيروس كورونا
وأقيمت التجربة على 53 مريضاً ، وكانت نتائجها كالتالي :
معدل تحسن الحالات 68%
معدل عدم تحسن الحالات 14%
معدل الوفيات 13%، وجميعهم فوق سن 70
nejm.org
نتائج تجربة الدواء(Remdesivir) على مرضى فيروس كورونا
وأقيمت التجربة على 53 مريضاً ، وكانت نتائجها كالتالي :
معدل تحسن الحالات 68%
معدل عدم تحسن الحالات 14%
معدل الوفيات 13%، وجميعهم فوق سن 70
nejm.org
خبر مهـم
في أحد مستشفيات البرازيل تم شفاء 300 مريضاً بفيروس (كورونا - كوفيد 19) .. بعد إستخدام مزيج من دواء (هيدروكسي كلوروكوين)، و المضاد الحيوي (أزيثروميسين - Z-Pack)
مصدر الخبر لمزيد من التفاصيل :
time24.news
في أحد مستشفيات البرازيل تم شفاء 300 مريضاً بفيروس (كورونا - كوفيد 19) .. بعد إستخدام مزيج من دواء (هيدروكسي كلوروكوين)، و المضاد الحيوي (أزيثروميسين - Z-Pack)
مصدر الخبر لمزيد من التفاصيل :
time24.news
قالت الشركة الإسرائيلية المصنعة لدواء (بلوريستم) أن دواءها التجريبي أثبت نجاحه في شفاء (7 مصابين من بينهم أميركي) من فيروس كورونا ، وجميعهـم كانت حالتهـم تصنف بالخطيرة.
الشركة تقول أن نسبة الشفاء بعد أخذ الدواء (100%) !
theschpiel.com
الشركة تقول أن نسبة الشفاء بعد أخذ الدواء (100%) !
theschpiel.com
أعلنت شركة (غيلياد) أن عقارهـا (ريمسيديفير) يعطي نتائج إيجابية على مرضى فيروس كورونا، الخبر هذا ساهـم في ارتفاع 15% من أسهم الشركة، بسبب المؤشرات التي تفيد أنها أقتربت من عملية التأكد من نجاح علاجهـا ضد فيروس كورونا !
مصدر الخبر
statnews.com
-
مصدر الخبر
statnews.com
-
كشف دراسة من جامعة لويزفيل عن أن الدواء التجريبي لمعالجة السرطان (أبتامر) قادر على تجميد فيروس كورونا من خلال حمض DNA، ومنع تكاثره، وقادر كذلك على منع ظهور اَي فيروسات تاجيه أخرى
الفريق البحثي ينتظر موافقة سريعة من FDA الأميركية لإجراء التجارب السريرية
sciencetimes.com
الفريق البحثي ينتظر موافقة سريعة من FDA الأميركية لإجراء التجارب السريرية
sciencetimes.com
خبر مهم
أعلنت (شركة غيلياد) أن عقارهـا (ريمسيديفير) يعطي نتائج إيجابية على المرضى، الشركة لم تدخل بالتفاصيل، ولكن النقطة المهمة أنها متعاونة مع جهات صحية أميركية، وهذا يعطي مؤشرات مبشرة
تغريدة سابقة عن الشركة :
مصدر الخبر :
barrons.com
أعلنت (شركة غيلياد) أن عقارهـا (ريمسيديفير) يعطي نتائج إيجابية على المرضى، الشركة لم تدخل بالتفاصيل، ولكن النقطة المهمة أنها متعاونة مع جهات صحية أميركية، وهذا يعطي مؤشرات مبشرة
تغريدة سابقة عن الشركة :
مصدر الخبر :
barrons.com
خبر عاجل
قد توافق اليوم هيئة الغذاء والدواء الأميركية (FDA) على ترخيص إستخدام عقار الايبولا (remdesivir) لحالات الطوارئ .. بعد أن أعطى نتائج إيجابية جداً على المرضى.
dailymail.co.uk
قد توافق اليوم هيئة الغذاء والدواء الأميركية (FDA) على ترخيص إستخدام عقار الايبولا (remdesivir) لحالات الطوارئ .. بعد أن أعطى نتائج إيجابية جداً على المرضى.
dailymail.co.uk
الرئيس الأميركي (دونالد ترامب) يطلق برنامج (Warp Speed)، والذي يخلق تعاون مشترك بين شركات الأدوية الخاصة والوكالات الحكومية والجيش بهدف تسريع عملية إيجاد لقاح ضد فيروس كورونا
المشروع يهدف إلى إنتاج 300 مليون جرعة قبل نهاية العام الحالي
bloomberg.com
المشروع يهدف إلى إنتاج 300 مليون جرعة قبل نهاية العام الحالي
bloomberg.com
عاجل
الرئيس الاميركي (دونالد ترامب) يؤكد بأن هيئة الغذاء والدواء الأميركية (FDA) وافقت على إعطاء شركة غيلياد الترخيص لاستخدام عقار (remdesivir) لحالات طوارئ مرض فيروس (كورونا / كوفيد 19)
العقار أظهر نتائج جداً إيجابية في مرحلة التجارب السريرية !
الرئيس الاميركي (دونالد ترامب) يؤكد بأن هيئة الغذاء والدواء الأميركية (FDA) وافقت على إعطاء شركة غيلياد الترخيص لاستخدام عقار (remdesivir) لحالات طوارئ مرض فيروس (كورونا / كوفيد 19)
العقار أظهر نتائج جداً إيجابية في مرحلة التجارب السريرية !
كما قلت سابقاً عقار (remdesivir) قد يحصل على الموافقة من قبل (FDA) لاستخدامه في حالات الطوارئ ..
الشركة تؤكد بأن نتائجه إيجابية ، ونحن متحمسين جداً لرؤية النتائج التأكيدية خلال الفترة القصيرة !
الشركة تؤكد بأن نتائجه إيجابية ، ونحن متحمسين جداً لرؤية النتائج التأكيدية خلال الفترة القصيرة !
الإستراتيجية التي ستعمل عليها الإدارة الاميركية في توفير مخزون كبير من اللقاح في حال جاهزيته بالوقت المتوقع ستكون مقسمة كالآتي لسنة 2020
إنتاج 100 مليون جرعة في شهـر نوفمبر
إنتاج 200 مليون جرعة في شهـر ديسمبر
إنتاج 300 مليون جرعة في شهـر يناير
amp.cnn.com
إنتاج 100 مليون جرعة في شهـر نوفمبر
إنتاج 200 مليون جرعة في شهـر ديسمبر
إنتاج 300 مليون جرعة في شهـر يناير
amp.cnn.com
قبل قليل جامعة أكسفورد تؤكد بأن لقاحهـا ضد فيروس كورونا يعطي نتائج جداً إيجابية، وأنها تتطلع للانتقال للمرحلة الثانية من التجارب لجمع بيانات أكبر عن اللقاح، وأدلة كافية عن فاعليته بحلول بداية شهر يونيو.
thehill.com
thehill.com
شركة Gilead المنتجة لعقار remdesivir تؤكد بأن المعطيات الأولية للعقار تبشر بالخير، وسيكون متاحاً للمستشفيات الأميركية خلال الأسبوع المقبل، وتقول أنها تبرعت بمليون ونصف جرعة من العقار للحكومة الأميركية، وهو مايكفي لعلاج مابين 200/150 ألف مصاب بفيروس كورونا
amp.usatoday.com
amp.usatoday.com
قدمت الرابطة الأميركية لعلماء الأدوية (AAPS) رسالة إلى حاكم ولاية أريزونا تحث على إستخدام دواء (هيدروكسي كلوروكوين) لعلاج مرضى فيروس كورونا، وجاء ذلك الطلب بعد الحصول على بيانات تشير إلى أن هناك 2333 مريضاً تم إعطائهـم الدواء، وساهـم في شفاء %91 منهـم !
dailymail.co.uk
dailymail.co.uk
- تطورات مهمة بخصوص العلاج
أعلنت الجامعة "العبرية / HebrewU" عن تطوير مضاد حيوي يحتمل بشكل كبير أن يكون قادر على علاج مرضى (فيروس كورونا / كوفيد 19)، والمرضى المصابين بالعدوى المقاومة للمضادات الحيوية !
jpost.com
أعلنت الجامعة "العبرية / HebrewU" عن تطوير مضاد حيوي يحتمل بشكل كبير أن يكون قادر على علاج مرضى (فيروس كورونا / كوفيد 19)، والمرضى المصابين بالعدوى المقاومة للمضادات الحيوية !
jpost.com
بدأت شركة (سينوفاك بيوتيك) الصينية بالتجارب البشرية الثانية للقاحهـا ضد فيروس كورونا (Corona vac)
الشركة تؤكد بأن اللقاح سيؤثر على البشر بناءً على المعطيات السابقة، وأنها تستعد لإنتاج 100 مليون جرعة خلال هـذا العام
نتائج التجربة ستظهـر في شهـر يونيو
amp.rfi.fr
الشركة تؤكد بأن اللقاح سيؤثر على البشر بناءً على المعطيات السابقة، وأنها تستعد لإنتاج 100 مليون جرعة خلال هـذا العام
نتائج التجربة ستظهـر في شهـر يونيو
amp.rfi.fr
اليابان أرسلت دواء فافيبيرافير إلى 43 دولة للقيام بالتجارب السريرية للتأكد من فاعليته على مرضى فيروس كورونا
وحسب رأي الخبراء الصينيين أن الدواء فعال بشكل واضح على مرضى فيروس كورونا
بالنسبة لعقار (ريمديسيفير) الذي أعلن عنه سابقاً فإنه أعتمد للحالات الخطيرة
cnbc.com
وحسب رأي الخبراء الصينيين أن الدواء فعال بشكل واضح على مرضى فيروس كورونا
بالنسبة لعقار (ريمديسيفير) الذي أعلن عنه سابقاً فإنه أعتمد للحالات الخطيرة
cnbc.com
خبر مهـم
أعلن علماء في هولندا عن إكتشاف جسم مضاد أطلق عليه 47D11 قادر على استهداف بروتين سبايك الذي يستخدمه فيروس كورونا لثقب الخلايا الإنسانية وإدخال مادته الوراثية، ويقول العلماء أن الجسم المضاد في حال تم حقن الإنسان به فيستطيع أن يحميه من التقاط العدوى
cw39.com
أعلن علماء في هولندا عن إكتشاف جسم مضاد أطلق عليه 47D11 قادر على استهداف بروتين سبايك الذي يستخدمه فيروس كورونا لثقب الخلايا الإنسانية وإدخال مادته الوراثية، ويقول العلماء أن الجسم المضاد في حال تم حقن الإنسان به فيستطيع أن يحميه من التقاط العدوى
cw39.com
يقال بأنه (قاب قوسين أو أدنى)
دخلت شركة الأدوية الأميركية فايزر مع
الشركة الألمانية للتكنلوجيا الحيوية بيونتيك مرحلة أخرى من التجارب السريرية للقاحهـما (BNT162) المحتمل بأن يكون فعال ضد فيروس كورونا، وأكدت شركة فايزر بأن اللقاح سيكون جاهز في غضون أشهـر
finance.yahoo.com
دخلت شركة الأدوية الأميركية فايزر مع
الشركة الألمانية للتكنلوجيا الحيوية بيونتيك مرحلة أخرى من التجارب السريرية للقاحهـما (BNT162) المحتمل بأن يكون فعال ضد فيروس كورونا، وأكدت شركة فايزر بأن اللقاح سيكون جاهز في غضون أشهـر
finance.yahoo.com
خبر قد يغير مفهوم الحصول على اللقاحات
يختبر علماء في جامعة بنسلفانيا الأميركية تقنية جينية جديدة يحتمل بأنها قادرة على أحداث تطور سريع باللقاح، ما يجعلهـا تصبح أفضل من عمليات تطوير اللقاحات التقليدية، وذلك في حال تم تأكيد فاعليتها
الجامعة متفائلة بالأمر
philadelphia.cbslocal.com
يختبر علماء في جامعة بنسلفانيا الأميركية تقنية جينية جديدة يحتمل بأنها قادرة على أحداث تطور سريع باللقاح، ما يجعلهـا تصبح أفضل من عمليات تطوير اللقاحات التقليدية، وذلك في حال تم تأكيد فاعليتها
الجامعة متفائلة بالأمر
philadelphia.cbslocal.com
أعلنت الصين عن تجربة للقاحها (PiCoVacc)
حيث كانت التجربة قائمة على قرود المكاك، وتم تقسيم القرود إلى مجموعتين
المجموعة الأولى أخذت جرعة 1.5 ميكروغرام
المجموعة الثانية أخذت جرعة 6 ميكروغرام
بعد 3 أسابيع اتضح أن قرود المجموعة الثانية أصبحت محصنة من الفايروس!
