35 تغريدة 13,922 قراءة Apr 09, 2020
ﺍﻟﺤﻤﺪﻟﻠﻪ ﻣﺎﺗﻨﺎﻫﻰ ﺩﺭﺏٌ ﻭﻻ ﺧﺘﻢ ﺟﻬﺪٌ ﻭﻻ ﺗﻢ ﺳﻌﻲٌ ﺇﻻ ﺑﻔﻀﻠﻪ، ﺍﻟﺤﻤﺪﻟﻠﻪ ﻋﻠﻰ ﺍﻟﺒﻠﻮﻍ ﺛﻢ ﺍﻟﺤﻤﺪﻟﻠﻪ ﻋﻠﻰ التمام، الحمدلله الذي بنعمه تتم الصالحات??? #CLS439
-ثريد اشارككم فيها ايامي بتخصصي الجميل?✨
" ١ سبتمبر ٢٠١٩ " ✨
اول يوم دراسة و اول يوم تحت اسم "متخصصة" اخيراً!?
واليوم لعبنا ال escape room ??
مرررة انبسطنا! ?? شكراً لكل اللي اشتغلوا عليه و تعبوا عليه ?
"٩ سبتمبر ٢٠١٩"
و اليوم بدينا الجد بكلاس الهيستولوجي بعد اسبوع مليان فعاليات ???
"١١ سبتمبر ٢٠١٩"
سوينا اليوم اول تجاربنا باللاب! البايوكمستري كان ممتع جداً ومليان الوان ونواتج غريبة ??
??✨?
احب ان كثير لابز توضع على بجانبها اوراق تثقيفية عن امراض مختلفة ، فيها معلومات مرة مهمة وشاملة! بكل مرة امر من لاب كذا لازم اوقف واقراهم الرسومات والالوان فيهم يجذبون مرة ??
صباحات جميلة ومليئة ايجابية???
استحلينا الطاولة كلها بس نستاهل لاننا احسن study group بالعالم???
احلى فعالياات! ????
يحتاج اعلمكم كيف دكتور الهستولوجي انبهرت برسماتي وعطتني نجمتين عليهم؟؟?
و اختبرنا اول ميد بالتخصص ! يارب بلغنا بأفضل الدرجات ??⭐️
"٩ اكتوبر ٢٠١٩"
اصغر و أجمل معرض ?? يا كثر المبدعات عندنا! صدق اندهشت بالرسمات واللوحات الجميلة جداً????
"١٠ اكتوبر ٢٠١٩"
و نرجع لكم بلاب البايوكمستري ? زي دائماً هذا اللاب مليان الوان وتفاعلات غريبة! استخدمنا ال chromatography عشان نتعرف على انواع ال Amino acids المجهولة ، النتيجة: لوحة ملونة ومدهشة ???✨
يحتاج ارجع احكي لكم عن قد ايش لاب البايو مبهر جداً بألوانه ونتائجه؟ ???
Level 4 ????
ونبدأ رحلتنا مع immunology lab ?
ومعكم العالمة تالة تتدرب على ال micro pipetting ?? و ما اخفيكم اني كنت متحمسة لفقرة رميهم بال wastes container بالزر اكثر من الpipetting نفسه??
اليوم واخيراً اشتغلنا على عينات دم حقيقية ! ?? كل يوم نحب hematology lab اكثر ?? ، طبعاً اليوم معظم شغلنا كان على تركيز ال hemoglobin و PCV of blood ??
و اليوم مرة ثانية مع immunology lab ?? اللى كله اكتشافات والوان ??✨، استخدمنا serum المريض وعرضناه ل antigens(bacteria) عشان نعرف اذا كان عنده antibodies ضدها واذا صارت النتيجة positive (agglutinate) = the patient has been exposed to the disease ?!
مثال على ال positive result , رقم ٢ و ٧ ✨
Welcome to microbiology lab ????? حيث كل تجاربنا تقربنا اكثر للعالم المجهري الخفي ?? ، اليوم صبغنا البكتيريا بـ MB stain و كانت اول تعاون لنا مع ال microorganisms دايركتلي? ، وهاذي التويت واللي بعدها بتشوفون خطوات الصبغ للسلايد ??✨
????? وكانت هاذي النتيجة!
و نرجع لاحد افضل لابات هذا السمستر?? ، سو تعلمنا كيف نسوي blood film و بعد الف تجربة ضبطت توزيع الدم بالطريقة الصح اخيراً ?
طبعاً شفنا السلايد تحت المجهر ?? النتيجة مببهررة !! هاذي خلايا الدم ??
- ليه خلايا الدم شفافية مو حمراء زي المعروف؟ لان للحين ما صبغناها???
ماصورت كثير لـ metabolism lab لأن حرفياً الوقت بهذا اللاب من ذهب ?? بس يمديكم تشوفون كيف الالوان النهائية حلوة??????
رجعنناا للهيماتولوجي لابب ???✨
وتوقعوا ايش سويناا!
فاينلي طبقنا الblood film وصبغناه ? عشان نشوف النتايج بشكل افضل ونشخص المريض بطريقة مؤكدة ودقيقة⭐️⭐️
طبعاً بعيداً على اننا عدنا ال blood smears مليون مرة واتوقع اخذ نص الوقت ? بس النتايج تحت المايكروسكوب تشفع لكل شيء?
و هاذي النتيجة النهائية لسلايد بعد الstaining ، و كيف شكلها تحت المايكروسكوب??
*نوت: الصورة الاخيرة من النت بس ابي اوريكم كيف راح يكون شكل الRBC بعد التكبير x100 ??
