أ.د عماد الشويمي
أ.د عماد الشويمي

@ealshwaimi

25 تغريدة 173 قراءة Jan 01, 2022
من منا لم يزر طبيب #الاسنان
فنجد الطبيب يطلب عمل أشعة ويحتاجها للتشخيص وتحديد المشكلة ومتابعة مراحل العلاج
🔸🔹🔹🔸
في هذا الثريد سأتكلم عن أكثر أنواع أشعة الاسنان استخداماً ومتى تستخدم
فإذا رحت الطبيب وطلب عمل اشعة مالها علاقة بمشكلتك ممكن تناقشه وتعلمه انك فاهم 😉
يجب ان نفهم كيفية اجراء الاشعة وذلك بإطلاق حزمة من الأشعة السينية التي تخترق الانسجة عند مستويات مختلفة لتستقر على الفيلم أو المستشعر الرقمي
حيث تظهر #الأسنان بلون فاتح لمقاومتها لاختراق الأشعة، وأي تجاويف أو تسوس في الأسنان سيظهر في الصور بلون اسود داكن بسبب انخفاض كثافةالمادة
في السابق كان يتم تحضير الفلم بعد تعرضه للاشعه بغمسه في مجموعة من المحاليل الكيميائية والتي تاخذ جهد ووقت وقد يتلف الفلم او لا تكون الصورة واضحة ونحتاج لإعادته
الان ومع تطور العلم أصبحت اغلب العيادات تستخدم التحميض الرقمي حيث تظهر الصورة على شاشة الكمبيوتر بعد التقاطها بلحظات.
النوع الاًول يسمى اشعة ماحول الذروة
Periapical (PA) والبعض يسميها الاشعة الصغيره
وتشمل من سن الى ثلاثة وتستخدم في:
-التعرف على وضع السن
-وشكل جذورها
- واذا كان حول السن أية مشاكل من خراج وخلافه
-التسوس ومدى انتشاره
-متابعة حالة علاج العصب ونجاحه والتئام الخراج
وكذلك يستخدم خلال زراعة الاسنان وللتأكد من وضع الزرعه بعد غرسها ومتابعة نجاحها
ومن استخداماتها التأكد من #الاسنان التي لم تبزغ وموقعها
او كسور في بعض الاسنان
وكذلك حالة الأنسجة حول السن وحالة العظم بشكل مبسط
وعندنا نقول الزراعه فاننا نقصد اثناء وضعها وبعده للتأكد من انها في الاتجاه الصحيح
وهذا النوع (PA) يستخدم بكثرة في علاج العصب، حيث يحتاج الطبيب الى اخذ اشعة قبل البدء للتشخيص ويتبعها عدة أشعات للتأكد من سير عملية العلاج والأهم ان ياخذ أشعة في نهاية العلاج للتأكد من جودة العلاج
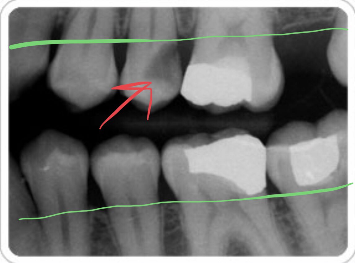
اما النوع الثاني فيسمى اشعة العضة المجنحة Bite wing ويطلب من المريض العض على اسنانه خلالها وتغطي سنين او ثلاثه من #الاسنان الخلفيه (أضراس والضواحك) وهي ادق من اشعة PA السابقة لان طريقة اخذها تحتمل انحراف اقل ودقة اعلى
وهي شبيهة بالنوع الاول (الاشعة الصغيره) لكن تستخدم في التالي:
-إيضاح التسوس بين الاسنان
-علاقة وبعد التسوس عن عظم السن
-مستوى العظم بين وخلال السن لذلك تخدم أخصائي اللثة كثيرا
نلاحظ في الصورة انها أوضحت علاقة التسوس (احمر ) بمستوى العظم (اخضر)
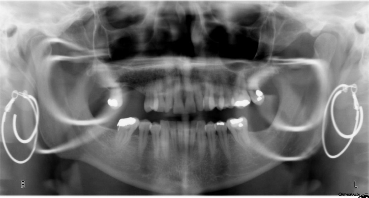
النوع الثالث:وهوالاشعة البانورامية وتسمى أيضا Orthopantomogram (OPG)
وهي الاشعة التي تدور حول رأس المريض لتعطي صورة شاملة للاسنان والأنسجةالمحيطةوالجيوب الأنفية ومفصل الفك والفكين واستخداماتها منها:
-نظرة شاملةلحالة الفم ليتسنى عمل خطه علاجيه وعند الحاجه يستعان بالأشعة الصغيره
وتستخدم:
-لتقييم وضع ضرس العقل المدفون وعلاقته بالأنسجة الحيوية الاخرى مثل عصب الفم
- لتقييم حالة العظم والأنسجة المحيطة لوضع زرعة سنية
-تشخيص الأمراض والالتهابات التي تصيب الفكين
-كسور الفك
-تشخيص قبل وخلال وبعد تقويم الاسنان بالاضافة الى اشعة اخرى
-مشاكل مفصل الفك
