السموم والعلوم الجنائية
السموم والعلوم الجنائية

@ForensicToxi

5 تغريدة Apr 06, 2023
Surma او مايسمى بكحل الآثمد هي مستحضرات تجميل تقليدية للعيون تستخدم على نطاق واسع في الهند وباكستان وبلدان أخرى في آسيا والشرق الأوسط وأفريقيا #سموم
🔰لها العديد من الأسماء الأخرى ، مثل kajal ، الكحل الحجري ، Tiro
🚫شاع غرض استخدامه لحماية العينين والرؤية وتعزيز صحة العين وجعل العيون تبدو كبيرة وجذابة. #سموم
يأتي على شكل مسحوق أو صخرة صلبة .
🔰في أفغانستان تم الإبلاغ عن surma كمصدر للتسمم بالرصاص في الأطفال .كان متوسط مستوى #الرصاص في الدم ≥ 10 ميكروغرام
🔰 في مراكز الأمراض السيطرة والوقاية (CDC)نشرت تقرير اسبوعي عن حالة من التسمم بالرصاص في ماساتشوستس ، الولايات المتحدة ، المرتبطة باستخدام الكحل ومستحضرات التجميل العين التي تم الحصول عليها من نيجيريا.
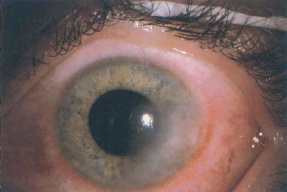
🔰 لا يؤدي فقط لالتهابات العين بل قد يسبب إعتام القرنية والتهاب شبكية العين وغيرها من أمراض العيون ولا يقتصر أضراره على العين فقط بل ان #المعادن_السامه قد تنتقل وتترسب في الكلى والكبد والدم والأعصاب.
لمزيد من المعلومات :
ورقة علمية تم نشرها مؤخراً عن نسبة الرصاص في الكحل الأفغاني surma المتواجد في الأسواق .
docdroid.net

جاري تحميل الاقتراحات...