كوثر فارس ¦ Kouther Faris
كوثر فارس ¦ Kouther Faris

@Koutherfaris

18 تغريدة 32 قراءة Dec 23, 2020
عمركم سمعتم عن ڤايروس القطط اللي يسبب عقم؟ 😶🐱👀
هل عمركم اتخليتم عن قططكم بسبب هذا الفيروس الغامض 😣💔
هل له علاج ولا لا ؟!!! 😮💊
هذا راح يكون موضوعنا لهذا اليوم بإذن الله🤝
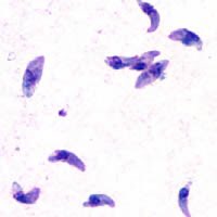
طيب ياجماعه اول حاجه ترا هو مو ڤيروس هو طفيلي(الي مايعرف ايش هو الطفيلي خلونا نقول دوده حلو؟) اسمه Toxoplasma gondiiواذا اصيب فيه الانسان ممكن يسبب حاله توكسوبلازموسس Toxoplasmosis وهذا هو الي مسبب رعب للعالم 🤦🏽‍♀️
ليش المرض مرتبط بالقطط ؟🤔
اولاً القطط السليمه(التي لم تُصاب بعدوى طيفيلي التوكسوبلازما)لاخوف منها، بالذات لو عاش القط في بيئة نظيفه من ناحيه الاكل والتربه وصاحب القط مهتم في تنظيف فضلات القط بصوره صحيحة
في الواقع يوجد الكثير من الحوامل و يمتلكون قطط في منازلهم بنفس الوقت😸🤝
طيب ليش القطط بالذات تتمحور عنها هذي الشائعه؟😿 لان القطط هي الحيوانات الحاضنه للطفيلي بعد مايصابون بالعدوى يبداء طفيلي التوكسوبلازا بإفراز بيوضه داخل جسم القط والي تخرج مع فضلات القطط ومن هنا تنتقل العدوى الى الانسان 🙄🤦🏽‍♀️ ولكن (فيه كلام جداً مهم☝🏼)
بعد اصابه القط بطفيلي التوكسوبلازما جسمه راح يطرح البويضات المعديه خلال اول اسبوعين فقط وبعدها ماراح يسبب اي مشاكل او عدى للانسان لانه(shedding eggs)، يعني لو القط اصيب بالتوكسوبلازماً قبل فتره طويله لاخوف منه🤝 واذا لم يكن مصاب بالطفيلي فهو ايضا لايشكل خطر👍🏻 (يتبع)
فقط القطط المصابه حديثاً خلال اول اسبوعين من العدوى يفرز طفيلي التوكسوبلازما البويضات المعديه في جسمه، وهنا كعلاج يتم عزل القط المصاب وإبعاده عن الحوامل، الاطفال، ذو المناعه الضعيفه لمده اسبوعين مع التأكد من نظافه الليتربوكس ومكان نومه مرتين يومياً🤝 (يتبع)
لو فرضاً قطكم مصاب بالطفيلي او تعرضت سيده حامل للاجهاض وبعد الفحص قالولها عندك التوكسوبلازما، لاترمون القطط في الشارع رجاءاً هذي المخلوقات المسكينه تحتاج احد يصبر عليها لفتره بسيطة الى ان تصبح غير معديه😔🙏🏼(الكلام القادم ايضاً مهم☝🏼)
عوامل الاصابه بالتوكسوبلازما لاتكون فقط بالتعرض للقطط المصابه قد تكون ايضاً بسبب :
📍تناول طعام غير مطبوخ جيداً
📍شرب ماء ملوث بالتوكسوبلازما
📍الوجود في تُربه ملوثه زي مثلاً الحديقة وعدم غسيل اليدين قبل تناول الطعام
📍التعامل مع لحم نيء ملوث بالطفيلي وعدم غسل اليدين بعدها
طيب كيف اصلاً القطط تصاب بعدوى التوكسوبلازموسيس؟🤔
عن طريق تناول لحم نيء ملوث بالتوكسوبلازما او تناول القوارض؛ الفئران🍖🐭
(ناس كثير مروا علي في حياتي مايأكلون البسس الا اللحم الميء وبعدين يشتكون ويقولون القطط تسبب عقم🙂👊🏼)وبعد اسبوعين من الاصابهتبداء بإفراز البويضات المعديه
طيب ايش هي اعراض الاصابه بطفيلي التوكسوبلازما؟ 🙄
📍اغلب الاشخاص المصابين مايدرون لانه الاعراض ماتظهر عليهم
📍بعض الاشخاص قد يشعرون بانهم مصابون بالانفلونزا مع الم في العضلات وغدد لمفاويه متضخمه قليلاً لمده شهر تقريباً.
📍حالات الاصابه الشديدة جداً والتي لايتعرض لها الا ذو المناعه الضعيفه قد تسبب ضرر للدماغ، الاعين، واعضاء اُخرى.
📍اعراض الاصابه بمرض ocular toxoplasmosis (المقوسات العيني) والذي ينتج بسبب طفيلي التوكسوبلازما يؤدي الى ضعف في الرؤيا، رؤيا ضبابية، الم في العين عند التعرض للضوء الساطع واحمرار في العين.
📍الاجهاض المتكرر للسيدات الحوامل.
عند الاشتباه بالاصابه بطفيلي التوكسوبلازموسيس يتم اجراء فحص طبي واذا تم تأكيد الإصابه يتم البدء بالخطه العلاجية والي على فكره هي موجودة ✨
هل يوجد علاج لطفيلي التوكسوبلازموسيس ؟ نعم المضادات التي تُصفي العدوى من جسم الانسان متوافره زيها زي المضادات الحيويه😁💊🤝
ايش هي طُرق الوقايه من الاصابه بعدوى التوكسوبلازموسيس؟
ابداً والله هي نفسها اجراءات السلامه والتعقيم البديهيه😊🤝
📍تنظيف وغسيل الطعام+ طبخه جيداً 🍖🥗
📍غسيل اليدين بإنتظام بصوره صحيحه
📍تنظيف صندوق فضلات القطط مع ارتداء قفازات وقناع تنفس واقيه

جاري تحميل الاقتراحات...