د. سمحان العجمي
د. سمحان العجمي

@DrSam7an

8 تغريدة 161 قراءة Nov 10, 2019
سأتحدث الليله عن استراتيجيه من المهم اتباعها اذا لم تستطع عمل بنج لضرس hot tooth.
بدايتنا مع ابره البنج IANB يجب الانتظار لحين حصول تخدير للشفاه السفليه بشكل جيد، اذا لم تتخدر ، اعدها مره اخرى حتى تحصل على تخدير الشفاه. تتراوح نسبه نجاحها بين ٤٤-٨١٪
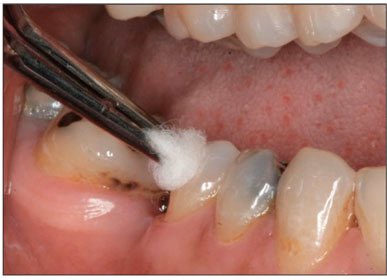
قبل البدء بالعلاج وحفر الضرس، مهم جدا التاكد من تخدر الضرس بشكل كامل، اسهل طريقه استخدام cold test with a cotton.
في حال فشل البنج واحس المريض بألم، ننتقل الى طرق اخرى تسمى supplementary injections.
واولها استخدام الارتيكين as buccal infiltration next to the tooth.
نسبه نجاحه مابين ٥٨-٩١٪
في حال فشل البنج مره اخرى، نستخدم intraligamentary ، مهم ان تكرر الابره على الاقل مرتين حتى تصل نسبه النجاح الى ٩٢-٩٦٪
في حال فشل البنج، ننتقل الى intraosseous injection وهذه تحتاج خبره ومن الادوات التي تسهلها هو باستخدام x-tip، نسبه نجاحها تصل الى ٩٨٪، مهم جدا عدم ضخ كميه كبيره من البنج وانصح الممارسين العامين تجنبها.
اذا فشلت جميع الطرق، الحل الوحيد هو ابره intrapulpal، افضل طريقه هو باستخدام new round bur size 2 للاستعجال وتقليل طول مده الحفر.
هذا ملخص صغير لكل الطرق الممكنه، شكرا لكم.

جاري تحميل الاقتراحات...