ABDULAZIZ ??
ABDULAZIZ ??

@dr_Aziz94

10 تغريدة 305 قراءة Sep 24, 2019
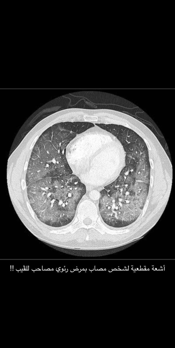
في هذا الثريد ان شاء الله ، بتكلم فيه عن الشيشة الإلكترونية أو الڤيب و بعض الدراسات الحديثة و الخطيرة عنه !!

جاري تحميل الاقتراحات...