🌿| د. مي المحارب
🌿| د. مي المحارب

@maymuhareb

26 تغريدة 160 قراءة Sep 14, 2019
ثريد للعناية باسنان الأطفال من الولادة إلى الأسنان الدائمة?????????
من الولادة وإلى عمر ٤-٦ اشهر والتي يبدأ خلالها بزوغ أول سنين أماميين سفليين. العناية تكون فقط بمسح الفم واللثة بعد كل رضعة من بقايا الحليب بقطعة قماش مبللة بماء دافئ. مهم جدًا عدم ترك الحليب ولا الرضعة في الفم طوال الوقت.
يولد الأطفال بالأسنان داخل اللثة تحتاج الوقت للبزوغ، عند عمر ٤-٦ اشهر. اعراض بزوغ الاسنان قلة النوم، عدم الارتياح، البكاء، الألم وانتفاخ اللثة
الحرارة والاسهال وحبوب الجلد ليست من اعراض بزوغ الاسنان وتوجب زيارة لطب الأطفال لا عيادة الأسنان❌
هنا جدول ترتيب بزوغ الأسنان مجموعها ٢٠
تدليك لثة الرضيع او استخدام العضاضة بعد تبريدها او قطعة قماش مبلل تخفف الألم
-
تجنبوا استخدام جل البنج المهدئ
-
في هذا العمر يضعون كل شيء في الفم: يتطلب انتباه شديد من الأهل منعًا للتلوث وعند وقوع العضاضة يجب غسلها جيدًا
منذ بزوغ أول سن وحتى عمر ٣ سنوات يجب استخدام معجون اسنان بالفلورايد كمية لا تتعدى ١٠٠٠ ppm تركيبة الأطفال
مسحة على الفرشاة بحجم حبة الأرز وتغسل بعدها مباشرة مع تجنب البلع
-
الأسهل للرضع وأسنان قليلة هو فرشاة الأصبع، متوفرة باغلب الصيدليات
مع التعويد على الفرشاة تدريجيًا
ليه فرشاة الاصبع؟ لأنها ناعمة على اللثة واغلب الفم بيكون فقط لثة مع وجود سنين او ٤ مثلًا
-
أول فرشاة اسنان يفترض تكون بيد كبيرة ورأس صغير وشعيرات ناعمة
-
(ماعليكم من الاعمار اللي يحطونها على العلبة مثلا كولجيت كاتبين من ٠ الى سنتين وهذا غلط من ٣-٦ سنوات مفروض)
أول زيارة لعيادة الأسنان تكون قبل عمر سنة وتكون الزيارة الأولى لطبيب/ة اسنان الأطفال لفحص الفم والأنسجة وبزوغ الأسنان وعددها وتكون أول زيارة خفيفة على الطفل وغير مؤلمة ولا تصنع تجربة مخيفة تؤدي لفوبيا مستقبلية كما يحصل كثيرًا
-
الزيارات القادمة تكون مع عيادة صحة الفم والأسنان
أهلًا بكم بعيادة صحة الفم والأسنان، هنا عالمي. ماذا نقدم للأطفال في مواعيدهم الدورية كل ٦-١٢ شهر ومدى الحياة
-
خلال كل موعد فحص انسجة الفم كاملة ومراقبة بزوغ الأسنان الدائمة وسقوط اللبنية وتأخرها وتزاحمها. وجود أي تسوسات، التهابات لثة، آلام أو حساسية، تصبغات/جير وبلاك
تتم إزالة الجير والبلاك وعلاج التهابات اللثة وحساسية الاسنان عند وجودها
علاج بداية التسوسات بتطبيق الفلورايد الموضعي وتحويل الحالة لطب اسنان الأطفال عند الحاجة لوضع الحشوات
تطبيق الحشوات الوقائية على شقوق الأضراس العميقة لحمايتها من التسوسات
وشرح طرق العناية للطفل والوالدين
من المهم جدًا الحرص على مواعيد صحة الفم والأسنان وعدم إهمالها، الأسنان خلقت لتعيش معنا مدى الحياة ويمكن المحافظة عليها وتبدأ منذ الصغر بطرق بسيطة بمواعيد وقائية متوفرة. وتخصص صحة الفم موجه لهذا الغرض. نسب التسوس في السعودية عالية جدًا ومن الأهداف خفض هذه النسبة وتبدأ من الأطفال.
متى نبدأ باستخدام خيط الأسنان للأطفال؟ عند اغلاق أول مساحة بين أول سنين
-
كيف نعرف؟
-
خلال الزيارة الدورية للعيادة
-
ماهي أهمية الخيط السني؟
-
إزالة البلاك (البكتيريا والطعام) مابين الأسنان حيث تعجز الفرشاة عن إزالتها وبذلك تبدأ التسوسات بين الأسنان والتهابات اللثة
خلال عمر ٣-٦ سنوات استخدام خيط الأسنان وفرشاة الأسنان تكون بمساعدة الوالدين واشرافهم أو من ينوب عنهما.
لذا مهم سماعهم للشرح ومعرفتهم للتفاصيل
-
استخدام الخيط مبدئيًا للطفل يكون باستخدام مساعدات مثل حامل الخيط floss holder
بعدين نعودهم على الخيط العادي
كمية المعجون تزيد بعد عمر ٣ سنوات بدل ماتكون مسحة مثل حبة الأرز تصير حبة البازلاء نفس الكبار. لكن المعجون لازال نفسه معجون الأطفال بكمية فلورايد اطفال
مع تجنب البلع في كل الأوقات❌