eurekalert.org
حيث كانت التجربة قائمة على قرود المكاك، وتم تقسيم القرود إلى مجموعتين
المجموعة الأولى أخذت جرعة 1.5 ميكروغرام
المجموعة الثانية أخذت جرعة 6 ميكروغرام
بعد 3 أسابيع اتضح أن قرود المجموعة الثانية أصبحت محصنة من الفايروس!
eurekalert.org
أستراليا تدخل السباق
جامعة كوينزلاند الأسترالية تؤكد بأنها تمتلك تقنيات قادرة على تطوير لقاح ضد فيروس (كورونا)، ويقول البروفيسور الشهـير (إيان فريزر ) الذي طور لقاح ضد فيروس (الورم الحليمي البشري) بأن الجامعة تمتلك كافة المقومات اللازمة لتطوير لقاحها UQ
9news.com.au
جامعة كوينزلاند الأسترالية تؤكد بأنها تمتلك تقنيات قادرة على تطوير لقاح ضد فيروس (كورونا)، ويقول البروفيسور الشهـير (إيان فريزر ) الذي طور لقاح ضد فيروس (الورم الحليمي البشري) بأن الجامعة تمتلك كافة المقومات اللازمة لتطوير لقاحها UQ
9news.com.au
خبر مهـم
شركة (Moderna) الأميركية التي تعمل على تطوير لقاح (mRNA-1273) تتعاون مع الشركة السويسرية لتصنيع الأدوية (Lonza) لإنتاج أكثر من (مليار جرعة) في السنة، ومتوقع أن تبدأ عملية الإنتاج في شهر يوليو القادم، وذلك بعد الإنتهاء من المراحل الإكلينيكية
businesswire.com
شركة (Moderna) الأميركية التي تعمل على تطوير لقاح (mRNA-1273) تتعاون مع الشركة السويسرية لتصنيع الأدوية (Lonza) لإنتاج أكثر من (مليار جرعة) في السنة، ومتوقع أن تبدأ عملية الإنتاج في شهر يوليو القادم، وذلك بعد الإنتهاء من المراحل الإكلينيكية
businesswire.com
خبر مهـم
اليوم وافقت هيئة الغذاء والدواء الاميركية (FDA) على الانتقال للمرحلة الثانية من التجارب السريرية للقاح (mRNA-1273) التابع لشركة (Moderna) ، وتشير البيانات أن هـذا اللقاح هـو المرشح للفوز بالسباق ، وبسبب ذلك إرتفع سهـم الشركة 10% !
cnbc.com
اليوم وافقت هيئة الغذاء والدواء الاميركية (FDA) على الانتقال للمرحلة الثانية من التجارب السريرية للقاح (mRNA-1273) التابع لشركة (Moderna) ، وتشير البيانات أن هـذا اللقاح هـو المرشح للفوز بالسباق ، وبسبب ذلك إرتفع سهـم الشركة 10% !
cnbc.com
لقاح (mRNA-1273) التابع لشركة (Moderna) يعتبر من أوائل اللقاحات التي ظهـرت في بداية إنتشار الفيروس، وهـذا أمر يحسب لهـا نسبة لبداية التجارب الإكلينيكية منذُ أول يوم في الأزمة !
هذه التغريدة للحظة الإعلان عن اللقاح !
هذه التغريدة للحظة الإعلان عن اللقاح !
بعد أميركا .. اليابان تعلن رسمياً عن إستخدام دواء (remdesivir) لعلاج حالات الطوارئ من مرضى فيروس كورونا
وحسب إفادة الشركة الاميركية (Gilead) التي تصنع هـذا الدواء بأنه قد ساهـم في مساعدة المصابين الذين حالتهـم تتطلب إلى الأكسجين للتعافي بشكل أسرع !
forbes.com
وحسب إفادة الشركة الاميركية (Gilead) التي تصنع هـذا الدواء بأنه قد ساهـم في مساعدة المصابين الذين حالتهـم تتطلب إلى الأكسجين للتعافي بشكل أسرع !
forbes.com
استطاع باحثين في جامعة كيتاساتو اليابانية بقيادة بروفيسور يدعى (كاتاياما كازوهيكو) من تطوير جسم مضاد قادر على تحييد قدرات الفيروس، ومنعه من الالتصاق ببروتينات الخلايا البشرية، وبالتالي عدم الإصابة بالمرض.
الاكتشاف بيساهم في تشكيل دواء للفيروس
www3.nhk.or.jp
الاكتشاف بيساهم في تشكيل دواء للفيروس
www3.nhk.or.jp
خبر هـام
لتلبية الجدول الزمني لبروفيسور البيت الأبيض (أنتوني فاوتشي) من المحتمل إطلاق لقاح ضد فيروس كورونا إلى الجمهور قبل أخذ الموافقة الرسمية من هيئة الغذاء والدواء الاميركية (FDA) والتي عادةً قد تستغرق عام
وتدرس (FDA) إصدار ترخيص الطوارئ (EUA) للقاح
qz.com
لتلبية الجدول الزمني لبروفيسور البيت الأبيض (أنتوني فاوتشي) من المحتمل إطلاق لقاح ضد فيروس كورونا إلى الجمهور قبل أخذ الموافقة الرسمية من هيئة الغذاء والدواء الاميركية (FDA) والتي عادةً قد تستغرق عام
وتدرس (FDA) إصدار ترخيص الطوارئ (EUA) للقاح
qz.com
- خبر قد يكون مفتاح العلاج أو الأقتراب منه
باحثين في بلجيكا يقومون بعمل دراسة مهمة جداً على (حيوان اللاما) .. بهـدف إيجاد علاج، حيث تشير النتائج الأولية عن وجود (جزيء) قد وجد في أجسامه المضادة، ويحتمل انهُ مرتبط بشدة ببروتينات الفيروس ويحيد تأثيرها !
rfi.fr
باحثين في بلجيكا يقومون بعمل دراسة مهمة جداً على (حيوان اللاما) .. بهـدف إيجاد علاج، حيث تشير النتائج الأولية عن وجود (جزيء) قد وجد في أجسامه المضادة، ويحتمل انهُ مرتبط بشدة ببروتينات الفيروس ويحيد تأثيرها !
rfi.fr
ولاية ميشيغان الأميركية تبدأ بجمع الآلاف من المصابين بفيروس كورونا للبدء بالتجارب السريرية لعقار الملاريا (هيدروكسي كلوروكوين)، وذلك لاختبار فاعليته.. بعد تداول أخبار حوله بين عدة جهات تنفي وتؤكد فاعلية العقار
التجارب السريرية هـذه هي الأكبر في البلاد
bridgemi.com
التجارب السريرية هـذه هي الأكبر في البلاد
bridgemi.com
ظهـرت نتائج تجربة صغيرة واعدة في هونغ كونغ، وشملت التجربة 127 مريض بفيروس كورونا، حيث تم إعطائهـم مجموعة ثلاثية من الأدوية المضادة للفيروسات، وأظهرت النتائج قدرة الأدوية الثلاثية على تثبيط قدرات الفيروس في الجسم، وتخفيف شدة الأعراض !
nytimes.com
nytimes.com
اليابان تعلن عن انطلاق تجارب سريرية في 6 مستشفيات
التجربة تستهدف المصابين بالفيروس والذين تبلغ أعمارهم مابين 20-74 عام
وسيتم تقسيمهم على مجموعتين :
المجموعة (1) ستأخذ دواء (أفيجان) مع دواء التهاب البنكرياس (فوثان)
المجموعة (2) ستأخذ فقط دواء (أفيجان)
the-japan-news.com
التجربة تستهدف المصابين بالفيروس والذين تبلغ أعمارهم مابين 20-74 عام
وسيتم تقسيمهم على مجموعتين :
المجموعة (1) ستأخذ دواء (أفيجان) مع دواء التهاب البنكرياس (فوثان)
المجموعة (2) ستأخذ فقط دواء (أفيجان)
the-japan-news.com
أعلن فريق من معهد العلوم الطبية بجامعة طوكيو أن دواء التهاب البنكرياس الحاد (فوثان) يمكنه أن يمنع الفيروس التاجي الجديد من دخول الخلايا البشرية
ويعتقد أيضا أن دواء الإنفلونزا (أفيجان) يمكنه أن يمنع نمو الفيروس داخل الخلايا
تغريدة سابقة عن دواء أفيجان
ويعتقد أيضا أن دواء الإنفلونزا (أفيجان) يمكنه أن يمنع نمو الفيروس داخل الخلايا
تغريدة سابقة عن دواء أفيجان
(جامعة أكسفورد 🇬🇧) ستعلن عن فاعلية اللقاح في شهر يونيو القادم، وتخطط إلى إطلاق أكثر من مليون جرعة من لقاحها في شهـر سبتمبر، وحسب رأي الباحثين أن نتائجه إيجابية جداً
-
هناك شركات أعلنت أنها تخطط لإنتاج كميات ضخمة من اللقاح قبل نهاية العام ، وفي وقت قياسي !
thenewdaily.com.au
-
هناك شركات أعلنت أنها تخطط لإنتاج كميات ضخمة من اللقاح قبل نهاية العام ، وفي وقت قياسي !
thenewdaily.com.au
بدأت شركة الأدوية العملاقة (Pfizer 🇺🇸) بحقن أولى الجرعات من لقاحها الذي يستخدم تقنية mRNA على الأشخاص
في حال ظهـرت النتائج خلوها من اَي مشاكل فستعمل الشركة على إنتاج كمية تصل إلى 20 مليون جرعة بنهاية 2020 وتمتلك الشركة عدة شركات ستساعدها في تسريع الإنتاج
globalnews.ca
في حال ظهـرت النتائج خلوها من اَي مشاكل فستعمل الشركة على إنتاج كمية تصل إلى 20 مليون جرعة بنهاية 2020 وتمتلك الشركة عدة شركات ستساعدها في تسريع الإنتاج
globalnews.ca
خبر مهـم
قامت شركة (Regeneron) الأمريكية بتكوين علاج مستخلص من مزيج من إثنين من الأجسام المضادة، وسيتم البدء بالتجارب الإكلينيكية على المصابين بالفيروس التاجي في شهر يونيو، وفي حال العلاج أثبت نجاح يتوقع أن يكون جاهز في صيف عام 2020 !
bloomberg.com
قامت شركة (Regeneron) الأمريكية بتكوين علاج مستخلص من مزيج من إثنين من الأجسام المضادة، وسيتم البدء بالتجارب الإكلينيكية على المصابين بالفيروس التاجي في شهر يونيو، وفي حال العلاج أثبت نجاح يتوقع أن يكون جاهز في صيف عام 2020 !
