وِديَان ✨
وِديَان ✨

@wedyan14171

13 تغريدة 70 قراءة Mar 02, 2020
عمركم سمعتو عن العلاقة بين colles fracture وعبد المجيد عبد الله و الباستا؟??‍♀️?
اذا بتعرفو الرابط اتفضلو هذا الثريد ?✨
?يحتوي صور حساسه
مين مايعرف عبد المجيد عبد الله واغانيه اللي تلعب ع الوتر الحساس ?❤️
بس هل في مره فكرتو بالجانب الخفي ورى اغنيه اطيح واقف؟?⚠️?
الاغنية تقول:
أشكرك ياوقتٍ كشف معدن الناس?
وأشكرك يا جرحٍ ومنه تعلمت?
علمتني أعطي لكل حد مقياس?
وآطيح واقف حتى لو اني تألمت???
الله عليك ياعبد المجيد ✨?
ايش الكلمات الفنانه دي!!
بس دقيقه !!؟⚠️
ركزولي على
‼️"وآطيح واقف حتى لو اني تألمت"‼️
عن ايش كان يتكلم بالضبط؟?احس ان في موضوع ورى الموضوع?
ابدا ياسادة ✋?
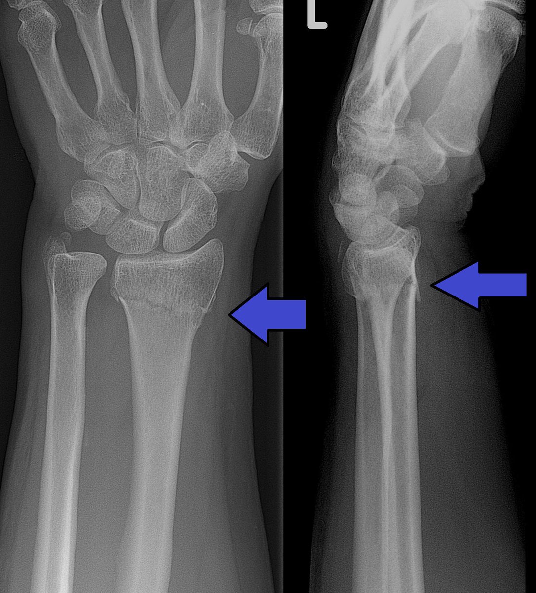
من خلال تحرياتي الفنانه اكتشفت انه يتكلم عن ال colles fracture??
ايش هو ال colles fracture
هو كسر يحصل في ال radius bone لما الشخص يطيح ويحاول يمنع الطيحه بيده فيحمل ثقله كله على يده
"واطيح واقف"?
طيب ايش دخل الباستا ياوديان؟
عمركم شفتو باستا تنأكل من دون شوكة?‼️✨??‍♀️
هذا الكسر عادةً يسبب تشوه اسمه ال dinner fork deformity ? وسموه كذا لان يد المريض يسير شكلها زي الشوكة وسبب هالوضعية ان الشخص يطيح ويده واصابعه مفروده
ويعرف هالنوع من الاصابات بإسم FOOSH اختصارا لـ
"fallen onto an outstretched hand"
فهمتو العلاقة دحين؟
اغنيه عبد المجيد اسمها اطيح واقف الطيحه واقف تسوي colles fracture اللي بدورها تسبب ان يد المريض يكون شكلها زي الشوكة والباستا ماتنأكل بدون شوكة
وسلامتكم??✌?✋??
ابصم بالعشرة انه the colles ثريد ورابطه عجيبه ايفر ?✌?
ايش رايكم فيا بس?✌?
طيب فهمتو الذبه؟
كووول وcolles وكذا يعني ?
لا؟
اوك مو مشكلة يارب يكون الثريد حاز ع اعجابكم ودخلت المعلومة براسكم الى ان نلقاكم مع رابط اخر و ثريد اخر من ثريداتي✌??
#رابط_وديان_العجيب
وهذا فديو يتكلم عن الموضوع ويشرحه ببساطه عشان يسهل فهمه وحفظه
youtu.be

جاري تحميل الاقتراحات...