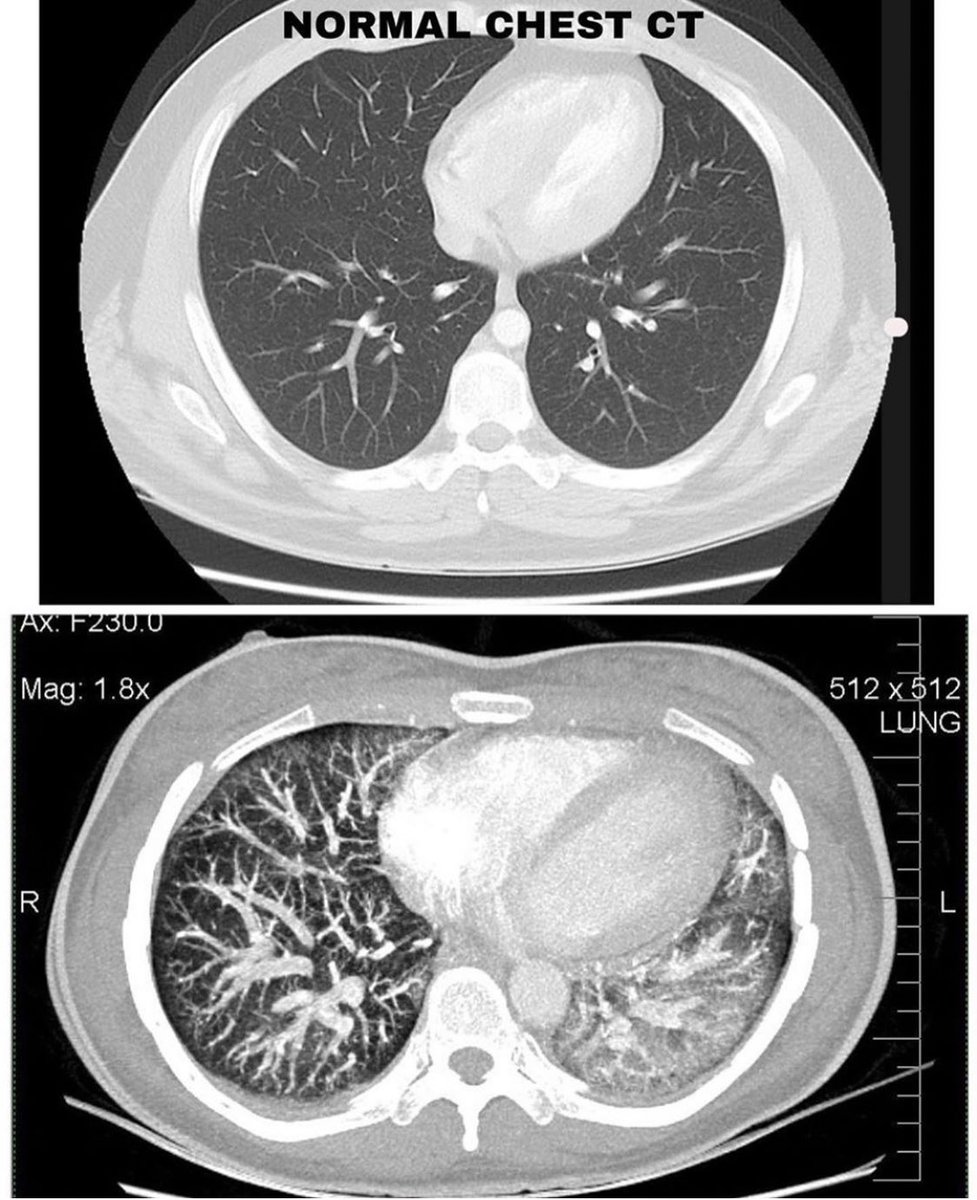
عندها، زارت الطبيب، وبعد عمل بعض الفحوصات والأشعة كان هناك اشتباه وجود التهاب في الجزء الأسفل من الرئة اليسرى
ولذلك تم اعطائها مضاد حيوي عن طريق الفم.
لكن بعد الاستمرار عليه لمدة ١٠ ايام، لم تتحسن حالتها، بل بدأت تعاني من ضيق بالنفس مما اضطرها للاتصال بالإسعاف
ولذلك تم اعطائها مضاد حيوي عن طريق الفم.
لكن بعد الاستمرار عليه لمدة ١٠ ايام، لم تتحسن حالتها، بل بدأت تعاني من ضيق بالنفس مما اضطرها للاتصال بالإسعاف
بينت الأشعة المقطعية تزايد في منطقة "الالتهاب" لتشمل الرئتين بالكامل، ولذلك تم تنويمها في العناية المركزة تحت العزل التنفسي والبدء في مضادات حيوية عن طريق الوريد
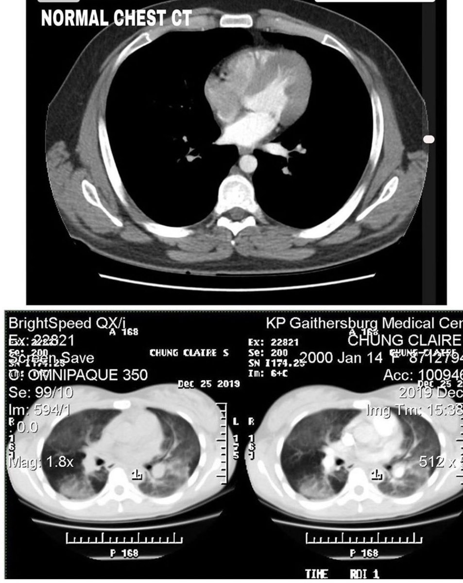
قام الفريق الطبي بالعديد من الفحوصات المتقدمة مثل عمل منظار للشعب الهوائية وأخذ عينات من المناطق المصابة، وغيرها
قام الفريق الطبي بالعديد من الفحوصات المتقدمة مثل عمل منظار للشعب الهوائية وأخذ عينات من المناطق المصابة، وغيرها
وللأسف لم يكن هناك أثر التهاب ميكروبي، او حتى التهاب مناعي أو ورم سرطاني
لكن النتيجة بينت تهتك وتحلل في أنسجة الرئتين مما اضطرهم للبدء بأدوية مناعية قوية عن طريق الوريد وتم وضعها على جهاز التنفس للحفاظ على حياتها حتى إشعار آخر!
وقد تكون هناك حاجة لزراعة الرئة إذا لم تتحسن
لكن النتيجة بينت تهتك وتحلل في أنسجة الرئتين مما اضطرهم للبدء بأدوية مناعية قوية عن طريق الوريد وتم وضعها على جهاز التنفس للحفاظ على حياتها حتى إشعار آخر!
وقد تكون هناك حاجة لزراعة الرئة إذا لم تتحسن
بعد تكرار قصص مشابهة وربطها ببعض، كان العامل المشترك بينها هو #السجائر_الإلكترونية والڤيب ولذلك تم إصدار تحذيرات شديدة من هيئة الغذاء والدواء وقامت العديد من الولايات بوضع قوانين صارمة تجاه هذه المواد وخصوصاً لصغار السن منهم
جاري تحميل الاقتراحات...