RT. Asma Alshammari
RT. Asma Alshammari

@ASMA_933

3 تغريدة 115 قراءة Mar 27, 2020
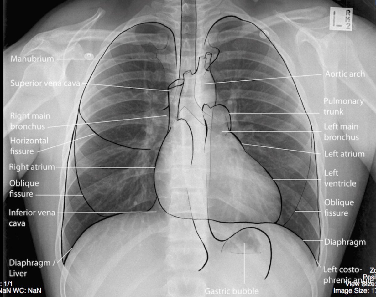
هذا شرح بسيط سويته لكيفية قرأة صور الـchest x-ray .. الله يكتب فيه النفع والفائده للجميع!
^
.. يتبع ⬇️
طبعاً. الصوره الي شرحت عليها صورة رئة مريض .. فممكن التحديد ما كان واضح للبعض ! هذه صورة من قوقل مشروح على صوره رئة طبيعيه كل التحديدات المهمه

جاري تحميل الاقتراحات...