سعود السعدون
سعود السعدون

@PTSAUD

46 تغريدة 115 قراءة Apr 23, 2020
السلام عليكم بنتكلم اليوم عن الكسور وخصوصا عن
POST - TRAUMATIC - IMMOBILIZATION
بنشوف انواع الكسور واسبابها وتأثيرها على الانسان وظيفيا وبنشوف كيف نقدر نتعامل معها كتأهيل بكذا مرحله .
وبسم الله
#نيوروتا
طيب اول شي بنعرّف ال Fracture وش هو ؟
هو ياطويل العمر عباره عن Structural break
يجي بالعظم نفسه او بال epiphysiaeal plate يعني نهاية العظم او يجي بال cartilaginous joint surface
اذا كان عندنا كسر ممكن تتأثر الانسجه المحاطه بالعظم وهذي تعتمد على شدّة الاصابه ومكانها ، ممكن تضر الشرايين او الاعصاب الطرفيه وممكن من شدتها ان توضل بضررها للدماغ اذا الكسر بالجمجمه والحبل الشوكي اذا كان بالفقرات، والاعضاء الاخرى ممكن الكسر يضرها مثل الرئتين اذا صار فيه بالضلوع.
طيب فيه عندنا انواع كثير للكسور وكذا تصنيف بنشوف اول شي تصنيفها على اساس ال Displaces from proximal to distal ، ممكن ينكسر العظم ويلتف ممكن يكون ثابت ممكن يرجع ورى وغيرها ..
بنشوف الصوره توضّح لنا اكثر .
فيه عندنا تصنيف ثاني حسب ال Direction of fracture يعني حسب اتجاه الكسر يجي بالعرض او يكون طولي او مائل او حلزوني او لولبي . مثل مانشوف بالصوره.
طيب ممكن يكون عندنا الكسر مسبب لنا اكثر من قطعه ومحطّم العظم مثل مانشوف بالحوادث وله اشكال متعددّه نقدر نختصرها ونقول
Comminuated Fracture
وموضّح بالصوره .
طيب حنّا ممكن نوضّح الكسر ونوصفه ونعرفه بعدّة اشياء :
Site
diaphyseal, metaphyseal, epiphyseal, intra-articular
موضّح لكم بالصوره .
-ممكن عن طريق ال Extent يا يكون كومبليت كامل او ان كومبليت .
-او عن طريق الشكل مثل ماقلنا فوق Configuration
الي هو مائل بالعرض وبالطول وحلزوني وغيرها
-عن طريق علاقته مع ال Fragment مثل ماقلنا يجي
displaced or undisplaced
-عن طريق علاقة الكسر مع ال Enviroment
ممكن كسر مفتوح كسر اخترق الجلد او العظم اخترق الجلد نسميه اوبن .
او closed داخل الجلد .
-ممكن نوصف الكسر عن طريق ال complication
سواء كان local or systmic يعني يكون كسر عام او جزئي في منطقه معينه فقط.
طيب بنشوف الاشياء الي تسبب لنا ال Fracture
بنجي حبّه حبّه ركز معي :
1-Bending
هذا ان اللونق بون يجي فيه ثني والثني هذا يسبب لنا مشكله بال convex side of bend
ممكن انه يجي ترانسفير او اوبليك او حلزوني او يجي بالاطفال ب شي نسميه Green stick fracture
2-Twisting (Torsional )
هذا اللّوي كنّك تلوي الشي او تطعجه ? وغالبا مايصير عندنا Spiral fracture شكله يجي حلزوني .
3-Straight pulling (Traction)
وهذا الي نعرفه باسم Avultion ftacture
ان العظم يجي من سحب عضله او رباط مثل ماحنا عارفين .
4-Crushing
هذا من الضغط الزايد يتحطم عنده العظم ويجينا كومبرشن فراكشتر .
