Emad Aljahdaly M.D|🇸🇦د عماد سليمان الجحدلي
Emad Aljahdaly M.D|🇸🇦د عماد سليمان الجحدلي

@ealjahdli

5 تغريدة 1 قراءة May 08, 2023
السلام عليكم. في هذا الثريد سأسلط الضوء على احدى الحالات التي زارتني قريبا في العيادة و هي لحميات المرارة.
بداية يجب ان نذكر بعض المعلومات المهمة عن المرارة. تقع بجوار الكبد في الناحية اليمنى من الجسم و تعد جزء من جهاز القنوات الصفراوية معني بتخزين الفائض من العصارة الصفراوية التي يصنعها الكبد و من ثم افرازها لاحقا لهضم الدهون. هذه العصارة غنية بالكوليسترول و المعادن مثل الكالسيوم.
تنقسم المرارة في علم التشريح الى عدة اجزاء و هي القمع (في الناحية المقابلة بعيدا عن قناة الاتصال بالأنابيب الصفراوية)، ثم الجسم يليه الرقبة و التي تتصل مباشرة بالقنوات الصفراوية عن طريق قناة صغيرة تعرف ب cystic duct. المرارة القدرة على الانقباض و التمدد بفضل وجود عضلات في جدارها.
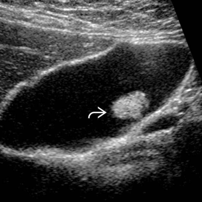
لحميات المرارة هي عبارة عن زوائد بارزة من جدار المرارة الداخلي و التي قد تنتج عن التهابات مزمنة او غيرها. تصيب فئة قليلة من المجتمع لا تتجاوز ال ٥٪ و الغالبية العظمى لا تتسبب في اي اعراض تذكر. يتم عادة اكتشافها بالصدفة لدى اجراء صونار الكبد و الكلى او المرارة.
في حال اكتشافها، تعتمد خطوات العلاج على كل مما يلي:
١. حجم الزائدة اللحمية (تزال جراحيًا للتي يتجاوز حجمها ١٠ ملم)
٢. وجود اعراض. ينصح بإزالتها حينئذ حتى و لو كانت اصغر من ١٠ ملم.
٣. الإصابة بمرض التهاب القنوات المرارة (primary sclerosing cholangitis)

جاري تحميل الاقتراحات...