ألجزء الأخير من اعراض #النامية( #لحمية_الاطفال )
يتركز حول الأذن الوسطى وذلك بسبب خلل في وظيفة قناة استاكيوس بحيث يعاني المريض من وجود سوائل خلف الطبلة أو التهابات حادة متكررة في الأذن الوسطى.
قد يلاحظ الأهل نقص بسيط في السمع .
يتركز حول الأذن الوسطى وذلك بسبب خلل في وظيفة قناة استاكيوس بحيث يعاني المريض من وجود سوائل خلف الطبلة أو التهابات حادة متكررة في الأذن الوسطى.
قد يلاحظ الأهل نقص بسيط في السمع .
تشخيص #لحمية_الاطفال ( #النامية )
بعد أخذ القصة المرضية من أحد الوالدين يقوم الطبيب عادة بفحص الأذن لتأكد من عدم وجود سوائل خلف الطبلة ثم فحص الأنف لتأكد من عدم وجود سبب اخر لإقفال الأنف ثم يتم فحص الحلق لمعرفة حجم اللوزتين.
بعد أخذ القصة المرضية من أحد الوالدين يقوم الطبيب عادة بفحص الأذن لتأكد من عدم وجود سوائل خلف الطبلة ثم فحص الأنف لتأكد من عدم وجود سبب اخر لإقفال الأنف ثم يتم فحص الحلق لمعرفة حجم اللوزتين.
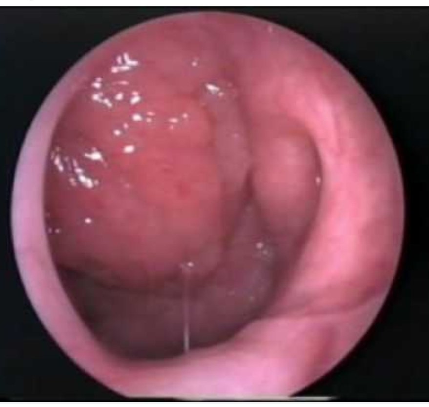
بسبب وجود #لحمية_الاطفال في مكان غير واضح بالعين المجردة يحتاج الطبيب
إلى وسيلة مساعدة حتى يتم التشخيص ومعرفة حجم النامية وهي أما المنظار الضوئي أو الاشعة السينية.
إلى وسيلة مساعدة حتى يتم التشخيص ومعرفة حجم النامية وهي أما المنظار الضوئي أو الاشعة السينية.
يتم إزالة #لحمية_الأطفال #النامية عند وجود أعراض واضحة فقط
ويتم ذلك في الغالب عن طريق الفم إما عن طريق الإزالة الجراحية بمساعدة أدوات خاصة أو عن طريق جهاز الكوي والشفط.
وهي عملية بسيطة ويغادر الطفل المستشفى في نفس اليوم.
ويتم ذلك في الغالب عن طريق الفم إما عن طريق الإزالة الجراحية بمساعدة أدوات خاصة أو عن طريق جهاز الكوي والشفط.
وهي عملية بسيطة ويغادر الطفل المستشفى في نفس اليوم.
جاري تحميل الاقتراحات...