غيداء طلال بصفر🇸🇦
غيداء طلال بصفر🇸🇦

@ghayda_basfar

39 تغريدة 4,074 قراءة Nov 23, 2019
ملخص
Histopathology and Cytology
(راح يكون عن الشغل داخل المختبر والخطوات منذ استلام العينة حتى تسليم النتيجة)👩🏻‍🔬🔬
Histopathology and cytology
١-استلام العينة راح نستلمهم ونتاكد من انو معلومات المريض والعينة الموجودة على العلبة حقت العينة نفسها موجودة في ورقة ال Requestولازم تكون محفوظة بالطريقة الصحيحة وتكون محطوطة في العلبة المناسبة لها
٢-راح نقسمهمHistoوCyto
٣-ونسجلهم في النظام او الدفتر
بعد التقسيم راح اخذ كل عينة واشتغل عليها لحالها Histo او Cyto
Histopathology :
تعريفه:
the study of changes in tissue caused by diseases
العينات:اعضاء-خزعة (Biopsy)
اهميته :تشخيص الامراض او اثر الامراض على العضو من ناحيتين الشكل والوظيفة
خطوات العمل :
1-Grossing(وهو نسويه للاعضاء الكبيرة نقطعها لقطع صغيرة من اماكن معينة تكون مهمة و نبغى نستكشفها اكثر )
2-نحط القطعة الصغيرة في الCast ونكتب عليه معلومات المريض ونحطه في Formalin 10%
3-Tissue Processing:
مدتها :24-14ساعة
خطواتها:
1-Fixation
2-Dehydration
3-Clearing
4-Infiltration(impregnation)
Tissue Processing
1-Fixation
Use:Formalin(يعمل على الحفاظ على العينة ويزيل البكتيريا)
2-Dehydration
Use :Ethanol(راح نستخدم الكحول باربعة تراكيز مختلفة
70%-80%-95%-100% وهي تعمل على ازالة الماء والسوائل من العينة)
3-Clearing
Use :Xylene(يعمل على سحب الكحول من العينة)
Tissue Processing
4-infiltration
Use:wax (نملئ العينة من الداخل بالشمع)
وبكذا خلصنا Tissue procession
وراح نخرج العينة ونبدا Embedding
4-Embedding
درجة حرارة الشمع:60c-62c
درجة حرارة التبريد :2-(8-)
طريقة العمل في الفيديو قصير ومختصر:
youtu.be
5- Microtome
وهو عبارة عن قطع شريحة نحيفة جدا من العينة ووضعها في slide حتى نستطيع رؤيتها تحت 🔬 Microscope
طريقة عمله في الفيديو :
youtu.be
6-Ovin🌡
(نحط العينة في ovin الحرارة تساعد على تثبيت العينةوازالة الشمع منها)
ويفضل ان تكون الحرارة تتراوح بين 60-62
وذلك بسبب درجة الحرارة العالية جدا ربما تاثر على العينة وخاصة عينات Immunohistochemistry ودرجة الحرارة المنخفضة جدا ماراح تفيدنا وماراح يسير تثبيت للعينة)👌🏼
7-Staining Histopathology 👩🏻‍🎨
Routine and Special
Routine:H&E
1-Hematoxylin:(الصبغة Basic)
acidic molecules (Nucleus)
Blue color 🔵
2-Eosin:(الصبغة acid)
Stains basic molecules (Cytoplasm)
Reed or pink color 🔴🌸
خطوات الصبغة في الصورة
