ماجد بن محمد العنزي
ماجد بن محمد العنزي

@iSciencesi

8 تغريدة 17 قراءة Dec 11, 2019
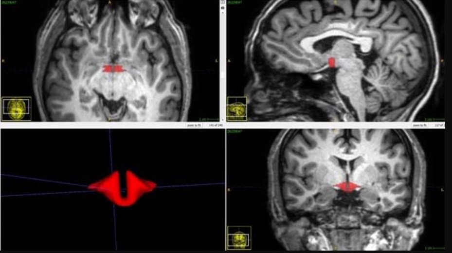
أظهرت نتائج ورقة علمية حديثة، لازالت قيد المراجعة، بأن حبوب منع الحمل قد تكون سببًا في انكماش منطقة ماتحت المهاد Hypothalamus في الدماغ بنسبة 6% مقارنًة مع اللاتي لم يتناولنَّها. هذه المنطقة مسؤولة عن تنظيم العديد من وظائف الجسم اللاإرادية مثل العواطف والنوم.
شاركت في التجربة 50 امرأة سليمة بلا أمراض، استخدمت 21 سيدة منهنّ حبوب منع حمل تحتوي على هرمونات الاستروجين Estrogen والبروجيستين Progestin الاصطناعية بانتظام. وتمّ تصوير أدمغتهم بأشعة الرنين المغناطيسي لدراسة أي تغييرات بين المجموعتين.
بدَت النتائج واضحة بعد التصوير؛ منطقة ما تحت المهاد أصغر بحوالي 6% في السيدات اللاتي تناولنَّ تلك الهرمونات. قد تبدو النسبة صغيرة جدًا، لكنها ليست كذلك في هذه المنطقة بالذات. لاسيما إن علِمنا أنها ضئيلة كحبة فاصولياء. نتيجة مهمة وبحاجة إلى تمحيص أكبر لمعرفة الأسباب.
وجاء في تفاصيلها أن هنالك 140 مليون امرأة حول العالم، وفقًا لتقارير صادرة من الأمم المتحدة، يتناولنّ حبوب منع الحمل بانتظام. لم يتمكّن العلماء من إيجاد تفسير شامل للنتائج التي توصّلوا إليها، وتظل أوليّة حتى تُثبت دراسات أشمل هذا الأمر.
هل حاولت أجسادهنّ أن تتأقلم على الحال بعد تناول تلك الهرمونات؟ الإجابة ليست واضحة حتى الآن. أجسادنا تعمل بطريقة مدهشة للغاية، ولانعلم هل استطاع الجسد أن يُقيم حالة «اتزان هرموني» بخفض نمو ما تحت المهاد لكي يمنع أي إفراز زائد عن الحاجة؟ لاأحد يعلم ذلك.
انكماش ما تحت المهاد لم يُؤثر على الوظائف الإدراكية، وفقًا للدراسة، لكن من المرجّح أن إصابة تلك المنطقة بأي مشكلة قد يقود صاحبها للاكتئاب والغضب الغير مبرّر.
قُدمّت هذه الدراسة في الاجتماع السنوي لجمعية متخصصة بطب الإشعاع في أميركا الشمالية Society of North America بيوم 4 ديسبمر 2019م . سيتم نشرها قريبًا في مجلة أكاديمية وسأقوم بتزويدكم برابطها حال صدورها.
الموقع الرسمي للجمعية لمطالعة آخر مستجداتها: rsna.org

جاري تحميل الاقتراحات...