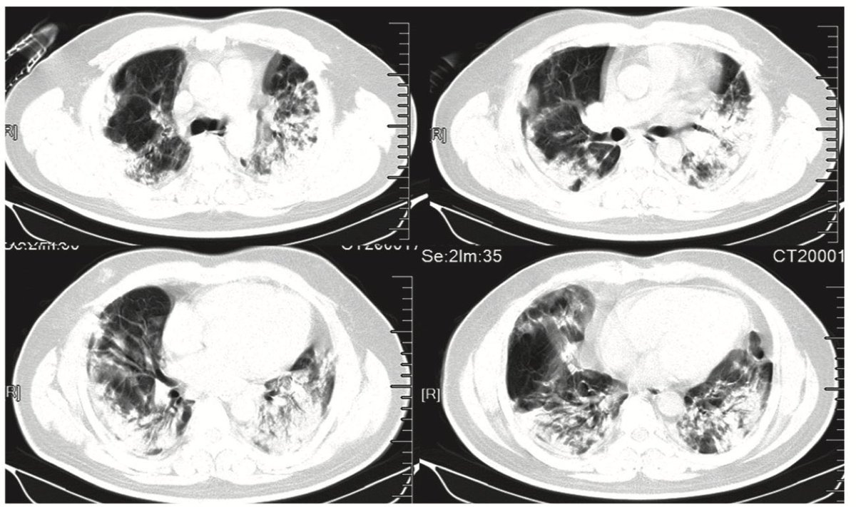
تشير الخصائص السريرية لأول ٤١ مريض الى ان #كورنا الجديد لديه بداية شديده مع حمى وسعال وألم عضلي مصحوب بضيق تنفس، النتائج من الاشعه الصدريه تشير الى التهاب رئوي حاد يكون اقل حده مع منهم تحت ٦٠ سنه وأكثر حده مع من تجاوز عمره ٦٠ سنه
thelancet.com
thelancet.com
غالبيه المرضى الذين يحتاجون الى العناية المركزة هم الأشخاص الذين يعانون من انخفاض ضغط دم وضيق في التنفس، التهاب حاد في الدم والخلايا، مرضى الكلى والقلب والمصابين بالعدوى البكتيرية بالدم
thelancet.com
thelancet.com
في ديسمبر ٢٠١٩، تم ربط مجموعه من مرضى الأتهاب الرئوي غير معروف السبب بسوق لبيع المأكولات البحرية في ووهان، الصين.
حددت وميزت #كرونا_الجديد من اخذ عينات من القصبات الهوائيه في ٣ مرضى من خلال تسلسل كامل الجينيوم، PCR المباشر
وهنا تم الكشف عن تسلسل #كورنا_الجديد
حددت وميزت #كرونا_الجديد من اخذ عينات من القصبات الهوائيه في ٣ مرضى من خلال تسلسل كامل الجينيوم، PCR المباشر
وهنا تم الكشف عن تسلسل #كورنا_الجديد
كشف التحليل الوراثي أن #كورنا_الجديد يقع في فيروس Betacoronavirus يختلف nCov-2019 عن MERS و SARS فهو العضو السابع في عائله الفيروسات التاجية التي تصيب البشر
تم النشر في المجله الشهيرة NEJM
nejm.org
تم النشر في المجله الشهيرة NEJM
nejm.org
هنا فتره الحضانه ل #كورنا الجديد، تشير هذه الدراسه ان #كورنا الجديد لديه فتره حضانه تقارب ٣ الى ٦ ايام وتؤكد انتقال العدوى من إنسان لآخر، نشرت في مجلة لانسيت الشهيره
thelancet.com
thelancet.com
هنا دراسه قدرت ان عدد التكاثر الأساسي R0 ل #كورنا_الجديد يبلغ حوالي 2.2 (1.4-3.8) مما يشير الى احتماليه انتقال مستمر من إنسان لانسان حيث يبدو ان خصائص انتقال العدوى مماثله للفيروس SARS والإنفلونزا الوبائية، مما يشير الى خطر الانتشار العالمي
github.com
github.com
هنا دراسه عن الثعابين كونها الخاضن المحتمل ل #كورنا الجديد
توضح النتائج ان هذا الادعاء غير صحيح
virological.org
توضح النتائج ان هذا الادعاء غير صحيح
virological.org
هنا دراسة #صينيه تؤكد على ان عينات الجهاز التنفسي الاعمق او السفلي عند فحص #كورنا تحتوي على حمل فيروسي اعلى من مسحات الفم/الحلق
biorxiv.org
biorxiv.org
وهنا ميزه اخرى مهمه في حالات #كورونا الجديد هي ان عددا قليلا فقط من الحالات لديهم أعراض الجهاز التنفسي العلوي (سيلان الأنف، او التهاب الحلق)، مما يشير الى ان الخلايا المستهدفة قد تكون موجوده في مجرى الهواء السفلي
نشرت في لانسيت
thelancet.com
نشرت في لانسيت
thelancet.com
اخذ عينات فقط من البلغم او مسحات للحلق لاتكفي، وبالتالي هناك مايبرر تكرار اختبار عينات من الجهاز #التنفسي العلوي او اخذ عينات أعمق في الحالات المشبوهة سريريًا مع وجود نتيجه سلبيه مبدئيه من عينات البلغم او الحلق
thelancet.com
thelancet.com
استنادا الى ١٦٤ حاله مؤكده ل #كورنا الجديد، أعلنت مراكز السيطرة على الأمراض عن اول منحنى وبائي مفصل وبقدر 2.9 R0 ويتوافق مع التقارير السابقه
يبلغ متوسط فتره الحضانه (التعرض لظهور الأعراض) 4.8 ايام
biorxiv.org
يبلغ متوسط فتره الحضانه (التعرض لظهور الأعراض) 4.8 ايام
biorxiv.org
في هذه الدراسه، 75% من المرضى الذين يعانون من #كورنا يصاحبهم التهاب #رئوي، 20% منهم كان حاد، 4% فقط احتاجو تنفس صناعي، تلقت الغالبية العظمى منهم الادويه المضادة للفيروسات ومضادات الميكروبات
thelancet.com
thelancet.com