bloomberg.com
ثلاث لقاحات يتوقع أن تكون جاهزة في صيف 2020
1 - لقاح (ChAdOx1 nCoV-19) التابع لجامعة اكسفورد البريطانية
2 - لقاح (mRNA-1273) التابع لشركة Moderna الأمريكية
3- لقاح (BNT162) التابع لشركة Pfizer الأمريكية
uknews.live
businessinsider.com
1 - لقاح (ChAdOx1 nCoV-19) التابع لجامعة اكسفورد البريطانية
2 - لقاح (mRNA-1273) التابع لشركة Moderna الأمريكية
3- لقاح (BNT162) التابع لشركة Pfizer الأمريكية
uknews.live
businessinsider.com
خبر هام جداً
شركة (Sinovac Biotech) الصينية تنوي الانتقال إلى المرحلة الثالثة من التجارب السريرية للقاحها (Corona vac) على مستوى العالم، وبدأت الآن مناقشات مع الدول ومنظمة الصحة العالمية لإطلاق التجارب السريرية في الأماكن الأكثر تضرراً من الفيروس
bloomberg.com
شركة (Sinovac Biotech) الصينية تنوي الانتقال إلى المرحلة الثالثة من التجارب السريرية للقاحها (Corona vac) على مستوى العالم، وبدأت الآن مناقشات مع الدول ومنظمة الصحة العالمية لإطلاق التجارب السريرية في الأماكن الأكثر تضرراً من الفيروس
bloomberg.com
تقدم علمي بخصوص العلاج
أستطاع علماء في جامعة (UCSF) الأمريكية من خلال إستخدام رسم خرائط التفاعلات بين البروتينات البشرية والفيروس التاجي الجديد، من تحديد 29 علاجًا محتملاً، وجميع تلك العلاجات تستخدم لحالات مختلفة ومعتمدة من قبل هيئة الغذاء والدواء FDA
medicalnewstoday.com
أستطاع علماء في جامعة (UCSF) الأمريكية من خلال إستخدام رسم خرائط التفاعلات بين البروتينات البشرية والفيروس التاجي الجديد، من تحديد 29 علاجًا محتملاً، وجميع تلك العلاجات تستخدم لحالات مختلفة ومعتمدة من قبل هيئة الغذاء والدواء FDA
medicalnewstoday.com
صرحت شركة 🇮🇳Cadila بأن دواء الجذام Sepsivac أظهر فاعليته على 4 مرضى بالفيروس، وسيتم عمل تجارب سريرية على 4500 مريض بكورونا، وحسب النتائج الأولية أن الدواء أظهر فعاليته لمن يعانون من تعفن الدم وساعد على تقليل الوفيات، ويحتمل أنه سيساعد في العلاج من الفيروس
timesnownews.com
timesnownews.com
بحث علمي قامت به Utrecht University بالإستعانة بدراسة عن فيروس SARS الذي ظهر في عامي 2002/2003 توصلوا فيها إلى تحديد أحد الأضداد وحيدة النسيلة التي بإمكانها استهداف وتحييد الفيروس التاجي كوفيد 19، وتحييد فيروسات تنتمي لنفس العائلة تحسباً لإنتشارها مرة أخرى
membs.org
membs.org
شركة نوفاكس 🇺🇸 تعلن أنها ستتلقى 388 مليون دولار من تحالف CEPI حتى تتمكن من تطوير لقاحهـا ضد فيروس كورونا، والذي أطلقت عليه (NVX-CoV2373)، حيث أثبت نجاحه على الحيوانات، وسيتم البدء في منتصف مايو التجارب السريرية
سيعلن عن النتائج الأولية للقاح في (يوليو)
forbes.com
سيعلن عن النتائج الأولية للقاح في (يوليو)
forbes.com
أعلنت مسبقاً شركة (Inovio 🇺🇸) عن البدء بالتجارب السريرية الأولى للقاحها (INO-4800) على 40 متطوعاً ، وستعلن عن النتائج الأولية في أواخر يونيو ، قبل الانتقال للمرحلة الثانية من التجارب السريرية (2/3).
bit.ly
تغريدة سابقة عن الشركة
bit.ly
تغريدة سابقة عن الشركة
نشرت الأكاديمية الأمريكية للعلوم (PNAS) نتائج تجربة سريرية مصغرة لدواء (Tocilizumab) بمشاركة 21 مريضاً بالفيروس التاجي (كورونا)، وكانت النتائج تفيد بأن الدواء أستطاع إيقاف تدهور حالة المرضى، وساعد في تحسن حالتهـم .. ما يمهـد له الطريق لأن يكون (العلاج) !
pnas.org
pnas.org
في منتصف مارس أعتمد معهـد بكين للتكنلوجيا الحيوية بالتعاون مع شركة اللقاحات CanSino Biologics لقاح (Ad5-nCoV) وأعطي نتائج ممتازة، والان هناك مفاوضات مع كندا لأجل تجربته ، ويعتبر هذا اللقاح هـو أول لقاح في العالم يصل للتجارب السريرية الثانية (2/3)
globalnews.ca
globalnews.ca
بدأت جامعة ستانفورد 🇺🇸 بتجارب سريرية على مرضى كورونا للتأكد من فاعلية العلاج ببروتين مصنع أسمه (interferon-lambda) وحسب رأي الباحثين أنه من المحتمل أن يساهـم في تقليل شدة العدوى وتسريع الشفاء
البروتين يحتمل أن يسيطر على العديد من أمراض الجهاز التنفسي !
med.stanford.edu
البروتين يحتمل أن يسيطر على العديد من أمراض الجهاز التنفسي !
med.stanford.edu
قام مختبر NEIDL في بوسطن باختبار أكثر من 8 آلاف جزي دوائي يستهدف الخلايا المصابة بالفيروس وخلال أسابيع تم تحديد 80 جزيء أظهر قدرة على إبطاء الفيروس
يقول الدكتور الذي يقود عملية البحث السريعة بأن الأمر يشبه صعودك لسيارة رياضية وتنطلق من سرعة 60/0 في 3 ثواني
boston.cbslocal.com
يقول الدكتور الذي يقود عملية البحث السريعة بأن الأمر يشبه صعودك لسيارة رياضية وتنطلق من سرعة 60/0 في 3 ثواني
boston.cbslocal.com
قام المجلس الهندي للأبحاث الطبية (ICMR) بالتعاون مع شركة (BBIL) للقيام بعملية تطوير لقاح ضد الفيروس التاجي (كوفيد-19).
معهد المصل الهندي (SII) الذي يعتبر أكبر مصنع للقاحات في العالم يعقد إتفاقية مع جامعة أكسفورد لإنتاج 60 مليون جرعة من لقاحها المحتمل!
indiatoday.in
معهد المصل الهندي (SII) الذي يعتبر أكبر مصنع للقاحات في العالم يعقد إتفاقية مع جامعة أكسفورد لإنتاج 60 مليون جرعة من لقاحها المحتمل!
indiatoday.in
أعلن علماء في جامعة (Goethe) ، ومستشفى جامعة فرانكفورت عن نتائج مخبرية تفيد بأنه تم اختبار سلسلة من نماذج المركبات المخبرية ، وأتضح بأن بعضها قادر على إبطاء وإيقاف تكاثر الفيروس التاجي في الخلايا البشرية ، هذا الأمر سيساعد في تحديد عدد من الأدوية الفعالة.
scitechdaily.com
scitechdaily.com
خبر رائع
ظهـرت نتائج القردة الستة الذين اعطيوا لقاح جامعة اكسفورد
حيث بعد أسابيع من إعطائهم اللقاح ، اعطيوا جرعات عالية من الفيروس
وتبين بعد ذلك أن اللقاح أعطى القردة حصانة جيدة من الفيروس، وقلل من تأثيره
الإعلان عن النتائج البشرية سيكون في يونيو
mobile.reuters.com
ظهـرت نتائج القردة الستة الذين اعطيوا لقاح جامعة اكسفورد
حيث بعد أسابيع من إعطائهم اللقاح ، اعطيوا جرعات عالية من الفيروس
وتبين بعد ذلك أن اللقاح أعطى القردة حصانة جيدة من الفيروس، وقلل من تأثيره
الإعلان عن النتائج البشرية سيكون في يونيو
mobile.reuters.com
أعلنت شركة (🇺🇸 Sorrento) عن قيامها باكتشاف جسم مضاد أسمه (STI-1499) قادر على تثبيط الفيروس التاجي (كوفيد-19) بنسبة 100% ، وتنتظر الشركة موافقة هيئة الغذاء والدواء الأمريكية (FDA) على أستخدامه كعلاج، وتعد أنها ستقدم أكثر من 200 الف جرعة بشكل شهري !
dailymail.co.uk
dailymail.co.uk
(خبر سابق)
شركة Johnson and Johnson الامريكية ، أعلنت أنها ستبدأ عملية التجارب السريرية للقاحها في شهـر سبتمبر ، وتتوقع الحصول على معلومات كافية تتيح لها البد في عملية الإنتاج من عام 2020 للوصول إلى مليار جرعة في عام 2021 !
wfla.com
شركة Johnson and Johnson الامريكية ، أعلنت أنها ستبدأ عملية التجارب السريرية للقاحها في شهـر سبتمبر ، وتتوقع الحصول على معلومات كافية تتيح لها البد في عملية الإنتاج من عام 2020 للوصول إلى مليار جرعة في عام 2021 !
wfla.com
أعلنت شركة التبغ العالمية (BAT) بأن شركتهـا الفرعية المتخصصة في مجال التكنولوجيا الحيوية استطاعت قبل فترة التوصل إلى لقاح ضد فيروس كورونا، وأنه تم الإنتهاء من الإختبارات ما قبل السريرية، وأثبت نجاحه، وتنتظر موافقة (FDA 🇺🇸) للبدء بالتجارب السريرية في يونيو
bloomberg.com
bloomberg.com
كندا رسمياً توافق على البدء بالتجارب السريرية على اللقاح الصيني (Ad5-nCov)
البيانات الأولية تشير إلى أن اللقاح مرشح للفوز بالسباق
-
يذكر أن الصين تختبر عدة لقاحات ، وأبرزها لقاح (Corona vac) حيث سيتم اختبار على مستوى العالم !
china.org.cn
البيانات الأولية تشير إلى أن اللقاح مرشح للفوز بالسباق
-
يذكر أن الصين تختبر عدة لقاحات ، وأبرزها لقاح (Corona vac) حيث سيتم اختبار على مستوى العالم !
china.org.cn
أكد العالم (أدريان هيل) الذي يقود عملية تطوير لقاح جامعة أكسفورد .. بأن سعر اللقاح سيكون منخفض الثمن، وسيتم تصنيعه في العديد من المواقع المختلفة لتقليل التكلفة ، وزيادة بالمعروض
(خطة الجامعة تغطية الطلب العالمي على اللقاح)
اللقاح يظهـر نتائج جداً مبشرة
firstpost.com
(خطة الجامعة تغطية الطلب العالمي على اللقاح)
اللقاح يظهـر نتائج جداً مبشرة
firstpost.com
بعد عملية بحثية للأطباء البريطانيين تم التوصل بأن (الأدوية المسيلة للدم) تساهـم في إنقاذ مرضى كورونا المصابين بأمراض خطيرة، حيث لوحظ بأن الفيروس التاجي قد يتسبب لهـم بجلطات دموية مميتة
هذا الاكتشاف قد ينقذ حياة الكثيرين !
telegraph.co.uk
هذا الاكتشاف قد ينقذ حياة الكثيرين !
telegraph.co.uk
كشفت الحكومة البريطانية بأن عملية توزيع لقاح جامعة أكسفورد المرشح للفوز بالسباق
ستكون كالآتي :
ستعمل شركة AstraZeneca على توفير 30 مليون جرعة في سبتمبر لبريطانيا ..
وستقدم كذلك 100 مليون جرعة إضافية للعالم قبل نهاية العام الحالي !
trib.al
ستكون كالآتي :
ستعمل شركة AstraZeneca على توفير 30 مليون جرعة في سبتمبر لبريطانيا ..
