سعود السعدون
سعود السعدون

@PTSAUD

9 تغريدة 12 قراءة Apr 23, 2020
السلام عليكم اسعد الله اوقاتكم بكل خير اليوم بنتكلم عن متلازمه مرضية نادره نوعا وهي الAmoniotic band syndrome وهي تحدث ماقبل الولاده داخل رحم الام ، بنتكلم عنها ونعرفها ونشوف دور التأهيل في مثل هذه الحالات
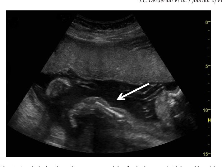
بنعرف المرض : هو عباره عن قطع جزئي او كلي يجي بالكيس من غلافه الداخلي !! اي كيس طيب ؟ الي يغطي الجنين داخل رحم الام حلو ! ، ويكون جدائل او زي السلك يلتف على بعض الاطراف ويقطعها ، سواء الاصابع او الاطراف كامله وغالبا ماشوفه بالاصابع طبعا الغلاف الخارجي مايكون فيه اي مشكله.
طبعا تختلف شدته من حاله الى اخرى بعضها يجي بتر باصابع القدم ، او اصابع اليد ، بعضها تكون الاصابع ملتصقه ببعض او مبعده وهذي تنحل جراحيا وله اكثر من جراحه ، صحح وممكن
!!انه يأثر ويسبب الشفه الارنبيه ومشاكل باللثه وتشوهات متعدده
ممكن يسبب تشوهات وامراض ثانيه مثل ال (clubbed foot) او ممكن يتسبب في بتر كامل للLimps ! ، وممكن بعد ان اللف يجي على الراس او الحبل السري ويؤدي لوفاة الجنين ??
طبعا بما اننا نهتم بالحاله الوظيفيه للطفل غالبا مايحتاج فقد الابهام لعمليه قد تكلمت عنها وبتكلم عنها بشكل سريع الي هي ال Pollicization او التبهيم، ياخذون اصبع سواء من القدمين او اليدين ويزرعونه مكان الابهام ولان الابهام مهم جدا بالقبضه و مسك الاشياء ف ضروري يعني اجراها
دورنا كعلاج طبيعي و تأهيل هو اننا نحافظ على العضلات من الضمور ونزيد المدى الحركي ونستخدم الجبائر splint ( العلاج الوظيفي) لتعديل او تقويم الاطراف المتضرره لان مرات ممكن مايجي قطع كامل للطرف ! وبعد اننا نخلي الطفل قادر على انه يكمل نشاطات الحياة بدون اي حد limtation !
وبعد العمليه دورنا بتقوية عضلات اليد و زيادة مرونة العضلات وتعليم الطفل كيفية القبض ومسك الاشياء كتعويد للاصبع الجديد يعني ونحتاج العلاج الوظيفي في هذي الاشياء المهمه
واذا كانت هذه المتلازمه بالقدم نبدا نعلم المريض كيفية المشي الصحيحه ('< اذا وصل للعمر المطلوب ، تقوية عضلات الاساسيه ، ممكن ندرب المريض على التوازن نستخدم الجبائر ، واشياء كثير جدا
واذا كان الطفل فقد طرف كامل مثلا اليد كامله او القدم كامله ممكن يتم تعوضيها باطراف صناعيه ، والاطراف الصناعيه لحالها عالم كبييير ، بعد تركيبها تحتاج لتدريب واهتمام ولها تعليمات كثير نشوفها بعدين .
اتمنى وصلت لكم صوره مبدئيه عن هذي الحاله النادره ?❤️

جاري تحميل الاقتراحات...