كوثر فارس ¦ Kouther Faris
كوثر فارس ¦ Kouther Faris

@Koutherfaris

3 تغريدة 4 قراءة Mar 08, 2023
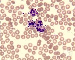
Neutrophils platelet satellitism
ظاهره تجمع الصفائح الدمويه حول خليه النيوتروفيل
وتحصل بشكل حصري عند جمع العينه في أنبوب يحتوي على ماده التجلط
EDTA
الآلية الكامنة وراء هذه الظاهره لازالت غير مفهومه بشكل كامل.
حتى الآن لا يوجد سوى ٤٤ حاله تم الابلاغ عنها مما يجعلها حاله نادره...
تفسير هذه الظاهره
هي رده الفعل المناعية الناتجة عن وجود أجسام مضادة طبيعية تدفع الصفائح الدموية على التجمع حول خليه النيوتروفيل والالتصاق بها
عند إجراء تحليل دم للمريض
CBC
قد تُظهر لنا النتيجة
انخفاض معدل الصفائح الدمويه في الدم
ولكن عند إجراء
Blood smear
لنفس العينه نجد الصفائح الدمويه متجمعه حول النيوتروفيل مماتسبب في قراءه خاطئة
بالتالي
False thrombocytopenia
😶

جاري تحميل الاقتراحات...