امرأة حامل مصابة بالملاريا، تم عمل فيلم من دم لها و النتيجه سلبية وعند عمل فحص ال ICT كانت النتيجة ايجابية!!!!
لماذا؟!
@ProffessorAnas
@kokofaris_
@lab_phot
لماذا؟!
@ProffessorAnas
@kokofaris_
@lab_phot
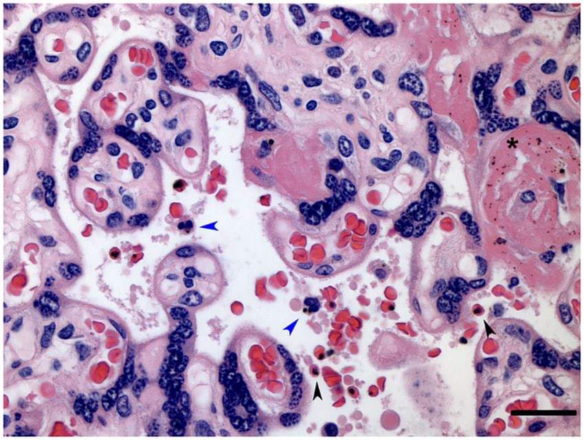
تقل المناعة لدى المرأة الحامل حتى لاتتم مهاجمة الجنين، ينتهز طفيل الملاريا وخاصة البلازموديام فالسبرم هذا الشيء فيقوم بالاختباء في المشيمة وهناك يكون قد ضمن أولا عدم مهاجمته من قبل الجهاز المناعي لأن المشيمة تعتبر أحد الأماكن المحصورة من المناعة وتسمى
Immune privileges sites
Immune privileges sites
و من هذه الاماكن المشيمة والعين والجهاز العصبي المركزي والرحم، ثانيا الدم الموجود في المشيمة غني بالمواد الغذائية التي يحتاجها البلازموديام،فيحصل مايسمى بي
placental Plasmodium falciparum malaria
لذلك يجب عمل ال ICT لان الانتيجينات تكون موجودة في الدم.
placental Plasmodium falciparum malaria
لذلك يجب عمل ال ICT لان الانتيجينات تكون موجودة في الدم.
@fm83fm @ProffessorAnas @kokofaris_ @lab_phot نتيجه سلبيه خاطئة لعدة اسباب:
Invalid tests
Hyperparasitemia
Low sensitivity
Low Ags expressions
Invalid tests
Hyperparasitemia
Low sensitivity
Low Ags expressions
جاري تحميل الاقتراحات...