8-Mounting (coverslip)
نغطي ال بطبقة من البلاستيك لكي نحافظ عليها من اي تغير ممكن يحدث لها )طريقتها في الصورة
المادة المستخدمة : DPX
Distyrene plasticizer Xylene
9- Microscope 🔬
اخر خطوة وهي نشوفها تحت Microscope ونكتب التشخيص ونتحتفظ فيها في الحامل الموجود في الصورة 👌🏼👩🏻‍🔬
في معلومة نسيتها وهي مهمة جدا انو نسوي Fixation وبعده نسوي Tissues Processing اذا كانت العينة لينة نقدر نقطعها لكن في حالة كانت العينة عظام او سن ☠️💀راح نسوي بعد Fixation Decalcification وهي عملية عشان نسحب الكالسيوم من العظام ولها اكثر من طريقة توجد في الصورة
وهذا رابط يتكلم عن Decalcification
بشكل سهل و واسع 💀☠️
slideshare.net
وبكذا انتهينا من Histopathology وبكرة ان شاء الله راح نتكلم عن Cytology 👩🏻‍🔬🔬
حامل الSlides نحطها فيه عشان نحتفظ بيها مدة اطول بدون اي ضرر كل سلايد لازم نكون كاتبين عليه معلومات المريض 👌🏼👩🏻‍🔬
Cytology (Cytopathology)
تعريفه : is the study of the cell
العينات:Body Secretion and Fluids
جمع العينات:
١-spontaneously exfoliation (urine)
٢-mechanical exfoliation (pap smears)
٣-Fine needle aspiration (FNA)💉
Cytology
في السايتولوجي في ثلاث انواع من العينات
١-non gynecological
٢-gynecological
٣-FNA
راح اتكلم عن كل وحدة لحالها 👩🏻‍🔬🔬
gynecological(امراض النساء )
وتعرف بPAP smear
تجينا العينة في العلبة جاهزة (في الصورة) ناخذها ونسجل المعلومات حقت المريض ونحطها في ثلاجة العينات الين نجي نشتغل عليها👌🏼🌸
طريقة تحليلها:
١-Thin prep (TP)
٢-Cell block (CB)
وراح اشرح الطريقتين بالتفصيل في تغريدة لحالها👩🏻‍🔬
(Non gynecological(Non Gynae
All Fluids (كل سوائل الجسم والعينات ماعدا Pap smear و FNA )
امثلة العينات:في الصورة👌🏼
1-Thin prep
2-Cell block
(كل السوائل نسوي لها Cell block ماعدا urine مانسوي له cell block نسوي Thin prep فقط)
FNA (Fine needle aspiration) 💉
باختصار يستخدمو ultrasounds wand يحددو المكان وبعد كذا يدخلو ابرة ويسحبو العينة وراح تنقسم لقسمين :
١-نحطها في Formalin ونسوي لها (Thin prep ,Cell block )
٢-نحط في سلايد ونسوي لها(Direct Smear ) ونحطها في Ethanol 15 min
وبعدين نصبغها بH&E Cyto
عرفنا انواع العينات وكل نوع كيف راح نشتغل عليه دحين راح اتكلم عن طريقة عملنا بترتيب🌸👩🏻‍🔬🔬
هذا نسويه لكل العينات ماعدا Pap smear لانو تجي جاهزة في العلبة 🌸
1-اول شي (اختبار العينة بالعين)
(نكتب حجم العينة ولونها ومظهرها)
١-حجمها كم ml
٢-لونها :اصفر احمر برتقالي..