متى نغير المعجون إلى معجون اسنان الكبار؟
عند سقوط الاسنان اللبنية جميعها وبزوغ الاسنان الدائمة✨
يحدث ذلك عند عمر ٦-٧ سنوات
-
جدول بزوغ الاسنان الدائمة
-
الاختلاف طبيعي. والمراجعة الدورية مهمة للاطمئنان ان كل شيء يسير على مايرام ولا توجد اسنان مدفونة او مفقودة او زائدة.
الأطفال الخدّج والمواليد بأوزان قليلة، عرضه اكثر لتأخر بزوغ الأسنان وعيوب وضعف الأسنان مما يجعلهم عرضه أيضًا لتسوسات الأسنان. الحل؟ عناية عناية عناية، ومواعيد دورية وتغذية جيدة.
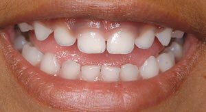
منظر الفم الطبيعي للأطفال:
اسنان بيضاء باطراف شفافة
بفراغات، الفراغات مطلوبة لتترك مجالًا للاسنان الدائمة الاكبر حجمًا بالبزوغ
لثة وردية متماسكة
منظر الاسنان الغير سليمة:
الصورتين الأولى سليمة للمقارنة
البقع البيضاء تحتاج جلسات فلورايد وعناية ومتابعة فقط
البنية والنخر تحتاج موعد مع طب اسنان الأطفال ويوجد خطر للالتهاب وخراجات الاسنان
-
عوامل الخطورة: ترك الرضعة طوال الوقت، سكريات بكثرة، اهمال العناية، تاريخ تسوسات بالعائلة
عادة مص الاصبع واستمرارها والمصاصة pacifier. الاطفال اذكياء جدًا واسوأ تصرف هو غمسها بمحلي كالعسل الطفل سيبحث عنه ولن يتركه. يجب ترك العادة عند عمر ٤ سنوات. ومن مضارها دفع الاسنان الأمامية وإعاقة نمو الأسنان بشكل طبيعي
يبدأ استخدام المصاصة عند عمر شهر ولا يجب أن يكون لاستبدال رضعة??
-
اضرار المصاصة تزداد بعد سنتين
والاضرار منها الى ٤٠٪ تكوّن فطريات
التهابات الأذن الوسطى، مشاكل الجهاز الهضمي والتنفسي، التهابات الفم.
-
يجب تنظيفها بشكل مستمر
-
إيقافها يتم بالتدريج لا بشكل مفاجيء
توجد طريقة ظريفة لإيقافها وهي عدة مصاصات كل يوم بجزء اقصر حتى تختفي? لو احد جربها اكتبولنا تجربتكم.
-
ومن طرق إيقافها التقليدية وضع مواد بطعم غير مقبول أو تلهية الطفل بشيء آخر أو التدليك أو هز الطفل اثناء حملة، الألعاب والموسيقى، والكثير الكثير من الصبر✨
هل كل نقط سوداء تعني تسوس؟
لا.
بالصورة هذه حالة تدعى chromogenic bacteria وهي متكررة. وسببها تفاعل بين كبريتيد الهيدروجين المنتج من البكتيريا والحديد في اللعاب أو سوائل اللثة. تناول الغذاء عالي الحديد يزيد منها حسب بعض الدراسات.
يعالج بمواعيد تنظيف الأسنان الدورية
مهم عدم اهمالها في حال معرفة انها ليست تسوس، مظهر الاسنان مهم للأطفال ويساعدهم بالثقة بالنفس خصوصًا عند مرحلة الدخول للمدرسة. لو وجد كسر أمامي أو تصبغ اسالوهم لو كان هذا يزعجهم ويريدون تعديله لكن بطريقة لا تشعرهم ان ابتسامتهم بها عيب، بل مثلًا: ماذا حصل؟ من اكل سنك؟ سؤال مفتوح??
متى تكون أول زيارة لتقويم الاسنان؟
عند سن ١٣ سنة تقريبًا بعد ظهور الأسنان الدائمة✨
-
متى نغير زيارة طبيب/ة اسنان الأسنان إلى الكبار؟
عند سن ١٣ سنة تقريبًا بعد ظهور الأسنان الدائمة✨
-
متى العمر المناسب للأطفال لعمل تبييض الأسنان؟
ولا سنة، الأفضل من فوق ١٦-١٨ سنة.
ذوي الاحتياجات الخاصة من الاطفال تستخدم لهم فرش اسنان خاصة بحامل مساعد ويفضل صنع الحامل منزليًا ليكون حسب الحاجة تمامًا كلصق الفرشاة بكرة صغيرة
-
الفرشاة الكهربائية حل آخر مناسب عند القدرة المالية
-
والزيارات الدورية تكون على فترات اقرب عند وجود صعوبة مثل كل ٢-٣ اشهر
يوجد أهالي يتجنبون زيارة العيادة للصعوبة من نقل الكرسي مثلًا أو بكاء الطفل أو خوفًا عليه. وهذا غير محمود فمن مصلحته الكشف والعناية والتعليمات، أما الكرسي فيمكننا الفحص والعلاج دون النقل من الكرسي. لا تقلقوا من دمجهم بالحياة دعوهم ينطلقوا الحماية الشديدة تفصلهم وتعزلهم?
لجميع الأطفال:
عند اللعب سواء كرة قدم أو سلة أو أي لعب يتوقع معه سقوط يجب لبس واقي الفم يتوفر بالصيدليات باحجام مختلفة لكل عمر وألوان عديدة للحماية من جروح الفم والتقرحات وسقوط الاسنان والكسور

جاري تحميل الاقتراحات...