تم التعرف على Remdesivir مؤخرًا كأحد الادويه الواعدة المضادة للفيروسات ضد مجموعه واسعه من فيروسات RNA ( بما في ذلك السارس/MERS)
في هذه الدراسه كان #ريميسفير فعالًا للغاية ضد #كورنا الجديد في خلايا Varro E6 وخط الخلايا البشرية (خلايا Huh-7)
nature.com
في هذه الدراسه كان #ريميسفير فعالًا للغاية ضد #كورنا الجديد في خلايا Varro E6 وخط الخلايا البشرية (خلايا Huh-7)
nature.com
دراسه قدرت فعاليه فحص #المطارات لمواجهه #كورنا الجديد
بناءا على الافتراضات المحافظة، وجدوا ان 46 من 100 مسافر مصاب سيدخلون دون ان يتم اكتشافهم
eurosurveillance.org
بناءا على الافتراضات المحافظة، وجدوا ان 46 من 100 مسافر مصاب سيدخلون دون ان يتم اكتشافهم
eurosurveillance.org
تشير ورقه مراجعه الى ان فيروسات #كورنا يمكن ان تستمر على اسطح مثل المعدن او الزجاج او البلاستيك لمده تصل الى ٩ ايام ولكن يمكن تعطيلها عن طريق تطهير الأسطح
sciencedirect.com
sciencedirect.com
اول بيانات سريريه ل #كورنا الجديد في فتره #الحمل وشملت ٩ نساء #حوامل في الثلث الثالث من الحمل، حيث كانو مماثلين لغيرهم من من غير حمل
لم يكن هنالك انتقال للعدوى داخل الرحم للجنين او بعد اجراء العملية #القيصرية للمواليد
thelancet.com
لم يكن هنالك انتقال للعدوى داخل الرحم للجنين او بعد اجراء العملية #القيصرية للمواليد
thelancet.com
الدراسه الاولى عن #الرضع في المستشفى اقل من سنه العمر، تم تحديد ٩ أطفال فقط مصابون ب #كورنا الجديد وجميعهم مع واحد على الأقل من أفراد أسرتهم مصابين.
تشير الأعراض الى أصابات خفيفه لايتطلب اَي منها اَي عنايه مركزه للأطفال
jamanetwork.com
تشير الأعراض الى أصابات خفيفه لايتطلب اَي منها اَي عنايه مركزه للأطفال
jamanetwork.com
اكبر قاعده بيانات مفصله الى الان، اكثر من 72 الف حاله #كورنا في الصين
بين 44 الف حاله مؤكده ل #كورنا
81% أعراض خفيفه
#الوفيات كانت عاليه في الرجال فقط لمنهم اكبر من 60 سنه
معدل الوفيات الإجمالي 2.3% بمعدل اعلى لمنهم اكبر من 80 سنه
weekly.chinacdc.cn
بين 44 الف حاله مؤكده ل #كورنا
81% أعراض خفيفه
#الوفيات كانت عاليه في الرجال فقط لمنهم اكبر من 60 سنه
معدل الوفيات الإجمالي 2.3% بمعدل اعلى لمنهم اكبر من 80 سنه
weekly.chinacdc.cn
بخصوص الطواقم الطبيه، من اصل 72 الف شخص اصيب 3019 من العاملين الصحيين بالعدوى وتم تاكيد اصابه 1716 شخصا وتوفي فقط 5
الحالات الحرجة من حاملي #كورنا الجديد بين الطاقم الطبي تتراجع من 45% الى 8.7% وهذا خبر مبشر
لماذا لايكون هنالك #بدل_عدوى للطاقم الطبي؟
weekly.chinacdc.cn
الحالات الحرجة من حاملي #كورنا الجديد بين الطاقم الطبي تتراجع من 45% الى 8.7% وهذا خبر مبشر
لماذا لايكون هنالك #بدل_عدوى للطاقم الطبي؟
weekly.chinacdc.cn
خبر مفرح، من بين 25961 الف حاله مؤكده ل #كورنا الجديد في الصين، انخفضت نسبه الحالات الشديده تدريجيا مع مرور الوقت، بينما زادت الحالات الخفيفه بشكل كبير،
انخفض معدل الانتشار R0 من 3.86 قبل العلاج الى 0.32 بعد العلاج والتدخلات اللاحقه
medrxiv.org
انخفض معدل الانتشار R0 من 3.86 قبل العلاج الى 0.32 بعد العلاج والتدخلات اللاحقه
medrxiv.org
دراسه لحاله #حامل مصابه ب #كورنا الجديد وخضعت لعمليه قيصرية لتوليدها، كانت لديها أعراض خفيفه وفي يوم الولاده كان البلغم إيجابيا بالعدوى، لكن سيرم والسائل الاميوني والمشيمه وحليب الأم كانت سلبيه ولم تكون مصابه بالعدوى
wwwnc.cdc.gov
wwwnc.cdc.gov
جاري تحميل الاقتراحات...