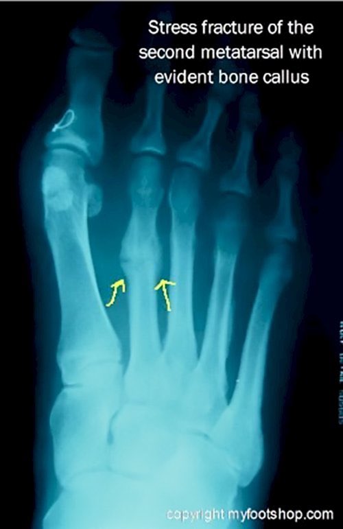
5-Repetitive microtrauma
وهذا يجيب لنا مايسمى بالشعر الي يجي من الضغط الزايد والاستخدام المتكرر والكرف بالعربي يسبب لنا fatigue fracture or stress fracture
اعرف اثنين عسكر بسبب لبس الحذاء غير المناسب والشغل الزايد صار عندهم كذا مع الوقت .
6-Normal force on abnormal bone
كيف يعني ؟
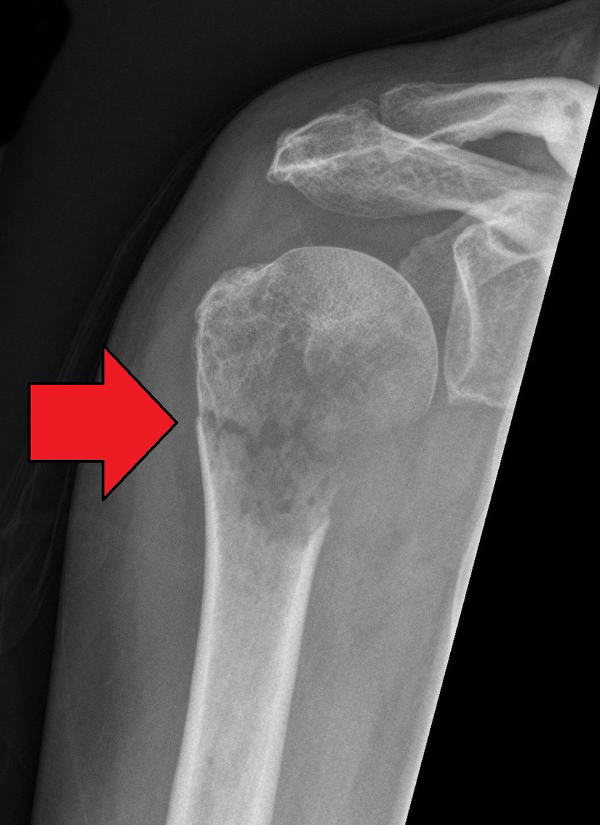
مثلا شخص عنده هشاشة عظام osteoprosis او عنده اي مرض بالعظام ممكن يجيه كسر لو ماجاه اي ضغط على العظم ف نسميه وش pathological fracture لانه بسبب مرض معيين.
خلونا نشوف ال Healing الي يصير بالعظم بعد الكسر وبنقسمها لثلاث مراحل
1-Inflamatory phase
هنا يجي عندنا الهيماتوما الاحمرار ويجي عندنا ال cellular prolifration
2-Reparative phase
وهنا يبدا العظم يكون formation عشان يتحد مع الكسر و يسوي لنا بعد ossifcation تكوين عظمي لل boney tisssue عشان يتحد ويثبت .
3-Rmodleing phase
هنا يبدأ العظم يتكون وينعاد بناءه من جديد.
ماودي ادخل بالفسيولجي مرّه ?
طيب ممكن جانا شخص للعياده وكان عنده Fracture فيه علامات تدلنا على هالشي وقد حصلت مع ناس اعرفهم فيه تنتبيهات لنا مثل
-History of a fall
-Localized pain الم ثابت يزيد مع الحركه
-Muscle guarding with passive movement
-Decrease function
-swelling , deformity
-sharp tenderness
طيب ترى ممكن الكسر مايلتئم بالطريقه الصحيحه
Abnormal healing
1-Malunion هنا ممكن يلتئم الكسر بطريقه غلط وبشكل خاطئ يسبب لنا تشوّه بالعظم
2-Delayed union ممكن يطول العظم ماصار له هيلنق
3-Nounion ممكن اصلا مايلتئم الكسر ?