وأشعة البانوراما 👇 تطورت اجهزتها مع مرور الزمن لكن مازالت لاتعادل الاشعة الصغيره PA لذلك لا تستخدم بشكل روتيني ويومي وإنما للحاجه كما ذكرنا سابقاً
فهي لاتستخدم مع علاج العصب او تحديد التسوس بين #الاسنان
وقد تستخدم قبل وبعد (وخلال ان دعت الحاجه) التقويم
اما النوع الرابع وهو الأكثر حداثة بينهم ويسمى (Cone Beam CT (CBCT أو اشعة #الاسنان المقطعيه ثلاثية الأبعاد وتتميز بأننا نستطيع رؤية الانسجة بشكل ثلاثي الأبعاد وبدقة جيده مقارنة بالأنواع السابقة
وميزتها اننا نستطيع رؤيةوربط علاقة الانسجة ببعضها بشكل اقرب للواقع
واستخداماتها كثيرة:
-للتحضير قبل اي نوع من الجراحات (للسن او للزراعه الخ)
- في حال وجود خراج كبير
-للوصول لسبب الالم في حال لم تكن الاشعة الاخرى واضحة
-الكسور
-معرفة المكان الدقيق للأعضاء الحيوية مثلا عصب الفك
وهذا النوع يعتبر الأكثر تعريضاً للأشعة بين الأنواع الثلاثة ويعتمد على الوضوح المطلوب فالوضوح سيزيدمن كمية الاشعة،
ويجب ذكر ان تطور الأجهزة كبير فقد قلت كمية الاشعة عن اول جهاز تم اختراعه
ولاتستخدم بشكل يومي وإنما للحاجة
ومن عيوبها انها غير متوفرة في كثير من المراكز وتعتبر مكلفة
بهذا نكون لخصنا اكثر الاشعة استخداماً في عيادة #الاسنان ولماذا نستخدمها،
اما الإجابة على سؤال ضرر الاشعة او كم عدد الاشعة التي ممكن اخذها بالسنة او بالشهر وتأثير الاشعة على الغدة الدرقية فقد أجبت عليها سابقاً وسأسردها ثانيه 👇👇
لانستطيع ان نقول للمريض انك محدود بعدد معين من الأشعات ويجب ان لاتزيد عنه خلال هذا الشهر مثلاً،
ولا يوجد دليل علمي يستدل به للتوصية بعدد معين.
الاشعة ضروره وليست رفاهية او كماليات واذا كانت الضروره موجوده فيجب عملها
وقد قامت كثير من الدراسات والكتب بمقارنة مايتعرض له المريض عند اخذ اشعة #الاسنان ومقارنة ذلك بمايتعرض له بشكل يومي من اشعة (في الخلفية)
مثلا:
٢٠ اشعة صغيرة (PA)= الاشعة الخلفية التي يتعرض لها المريض في يومين فقط من حياته الروتينية
ومثال اخر،
الاشعة البانورامية = ١-٣ ايام من الاشعة في الخلفية
والأشعة المقطعية= ٥-١٠١ يوم حسب نوع الجهاز
وقد اختلفت الدراسات بخصوص فائدة استخدام واقي الرصاص الصدري
🛑🛑 ولكن أوضحت الدراسات أهمية واقي الرقبة لحماية الغدة الدرقية خلال عمل الاشعة ونجده في الصورة أسفله
طبعا بعض العيادات يعمل بالرأي انه لافائدة من استخدام عازل الرصاص الصدري لكن ننصح باستخدام حامي الرقبة خصوصاً مع النوعين الاول والثاني
ولايستخدم حامي الرقبة للاسف مع النوعين الثالث (البانورامية) والرابع (المقطعية ثلاثية الأبعاد) حيث أن له تأثير في جودة الاشعة وقد يسبب حجب للاشعه
وعند عمل اشعة البانوراما اوالأشعة المقطعية ثلاثية الأبعاد يجب اتباع التعليمات بشكل دقيق من حيث عدم الحركة واتجاه الرأس
وان لايكون هناك عائق او وجود جسم غريب "كحلق الإذن" قد يؤدي الى التسبب بتشويه الصوره والتسبب بإعادة الأشعة مرة اخرى
ولتقليل مرات أخذ الاشعة الصغيرة(PA) والمجنحة (bite wing) والتأكد من جودة الاشعة
يفضّل استخدام حامل او موجه الاشعة حيث انه يضمن للممارس الصحي وجود الفلم او الحساس في المكان الصحيح وزاوية الاشعة صحيحة
كل ماتريد معرفته عن أشعة #الاسنان في هذا الثريد👆👆
مهم تعرف المعلومات هذي قبل تزور طبيب #الاسنان 👆👆
فضلا ثقف نفسك ووفر "قرشك" وناقش طبيبك قبل اخذ الاشعه

جاري تحميل الاقتراحات...