OMAR N. ALESSA عمر العيسى
OMAR N. ALESSA عمر العيسى

@DrOmarNaje

19 تغريدة 12 قراءة Feb 03, 2020
أعود مجدداً لأتحدث في تسلسل هذه التغريدة عن موضوع هشاشة العظام كما قمتم بإختياره في تصويتكم السابق،يطلق هذا اللفظ على حالة العظم عندما تكون هشة وضعيفة حيث أن أي سقوط أو حركة قوية يمكن أن تكسر العظم حيث أن غالب الكسور يمكن أن تكون في العمود الفقري أو الورك أو عند مفصل الرسغ(اليد).
تكون هشاشة العظام عند حدوث خلل، فالعظم الجديد المتكون لا يعادل العظم القديم المتحلل،فالعظم هو نسيج حي يتحلل ويتجدد تلقائياً فعند حدوث خلل في هذه العمليه تحدث هشاشة العظام فيكون العظم هش وخفيف سهل الكسر.
أكثر حالات كسور الهشاشة تكون في العمود الفقري يليها عظمة الورك وأخيرا في مفصل الرسغ.
تكثر الهشاشة في الإناث عن الذكور.
وخصوصاً النساء الأكبر سنا بعد انقطاع الطمث.
لا تظهر عادة الأعراض في بداية فقدان العظم وإنما تحدث عند زيادة هذا الفقدان إلى مرحلة الهشاشة حيث أن الأعراض قد تكون :
١-ألم الظهر (نتيجة كسر في الفقرات أو انهيارها)
٢-قصر في القامة وانحناء الوقفة.
٣-حدوث كسر في العظم مع أبسط الإصابات أو مع أي حركة قوية.
في السن المبكرة يكون بناء العظم أكبر من فقدانه مما يجعل الكتلة العظمية المكتسبة تزداد حتى تصل إلى أقصاها في العقد الثاني من العمر تقريبا ثم تنخفض تدريجا مع العمر فكلما كانت كتلتنا العظمية المكتسبة في مرحلة الشباب أكبر كلما قلت إحتمالية حدوث الهشاشة مع تقدم العمر.
عوامل تزيد من إحتمالية الهشاشة: (هذي عوامل ثابتة لا يمكن التحكم بها)
١-النساء أكثر من الرجال
٢-تقدم العمر
٣-بيض البشرة والأصول الآسيوية
٤-الوراثة أو كسر الورك لأحد الوالدين
٥-هيكل الجسم الصغير(فالكتلة العظمية المكتسبة أقل)
عوامل تزيد من إحتمالية الهشاشة:(عوامل هرمونية)
١-نقص في الهرمونات(الجنسية) وخصوصا الإستروجين في المرأة بعد إنقطاع الطمث.
٢-زيادة هرمون الغدة الدرقية أو جرعة زائدة لعلاج كسل الغدة الدرقية.
٣-زيادة نشاط الغدة الكظرية.
عوامل تزيد من إحتمالية الهشاشة(عوامل غذائية):
١-نقص الكالسيوم في الغذاء.
٢-اضطرابات الأكل والنقص الحاد في الوزن.
٣-جراحة الجهاز الهضمي لإنقاص الوزن وتأثيرها على امتصاص العناصر الغذائية والكالسيوم.
عوامل تزيد من إحتمالية الهشاشة:
١-تناول الكورتيزون(أدوية).
٢-مرضى السرطان.
٣-الذئبة والرماتيزم.
٤-مرض كلوي أو كبدي
وغيرها
عوامل تزيد من إحتمالية الهشاشة:
١-قلة الحركة والخمول وعدم ممارسة الرياضة.
٢-تناول الكحول.
٣-التدخين
مضاعفات الهشاشة:
تعتبر كسور العمود الفقري أو الورك الناتجة عن هشاشة العظام من أكبر وأشد المضاعفات التي قد تؤدي إلى إعاقات أو خطر الوفاة لا قدر الله خصوصا في العام الأول من الإصابة كما أثبتت بعض الأبحاث.
بإختصار نقول الوقاية خير من العلاج:فنعمل الآتي
١-تناول البروتينات حيث أنها وحدة بناء أساسية للعظم.
٢-ممارسة التمارين وخصوصا التقوية والأوزان والتوازن.
٣-تناول أغذية غنية بالكالسيوم وڤيتامين د كما أن أشعة الشمس أفضل مصدر لڤيتامين د.
٤-الوزن المثالي وعدم إنقاص الوزن بشكل حاد.
-أثبتت الدراسات أن وجود كسر بسبب الهشاشة هو أقوى دليل لإحتمال وقوع كسر آخر مع أدنى إصابة أو حركة خفيفة.
-يكون غالبا مستوى ڤيتامين د منخفض عندالمرضى الذين يتعرضون إلى كسور مع أدنى إصابة أو حركة.
بعد معرفة مشاكل ومضاعفات العظام أحب أن أبشركم أن هناك فحص لقياس كثافة العظام-dexa scan والذي بدوره يمكن أن يكشف حالة وكثافة العظام قبل حدوث أي مشكلة وكذلك متابعة فترة العلاج وهذا الفحص يعتبر الأدق والأقل عرضة للإشعاع ويتم عمله لفقرات الظهر L2-L4(الفقرةالقطنية ٢-٤) وكذلك الوركين.
الوقاية بإختصار الحصول على كمية كافية من الكالسيوم وڤيتامين د وممارسة الرياضة والتمارين.
في حال حصول الهشاشة فإن العلاج(الأدوية)تحد وتبطيء وتعالج الهشاشة.
العلاج:البيسفوسفونيت bisphosphonates وهي متنوعة حيث يمكن أخذها على شكل حبوب يومية،أسبوعية،شهرية أو على شكل حقنة سنوية أو كل بضعة أشهر.
قد يسبب الدواء الفموي تهيج للمريء والمعدة وحموضة.
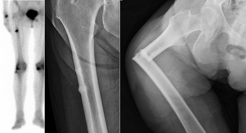
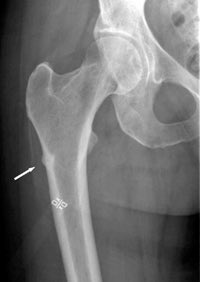
مضاعفاته:قد يسبب تنخر العظم في الفك أو حدوث كسر غير عادي في أعلى عظمة الفخذ.
من الأدوية أيضا بروليا(دينوسوماب) وهي إبرة تعطى كل ستة أشهر تعمل على إبطاء عملية تكسر العظم وانهياره وتعطى لكبار السن الذين تزيد لديهم الخطورة ولا يستطيعون أخذ حبوب البيسفوسفونيت.
هناك أيضا علاجات هرمونية أخرى للهشاشة.
الخلاصة:ينبغي أخذ أدوية الهشاشه في حال وجودها والمضاعفات التي ذكرتها نادرة والفائدة تفوق تركها.في حال حدوث كسر غير عادي في عظمة الفخذ يلجأ الجراح إلى إيقاف البييفوسوفيت فورا وسيقوم بتثبيت عظمة الفخذ سواءا كان الكسر كامل أو جزئي.
لا ننسى الوقاية بالكالسيوم وڤيتامين د والتمارين.

جاري تحميل الاقتراحات...