Dr Deepak Krishnamurthy
Dr Deepak Krishnamurthy

@DrDeepakKrishn1

11 تغريدة 16 قراءة Dec 07, 2019
#cardiotwitter #RadialFirst 28 year old guy - smoker - played football and collapsed - brought to ER in shock - recurrent VT. This is more interesting than it looks.
Bad Friday night traffic .. the duty resident put the pt on transcutaneous pacing. Restless pt .. dopamine and noradrenaline started. Intubated !! Shocked 4 times by the time I reached. I was wondering why such a sick IWMI.
Pt was in sinus rhythm by the time I reached. On cath table. Tirofiban on flow. Loaded with Ticagrelor and aspirin and statin. BP 160 systolic. Gave me time to get radial access (sick primary and radial ? - it’s all a mindblock said a wiseman once?)
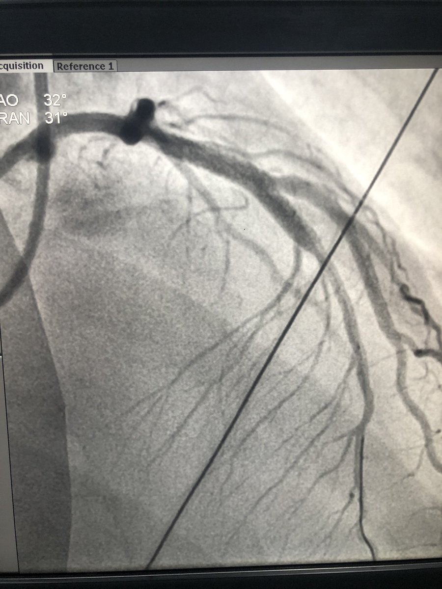
Can u beleive the pt is just 28! Ectatic bag of an RCA with thrombotic ugly lesion
Proximal LAD had an ulcerated lesion too with thrombus - explains why the pt got so sick. How many times do you see a pt getting VT and getting intubated for RCA occlusion ? I guess here it's the LAD causing all the mayhem.
Thrombus aspirated .. Stented RCA
Aspirated and Stented LAD too .. didn't want to take a chance on LAD in this sick pt. By end of Plasty I could taper Dopa to 5mcg and Noradrenaline 0.5mcg ..
Extubated today morning - stable pressures and output. EF 35-40% .. CXR looks good.
And most importantly - our ER team at Sakra World Hospital, Bangalore - and our CCU and cathlab team including the Anesthetist on duty - made sure that this pt made it safely. Defibrillated X 4 and intubated well in time.

جاري تحميل الاقتراحات...