وستقدم كذلك 100 مليون جرعة إضافية للعالم قبل نهاية العام الحالي !
trib.al
جامعة أكسفورد سبق وتعاقدت مع معهـد المصل الهـندي (SII) الذي يعتبر أكبر مصنع لقاحات في العالم .. لإنتاج 60 مليون جرعة ، وقامت الحكومة بضخ 131 مليون جنيه إسترليني لتمويل مشروع مصنع لقاحات حيث سيكون قادر على إنتاج 70 مليون جرعة في غضون 6/4 أشهر تقريباً
أعلنت شركة Moderna🇺🇸 بأن لقاحها حقق نتائج رائع على أول 8 أشخاص تم إعطائهم اللقاح
حيث اللقاح ساعدهـم على صنع أجسام مضادة،وقد تم اختبارها في المختبر حيث استطاعت ايقاف تكاثر الفيروس في الخلايا البشرية،ولوحظ بأن أجسادهم أصبحت مثل الأشخاص الذين تعافوا من المرض
nytimes.com
حيث اللقاح ساعدهـم على صنع أجسام مضادة،وقد تم اختبارها في المختبر حيث استطاعت ايقاف تكاثر الفيروس في الخلايا البشرية،ولوحظ بأن أجسادهم أصبحت مثل الأشخاص الذين تعافوا من المرض
nytimes.com
لقاح شركة Moderna يعتبر أول لقاح للفيروس التاجي ، حيث تم البدء بالتجارب السريرية في شهـر مارس ، وظهـور النتائج الإيجابية على البشر يؤكد بأنه أمن، واستطاع تحفيز الاستجابة المناعية ضد الفيروس التاجي !
حسب الإعلان (اللقاح سيكون جاهزاً قريباً)
businessinsider.com
حسب الإعلان (اللقاح سيكون جاهزاً قريباً)
businessinsider.com
في ولاية أريزونا 🇺🇸 بدأ Elizabeth Healthcare بالقيام بتجارب سريرية معتمدة من FDA
التجارب ستكون بإستخدام (عقار للاستنشاق)، ويتوقع القائمين على التجربة بأن العقار في حال نجاحه سيساهـم في تقليل شدة ومدة المرض، ولاحاجة للمريض بأن يستخدم جهاز التنفس الصناعي !
amp.cincinnati.com
التجارب ستكون بإستخدام (عقار للاستنشاق)، ويتوقع القائمين على التجربة بأن العقار في حال نجاحه سيساهـم في تقليل شدة ومدة المرض، ولاحاجة للمريض بأن يستخدم جهاز التنفس الصناعي !
amp.cincinnati.com
يقوم مركز علم الجينوم في جامعة بكين بتطوير دواء يتم استخدام فيه الأجسام المضادة المحايدة تم أخذها من دماء 60 شخصاً متعافي لعلاج مرضى فيروس كورونا
الدواء لايقصر مدة الشفاء فقط، وانما يوفر مناعة قصيرة المدى ضد الفيروس، وأثبت نجاحه في التجارب الحيوانية
medicalxpress.com
الدواء لايقصر مدة الشفاء فقط، وانما يوفر مناعة قصيرة المدى ضد الفيروس، وأثبت نجاحه في التجارب الحيوانية
medicalxpress.com
أعلنت شركة (Inovio 🇺🇸) بأن لقاحهـا التجريبي ضد الفيروس التاجي (كورونا / كوفيد -19) والذي أطلق عليه أسم (INO-4800)
قد أنتج أجساماً مضادة واستجابة مناعية على الفئران والأرانب الهندية ، مما يشير إلى أن اللقاح قد أعطى هـذه الحيوانات حصانة ضد الفيروس !
mobile.reuters.com
قد أنتج أجساماً مضادة واستجابة مناعية على الفئران والأرانب الهندية ، مما يشير إلى أن اللقاح قد أعطى هـذه الحيوانات حصانة ضد الفيروس !
mobile.reuters.com
في عام 2003 حدد العلماء جسم مضاد يعرف بإسم (s309) حيث تم أخذه من عينة دم أحد المتعافين بـفيروس SARS في عام 2003
وأكتشف أن هـذا الجسم المضاد قادر فعلياً على تثبيط الفيروسات التاجية بكافة أنواعها بما فيهـا فيروس كورونا
التجارب السريرية قيد الإعداد في 🇺🇸
technologynetworks.com
وأكتشف أن هـذا الجسم المضاد قادر فعلياً على تثبيط الفيروسات التاجية بكافة أنواعها بما فيهـا فيروس كورونا
التجارب السريرية قيد الإعداد في 🇺🇸
technologynetworks.com
شركة الأدوية البريطانية AstraZeneca تلقت مليار دولار من التمويل الأمريكي لتسريع عملية تطوير لقاح جامعة أكسفورد
عملية الدعم تأتي لحجز 300 مليون جرعة لصالح أمريكا على أن يتم تسليم أول دفعة في أكتوبر
الجامعة قالت سابقاً أنها ستضمن وفرت اللقاح في العالم
marketwatch.com
عملية الدعم تأتي لحجز 300 مليون جرعة لصالح أمريكا على أن يتم تسليم أول دفعة في أكتوبر
الجامعة قالت سابقاً أنها ستضمن وفرت اللقاح في العالم
marketwatch.com
الصين تعلن بأن لقاحها (Ad5-nCov) أمناً في أول تجربة بشرية مكتملة.
النتائج:
1- سجل اللقاح إنخفاض نسبي بالأجسام المضادة
2- زيادة بكميات الخلايا التائية التي تساهم بمكافحة العدوى
3- بعد 28 يوم من التطعيم لم يشكوا أحد من أي أعراض خطيرة !
trib.al
النتائج:
1- سجل اللقاح إنخفاض نسبي بالأجسام المضادة
2- زيادة بكميات الخلايا التائية التي تساهم بمكافحة العدوى
3- بعد 28 يوم من التطعيم لم يشكوا أحد من أي أعراض خطيرة !
trib.al
في إبريل تم إعطاء الف شخص لقاح أكسفورد على أن تظهـر النتائج في الشهر القادم ويتوقع بنسبة كبيرة أن تكون إيجابية، وسينتقل اللقاح بعد ذلك للمراحل النهائية حيث سيتم تنجيد 10 آلاف متطوع للقيام بتطعيمهـم للتأكد من أنه أمن.
هناك دعم أمريكي 🇺🇸 لتسريع العملية
businessinsider.com
هناك دعم أمريكي 🇺🇸 لتسريع العملية
businessinsider.com
أبرمت شركة أسترا زينيكا عقوداً تقضي بإنتاج 400 مليون جرعة من لقاح اكسفورد، وتؤكد بأنها قادرة على إنتاج أكثر من مليار جرعة من عامي 2020/2021
اكسفورد تعاقدت مسبقاً مع معهد (SII 🇮🇳) لإنتاج 60 مليون جرعة، وستتعاقد مع أماكن أخرى
عملية تطوير اللقاح مستمرة.
bbc.com
اكسفورد تعاقدت مسبقاً مع معهد (SII 🇮🇳) لإنتاج 60 مليون جرعة، وستتعاقد مع أماكن أخرى
عملية تطوير اللقاح مستمرة.
bbc.com
شركة (Sinovac Biotech) الصينية التي تعمل على مفاوضات لإجراء المرحلة الثالثة من التجارب السريرية حول العالم على لقاحها (CoronaVac) .. تحصل على دعم بقيمة 15 مليون دولار لتسريع عملية تطوير اللقاح
businesswire.com
businesswire.com
تداول بالفترة الماضية خبر عن نسبة نجاح لقاح اكسفورد 50%،وهذا الخبر غير صحيح
الخبر يتحدث عن احتمال نجاح لقاح اكسفورد 50% لانخفاض الاصابات اليومية بكورونا في بريطانيا، ولايعني الحديث عن فاعلية اللقاح
زيادة النسبة تكون بإزدياد عدد المتطوعين بمختلف الإعمار
news.sky.com
الخبر يتحدث عن احتمال نجاح لقاح اكسفورد 50% لانخفاض الاصابات اليومية بكورونا في بريطانيا، ولايعني الحديث عن فاعلية اللقاح
زيادة النسبة تكون بإزدياد عدد المتطوعين بمختلف الإعمار
news.sky.com
تبدأ شركة التكنلوجيا الحيوية (Novavax) الأمريكية المطورة للقاح (NVX-CoV2373) بأول التجارب السريرية على 130 شخصاً في استراليا
هدف الشركة الحالي إنتاج 100 مليون جرعة مع نهاية العام الحالي ، ومليار ونصف في العام المقبل
abc.net.au
هدف الشركة الحالي إنتاج 100 مليون جرعة مع نهاية العام الحالي ، ومليار ونصف في العام المقبل
abc.net.au
شركة AnGes اليابانية ستبدأ التجارب السريرية على لقاحها في يوليو
اللقاح حفز الاستجابة المناعية بزيادة في الأجسام المضادة في أجسام الحيوانات
يعتبر هذا اللقاح من ضمن اللقاحات التي يحتمل نجاحها، وقد يحصل على موافقة الحكومة قبل نهاية العام للاستخدام البشري
japantimes.co.jp
اللقاح حفز الاستجابة المناعية بزيادة في الأجسام المضادة في أجسام الحيوانات
يعتبر هذا اللقاح من ضمن اللقاحات التي يحتمل نجاحها، وقد يحصل على موافقة الحكومة قبل نهاية العام للاستخدام البشري
japantimes.co.jp
بدأت شركة (Moderna) الأمريكية بالانتقال للمرحلة الثانية من التجارب السريرية بعد أن أثبت لقاحها (1273-mRNA) فاعليته بالمرحلة الأولى
التجربة الثانية ستكون موسعة وستتركز في ثماني ولايات أمريكية، وستستهدف 600 مشارك بإعمار تتراوح مابين 55/18 عاماً
marketwatch.com
التجربة الثانية ستكون موسعة وستتركز في ثماني ولايات أمريكية، وستستهدف 600 مشارك بإعمار تتراوح مابين 55/18 عاماً
marketwatch.com
شركة Pfizer الأمريكية تؤكد بأن في حال الأمور سارت كما هـو عليه الآن .. فإن لقاحها (BNT162) سيكون جاهـز في نهاية أكتوبر لعام 2020
cnbctv18.com
cnbctv18.com
شركة (Sinovac) الصينية تقول بأنها متاكدة بنسبة 99% بأن لقاحهـا فعال وأمن
الشركة تجري حالياً المرحلة الثانية من التجارب السريرية بمشاركة 1000 متطوع، وتجري مفاوضات بنفس الوقت مع عدة دول حول العالم للبدء بالتجارب السريرية الثالثة.
news.sky.com
الشركة تجري حالياً المرحلة الثانية من التجارب السريرية بمشاركة 1000 متطوع، وتجري مفاوضات بنفس الوقت مع عدة دول حول العالم للبدء بالتجارب السريرية الثالثة.
news.sky.com
روسيا تؤكد بأن دواءها (Avifavir) أظهر فاعلية مع مرضى فيروس كورونا بنسبة 90%
الدواء نسخة عامة من مضاد الفيروسات الياباني (Avigan)
الدواء سيمر عبر المرحلة الثالثة بالتجارب السريرية بمشاركة 330 شخص، وسيتم إعتماد أستخدامه في روسيا بتاريخ 11 يونيو
timesnownews.com
الدواء نسخة عامة من مضاد الفيروسات الياباني (Avigan)
الدواء سيمر عبر المرحلة الثالثة بالتجارب السريرية بمشاركة 330 شخص، وسيتم إعتماد أستخدامه في روسيا بتاريخ 11 يونيو
timesnownews.com
البرازيل تعلن بأنها ستبدأ بتجربة لقاح جامعة أكسفورد ضد فيروس كورونا على أكثر من 2000 متطوع في الشهر الحالي
هـدف التجربة معرفة فاعلية اللقاح على كل الفئات، وكذلك التوسع بالتجارب السريرية حول العالم، واستهـداف المناطق التي لايزال منحناهـا الوبائي في إرتفاع
nytimes.com
هـدف التجربة معرفة فاعلية اللقاح على كل الفئات، وكذلك التوسع بالتجارب السريرية حول العالم، واستهـداف المناطق التي لايزال منحناهـا الوبائي في إرتفاع
nytimes.com
أعلنت شركة Eli Lilly 🇺🇸 في ولاية إنديانا بأنها صممت علاج محتمل ضد فيروس كورونا، وأطلقت عليه (LY-CoV555)، ويستخدم الأجسام المضادة للعلاج، ويستهدف الهيكل البروتيني داخل الفيروس ويمنعه من التعلق بالخلية البشرية، وبالتالي تحييده !
