آمِنـَه بنت عبدالرحمـٰن الـصـبّــه 🇸🇦 A.Alsabbah
آمِنـَه بنت عبدالرحمـٰن الـصـبّــه 🇸🇦 A.Alsabbah

@AmnahAlsabbah

13 تغريدة 40 قراءة Sep 30, 2019
#أنوركسيا #Eatingdisorders
الفحوصات الجسمانية:معظمها مرتبط بسوء التغذية.
-النحافة الشديدة،جفاف الجلد،إنخفاض درجة حرارة الجسم،تسارع دقات القلب.
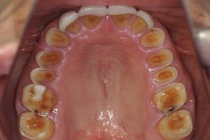
-مرضى النوع الثاني الذين يتقيئون باستمرا:تآكل طبقة المينا الداخلية للأسنان،تضخم الغدة النكافية،علامات بالأصابع Russell’s signs
كذلك لمرضى النوع الثاني، يحصل اضطراب ف الإلكتروليتات، الإستقياء والإسهال المتكرر يسبب انخفاض البوتاسيوم Hypokalemia, metabolic alkalosis.
كذلك تتأثر عضلة القلب بسبب نقص البوتاسيوم ولذا يجب عمل اختبار EEG/ECG.
١. مرضى #أنوركسيا عرضة للإصابة بالجفاف مما يؤثر ع الكلى، تغير لون البول للغامق، مشاكل بالقلب، تشنجات، تلف بالدماغ إذا لم يعالج وممكن الوفاة.
٢.مرضى الأنوركسيا يتناولون المياه بكميات كبيره للتضليل بزيادة الوزن خصوصاً المنومين مما يسبب Hyponatremia "نقص الصوديوم" خصوصاً لشخص بالأساس مصاب بسوء التغذية والجفاف. ومن مخاطر Huponatremia , إحتباس السوائل بالرئه، الدماغ، القيء، التشوش وممكن الوفاة إذا لم تعالج.
Enamel erosion نتيجة تأثير الحمض المعدي، مع الإستقياء. لذا لا بد من تعاون تخصص #صحة_الفم و#الأسنان.
نتيجة الإستيقياء المتعمد. Russells signs
Partoid gland enlargement تضخم الغده النكافية أيضاً نتيجة الإستقياء المتعمد والمتكرر.
كذلك إصفرار الجلد نتيجة زيادة الكاروتين "غير شائع" Hypercarotenaemia
وبر الأطفال أحد علامات سوء التغذية ومحاولة الجسم التكيف. Lanugo hair
صورة للفنانة Amy Winehouse وهي مصابة بال #أنوركسي ويظهر عليها وبر الأطفال.
من الأمراض العضوية المصاحبة للأنوركسيا خصوصاً النوع الثاني:"بسبب الإستقياء المتعمد والمتكرر"
إرتجاع المريء، تقرح المريءتقرح المعده، نزيف الجهاز الهضمي.
كذلك: إنخافض كتلة العضلات، إضطراب الأعصاب، الأديما" نتيجة إستخدام الملينات ومدرات البول".
فرط النشاط،التعب المزمن، يتبع
إنخفاض ضغط الدم، إنخفاض الصفائح الدموية، هشاشة العظام "مرتبطة بانقطاع الطمث ويجب فحص كتلة العظام كل ٦ أشهر بعد انقطاع الطمث وكل سنه بعد عودة الطمث لتأثير هرمون الإستروجين ع كثافتها، إنخفاض سكر الدم، حموضة الدم "خصوصاً النوع الثاي"، أنيميا نقص الحديد، نقص فيتامين د.
يتبع
الشعور بالإنتفاخ،إضطراب الهضم ووفريغ المعده من الطعام، قلة الكالسيوم وفيتامين د مع نقص الإستروجين هم المسبب لتأثر كثافة العظام.

جاري تحميل الاقتراحات...