٣-مظهرها :صافية او معكرة او فيها دم (hemorrhagic)
Thin Prep (TP)
باختصار هي فرد طبقة نحيفة جدااااا من الخلايا باستخدام جهاز خاص (في الصورة)
نسوي بيه كل حالات cytology ولكن تختلف العلب المستخدمة وتحضير العينة
١-عينة Pap smear تكون جاهز بعلبتها بس نحطها في الجهاز ولها الفلتر وslide الخاص بها
٢-باقي العينات نسوي لها حالتين..يتبع
٢-باقي العينات لها حالتين :
1-اذا كانت العينة صافية نحطها في العلبة الخاصة ب TP وندخلها الجهاز
2-اذا كانت العينةHemolysis اومعكرة لازم نصفيها(نحطها في تيوب ونحط عليهاCytolyt ونحطها في Centrifuge ونتخلص من Suspension ونعيد كذا مره الين تصفى وبعد كذا نصبها في العلبة الخاصة بTP)
هذا فيديو جميل جدا عن طريقة عمل جهاز Thin prep
youtu.be
٣-نخرج السلايد من الجهاز ونحطه في Ethanol لمدة 15 دقيقة وبعد كذا نصبغها بصبغة (Pap stain) ونسوي لها Coverslip نفس Histopathology 👌🏼٤-نحطها تحت Microscope 🔬 ونشخصها ونتحفظ فيها ف حامل السلايدات )👩🏻‍🔬🌸
Cell Block (CB)
(نسويها لكل العينات ماعدا urine)
نحط العينة في tube ونحط عليها Ethanol وبعدكذا نصبها في gauze ونحطها في Cassette ونحطه في Formalin وراح نكمل خطوات Histopathology🔬👩🏻‍🔬
وبكذا خلصنا كل الشغل الروتيني في مختبر Histopathology and Cytology وراح اتكلم عن حالات خاصة
وبكره ان شاء الله راح اتكلم عن قسم مهم جدا حاليا اسمه Immunohistochemistry 🌸👩🏻‍🔬🔬 وهو موجود مع histopathology و Cytology 🔬👩🏻‍🔬
ومره شكرا على دعمكم وربي يسهلي اني اسوي الباقي🌸
Immunohistochemistry
من الاقسام المهمة والجميلة في مختبر Histopathology 🔬👩🏻‍🔬
تعريفه: is the process whereby antibodies are used to detect proteins (antigens) in cells within a tissue section.
من اسمه يحتوي على ٣اقسام مهمة وهي:
(Immuno,Histo,Chemistry)
Immuno; نستخدم Antibody للكشف عن antigen 🔵🔴
Histo; لان العينة عبارة عن Tissue(نسيج)🧠
Chemistry; لانها تحتوي على تفاعلات كيميائية 👩🏻‍🔬
Immunohistochemistry
انواعه :(Direct ,Indirect )في الصورة الفرق بينهم 🌸🔬
خطوات العمل :في الصورة👌🏼👩🏻‍🔬
counterstains:هي صب بسيطة نستخدم صبغة وحدة وهي Hematoxylin👌🏼
Immunohistochemistry
النقاط المهمة :
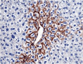
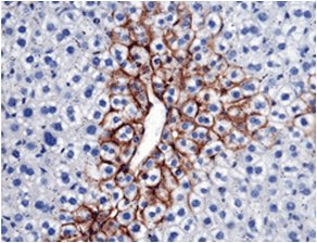
بعد اضافة الantibody وارتباطه ب antigen تكون العينة لونها (بني)🌰وبعد اضافة Counterstain يضاف اللون الازرق🔵
((كل عينة نستخدمها لازم يكون معاها positive control السلايد جزء منه فيه العينة والجزء الاخر positive control))
Immunohistochemistry
ايش الاشياء الي نكتشفها او نشوفها او ايش هو antigen الي نكتشفه هو عبارة عن Markers مثل (Tumor marker)
في الصورة اختصارها وهذي marker هي عبارة عن بروتينات تظهر في حالات Tumor او Cancer.ونقدر بهذي marker نحدد وجود tumor ومكانه بضبط ومدى انتشاره في الجسم🔬🌸
Immunohistochemistry
اخر نقطة هو نوع slide المتسخدم وهو عبارة عن Charged slide تساعد في اللتصاق النسيج فيها 🔬👌🏼
Special Stains 👩🏻‍🎨
هيا كثيرة (موجودة في الصورة) بس راح اكتب كم وحدة منها مثل :
1-PAS(Periodic Acid Schiff)>Carbohydrates
2-PAS-D (diastase)>enzyme breaks down glycogen
3-Retiuculin> Reticulun Fibers
4-Prussian Blue>Iron
5-Trichrome>Collagen and Muscle
6-Congo Red>Amyloid
وبكذا خلصنا قسم Histopathology and Cytology 👩🏻‍🔬🔬
ان شاء الله قدرت اوصل المعلومات بطريقة بسيطة ولخصت شغل المختبر كامل في هذا الملخص واذا في اي اسئلة او اضافات اكتبوها يسير كلنا نستفيد
وشكرا لدعمكم 🌸🙏🏼

جاري تحميل الاقتراحات...