بالنسبه ل Time of healing
طبعا يختلف وقت العظم على مايلتئم من شخص لاخر ويختلف باختلاف العمر وبمكان الكسر
بشكل عام للاطفال من ٤ الى ٦ اسابيع
سن المراهقه من ٦ الى ٨ اسابيع
البالغين ممكن من ١٠ الى ١٨ اسبوع
ملاحظه دايم ننتبه للكسر اذا كان بال
Epiphyseal plate
خصوصا بالصغار ممكن يسبب لنا مشاكل بنمو العظم ويسبب لنا تشوهات بالعظم نفسه ف لازم ننتبه اذا نتعامل مع الاطفال ونخفف ال سترس عليهم وبس والله.
عرفنا الكسور وانواعها وقبل ندخل بدورنا بنشوف ال complication of fracture عشان نكون بالصوره ونعرف نتعامل مع وش
1-Swelling ممكن يسبب لنا ضغط على النيرف او على الاوعيه الدموية
2-Fat embolism ممكن يتكون بالعظام الي فيها البون مارو عالي مقل الحوض و اللونق بون وترى ممكن يروح للرئه ويسد الاوعيه الي فيها وهذا شي خطير جدا
3-Problem with fixation device
وهذي تجي اذا تحركت البراغي او الاسياخ تسبب لنا مشاكل
4-Infection ممكن يصير عدوى سواء بنفس المكان او عامه بالجسم
5-Refracture ممكن يتكرر للكسر
6- Delayed or malunion زي مافهناها قبل
طيب وش ال princple اننا نتدخل بال period of immoblization ؟
لاصار كسر طبيعي التيشو يجي فيها ضعف الي حول مكان الاصابه والكارتلج يتأثر والعضلات تضعف وضروري طبعا عدم التحريك بالفتره هذي عشان يلتئم العظم ، يعني الحركه الخفيفه حول الكسر حلوه اذا كان الكسر مثبت
، مثبت صح مثبت صح عن طريق internal fixation، ممكن على الاقل ان الstructures بالمنطقه هذي انها تكون قريبه من الطبيعه يعني ممكن نستخدم تمارين
دقيقه شوي للعضلات الي حول الكسر على مايصير له healing طويل العمر ، اهم شي ما نغير بال alingment حقت الكسر علشان لانجيب العيد .
طبعا اذا كان المريض immoblization in bed
ممكن اننا نشتغل معه جنرال اكسرسايز للاجزاء الي ماهي داخله بالكسر عشان نبتعد عن ال secondry complication
ماننسى ال functional adaptaion
اذا كان في كسر عندنا باللور ليمب ممكن المريض يستخدم له كراتش او walker بالنسبه للمرضى الي يقدرون يطلعون من السرير طبعا هذي باستشارة الطبيب الي ماسك حالة المريض ، نحاول بقدر المستطاع ان ال function ماتتأثر.
طيب بعد ماخلص كل شي نجي لل
Postimmobilzation period
راح يكون عندنا نقص بال ROM طبيعي ، وحركة المفصل و الفلكسبلتي حقت المسل وقوتها راح تنقص بعد والانديورنس وراح يجي عندنا Pain بالستركتشر الي كانت immoblized .
طبعا بيحس المريض بألم مع الحركه طييعي بس بينقص الالم بالتدريج ، وبتتحسن اموره حبه حبه .
ممكن يكون فيه Scar اذا صار فيه اي tissue damage مثلا جرح وجاء فيه سكار وعلى مكان المفصل ممكن يأثر علينا ويقلص المدى الحركي و ال OTs مبدعين جدا بال scar managment
طبعا بعد مافك الجبيره المريض وجانا وكذا مانضغط عليه ابدا ومانعطيه resistance لين نشوف ان صار عنده حاجه للكسر هي Radiologically healed
ف لازم اننا ناخذ الاستشاره من طبيبه الي محوله لنا علشان نتاكد ما نبي كسر او مشكله مره ثانيه .
