استخدام مصطلح ركبة صناعية إسلامية نوع من انواع الدعاية المضللة للأسف
هذا ثريد خفيف لتوضيح اللبس للمرضى وذويهم بصيغة مبسطة
لأن بعد مناقشتي مع المرضى في العيادة قالو لي يا دكتور يعني المفصل اللي تسويه إسلامي !!!
#تثقيف
#صوت_الطبيب
@6abeb_
هذا ثريد خفيف لتوضيح اللبس للمرضى وذويهم بصيغة مبسطة
لأن بعد مناقشتي مع المرضى في العيادة قالو لي يا دكتور يعني المفصل اللي تسويه إسلامي !!!
#تثقيف
#صوت_الطبيب
@6abeb_
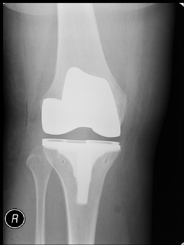
استخدام صفة او نوع معين في المفصل الصناعي hyperflexsion (مايسموه مفصل إسلامي) أي إعطاء مدى ثني أكثر لا يعني بالضرورة الجلوس والثني على الركبة كما في وضعية جلوس التشهد
#فضفضة_طبيب
#فضفضة_طبيب
فقاعدة اساسية لدينا في #جراحة المفاصل الصناعية..... مدى حركة المفصل تعتمد بشكل الكبير على وضعها قبل العملية
لكن هناك العديد من الطرق خلال العملية او التقنيات التي تساعد على زيادة مدى حركة المفصل بشرط الحفاظ على ثبات ودعم المفصل
#من_العيادة
لكن هناك العديد من الطرق خلال العملية او التقنيات التي تساعد على زيادة مدى حركة المفصل بشرط الحفاظ على ثبات ودعم المفصل
#من_العيادة
أيضا في بداية مراحل #الخشونة ننصح المريض بتجنب الجلوس والتربيع على الأرض، إضافة إلى استخدام الكرسي للصلاة
لتجنب تسارع عملية الاحتكاك والخشونة بسبب الضغط الكبير عليها
ففي المفاصل الصناعية ننصح المريض بالاستمرار بتجنب هذه الوضعيات ايضاً
لتجنب تسارع عملية الاحتكاك والخشونة بسبب الضغط الكبير عليها
ففي المفاصل الصناعية ننصح المريض بالاستمرار بتجنب هذه الوضعيات ايضاً
جاري تحميل الاقتراحات...