النتائج السريرية في 30 يونيو
precisionvaccinations.com
النتائج السريرية في 30 يونيو
precisionvaccinations.com
ضاعفت شركة AstraZeneca طاقتها التصنيعة للقاح جامعة اكسفورد إلى 2 مليار جرعة سنويا، وتخطط إلى إنتاج 400 مليون جرعة لهذا العام
وذلك بعد ابرام عدد من الصفقات احدها مع منظمتين مدعومتين من (بيل وميليندا غيتس)، ومعهد أمصال هندي والذي سيساهـم في إنتاج مليار جرعة.
theguardian.com
وذلك بعد ابرام عدد من الصفقات احدها مع منظمتين مدعومتين من (بيل وميليندا غيتس)، ومعهد أمصال هندي والذي سيساهـم في إنتاج مليار جرعة.
theguardian.com
أكد الرئيس الامريكي (دونالد ترامب) بأن الولايات المتحدة الامريكية قد أنتجت 2 مليون جرعة من لقاح ضد فيروس كورونا ، وستكون جاهزة للاستخدام بعد أن يتم التأكد من أنها آمنة وفعالة.
cnbc.com
cnbc.com
خبر هـام
شركة (AstraZeneca) تبدأ عملية إنتاج لقاح جامعة أكسفورد قبل ظهـور النتائج البشرية
الشركة تخاطر بمواردها المالية في حال اللقاح لم يكن فعال ، وتؤكد بنفس الوقت بأنها يجب أن تسابق الزمن لتوفير كمية كبيرة قبل نهاية العام !
bbc.com
شركة (AstraZeneca) تبدأ عملية إنتاج لقاح جامعة أكسفورد قبل ظهـور النتائج البشرية
الشركة تخاطر بمواردها المالية في حال اللقاح لم يكن فعال ، وتؤكد بنفس الوقت بأنها يجب أن تسابق الزمن لتوفير كمية كبيرة قبل نهاية العام !
bbc.com
أكد المشرف على فريق تطوير لقاح جامعة أكسفورد البروفيسور (أدريان هيل)
أنه من الممكن البدء بتقديم عدد من اللقاح على شكل جهاز استنشاق في الشهـر المقبل
اللقاح لايزال يخضع للتجارب السريرية وبنسبة (80% نجاح) ، وقد يتاح للجمهور في شهر أغسطس أو سبتمبر.
thesun.co.uk
أنه من الممكن البدء بتقديم عدد من اللقاح على شكل جهاز استنشاق في الشهـر المقبل
اللقاح لايزال يخضع للتجارب السريرية وبنسبة (80% نجاح) ، وقد يتاح للجمهور في شهر أغسطس أو سبتمبر.
thesun.co.uk
يقوم علماء اكسفورد بالتزامن مع تطويرهم للقاح
بإجراء مشروع منفصل لتطوير علاج بالأجسام المضادة
والذي يستهدف الأشخاص الذين لم يتمكنوا من تطوير مناعة قوية عن طريق اللقاح
(شركة AstraZeneca بدأت فعليا بإنتاج الملايين من جرعات اللقاح)
التجارب تجري بشكل سريع جدا
news.sky.com
بإجراء مشروع منفصل لتطوير علاج بالأجسام المضادة
والذي يستهدف الأشخاص الذين لم يتمكنوا من تطوير مناعة قوية عن طريق اللقاح
(شركة AstraZeneca بدأت فعليا بإنتاج الملايين من جرعات اللقاح)
التجارب تجري بشكل سريع جدا
news.sky.com
بدأ علماء (كلية إمبريال كوليدج 🇬🇧) بالتجارب البشرية للقاح الرنا ضد فيروس كورونا
اللقاح حسب الاختبارات أثبت بأنه يوفر استجابة مناعية ضد الفيروس
التجارب الأولية ستبدأ في 15 يونيو وستشمل : 300 متطوع
التجربة النهائية ستبدأ في أكتوبر وستشمل : 6 الاف متطوع
itv.com
اللقاح حسب الاختبارات أثبت بأنه يوفر استجابة مناعية ضد الفيروس
التجارب الأولية ستبدأ في 15 يونيو وستشمل : 300 متطوع
التجربة النهائية ستبدأ في أكتوبر وستشمل : 6 الاف متطوع
itv.com
الصين تعلن عن بدء المرحلة الأولى للتجارب السريرية لدواء (JS016)
الدواء يعتمد بشكل أساسي على الأجسام المضادة
ويستهـدف المصابين لتسريع عملية شفائهـم ، والغير مصابين لتوفير لهم مناعة ضد الفيروس
النتائج البشرية ستظهر بعد شهر ونصف
globenewswire.com
الدواء يعتمد بشكل أساسي على الأجسام المضادة
ويستهـدف المصابين لتسريع عملية شفائهـم ، والغير مصابين لتوفير لهم مناعة ضد الفيروس
النتائج البشرية ستظهر بعد شهر ونصف
globenewswire.com
دخل معهـد المصل الهندي (SII) الذي سيشارك في عملية الإنتاج في شراكة بقيمة 100 مليون دولار مع شركة (AstraZeneca) المنتجه للقاح جامعة أكسفورد (AZD1222) لضمان الإمدادات للهند والدول ذات الدخل المنخفض والمتوسط، ومتوقع جاهزية اللقاح ستكون في شهر أغسطس أو سبتمبر
livemint.com
livemint.com
شركة (Moderna 🇺🇸) ستنتقل للمرحلة النهائية من التجارب السريرية على لقاحها (1273-mRNA) في شهر يوليو القادم
التجربة ستشمل عشرات الآلاف من المتطوعين في العديد من المواقع داخل الولايات المتحدة الأمريكية
(العلماء يحرزون تقدماً سريعاً في عملية تطوير اللقاحات)
wsj.com
التجربة ستشمل عشرات الآلاف من المتطوعين في العديد من المواقع داخل الولايات المتحدة الأمريكية
(العلماء يحرزون تقدماً سريعاً في عملية تطوير اللقاحات)
wsj.com
شركة Johnson & Johnson تعلن أن تجاربها السريرية ستبدأ في منتصف يوليو، وذلك قبل شهرين من الوقت المحدد لبدء التجارب السريرية
السلطات التنظيمية استندت موافقتها لانتقال الشركة لمرحلة التجارب البشرية في يوليو على قوة البيانات التي تشير أن اللقاح جاهز للاستخدام
cnbc.com
السلطات التنظيمية استندت موافقتها لانتقال الشركة لمرحلة التجارب البشرية في يوليو على قوة البيانات التي تشير أن اللقاح جاهز للاستخدام
cnbc.com
كشفت شركة (Moderna 🇺🇸) عن تجربة مخبرية للقاحها (1273-mRNA) على الفئران
نتائج التجربة :
1- جرعة واحدة فقط من اللقاح قادرة على توفير مناعة ضد فيروس كورونا
2- اللقاح لن يتسبب في حدوث اَي أمراض خطيرة
(النتائج المعلنة تثبت بأن اللقاح أمن)
finance.yahoo.com
نتائج التجربة :
1- جرعة واحدة فقط من اللقاح قادرة على توفير مناعة ضد فيروس كورونا
2- اللقاح لن يتسبب في حدوث اَي أمراض خطيرة
(النتائج المعلنة تثبت بأن اللقاح أمن)
finance.yahoo.com
شركة (Astrazeneca) المنتجه للقاح جامعة أكسفورد ، توقع عقود مع إيطاليا ، وفرنسا ، وهولندا ، والمانيا ، وذلك لإنتاج 400 مليون جرعة على أن يتم تسليم الدفعة الأولى لهم قبل نهاية العام الحالي.
channelnewsasia.com
channelnewsasia.com
روسيا تقول بأنها قطعة شوط طويل جداً في عملية تطوير لقاح ضد الفيروس التاجي كورونا
وستنتج كميات ضخمة من اللقاح في أواخر شهر أغسطس أو بداية شهر سبتمبر في حال نجاح التجارب السريرية الجارية الآن على عدد من المتطوعين العسكريين والمدنيين
plenglish.com
وستنتج كميات ضخمة من اللقاح في أواخر شهر أغسطس أو بداية شهر سبتمبر في حال نجاح التجارب السريرية الجارية الآن على عدد من المتطوعين العسكريين والمدنيين
plenglish.com
تعلن شركة 🇨🇳Sinovac عن نتائج لقاحها في المرحلة الأولى والثانية
النتائج:
1-اللقاح لم يتسبب بأي أعراض جانبية لأكثر من 90% من المتطوعين
2-اللقاح أظهر بأنه قادر على إعطاء استجابة مناعية ضد الفيروس
(النتائج تبين بأنه أمن)
التجربة النهائية ستبدأ في البرازيل
bloombergquint.com
النتائج:
1-اللقاح لم يتسبب بأي أعراض جانبية لأكثر من 90% من المتطوعين
2-اللقاح أظهر بأنه قادر على إعطاء استجابة مناعية ضد الفيروس
(النتائج تبين بأنه أمن)
التجربة النهائية ستبدأ في البرازيل
bloombergquint.com
شركة (AstraZeneca) المنتجه للقاح جامعة أكسفورد 🇬🇧
توضح عدة نقاط حول اللقاح :
1- اللقاح سيوفر حماية ضد الفيروس لمدة عام
2- النتائج الأولية للقاح ستظهـر قريباً
3- اللقاح في المرحلة الأخيرة من التجارب السريرية
4- جاري الاستعداد لإنتاج 2 مليار جرعة
news.sky.com
توضح عدة نقاط حول اللقاح :
1- اللقاح سيوفر حماية ضد الفيروس لمدة عام
2- النتائج الأولية للقاح ستظهـر قريباً
3- اللقاح في المرحلة الأخيرة من التجارب السريرية
4- جاري الاستعداد لإنتاج 2 مليار جرعة
news.sky.com
ستبدأ (كلية إمبريال كوليدج 🇬🇧) التجارب البشرية للقاحها (الرنا) خلال هذا الأسبوع ، التجربة الأولى ستشمل 300 متطوع ، وتتراوح أعمارهـم مابين 70/18 عاماً ، وفي حال وفر اللقاح استجابة مناعية سيتم الانتقال لتجارب أوسع تشمل 6 الاف متطوع
amp.theguardian.com
amp.theguardian.com
شركة (AstraZeneca) المنتجه للقاح جامعة أكسفورد 🇬🇧 توقع إتفاقية مع شركة (Catalent) الأمريكية للمساهمة في عملية إنتاج اللقاح في مصنعهـا الضخم الواقع في إيطاليا
الإتفاقية تضمنت إنتاج مئات الملايين من الجرعات إبتداءً من شهر اغسطس بعد أخذ الموافقة التنظيمية
fiercepharma.com
الإتفاقية تضمنت إنتاج مئات الملايين من الجرعات إبتداءً من شهر اغسطس بعد أخذ الموافقة التنظيمية
fiercepharma.com
قالت شركة (Moderna 🇺🇸) أنه هناك احتمال البدء بتوزيع اللقاح في عام 2021، وأنها تمتلك بيانات عن فاعلية اللقاح تمكنها من التفاوض للحصول على إعتماد اللقاح إما في أواخر العام الحالي أو في أوائل العام القادم
وتستعد حاليا لتجنيد 30 الف شخص للبدء بالتجربة الأخيرة
barrons.com
وتستعد حاليا لتجنيد 30 الف شخص للبدء بالتجربة الأخيرة
barrons.com
أعلنت شركة Glaxo 🇬🇧 بالتعاون مع شركة 🇨🇳Clover
البدء في الاختبارات السريرية للقاحهـا ، بعد مروره في عدة إختبارات أهلته للبدء في المرحلةالبشرية.