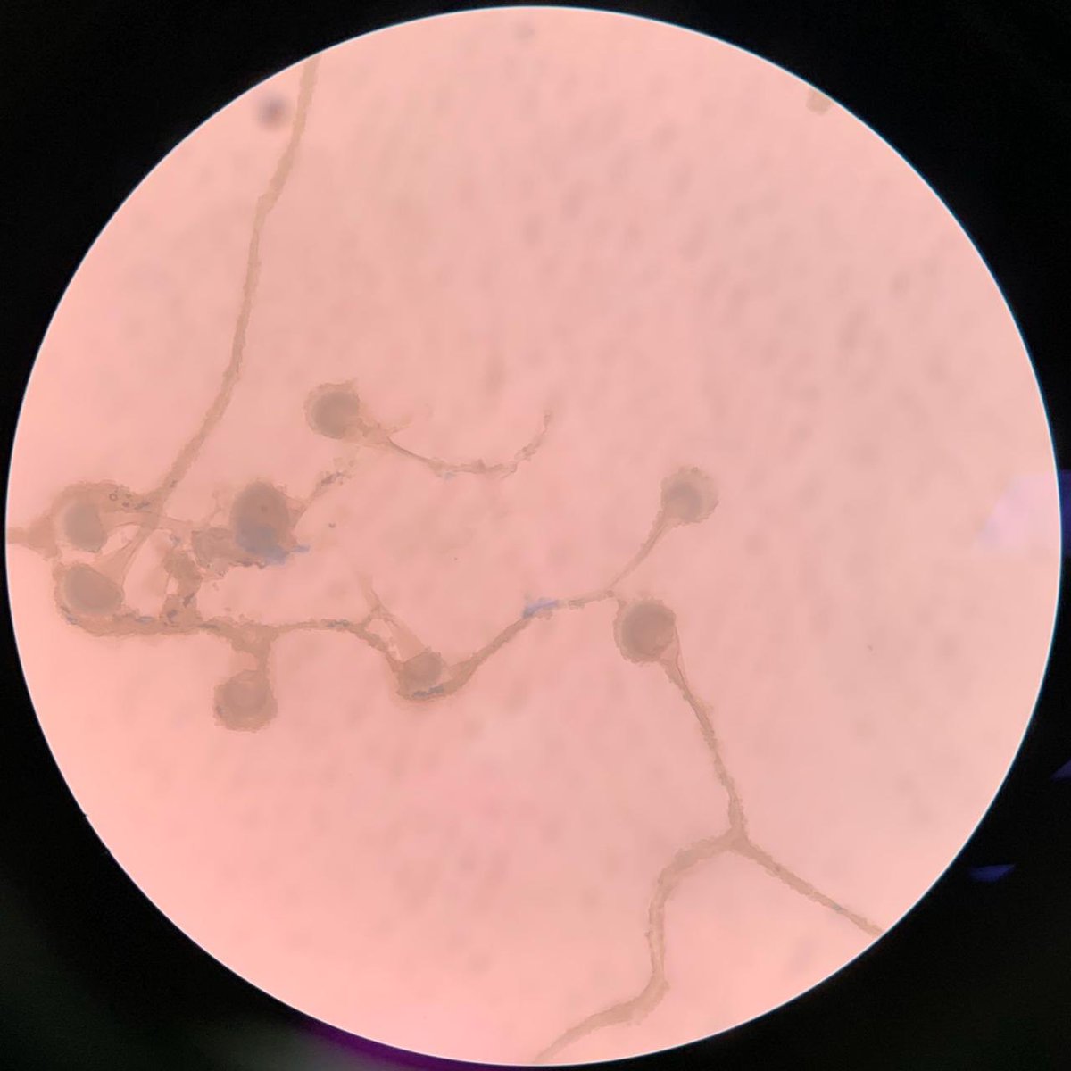
مايكرو لاب قاعد يكبر حبي له بكل مرة? اليوم سوينا صبغة للبكتيريا وكانت نتيجتها سلايدز كأنها النجوم والمجرات?⭐️✨ ، سو هذا شكل ال bacteria spores وشوفوا كيف تجمعوا عشان يكونونها ? ! و ما ننسى اثار الفن اللي حصل ??✨
وايضاً شفنا ال parasites (الطفيليات) و fungi (الفطريات) تحت المايكروسكوب ، و ما اقدر اصف لكم كيف كلنا كنا مندهشين من اللي شفناه ??? اشكال والوان مختلفة لكل species ??
لا ننسى نشكر ملكة التصوير والمنقذة دائماً فتون ????
*صور متأخرة لأكثر من تجربة?*
metabolism lab و الألون المذهلة ???
المايكرو لاب ما اتوقع بيوم بيقدر يوقفنا عن الاندهاش الشديد فيه??، و اخيراً سوينا culturing ?? واكثر شخص كان متحمس لهاذي الفقرة (انا)? ، طبعاً نزلتها متأخر لان كان فيني امل اننا نرجع بدري لدراسة و اوريكم النتائج? بس اتوقع مستعمرتي البكتيرية ماتت وهي تنتظرني ارجع اشوفها ...
من المفترض تكون النتيجة كذا ، طبعاً الagar / media بالصور مختلف عن اللي استخدمناه لكن ابيكم تشوفون شكل ال colonies "المستعمرات" كنتيجة لل culturing ، البكتيريا الظاهرة هنا هي E.coli .. ان شاء الله راح اقدر اصور لكم النتائج حقتنا اول ما نرجع بإذن الله??
Science is ART ??✨

جاري تحميل الاقتراحات...