طيب خلونا نشوف ال guidlines حقتنا في هذه المرحله post fracture / peroied of immoblization
يعني مانقدر نحرك الطرف المكسور ابد
اول شي نشوف ال impirament الي بتصير
nflamation , swelling etc
ومثل ماقلنا مسل اتروفي وضعف ومدري ايش الخ..
طيب وش راح تكون ال plan of care
1-educate the pt نعلمه لل functional adaptaion
2-Decrease inflamation
نستخدم الثلج عشان نخفف الالتهاب ونستخدم ال elevation
3-decrease effect of immoblization
ممكن نسوي له active ROM للمناطق الثانيه الي فوق للمفصل الي داخل او تحته مثلا الكسر بالwrist نحرك الاصابع و الelbow
4-if the pt in the bed اذا كان بالسرير ان بيشنت
مثل ماقلنا لو كان بالسرير نقوي عضلاته الباقيه للميجور مسل ونضبط ال ROM خصوصا اذا
خصوصا اذا كنا نبيه يمشي او يطلع
طيب نشوف ال guidlines in post immoblizaion
يعني نقدر نحرك المريض هنا
بنشوف وش ال impirament الي ممكن تصادفنا هنا
1-pain with movement
2-decrease ROM
3-joint stiffness
4-adhesions التصاقات
5-decreased in strength and endurance
طيب وش راح تكون ال plan of care
1-educate the pt
نعلم المريض ان ال limtaion الي فيك يافلان بسبب كذا وكذا ونعلمه على الهوم اكسر سايز وطريقة الكسر وتنتاقش مع المريض بالخطه العلاجيه
2-Provide protection
طيب نستخدم partial weight bearing
بالنسبه للور لمب و بالنسبه للابر نستخدم nonstressful ex’s تمارين خفيفه
3-active ex,s
مثلا اكتف ROM
ونستخدم ال isometric ex’s
4-increase joint mobility
نستخدم سترتشنق خفيف ونخلي الفورس حقنا proximal وبعدين عاد ننتقل وبالتدريج لل distal
5-increase muscle strength
طبعا اذا صار العظم ملتئم و ال ROM يساعد نبدأ بتمارين المقاومه ونكرر التمارين repetitive
6-improve cardiorespiratory fitness
نبدا مع المريض Aerobic ex’s
عندنا Percaution لازم ننتبه له
اننا مانعطي المريض اي مقاومه Distal to fracture site الين مانشوف الراديولوجيكالي هيلينق مانضغط على المفصل لين نشوف فيه هيلنق مثل ماقلنا فوق يعني بالتدريج ، واذا صار فيه هيلنق نشتغل سترنث ورزسست على المريض.
نقاط بنتكلم عنها بالنسبه لل stretching and muscle inhibitaion
-الhold relax and and agonist -contraction teqchnique
لان الشّده هنا يتحكم فيها المريض ونراعي هنا ال healing ، وغالبا يجينا البيشنت بعد مايصير له هيلنق كامل بس الاحتياط واجب.
-بالنسبه لل functional activties
ممكن ان المريض يسوي الاكتفتي العاديه مع الانتباه طبعا ، وبالنسبه للور لمب يجي الويت بيرنق فيها بالتدريج ويتابع المريض لين يصير فل ويت بيرنق.
-بالنسبه لل muscle performance
مثل ماقلنا كلها تعتمد على الهيلنق نبدا بالخفيف وبالتدريج ايسو ميترك لين يضبط معنا ال ROM والهيلنق يصير تمام نقوي العضله لو صار فيها ويكنس او اتروفي .
موضوع الكسور طويل ومختلف حسب المكان وحسب الاصابه ، ومتشعب وله عدّة اوجه ويختلف باختلاف مكان الكسر، حاولت الم فيه قد ما اقدر عشان تكون عندنا خلفيه واضحه بدورنا مع الكسور
سامحونا على الاطاله بالتوفيق.

جاري تحميل الاقتراحات...