النتائج الأولية للقاح ستكون في أغسطس
ومن المتوقع أن تكون هناك تجارب موسعة للقاح في وقت لاحق من عام 2020
bloomberg.com
البدء في الاختبارات السريرية للقاحهـا ، بعد مروره في عدة إختبارات أهلته للبدء في المرحلةالبشرية.
النتائج الأولية للقاح ستكون في أغسطس
ومن المتوقع أن تكون هناك تجارب موسعة للقاح في وقت لاحق من عام 2020
bloomberg.com
أعلن المعهد الإسرائيلي للبحوث البيولوجية (IIBR) عن نجاح الاختبارات التجريبية للقاحها ضد الفيروس التاجي على (الهـامستر) ، وستبدأ تجاربها البشرية في الأسابيع المقبلة
اللقاح قد يكون جاهـز في الشتاء القادم ، وقد يمر ببعض الإجراءات لتسريع الإطار الزمني
jpost.com
اللقاح قد يكون جاهـز في الشتاء القادم ، وقد يمر ببعض الإجراءات لتسريع الإطار الزمني
jpost.com
يقول البروفيسور (روبن شاتوك) الذي يقود فريق تطوير لقاح إمبريال كوليدج 🇬🇧
أنه من الممكن دمج لقاحهـم مع لقاح جامعة أكسفورد، وذلك نسبة لاختلاف طريقة عمل اللقاحين التي ستساهـم في زيادة الفاعلية في تقوية المناعة ضد الفيروس، ولتكون دائمة بدلاً من أن تكون مؤقته
dailymail.co.uk
أنه من الممكن دمج لقاحهـم مع لقاح جامعة أكسفورد، وذلك نسبة لاختلاف طريقة عمل اللقاحين التي ستساهـم في زيادة الفاعلية في تقوية المناعة ضد الفيروس، ولتكون دائمة بدلاً من أن تكون مؤقته
dailymail.co.uk
جامعة أكسفورد ترسم خطة حول إحتمالية جاهزية اللقاح
أغسطس أو سبتمبر سيتم الإعلان عن جاهزيته
أكتوبر سيتم إطلاق اللقاح إلى العالم
المدة قد يحدث بها تغير نسبة للنتائج السريرية
(عموما اللقاح دخل في عملية الإنتاج بالفترة الماضية).
thesun.co.uk
bbc.com
أغسطس أو سبتمبر سيتم الإعلان عن جاهزيته
أكتوبر سيتم إطلاق اللقاح إلى العالم
المدة قد يحدث بها تغير نسبة للنتائج السريرية
(عموما اللقاح دخل في عملية الإنتاج بالفترة الماضية).
thesun.co.uk
bbc.com
البرازيل تعلن البدء في التجارب السريرية للقاح جامعة أكسفورد 🇬🇧 نهاية الأسبوع الحالي .. التجربة ستشمل 3 آلاف متطوع في القطاع الصحي
(التجارب السريرية الموسعة ستساهـم في تسريع عملية جاهـزية اللقاح)
reuters.com
(التجارب السريرية الموسعة ستساهـم في تسريع عملية جاهـزية اللقاح)
reuters.com
أعلنت شركة (CNBG) الصينية عن نجاح لقاحها ضد الفيروس التاجي في المراحل الأولية، وأنتقاله للمرحلة الأخيرة من التجارب السريرية (3/3)
التجربة الأخيرة ستكون موسعة خارج الصين، وأحد الدول العربية المشاركة بالتجارب السريرية هـي دولة الإمارات العربية المتحدة.
reuters.com
التجربة الأخيرة ستكون موسعة خارج الصين، وأحد الدول العربية المشاركة بالتجارب السريرية هـي دولة الإمارات العربية المتحدة.
reuters.com
تقوم جامعة أكسفورد بالتنسيق مع جامعة (Witwatersrand) في جنوب أفريقيا للبدء بالتجارب السريرية للقاحها ضد الفيروس التاجي
التجربة ستكون منتشرة في عدة مواقع في جنوب أفريقيا
أكسفورد فعلياً هـي تقوم بالتجارب حول العالم للقاحهـا، وهـذا سيسرع من جاهزيته
clinicaltrialsarena.com
التجربة ستكون منتشرة في عدة مواقع في جنوب أفريقيا
أكسفورد فعلياً هـي تقوم بالتجارب حول العالم للقاحهـا، وهـذا سيسرع من جاهزيته
clinicaltrialsarena.com
البرازيل أعلنت بأنهـا وقعت إتفاقية بقيمة 127 مليون دولار لإنتاج 30 مليون جرعة من لقاح ضد الفيروس التاجي التابع لشركة AstraZeneca وجامعة اكسفورد في ديسمبر
اللقاح في المرحلة الأخيرة ومن ضمن الدول المشاركة بالتجارب السريرية جنوب أفريقيا والبرازيل
jpost.com
اللقاح في المرحلة الأخيرة ومن ضمن الدول المشاركة بالتجارب السريرية جنوب أفريقيا والبرازيل
jpost.com
خبر هـام
الحكومة الصينية توافق بشكل رسمي على إستخدام لقاحهـا ضد الفيروس التاجي (Ad5-nCov) على النطاق العسكري ، بعد أن أثبت نجاحه في تقوية المناعة وحماية الجسم من فيروس كورونا
deccanchronicle.com
الحكومة الصينية توافق بشكل رسمي على إستخدام لقاحهـا ضد الفيروس التاجي (Ad5-nCov) على النطاق العسكري ، بعد أن أثبت نجاحه في تقوية المناعة وحماية الجسم من فيروس كورونا
deccanchronicle.com
لقاح الصين (Ad5-nCov) يخضع لتجارب موسعة .. حيث في الشهـر الماضي وافقت كندا رسميا على تجربة اللقاح على اراضيهـا .. هذا الامر سيسهـم في استهداف شرائح مختلفة من الناس مما يسرع من جاهزية اللقاح بشكل تجاري.
من المتحمل أن شركة (AstraZeneca) لديهـا نتائج مبكرة جداً عن لقاحهـا الذي تطوره جامعة اكسفورد البريطانية ، والذي حالياً يخوض المرحلة النهائية من التجارب السريرية
التجارب تجري بشكل سريع نسبة لتوسعهـا في عدة دول حول العالم، والشركة مستمرة في عملية الإنتاج
thehindubusinessline.com
التجارب تجري بشكل سريع نسبة لتوسعهـا في عدة دول حول العالم، والشركة مستمرة في عملية الإنتاج
thehindubusinessline.com
قالت العالمة المشاركة بتطوير لقاح اكسفورد (سارة غيلبرت) بأن اللقاح أظهر الاستجابة المناعية المطلوبة على المتطوعين المشاركين بالمرحلة الاخيرة.
الجامعة قد سجلت 8 آلاف متطوع للمرحلة الاخيرة ، وقد قامت بالتوسع حول العالم في التجارب السريرية على لقاحهـا !
reuters.com
الجامعة قد سجلت 8 آلاف متطوع للمرحلة الاخيرة ، وقد قامت بالتوسع حول العالم في التجارب السريرية على لقاحهـا !
reuters.com
ظهـرت نتائج دراسة مصغرة للقاح شركة Pfizer 🇺🇸 وشركة BioNTech 🇩🇪
النتائج:
1- اللقاح أظهر استجابة مناعية عالية في أجسام المتطوعين افضل من الأشخاص الذين يتعافون بشكل طبيعي من الفيروس
2- الدراسة شملت 45 متطوع
جاري الانتقال لمرحلة أوسع من التجارب السريرية
washingtonpost.com
النتائج:
1- اللقاح أظهر استجابة مناعية عالية في أجسام المتطوعين افضل من الأشخاص الذين يتعافون بشكل طبيعي من الفيروس
2- الدراسة شملت 45 متطوع
جاري الانتقال لمرحلة أوسع من التجارب السريرية
washingtonpost.com
في الأسبوع الماضي تعاقدت شركة Moderna مع @CatalentPharma من أجل التعاون في عملية التصنيع والتغليف للقاحها ضد الفيروس التاجي mRNA-1273
الخطة إنتاج 100 مليون جرعة مبدئية في عام 2020
التجربة النهائية للقاح محتمل أن تبدأ في الأسبوع المقبل بمشاركة 30 الف متطوع
investors.modernatx.com
الخطة إنتاج 100 مليون جرعة مبدئية في عام 2020
التجربة النهائية للقاح محتمل أن تبدأ في الأسبوع المقبل بمشاركة 30 الف متطوع
investors.modernatx.com
البرازيل توافق على البدء بالمرحلة الأخيرة من التجارب السريرية للقاح شركة Sinovac الصينية
التجربة ستستهـدف 6 ولايات، وعدد المتطوعين الذين تم تسجيلهم يصل إلى 9 آلاف
في حال أثبت اللقاح فاعليته ضد الفيروس التاجي فإن البرازيل ستكون قادرة على تصنيعه محلياً
mobile.reuters.com
التجربة ستستهـدف 6 ولايات، وعدد المتطوعين الذين تم تسجيلهم يصل إلى 9 آلاف
في حال أثبت اللقاح فاعليته ضد الفيروس التاجي فإن البرازيل ستكون قادرة على تصنيعه محلياً
mobile.reuters.com
تطلب شركة Houston الأمريكية عدد من المتطوعين للقيام بالتجارب السريرية الأولية للقاح محتمل ضد الفيروس التاجي
التجارب مقرر أن تبدأ بعد أسبوعين .. المتطوعين سيخضعون للفحوصات بشكل منتظم
(الخبر الإيجابي هو إنتقال العديد من اللقاحات لمرحلة التجارب البشرية)
abc13.com
التجارب مقرر أن تبدأ بعد أسبوعين .. المتطوعين سيخضعون للفحوصات بشكل منتظم
(الخبر الإيجابي هو إنتقال العديد من اللقاحات لمرحلة التجارب البشرية)
abc13.com
شركة Regeneron🇺🇸 تعلن انتقال عقارهـا الذي يوفر العلاج والحماية من فيروس كورونا للمرحلة الثالثة
المرحلة ستكون عبارة عن عدة تجارب مختلفة، وهـي:
تجربة الوقاية من الإصابة ستستهدف 2000 مريض
تجربة علاج المرضى ستستهدف 1850 مريض
وسيتم استهداف 1050 مريض في دول أخرى
cnn.com
المرحلة ستكون عبارة عن عدة تجارب مختلفة، وهـي:
تجربة الوقاية من الإصابة ستستهدف 2000 مريض
تجربة علاج المرضى ستستهدف 1850 مريض
وسيتم استهداف 1050 مريض في دول أخرى
cnn.com
حصلت شركة Novavax 🇺🇸 على دعم بقيمة $1.6 مليار من قبل الحكومة الفيدرالية
وذلك ضمن إطار عملية Warp Speed التي تهدف إلى تسريع تطوير لقاح ضد الفيروس التاجي
وفي حال لقاح Novavax أثبت نجاحه فقد تكون أول دفعة عبارة عن 100 مليون وستكون جاهزة في بداية العام المقبل
nytimes.com
وذلك ضمن إطار عملية Warp Speed التي تهدف إلى تسريع تطوير لقاح ضد الفيروس التاجي
وفي حال لقاح Novavax أثبت نجاحه فقد تكون أول دفعة عبارة عن 100 مليون وستكون جاهزة في بداية العام المقبل
nytimes.com
شركة Moderna 🇺🇸 تتعاقد مع شركة Laboratorios Farmacéuticos Rovi ROVI 🇪🇸 ، وذلك للقيام بعملية التعبئة والتوزيع للقاحها (1273-mRNA) من أجل استهداف الأسواق الخارجية
اللقاح حالياً في مرحلة ما قبل الاعتماد والترخيص
marketwatch.com
اللقاح حالياً في مرحلة ما قبل الاعتماد والترخيص
marketwatch.com
شركة Pfizer🇺🇸 تتوقع الحصول على موافقة من قبل FDA في أكتوبر لاستخدام لقاحهـا ضد كورونا، وعلى هـذا الأساس بدأت بمحادثات مع حكومات العالم حول عدد الجرعات التي تحتاجهـا
وستبدأ في الإنتاج قبل الحصول على الموافقة، وستكون هناك 100 مليون جرعة جاهزة في هذا العام.
time.com
وستبدأ في الإنتاج قبل الحصول على الموافقة، وستكون هناك 100 مليون جرعة جاهزة في هذا العام.
time.com
روسيا تعلن بأن لقاحها ضد الفيروس التاجي أنتقل للمرحلة الأخيرة من التجارب السريرية
اللقاح لم يظهـر اَي مضاعفات على المجموعات المشاركة بالتجارب السريرية، وأظهرت البيانات الأولية إلى أن المشاركين في المرحلة الأولى والثانية ظهـرت لهم استجابة مناعية ضد الفيروس
tass.com
اللقاح لم يظهـر اَي مضاعفات على المجموعات المشاركة بالتجارب السريرية، وأظهرت البيانات الأولية إلى أن المشاركين في المرحلة الأولى والثانية ظهـرت لهم استجابة مناعية ضد الفيروس
tass.com
(جينيفر هالر) هي أول شخص في أميركا يحقن نفسه بجرعة من لقاح Moderna ضد كورونا، وتقول بعد مضي 16 أسبوعا لم تكن هناك اَي أعراض خطيرة وأنها تشعر بالراحة
ويذكر أن أول 8 أشخاص أستخدموا اللقاح ظهـرت لديهم أجسام مضادة مايعني أن اللقاح فعال بنسبة كبيرة ضد الفيروس
komonews.com
ويذكر أن أول 8 أشخاص أستخدموا اللقاح ظهـرت لديهم أجسام مضادة مايعني أن اللقاح فعال بنسبة كبيرة ضد الفيروس
komonews.com
أعلنت شركة Gilead الأمريكية عن نتائج تبين أن عقارهـا المضاد للفيروسات (remdesivir) قلل من خطر الوفاة لمرضى فيروس كورونا المصابين بأمراض خطيرة بنسبة 62% مقارنة بالرعاية المشددة نفسهـا.
cnbc.com
cnbc.com
شركة CanSino Biologics 🇨🇳 تجري حالياً مفاوضات مع عدة دول للانتقال إلى المرحلة النهائية للقاحهـا ضد الفيروس التاجي ، ومن ضمن الدول التي يتم التفاوض معهـا للبدء بالتجارب السريرية على أراضيها هـي المملكة العربية السعودية 🇸🇦
reuters.com
reuters.com
وافقت FDA على إعطاء fast track لشركة BioNTech 🇩🇪 مع 🇺🇸Pfizer والذي يهدف لتسهيل بعض الإجراءات التنظيمية للقاحهم:
BNT162b1
BNT162b2
في🇩🇪أظهر BNT162b2 فاعلية،وسيتم نشر بياناته في يوليو
الشركتين ستبدأ المرحلة السريرية 2b/3 في آخر يوليو والتي تسبق المرحلة 3/3
cnbc.com
BNT162b1
BNT162b2
في🇩🇪أظهر BNT162b2 فاعلية،وسيتم نشر بياناته في يوليو
الشركتين ستبدأ المرحلة السريرية 2b/3 في آخر يوليو والتي تسبق المرحلة 3/3
cnbc.com
تعلن شركة Moderna أن لقاحها حقق استجابة مناعية لدى المشاركين في المرحلة السريرية المبكرة، والبالغ عددهم 45 متطوع
بعض المتطوعين عانى من بعض الأعراض وبلغت حدتها بين الخفيفة إلى المتوسطة
هذه البيانات تدعم فاعلية اللقاح
المرحلة الأخيرة سيشارك فيها 30 الف شخص
bloomberg.com
بعض المتطوعين عانى من بعض الأعراض وبلغت حدتها بين الخفيفة إلى المتوسطة
هذه البيانات تدعم فاعلية اللقاح
المرحلة الأخيرة سيشارك فيها 30 الف شخص
bloomberg.com
تعاقدت شركة AstraZeneca مع شركة IQVIA بهـدف تسريع الدراسات السريرية للقاحهـا (AZD1222) في أمريكا، وتعتبر عملية تسريع الدراسات من ضمن عملية (Warp Speed) والتي تهدف إلى ايجاد لقاح بأسرع وقت ممكن
لقاح (AZD1222) المطور من أكسفورد يخوض حالياً المرحلة النهائية
fiercebiotech.com
لقاح (AZD1222) المطور من أكسفورد يخوض حالياً المرحلة النهائية
fiercebiotech.com
أعلنت شركة CNBG الصينية أنها بدأت المرحلة الأخيرة من التجارب السريرية للقاحهـا ضد الفيروس التاجي في دولة الإمارات
الإعمار التي سيتم استهدافها ستكون مابين (60/18 سنة)
(اللقاح أعطى استجابة مناعية بنسبة 100% للمتطوعين في المرحلة الأولى والثانية)
expresshealthcare.in
الإعمار التي سيتم استهدافها ستكون مابين (60/18 سنة)
(اللقاح أعطى استجابة مناعية بنسبة 100% للمتطوعين في المرحلة الأولى والثانية)
expresshealthcare.in
تخطط شركة Johnson & Johnson البدء بالمرحلة الأولى من التجارب السريرية للقاحها في الأسبوع المقبل بمشاركة الف متطوع
المرحلة الثانية ستكون في 🇪🇸🇩🇪🇳🇱
المرحلة النهائية ستبدأ في أواخر سبتمبر وقد تكون أقرب من ذلك حيث هناك مناقشات حول إمكانية تقديم تاريخ المرحلة
cnbc.com
المرحلة الثانية ستكون في 🇪🇸🇩🇪🇳🇱
المرحلة النهائية ستبدأ في أواخر سبتمبر وقد تكون أقرب من ذلك حيث هناك مناقشات حول إمكانية تقديم تاريخ المرحلة
cnbc.com
روسيا تتفاوض مع المملكة العربية السعودية للقيام بالتجارب النهائية للقاحها المطور من قبل معهد (Gamaleya) في شهـر أغسطس، ومن المتوقع أن يشارك آلاف الأشخاص في هذه المرحلة، وفي حال تم الانتهاء من هذه المرحلة بنجاح ، فالمملكة ستقوم بإنتاج اللقاح محلياً.
reuters.com
reuters.com
في حال كانت نتائج لقاح جامعة أكسفورد في المرحلة الأولى والأخيرة إيجابية فقد يتاح للجمهور في سبتمبر
نتائج المرحلة الأولى ستكون في 20 يوليو وهي تركز على أمنيته
نتائج المرحلة النهائية قد تكون في أغسطس
سابقا أعلن عن أن اللقاح حقق الاستجابة المناعية المطلوبة
indiatvnews.com
نتائج المرحلة الأولى ستكون في 20 يوليو وهي تركز على أمنيته
نتائج المرحلة النهائية قد تكون في أغسطس
سابقا أعلن عن أن اللقاح حقق الاستجابة المناعية المطلوبة
indiatvnews.com
الهـند وافقت على البدء بالتجارب السريرية للقاح (Covaxin) ضد الفيروس التاجي (كورونا / كوفيد 19)
التجربة السريرية الأولى والثانية ستكون في 12 موقعاً اختيرت من قبل المجلس الهندي للأبحاث (ICMR) ، وسيصل عدد المتطوعين في التجربة السريرية الأولى 375 شخص.
livemint.com
التجربة السريرية الأولى والثانية ستكون في 12 موقعاً اختيرت من قبل المجلس الهندي للأبحاث (ICMR) ، وسيصل عدد المتطوعين في التجربة السريرية الأولى 375 شخص.
livemint.com
أعلنت كلية (إمبريال كوليدج 🇬🇧) بأن لقاحهـا ضد الفيروس التاجي نجح في الانتقال للمرحلة الثانية من التجارب السريرية في هـذا الأسبوع ، وسيشارك في هذه المرحلة 105 متطوع ، وستتراوح أعمارهم مابين 75/18 عاماً
(رأي خبراء إمبريال بأن اللقاح يظهـر نتائج واعدة)
imperial.ac.uk
(رأي خبراء إمبريال بأن اللقاح يظهـر نتائج واعدة)
imperial.ac.uk
كشفت جامعة أكسفورد عن نتائج المرحلة الأولى للقاحهـا ضد الفيروس التآجي
وكانت النتائج:
1- اللقاح حقق استجابة مناعية ممتازة للمتطوعين
2- اللقاح أثبت بأنه أمن
3- اللقاح أظهر فاعلية
(العالمة المشرفة على عملية التطوير تقول بأنها سعيدة لهذا الإنجاز)
amp.theguardian.com
وكانت النتائج:
1- اللقاح حقق استجابة مناعية ممتازة للمتطوعين
2- اللقاح أثبت بأنه أمن
3- اللقاح أظهر فاعلية
(العالمة المشرفة على عملية التطوير تقول بأنها سعيدة لهذا الإنجاز)
amp.theguardian.com
البرازيل تعلن بأن شركة Sinovac Biotech 🇨🇳 قد بدأت المرحلة النهائية من التجارب السريرية للقاحهـا CoronaVac ضد الفيروس التاجي
المرحلة ستستهدف 9 الاف عامل في القطاع الصحي
وفي حال أثبت اللقاح بأنه فعال وأمن فسيقوم معهد بوتانتان البرازيلي بإنتاج 120 مليون جرعة
news.yahoo.com
المرحلة ستستهدف 9 الاف عامل في القطاع الصحي
وفي حال أثبت اللقاح بأنه فعال وأمن فسيقوم معهد بوتانتان البرازيلي بإنتاج 120 مليون جرعة
news.yahoo.com
أظهرت شركة BioNech 🇩🇪 وشركة Pfizer 🇺🇸 بيانات إضافية حول فاعلية لقاحهـا في تجربة أولية كانت على 60 متطوع
النتائج :
1- أظهر فاعلية عالية
2- أثبت بأنه أمن
3- أستطاع تحفيز الخلايا التائية مما يسهـم في أبطال مفعول الفيروس التاجي
livemint.com
النتائج :
1- أظهر فاعلية عالية
2- أثبت بأنه أمن
3- أستطاع تحفيز الخلايا التائية مما يسهـم في أبطال مفعول الفيروس التاجي
livemint.com
صرح مدير شركة AstraZeneca بأن لقاحهـا الذي يتم حالياً تطويره مع جامعة أكسفورد بأن اللقاح سيتم توفيره بسعر التكلفة مما يجعل قيمة الجرعة 2.8 دولار
اللقاح في المرحلة الاخيرة
محتمل أن يكون متاح للعالم بنهاية 2020
هناك أخبار تقول جاهزيته في سبتمبر أو أكتوبر
thejakartapost.com
اللقاح في المرحلة الاخيرة
محتمل أن يكون متاح للعالم بنهاية 2020
هناك أخبار تقول جاهزيته في سبتمبر أو أكتوبر
thejakartapost.com
أعلنت شركة CanSino Biologics 🇨🇳 بأن لقاحهـا (Ad5) يعطي نتائج إيجابية في المرحلة الثانية
وكانت النتائج كالآتي:
١- أثبت بأنه أمن
٢- اظهر استجابة مناعية
عدد المتطوعين 603 شخص
ونصفهـم قد تلقى جرعة وهمية
الشركة تتفاوض مع السعودية للانتقال للمرحلة النهائية
forbes.com
وكانت النتائج كالآتي:
١- أثبت بأنه أمن
٢- اظهر استجابة مناعية
عدد المتطوعين 603 شخص
ونصفهـم قد تلقى جرعة وهمية
الشركة تتفاوض مع السعودية للانتقال للمرحلة النهائية
forbes.com
(BD) عملاق تصنيع الإبر والحقن يوقع اتفاقيات مع 🇺🇸 و🇨🇦 لطلب كميات ضخمة من الإبر والمحاقن
حيث تستعد هذه الدول في حال أعلن عن نجاح أحد اللقاحات
بلغ حجم الكميات :
🇺🇸:
140 مليون إبرة حقن من (BD) و 50 مليون إبرة حقن من شركة (medtech)
🇨🇦:
75 مليون إبرة حقن
fiercebiotech.com
حيث تستعد هذه الدول في حال أعلن عن نجاح أحد اللقاحات
بلغ حجم الكميات :
🇺🇸:
140 مليون إبرة حقن من (BD) و 50 مليون إبرة حقن من شركة (medtech)
🇨🇦:
75 مليون إبرة حقن
fiercebiotech.com
تقول شركة CNBG بأن التجارب السريرية للمرحلة النهائية للقاحهـا ضد الفيروس التاجي، والتي بدأت في أبوظبي الأسبوع الماضي .. يجب أن تكتمل في غضون 3 أشهر، وعلى أن يكون بعد ذلك اللقاح جاهز للإطلاق في الأسواق .. وبمعنى آخر اللقاح سيكون جاهز للاستخدام في عام 2020
wsj.com
wsj.com
شركة Moderna الأمريكية من المتوقع أن تبدأ التجارب السريرية للمرحلة النهائية للقاحهـا (mRNA- 1273) ضد الفيروس التاجي في الأسبوع المقبل، وتشير التوقعات أن هذه المرحلة ستبدأ بتاريخ 27 يوليو بمشاركة 30 الف متطوع
اللقاح يعطي نتائج إيجابية ومريحة.
amp.cnn.com
اللقاح يعطي نتائج إيجابية ومريحة.
amp.cnn.com
سيبدأ مستشفى 🇺🇸 UAB التجارب السريرية للقاح Oxford
عدد المتطوعين 500 شخص، مما يجعل الرقم يتجاوز 33 الف متطوع حول العالم
في حال أثبت أنه فعال وأمن فمن الممكن أن تتم معرفة جاهزيته في أوائل ديسمبر
(محتمل إصدار ترخيص الطوارئ في حال أظهرت البيانات فاعليته)
alreporter.com
عدد المتطوعين 500 شخص، مما يجعل الرقم يتجاوز 33 الف متطوع حول العالم
في حال أثبت أنه فعال وأمن فمن الممكن أن تتم معرفة جاهزيته في أوائل ديسمبر
(محتمل إصدار ترخيص الطوارئ في حال أظهرت البيانات فاعليته)
alreporter.com
حسب المصادر فإن شركة Moderna الأمريكية ستبدأ اليوم 27 يوليو المرحلة النهائية من التجارب السريرية للقاحهـا ضد الفيروس التاجي (mRNA-1273)، وذلك بمشاركة أكثر من 30 الف متطوع
البيانات الأولية للقاح إيجابية جداً
news3lv.com
البيانات الأولية للقاح إيجابية جداً
news3lv.com
هـام
تبدأ اليوم شركة Moderna المرحلة الأخيرة من التجارب السريرية للقاحهـا ضد الفيروس التاجي
عدد المتطوعين 30 الف شخص، وسيتلقون جرعتين بفارق 28 يوم
نصف المتطوعين لن يعرف بأنه تلقى جرعة وهمية من المياه المالحة
حيث هذه الطريقة تساهم في جمع بيانات عن اللقاحnytimes.com
تبدأ اليوم شركة Moderna المرحلة الأخيرة من التجارب السريرية للقاحهـا ضد الفيروس التاجي
عدد المتطوعين 30 الف شخص، وسيتلقون جرعتين بفارق 28 يوم
نصف المتطوعين لن يعرف بأنه تلقى جرعة وهمية من المياه المالحة
حيث هذه الطريقة تساهم في جمع بيانات عن اللقاحnytimes.com
بدأت شركة Pfizer و BioNTech المرحلة الاخيرة من التجارب السريرية للقاحهـا
عدد المتطوعين 30 الف شخص
تتراوح اعمارهـم بين 85/18 عاما
التجربة ستكون حول العالم
ظهور بيانات اللقاح ممكن في أكتوبر
وسيتم تصنيع 100 مليون جرعة في أواخر 2020 وأكثر من مليار جرعة في 2021
cnbc.com
عدد المتطوعين 30 الف شخص
تتراوح اعمارهـم بين 85/18 عاما
التجربة ستكون حول العالم
ظهور بيانات اللقاح ممكن في أكتوبر
وسيتم تصنيع 100 مليون جرعة في أواخر 2020 وأكثر من مليار جرعة في 2021
cnbc.com
كشفت شركة Moderna بأن لقاحها ضد كورونا تسبب في استجابة مناعية قوية على قردة المكاك
(كمية الجرعات كانت مختلفة، وجميعهـا أثبتت بأنها قادرة على الحماية من تكاثر الفيروس في الأنف أو الرئتين والحماية من التهاب الرئة)
التجارب البشرية النهائية بدأت في 27 يوليو
kdal610.com
(كمية الجرعات كانت مختلفة، وجميعهـا أثبتت بأنها قادرة على الحماية من تكاثر الفيروس في الأنف أو الرئتين والحماية من التهاب الرئة)
التجارب البشرية النهائية بدأت في 27 يوليو
kdal610.com
روسيا تخطط لإعطاء لقاح معهد Gamaleya موافقة مبدئية في 15 أو 16 اغسطس
وسيكون تحت رهن نتائج المرحلة الأخيرة التي ستقام في الأسبوع المقبل، وسيشارك في المرحلة أكثر من 1600 متطوع روسي
وستقام هذه المرحلة أيضا في السعودية والإمارات
الإنتاج ممكن يكون في سبتمبر
bloomberg.com
وسيكون تحت رهن نتائج المرحلة الأخيرة التي ستقام في الأسبوع المقبل، وسيشارك في المرحلة أكثر من 1600 متطوع روسي
وستقام هذه المرحلة أيضا في السعودية والإمارات
الإنتاج ممكن يكون في سبتمبر
bloomberg.com
أعلنت شركة Pfizer🇺🇸 وشركة BioNTech 🇩🇪 بأن اليابان حجزت 120 مليون جرعة من لقاح BNT162b2 وستستلمها في عام 2021
واكدت شركة Pfizer بأنها ستنتج 100 مليون جرعة قبل نهاية 2020 و 1.3 مليار جرعة في عام 2021
اللقاح يخوض المرحلة النهائية , ونتائجه الأولية إيجابية
fiercepharma.com
واكدت شركة Pfizer بأنها ستنتج 100 مليون جرعة قبل نهاية 2020 و 1.3 مليار جرعة في عام 2021
اللقاح يخوض المرحلة النهائية , ونتائجه الأولية إيجابية
fiercepharma.com
تقول شركة AstraZeneca أنها حصلت على بيانات جيدة بخصوص لقاحها الذي تطوره مع جامعة Oxford 🇬🇧
اللقاح في المرحلة الاولى والثانية اظهر زيادة عالية جدا في الاجسام المضادة لدى المتطوعين، وذلك بعد مرور شهر من اعطائهم اللقاح
(اللقاح في المرحلة النهائية 3/3)
clinicaltrialsarena.com
اللقاح في المرحلة الاولى والثانية اظهر زيادة عالية جدا في الاجسام المضادة لدى المتطوعين، وذلك بعد مرور شهر من اعطائهم اللقاح
(اللقاح في المرحلة النهائية 3/3)
clinicaltrialsarena.com
أعلنت شركة 🇺🇸Eli Lilly بالتعاون مع شركة 🇨🇦AbCellera عن انتقال دوائها المضاد للفيروسات LY-CoV555 للمرحلة الثالثة من التجارب السريرية، وسيشارك في هذه المرحلة 2400 شخص مصاب بالفيروس التاجي
اذا ثبت نجاحه ستكون هناك 100 الف جرعة جاهز نهاية 2020، والمزيد في2021
bloomberg.com
اذا ثبت نجاحه ستكون هناك 100 الف جرعة جاهز نهاية 2020، والمزيد في2021
bloomberg.com
أصدرت Novavax 🇺🇸 بيانات أولية بخصوص نتائج لقاحهـا في المرحلة الأولى:
ظهور استجابة مناعية جيدة لدى المتطوعين البالغ عددهم 131
طور المشاركون أجساماً مضادة أعلى بأربع مرات في المتوسط من الأشخاص المتعافين من الفيروس
لم تظهر أعراض جانبية لدى 90% من المتطوعين
cnn.com
ظهور استجابة مناعية جيدة لدى المتطوعين البالغ عددهم 131
طور المشاركون أجساماً مضادة أعلى بأربع مرات في المتوسط من الأشخاص المتعافين من الفيروس
لم تظهر أعراض جانبية لدى 90% من المتطوعين
cnn.com
أعلنت شركة Moderna بأنها تلقت صفقات بلغت قيمتها 400$ مليون لتوريد لقاحهـا لعدة دول لم يتم الإفصاح عنها
كما أنها تخطط لإعطاء اللقاح تسعيره مناسبة تضمن وصوله للكل، ولايوجد تجارب حول العالم، حيث أن التجربة النهائية التي تجري حاليا في أمريكا هي من تحدد إعتمادهreuters.com
كما أنها تخطط لإعطاء اللقاح تسعيره مناسبة تضمن وصوله للكل، ولايوجد تجارب حول العالم، حيث أن التجربة النهائية التي تجري حاليا في أمريكا هي من تحدد إعتمادهreuters.com
شركة Moderna🇺🇸 تحدد سعر لقاحهـا (mRNA1273) ضد الفيروس التاجي الذي يخوض حالياً المرحلة النهائية من التجارب
التسعيرة:
قيمة الجرعة الواحدة من اللقاح (37 دولار) مايعني أن اللقاح سيكلف الشخص الواحد (74 دولار) حيث أنه يحتاج لإستخدام جرعتين لتحصين نفسه بالكامل
cbsnews.com
التسعيرة:
قيمة الجرعة الواحدة من اللقاح (37 دولار) مايعني أن اللقاح سيكلف الشخص الواحد (74 دولار) حيث أنه يحتاج لإستخدام جرعتين لتحصين نفسه بالكامل
cbsnews.com
وافقت شركة (AstraZeneca) التي تطور لقاح ضد الفيروس التاجي بالتعاون مع جامعة أكسفورد البريطانية
بأن تقوم شركة (Kangtai) الصينية بإنتاج 100 مليون جرعة من لقاحها في عام 2020 و 200 مليون جرعة في عام 2021، وذلك بغرض الاستخدام المحلي
(اللقاح يظهـر نتائج مبشرة)
wsj.com
بأن تقوم شركة (Kangtai) الصينية بإنتاج 100 مليون جرعة من لقاحها في عام 2020 و 200 مليون جرعة في عام 2021، وذلك بغرض الاستخدام المحلي
(اللقاح يظهـر نتائج مبشرة)
wsj.com
تقول شركة Pfizer الأمريكية بأن فاعلية اللقاح ستتضح في شهـر أكتوبر ، وفي حال كانت البيانات إيجابية ، محتمل بنسبة عالية أن اللقاح يحصل على ترخيص إستخدام الطوارئ من قبل FDA
الخطة الإنتاجية للشركة
إنتاج 100 مليون جرعة في 2020
إنتاج 1,3 مليار جرعة في 2021
forbes.com
الخطة الإنتاجية للشركة
إنتاج 100 مليون جرعة في 2020
إنتاج 1,3 مليار جرعة في 2021
forbes.com
شركة CNBG الصينية تعلن أنها بدأت المرحلة الأخيرة من التجارب السريرية للقاحها ضد الفيروس التاجي في مملكة البحرين ، بعد أن أعلنت الشهر الماضي بأنها أطلقت تجربة مماثلة في دولة الإمارات
التجربة في البحرين ستستهدف : 6 آلاف متطوع
reuters.com
التجربة في البحرين ستستهدف : 6 آلاف متطوع
reuters.com
جاري تحميل الاقتراحات...